计算机六脚架辅助矫形手术矫正下肢多平面畸形。

IF 1.3 Q3 ORTHOPEDICS
Jonathan Ming Ren French, Joshua Filer, Kathryn Hogan, James William Alexander Fletcher, Stephen Mitchell
{"title":"计算机六脚架辅助矫形手术矫正下肢多平面畸形。","authors":"Jonathan Ming Ren French, Joshua Filer, Kathryn Hogan, James William Alexander Fletcher, Stephen Mitchell","doi":"10.5005/jp-journals-10080-1608","DOIUrl":null,"url":null,"abstract":"<p><strong>Introduction: </strong>Computerised hexapod-assisted orthopaedic surgery (CHAOS) is a method by which complex multiplanar, multilevel deformity can be corrected with a high degree of accuracy utilising minimally invasive techniques within a single operative event. This study's aim was to report the reliability, accuracy and magnitude of correction achieved, alongside patient-reported outcomes and risk factors for complications when using the CHAOS technique throughout the lower limb.</p><p><strong>Materials and methods: </strong>Retrospective review of medical records and radiographs for consecutive patients who underwent CHAOS for lower limb deformity correction at a tertiary centre between 2012 and 2020.</p><p><strong>Results: </strong>There were 70 cases in 56 patients, with the site of surgery being the femur in 48 cases, proximal tibia in 17 and distal tibia in 5 cases. Multiplanar correction was performed in 43 cases, and multilevel osteotomy was undertaken in 23 cases. Fixation was undertaken with intramedullary nailing (IMN) in 49 cases and locked plates in 21.The maximum corrections were 40° rotation, 20° coronal angulation, 51° sagittal angulation and 62-mm mechanical axis deviation (MAD). Deformity correction was mechanically satisfactory in all patients bar one who was undercorrected requiring revision. The mean patient global impression of change (PGIC) score was 6.2 out of 7.Overall complication rate was 12/70 (17%). Complications from femoral surgery included two nonunions, one case of undercorrection, one case of stiffness, one muscle hernia and one pulmonary embolism. Complications from tibial surgery were one compartment syndrome, one pseudoaneurysm of the anterior tibial artery requiring stenting, one transient neurapraxia of the common peroneal nerve, one locking plate fatigue failure, one seroma and one superficial wound infection.</p><p><strong>Conclusion: </strong>Computerised hexapod-assisted orthopaedic surgery can be used for accurate correction of complex multilevel and multiplanar deformities of both the femur and tibia. The risk profile appears to differ between femoral and tibial surgeries, and also to that of traditional circular frame correction. Patients remain highly satisfied with both the functional and symptomatic outcomes.</p><p><strong>How to cite this article: </strong>French JMR, Filer J, Hogan K, <i>et al</i>. Computer Hexapod-assisted Orthopaedic Surgery for the Correction of Multiplanar Deformities throughout the Lower Limb. Strategies Trauma Limb Reconstr 2024;19(1):9-14.</p>","PeriodicalId":21979,"journal":{"name":"Strategies in Trauma and Limb Reconstruction","volume":"19 1","pages":"9-14"},"PeriodicalIF":1.3000,"publicationDate":"2024-01-01","publicationTypes":"Journal Article","fieldsOfStudy":null,"isOpenAccess":false,"openAccessPdf":"https://www.ncbi.nlm.nih.gov/pmc/articles/PMC11091897/pdf/","citationCount":"0","resultStr":"{\"title\":\"Computer Hexapod-assisted Orthopaedic Surgery for the Correction of Multiplanar Deformities throughout the Lower Limb.