皮秒激光疗法前后对前臂皱纹和真皮厚度的评估

Q3 Medicine
Putri Hendria Wardhani, Cita Rosita Sigit Prakoeswa, Muhammad Yulianto Listiawan
{"title":"皮秒激光疗法前后对前臂皱纹和真皮厚度的评估","authors":"Putri Hendria Wardhani, Cita Rosita Sigit Prakoeswa, Muhammad Yulianto Listiawan","doi":"10.4103/JCAS.JCAS_80_22","DOIUrl":null,"url":null,"abstract":"<p><strong>Background: </strong>Skin wrinkles are generated as a result of the aging process. Dermal thickness underneath a wrinkle decreases absolutely. Approximately 20% of dermal thickness disappears as people become elderly. In recent times, people have attempted to reduce wrinkles using various procedures. Currently, available picosecond lasers in dermatology can create mechanical stress and the energy can be fractionated via diffractive lens arrays (DLA). An emerging indication for the picosecond laser includes photorejuvenation. Non-ablative laser skin rejuvenation therapy demonstrates the dermis can be safely reconstructed by only irradiating the skin surface with a laser. The clinical effects of picosecond pulse laser have been frequently reported, but few studies have included histological investigation.</p><p><strong>Aims and objectives: </strong>This study aimed to evaluate wrinkle and dermal thickness in the forearm before and after picosecond laser therapy.</p><p><strong>Materials and methods: </strong>Twenty healthy male and female subjects between 36 and 55 years old with wrinkles in the forearm who met the sample requirements and were willing to participate were recruited in this study. Clinical examination and biopsy for histopathological examination were carried out before and 4 weeks after therapy, then treatment was carried out using a picosecond laser.</p><p><strong>Results: </strong>At 1-month follow-up, a significant improvement was noted in wrinkle and dermal thickness (<i>P</i> < 0.05).</p><p><strong>Conclusions: </strong>This picosecond 755 nm alexandrite laser with DLA was found to be very effective in treating wrinkles, which was confirmed by a dermatologic assessment from forearm photographic assessment scaled and dermal thickness improvement.</p>","PeriodicalId":15415,"journal":{"name":"Journal of Cutaneous and Aesthetic Surgery","volume":"17 1","pages":"7-10"},"PeriodicalIF":0.0000,"publicationDate":"2024-01-01","publicationTypes":"Journal Article","fieldsOfStudy":null,"isOpenAccess":false,"openAccessPdf":"https://www.ncbi.nlm.nih.gov/pmc/articles/PMC11086935/pdf/","citationCount":"0","resultStr":"{\"title\":\"Evaluation of Wrinkle and Dermal Thickness in the Forearm before and after Picosecond Laser Therapy.\",\"authors\":\"Putri Hendria Wardhani, Cita Rosita Sigit Prakoeswa, Muhammad Yulianto Listiawan\",\"doi\":\"10.4103/JCAS.JCAS_80_22\",\"DOIUrl\":null,\"url\":null,\"abstract\":\"<p><strong>Background: </strong>Skin wrinkles are generated as a result of the aging process. Dermal thickness underneath a wrinkle decreases absolutely. Approximately 20% of dermal thickness disappears as people become elderly. In recent times, people have attempted to reduce wrinkles using various procedures. Currently, available picosecond lasers in dermatology can create mechanical stress and the energy can be fractionated via diffractive lens arrays (DLA). An emerging indication for the picosecond laser includes photorejuvenation. Non-ablative laser skin rejuvenation therapy demonstrates the dermis can be safely reconstructed by only irradiating the skin surface with a laser. The clinical effects of picosecond pulse laser have been frequently reported, but few studies have included histological investigation.</p><p><strong>Aims and objectives: </strong>This study aimed to evaluate wrinkle and dermal thickness in the forearm before and after picosecond laser therapy.</p><p><strong>Materials and methods: </strong>Twenty healthy male and female subjects between 36 and 55 years old with wrinkles in the forearm who met the sample requirements and were willing to participate were recruited in this study. Clinical examination and biopsy for histopathological examination were carried out before and 4 weeks after therapy, then treatment was carried out using a picosecond laser.</p><p><strong>Results: </strong>At 1-month follow-up, a significant improvement was noted in wrinkle and dermal thickness (<i>P</i> < 0.05).</p><p><strong>Conclusions: </strong>This picosecond 755 nm alexandrite laser with DLA was found to be very effective in treating wrinkles, which was confirmed by a dermatologic assessment from forearm photographic assessment scaled and dermal thickness improvement.</p>\",\"PeriodicalId\":15415,\"journal\":{\"name\":\"Journal of Cutaneous and Aesthetic Surgery\",\"volume\":\"17 1\",\"pages\":\"7-10\"},\"PeriodicalIF\":0.0000,\"publicationDate\":\"2024-01-01\",\"publicationTypes\":\"Journal Article\",\"fieldsOfStudy\":null,\"isOpenAccess\":false,\"openAccessPdf\":\"https://www.ncbi.nlm.nih.gov/pmc/articles/PMC11086935/pdf/\",\"citationCount\":\"0\",\"resultStr\":null,\"platform\":\"Semanticscholar\",\"paperid\":null,\"PeriodicalName\":\"Journal of Cutaneous and Aesthetic Surgery\",\"FirstCategoryId\":\"1085\",\"ListUrlMain\":\"https://doi.org/10.4103/JCAS.JCAS_80_22\",\"RegionNum\":0,\"RegionCategory\":null,\"ArticlePicture\":[],\"TitleCN\":null,\"AbstractTextCN\":null,\"PMCID\":null,\"EPubDate\":\"\",\"PubModel\":\"\",\"JCR\":\"Q3\",\"JCRName\":\"Medicine\",\"Score\":null,\"Total\":0}","platform":"Semanticscholar","paperid":null,"PeriodicalName":"Journal of Cutaneous and Aesthetic Surgery","FirstCategoryId":"1085","ListUrlMain":"https://doi.org/10.4103/JCAS.JCAS_80_22","RegionNum":0,"RegionCategory":null,"ArticlePicture":[],"TitleCN":null,"AbstractTextCN":null,"PMCID":null,"EPubDate":"","PubModel":"","JCR":"Q3","JCRName":"Medicine","Score":null,"Total":0}
引用次数: 0

