乳腺癌病理诊断进展回顾。

IF 1.4
Yueping Liu
{"title":"乳腺癌病理诊断进展回顾。","authors":"Yueping Liu","doi":"10.21037/tbcr-22-11","DOIUrl":null,"url":null,"abstract":"<p><strong>Background and objective: </strong>Breast cancer (BC) contains a spectrum of diseases with distinctive presentations, morphology, biology, and clinical phenotypes. BC varies significantly in its biological behaviour and response to treatment. Combination of the traditional histopathological with the molecular types of BC allows more accurate prediction of its biological and clinical heterogeneity. We aim to provide a review of the latest advances in breast pathological detection and related biomarkers.</p><p><strong>Methods: </strong>We reviewed English publications in PubMed related to progress in pathological diagnosis of breast cancer from 2000 to 2022.</p><p><strong>Key content and findings: </strong>This review outlines the latest advances in breast pathological detection and related biomarkers, include histological types, human epidermal growth factor receptor 2 (HER2), estrogen receptor (ER), Ki67, tumor infiltrating lymphocytes. The histological types and molecular pathological markers of BC are closely related to its treatment and prognosis. The 5th edition World Health Organization (WHO) classification of Breast tumours more emphasis on the clinical significance of histological types. The consensus on the testing of biomarkers for BC has also become more precise, not only suggesting that the primary and metastases of BC be detected for the expressions of ER, PR, and HER2, but also introducing the concept of ER and HER2 low-expressions. In addition, the Ki67 proliferation index plays an important role in the expected therapeutic effect. With the gradual rise of immunotherapy, treatments based on programmed death protein-1/programmed death protein-ligand 1 (PD-1/PD-L1) immune checkpoint inhibitors have achieved some results in clinical efficacy for BC, while studies related to tumor infiltrating lymphocytes (TILs) are gradually gaining more attention.</p><p><strong>Conclusions: </strong>With the deep and continued research of BC, these discoveries will demonstrate significant clinical application value in the future.</p>","PeriodicalId":101427,"journal":{"name":"Translational breast cancer research : a journal focusing on translational research in breast cancer","volume":"3 ","pages":"16"},"PeriodicalIF":1.4000,"publicationDate":"2022-04-30","publicationTypes":"Journal Article","fieldsOfStudy":null,"isOpenAccess":false,"openAccessPdf":"https://www.ncbi.nlm.nih.gov/pmc/articles/PMC11092990/pdf/","citationCount":"0","resultStr":"{\"title\":\"Narrative review of progress in pathological diagnosis of breast cancer.\",\"authors\":\"Yueping Liu\",\"doi\":\"10.21037/tbcr-22-11\",\"DOIUrl\":null,\"url\":null,\"abstract\":\"<p><strong>Background and objective: </strong>Breast cancer (BC) contains a spectrum of diseases with distinctive presentations, morphology, biology, and clinical phenotypes. BC varies significantly in its biological behaviour and response to treatment. Combination of the traditional histopathological with the molecular types of BC allows more accurate prediction of its biological and clinical heterogeneity. We aim to provide a review of the latest advances in breast pathological detection and related biomarkers.</p><p><strong>Methods: </strong>We reviewed English publications in PubMed related to progress in pathological diagnosis of breast cancer from 2000 to 2022.</p><p><strong>Key content and findings: </strong>This review outlines the latest advances in breast pathological detection and related biomarkers, include histological types, human epidermal growth factor receptor 2 (HER2), estrogen receptor (ER), Ki67, tumor infiltrating lymphocytes. The histological types and molecular pathological markers of BC are closely related to its treatment and prognosis. The 5th edition World Health Organization (WHO) classification of Breast tumours more emphasis on the clinical significance of histological types. The consensus on the testing of biomarkers for BC has also become more precise, not only suggesting that the primary and metastases of BC be detected for the expressions of ER, PR, and HER2, but also introducing the concept of ER and HER2 low-expressions. In addition, the Ki67 proliferation index plays an important role in the expected therapeutic effect. With the gradual rise of immunotherapy, treatments based on programmed death protein-1/programmed death protein-ligand 1 (PD-1/PD-L1) immune checkpoint inhibitors have achieved some results in clinical efficacy for BC, while studies related to tumor infiltrating lymphocytes (TILs) are gradually gaining more attention.</p><p><strong>Conclusions: </strong>With the deep and continued research of BC, these discoveries will demonstrate significant clinical application value in the future.</p>\",\"PeriodicalId\":101427,\"journal\":{\"name\":\"Translational breast cancer research : a journal focusing on translational research in breast cancer\",\"volume\":\"3 \",\"pages\":\"16\"},\"PeriodicalIF\":1.4000,\"publicationDate\":\"2022-04-30\",\"publicationTypes\":\"Journal Article\",\"fieldsOfStudy\":null,\"isOpenAccess\":false,\"openAccessPdf\":\"https://www.ncbi.nlm.nih.gov/pmc/articles/PMC11092990/pdf/\",\"citationCount\":\"0\",\"resultStr\":null,\"platform\":\"Semanticscholar\",\"paperid\":null,\"PeriodicalName\":\"Translational breast cancer research : a journal focusing on translational research in breast cancer\",\"FirstCategoryId\":\"1085\",\"ListUrlMain\":\"https://doi.org/10.21037/tbcr-22-11\",\"RegionNum\":0,\"RegionCategory\":null,\"ArticlePicture\":[],\"TitleCN\":null,\"AbstractTextCN\":null,\"PMCID\":null,\"EPubDate\":\"2022/1/1 0:00:00\",\"PubModel\":\"eCollection\",\"JCR\":\"\",\"JCRName\":\"\",\"Score\":null,\"Total\":0}","platform":"Semanticscholar","paperid":null,"PeriodicalName":"Translational breast cancer research : a journal focusing on translational research in breast cancer","FirstCategoryId":"1085","ListUrlMain":"https://doi.org/10.21037/tbcr-22-11","RegionNum":0,"RegionCategory":null,"ArticlePicture":[],"TitleCN":null,"AbstractTextCN":null,"PMCID":null,"EPubDate":"2022/1/1 0:00:00","PubModel":"eCollection","JCR":"","JCRName":"","Score":null,"Total":0}
引用次数: 0