\",\"authors\":\"Jonathan Ming Ren French, Joshua Filer, Kathryn Hogan, James William Alexander Fletcher, Stephen Mitchell\",\"doi\":\"10.5005/jp-journals-10080-1608\",\"DOIUrl\":null,\"url\":null,\"abstract\":\"<p><strong>Introduction: </strong>Computerised hexapod-assisted orthopaedic surgery (CHAOS) is a method by which complex multiplanar, multilevel deformity can be corrected with a high degree of accuracy utilising minimally invasive techniques within a single operative event. This study's aim was to report the reliability, accuracy and magnitude of correction achieved, alongside patient-reported outcomes and risk factors for complications when using the CHAOS technique throughout the lower limb.</p><p><strong>Materials and methods: </strong>Retrospective review of medical records and radiographs for consecutive patients who underwent CHAOS for lower limb deformity correction at a tertiary centre between 2012 and 2020.</p><p><strong>Results: </strong>There were 70 cases in 56 patients, with the site of surgery being the femur in 48 cases, proximal tibia in 17 and distal tibia in 5 cases. Multiplanar correction was performed in 43 cases, and multilevel osteotomy was undertaken in 23 cases. Fixation was undertaken with intramedullary nailing (IMN) in 49 cases and locked plates in 21.The maximum corrections were 40° rotation, 20° coronal angulation, 51° sagittal angulation and 62-mm mechanical axis deviation (MAD). Deformity correction was mechanically satisfactory in all patients bar one who was undercorrected requiring revision. The mean patient global impression of change (PGIC) score was 6.2 out of 7.Overall complication rate was 12/70 (17%). Complications from femoral surgery included two nonunions, one case of undercorrection, one case of stiffness, one muscle hernia and one pulmonary embolism. Complications from tibial surgery were one compartment syndrome, one pseudoaneurysm of the anterior tibial artery requiring stenting, one transient neurapraxia of the common peroneal nerve, one locking plate fatigue failure, one seroma and one superficial wound infection.</p><p><strong>Conclusion: </strong>Computerised hexapod-assisted orthopaedic surgery can be used for accurate correction of complex multilevel and multiplanar deformities of both the femur and tibia. The risk profile appears to differ between femoral and tibial surgeries, and also to that of traditional circular frame correction. Patients remain highly satisfied with both the functional and symptomatic outcomes.</p><p><strong>How to cite this article: </strong>French JMR, Filer J, Hogan K, <i>et al</i>. Computer Hexapod-assisted Orthopaedic Surgery for the Correction of Multiplanar Deformities throughout the Lower Limb. Strategies Trauma Limb Reconstr 2024;19(1):9-14.</p>\",\"PeriodicalId\":21979,\"journal\":{\"name\":\"Strategies in Trauma and Limb Reconstruction\",\"volume\":\"19 1\",\"pages\":\"9-14\"},\"PeriodicalIF\":1.3000,\"publicationDate\":\"2024-01-01\",\"publicationTypes\":\"Journal Article\",\"fieldsOfStudy\":null,\"isOpenAccess\":false,\"openAccessPdf\":\"https://www.ncbi.nlm.nih.gov/pmc/articles/PMC11091897/pdf/\",\"citationCount\":\"0\",\"resultStr\":null,\"platform\":\"Semanticscholar\",\"paperid\":null,\"PeriodicalName\":\"Strategies in Trauma and Limb Reconstruction\",\"FirstCategoryId\":\"1085\",\"ListUrlMain\":\"https://doi.org/10.5005/jp-journals-10080-1608\",\"RegionNum\":0,\"RegionCategory\":null,\"ArticlePicture\":[],\"TitleCN\":null,\"AbstractTextCN\":null,\"PMCID\":null,\"EPubDate\":\"\",\"PubModel\":\"\",\"JCR\":\"Q3\",\"JCRName\":\"ORTHOPEDICS\",\"Score\":null,\"Total\":0}","platform":"Semanticscholar","paperid":null,"PeriodicalName":"Strategies in Trauma and Limb Reconstruction","FirstCategoryId":"1085","ListUrlMain":"https://doi.org/10.5005/jp-journals-10080-1608","RegionNum":0,"RegionCategory":null,"ArticlePicture":[],"TitleCN":null,"AbstractTextCN":null,"PMCID":null,"EPubDate":"","PubModel":"","JCR":"Q3","JCRName":"ORTHOPEDICS","Score":null,"Total":0}
引用次数: 0