摘要

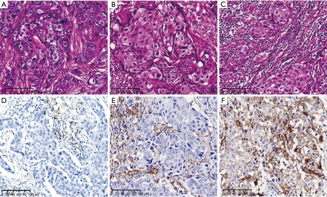
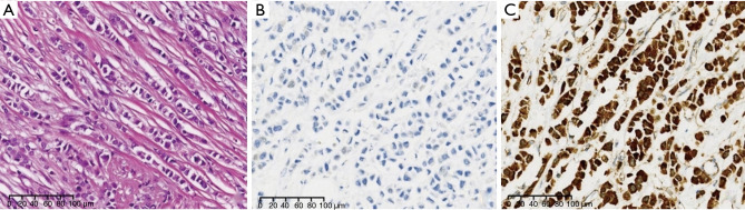
背景和目的:乳腺癌(BC)是一种表现、形态、生物学和临床表型各不相同的疾病。乳腺癌的生物学行为和对治疗的反应差异很大。将传统的组织病理学与 BC 的分子类型相结合,可以更准确地预测其生物学和临床异质性。我们旨在对乳腺病理检测及相关生物标志物的最新进展进行综述:方法:我们查阅了 PubMed 上与 2000 年至 2022 年乳腺癌病理诊断进展相关的英文文献:本综述概述了乳腺癌病理检测及相关生物标志物的最新进展,包括组织学类型、人表皮生长因子受体2(HER2)、雌激素受体(ER)、Ki67、肿瘤浸润淋巴细胞。乳腺癌的组织学类型和分子病理学标志物与治疗和预后密切相关。世界卫生组织(WHO)第五版乳腺肿瘤分类更强调组织学类型的临床意义。对 BC 生物标志物检测的共识也更加精确,不仅建议对 BC 的原发灶和转移灶检测 ER、PR 和 HER2 的表达,还引入了 ER 和 HER2 低表达的概念。此外,Ki67 增殖指数对预期疗效也起着重要作用。随着免疫疗法的逐渐兴起,基于程序性死亡蛋白-1/程序性死亡蛋白配体1(PD-1/PD-L1)免疫检查点抑制剂的治疗方法在BC的临床疗效上取得了一定的成果,而与肿瘤浸润淋巴细胞(TILs)相关的研究也逐渐受到重视:结论:随着对 BC 研究的深入和持续,这些发现将在未来展现出重要的临床应用价值。
本文章由计算机程序翻译,如有差异,请以英文原文为准。

Narrative review of progress in pathological diagnosis of breast cancer.

Narrative review of progress in pathological diagnosis of breast cancer.

Narrative review of progress in pathological diagnosis of breast cancer.

Narrative review of progress in pathological diagnosis of breast cancer.

Background and objective: Breast cancer (BC) contains a spectrum of diseases with distinctive presentations, morphology, biology, and clinical phenotypes. BC varies significantly in its biological behaviour and response to treatment. Combination of the traditional histopathological with the molecular types of BC allows more accurate prediction of its biological and clinical heterogeneity. We aim to provide a review of the latest advances in breast pathological detection and related biomarkers.

Methods: We reviewed English publications in PubMed related to progress in pathological diagnosis of breast cancer from 2000 to 2022.

Key content and findings: This review outlines the latest advances in breast pathological detection and related biomarkers, include histological types, human epidermal growth factor receptor 2 (HER2), estrogen receptor (ER), Ki67, tumor infiltrating lymphocytes. The histological types and molecular pathological markers of BC are closely related to its treatment and prognosis. The 5th edition World Health Organization (WHO) classification of Breast tumours more emphasis on the clinical significance of histological types. The consensus on the testing of biomarkers for BC has also become more precise, not only suggesting that the primary and metastases of BC be detected for the expressions of ER, PR, and HER2, but also introducing the concept of ER and HER2 low-expressions. In addition, the Ki67 proliferation index plays an important role in the expected therapeutic effect. With the gradual rise of immunotherapy, treatments based on programmed death protein-1/programmed death protein-ligand 1 (PD-1/PD-L1) immune checkpoint inhibitors have achieved some results in clinical efficacy for BC, while studies related to tumor infiltrating lymphocytes (TILs) are gradually gaining more attention.

Conclusions: With the deep and continued research of BC, these discoveries will demonstrate significant clinical application value in the future.

求助全文
通过发布文献求助,成功后即可免费获取论文全文。 去求助
来源期刊
自引率
0.00%
发文量
0
×
引用
GB/T 7714-2015
复制
MLA
复制
APA
复制
导出至
BibTeX EndNote RefMan NoteFirst NoteExpress
×
提示
您的信息不完整,为了账户安全,请先补充。
现在去补充
×
提示
您因"违规操作"
具体请查看互助需知
我知道了
×
提示
确定
请完成安全验证×
copy
已复制链接
快去分享给好友吧!
我知道了
右上角分享
点击右上角分享
0
联系我们:info@booksci.cn Book学术提供免费学术资源搜索服务,方便国内外学者检索中英文文献。致力于提供最便捷和优质的服务体验。 Copyright © 2023 布克学术 All rights reserved.
京ICP备2023020795号-1
ghs 京公网安备 11010802042870号
Book学术文献互助
Book学术文献互助群
群 号:604180095
Book学术官方微信