摘要

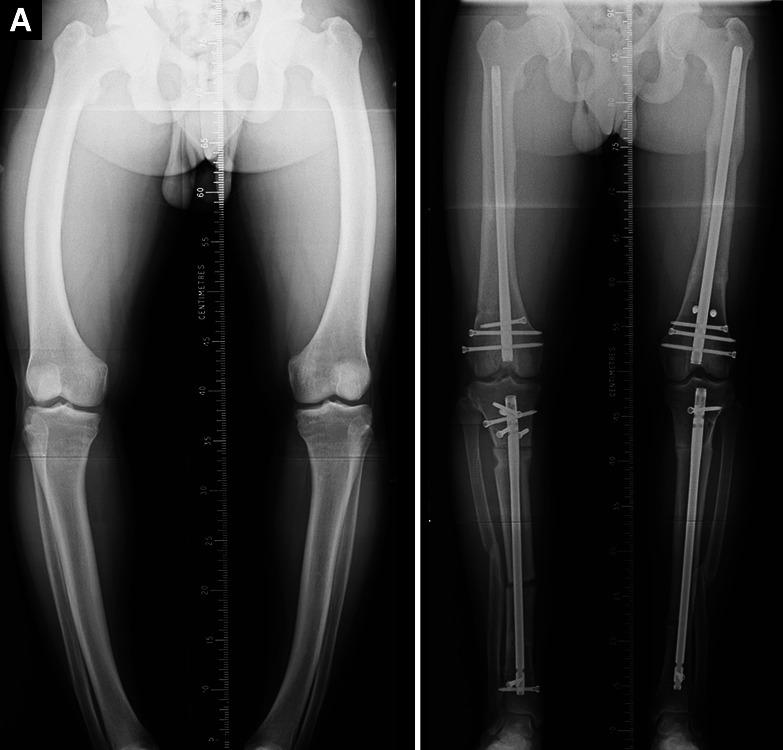
简介:计算机化六爪辅助矫形手术(CHAOS)是一种在单次手术中利用微创技术对复杂的多平面、多层次畸形进行高精度矫正的方法。本研究的目的是报告在整个下肢使用CHAOS技术时的可靠性、准确性和矫正幅度,以及患者报告的结果和并发症的风险因素:回顾性审查2012年至2020年期间在一家三级中心接受CHAOS下肢畸形矫正术的连续患者的病历和X光片:56名患者共70例,手术部位为股骨48例,胫骨近端17例,胫骨远端5例。43例进行了多平面矫正,23例进行了多层次截骨。49例采用髓内钉(IMN)固定,21例采用锁定钢板固定。最大矫正范围为旋转40°、冠状成角20°、矢状成角51°和机械轴偏差(MAD)62毫米。所有患者的畸形矫正效果均令人满意,只有一名患者矫正不足,需要进行翻修。患者总体变化印象(PGIC)平均得分为6.2分(满分7分)。总体并发症发生率为12/70(17%)。股骨手术的并发症包括两个骨不连、一个矫正不足、一个僵硬、一个肌肉疝和一个肺栓塞。胫骨手术并发症包括1例室间综合征、1例需要支架植入的胫前动脉假性动脉瘤、1例腓总神经一过性神经麻痹、1例锁定板疲劳失效、1例血清肿和1例浅表伤口感染:结论:计算机化六爪辅助矫形手术可用于精确矫正股骨和胫骨的复杂多平面畸形。股骨手术和胫骨手术的风险情况似乎有所不同,与传统的圆形框架矫正手术也有所不同。患者对功能和症状的治疗效果都非常满意:French JMR, Filer J, Hogan K, et al. Computer Hexapod-assisted Orthopaedic Surgery for the Correction of Multiplanar Deformities throughout the Lower Limb.Strategies Trauma Limb Reconstr 2024;19(1):9-14.
本文章由计算机程序翻译,如有差异,请以英文原文为准。

Computer Hexapod-assisted Orthopaedic Surgery for the Correction of Multiplanar Deformities throughout the Lower Limb.

Computer Hexapod-assisted Orthopaedic Surgery for the Correction of Multiplanar Deformities throughout the Lower Limb.

Computer Hexapod-assisted Orthopaedic Surgery for the Correction of Multiplanar Deformities throughout the Lower Limb.

Computer Hexapod-assisted Orthopaedic Surgery for the Correction of Multiplanar Deformities throughout the Lower Limb.

Introduction: Computerised hexapod-assisted orthopaedic surgery (CHAOS) is a method by which complex multiplanar, multilevel deformity can be corrected with a high degree of accuracy utilising minimally invasive techniques within a single operative event. This study's aim was to report the reliability, accuracy and magnitude of correction achieved, alongside patient-reported outcomes and risk factors for complications when using the CHAOS technique throughout the lower limb.

Materials and methods: Retrospective review of medical records and radiographs for consecutive patients who underwent CHAOS for lower limb deformity correction at a tertiary centre between 2012 and 2020.

Results: There were 70 cases in 56 patients, with the site of surgery being the femur in 48 cases, proximal tibia in 17 and distal tibia in 5 cases. Multiplanar correction was performed in 43 cases, and multilevel osteotomy was undertaken in 23 cases. Fixation was undertaken with intramedullary nailing (IMN) in 49 cases and locked plates in 21.The maximum corrections were 40° rotation, 20° coronal angulation, 51° sagittal angulation and 62-mm mechanical axis deviation (MAD). Deformity correction was mechanically satisfactory in all patients bar one who was undercorrected requiring revision. The mean patient global impression of change (PGIC) score was 6.2 out of 7.Overall complication rate was 12/70 (17%). Complications from femoral surgery included two nonunions, one case of undercorrection, one case of stiffness, one muscle hernia and one pulmonary embolism. Complications from tibial surgery were one compartment syndrome, one pseudoaneurysm of the anterior tibial artery requiring stenting, one transient neurapraxia of the common peroneal nerve, one locking plate fatigue failure, one seroma and one superficial wound infection.

Conclusion: Computerised hexapod-assisted orthopaedic surgery can be used for accurate correction of complex multilevel and multiplanar deformities of both the femur and tibia. The risk profile appears to differ between femoral and tibial surgeries, and also to that of traditional circular frame correction. Patients remain highly satisfied with both the functional and symptomatic outcomes.

How to cite this article: French JMR, Filer J, Hogan K, et al. Computer Hexapod-assisted Orthopaedic Surgery for the Correction of Multiplanar Deformities throughout the Lower Limb. Strategies Trauma Limb Reconstr 2024;19(1):9-14.

求助全文
通过发布文献求助,成功后即可免费获取论文全文。 去求助
来源期刊
Strategies in Trauma and Limb Reconstruction
Strategies in Trauma and Limb Reconstruction Medicine-Orthopedics and Sports Medicine
CiteScore
1.50
自引率
0.00%
发文量
31
期刊介绍: Strategies in Trauma and Limb Reconstruction is dedicated to surgeons, allied medical professionals and researchers in the field of orthopaedics and trauma. The scope of the journal is to discuss the fields of skeletal injury, and the complications thereof, congenital and acquired limb deformities and deficiencies, and orthopaedic-related infection, together with their surgical and non-surgical treatments. The journal publishes original articles, reviews, case reports, descriptions of new or recognised treatment techniques, forum discussions of clinical scenarios and relevant correspondence. It aims to provide a widely accessible source of useful information to practitioners in the field through the problem- or technique-based approach of published articles.
×
引用
GB/T 7714-2015
复制
MLA
复制
APA
复制
导出至
BibTeX EndNote RefMan NoteFirst NoteExpress
×
提示
您的信息不完整,为了账户安全,请先补充。
现在去补充
×
提示
您因"违规操作"
具体请查看互助需知
我知道了
×
提示
确定
请完成安全验证×
copy
已复制链接
快去分享给好友吧!
我知道了
右上角分享
点击右上角分享
0
联系我们:info@booksci.cn Book学术提供免费学术资源搜索服务,方便国内外学者检索中英文文献。致力于提供最便捷和优质的服务体验。 Copyright © 2023 布克学术 All rights reserved.
京ICP备2023020795号-1
ghs 京公网安备 11010802042870号
Book学术文献互助
Book学术文献互助群
群 号:604180095
Book学术官方微信