摘要

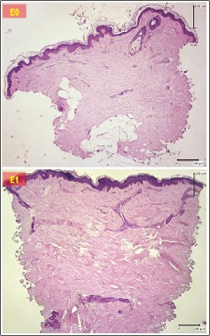
背景介绍皮肤皱纹的产生是衰老过程的结果。皱纹下方的真皮厚度会绝对减少。随着年龄的增长,约有 20% 的真皮厚度会消失。近来,人们尝试使用各种方法来减少皱纹。目前,皮肤科使用的皮秒激光可产生机械应力,能量可通过衍射透镜阵列(DLA)进行分馏。皮秒激光的一个新兴适应症包括光子嫩肤。非烧蚀激光嫩肤疗法表明,只需用激光照射皮肤表面,就能安全地重建真皮层。皮秒脉冲激光的临床效果屡有报道,但很少有研究包括组织学调查:本研究旨在评估皮秒激光治疗前后前臂的皱纹和真皮厚度:本研究招募了 20 名年龄在 36 至 55 岁之间、前臂有皱纹且符合样本要求并愿意参与的健康男性和女性受试者。在治疗前和治疗后 4 周进行临床检查和活组织病理学检查,然后使用皮秒激光进行治疗:结果:随访1个月后,皱纹和真皮厚度均有明显改善(P < 0.05):皮秒755 nm紫翠宝石激光器和DLA对治疗皱纹非常有效,前臂照片评估和真皮厚度的改善证实了这一点。
本文章由计算机程序翻译,如有差异,请以英文原文为准。

Evaluation of Wrinkle and Dermal Thickness in the Forearm before and after Picosecond Laser Therapy.

Evaluation of Wrinkle and Dermal Thickness in the Forearm before and after Picosecond Laser Therapy.

Evaluation of Wrinkle and Dermal Thickness in the Forearm before and after Picosecond Laser Therapy.

Evaluation of Wrinkle and Dermal Thickness in the Forearm before and after Picosecond Laser Therapy.

Background: Skin wrinkles are generated as a result of the aging process. Dermal thickness underneath a wrinkle decreases absolutely. Approximately 20% of dermal thickness disappears as people become elderly. In recent times, people have attempted to reduce wrinkles using various procedures. Currently, available picosecond lasers in dermatology can create mechanical stress and the energy can be fractionated via diffractive lens arrays (DLA). An emerging indication for the picosecond laser includes photorejuvenation. Non-ablative laser skin rejuvenation therapy demonstrates the dermis can be safely reconstructed by only irradiating the skin surface with a laser. The clinical effects of picosecond pulse laser have been frequently reported, but few studies have included histological investigation.

Aims and objectives: This study aimed to evaluate wrinkle and dermal thickness in the forearm before and after picosecond laser therapy.

Materials and methods: Twenty healthy male and female subjects between 36 and 55 years old with wrinkles in the forearm who met the sample requirements and were willing to participate were recruited in this study. Clinical examination and biopsy for histopathological examination were carried out before and 4 weeks after therapy, then treatment was carried out using a picosecond laser.

Results: At 1-month follow-up, a significant improvement was noted in wrinkle and dermal thickness (P < 0.05).

Conclusions: This picosecond 755 nm alexandrite laser with DLA was found to be very effective in treating wrinkles, which was confirmed by a dermatologic assessment from forearm photographic assessment scaled and dermal thickness improvement.

求助全文
通过发布文献求助,成功后即可免费获取论文全文。 去求助
来源期刊
CiteScore
1.10
自引率
0.00%
发文量
60
审稿时长
29 weeks
期刊介绍: The journal will cover aspects of Dermatosurgery and Aesthetic surgery, including cutaneous surgical procedures, lasers, light based treatments and aesthetic treatments. Authors of articles addressing topics such as skin tumours, pigmentary disorders, histopathology, diagnostic techniques, drugs, applications of cosmeceuticals surgical aspects, including pre and post procedural care are highly encouraged to submit with us. The journal also publishes articles on topics in allied specialities suh as plastic surgery, maxillofacial surgery vascular surgery, oculoplastic surgery etc. that are relevant to Dermatosurgery. The journal gives preference to clinically oriented studies over experimental and animal studies. The Journal would publish peer-reviewed Original Research Articles, Systematic reviews, Narrative Reviews, Case reports, Innovations and Debates. Letters to the editor, practice points, pearls in cutaneous and aesthetic surgery, quiz page, images, novel techniques, newer uses of instruments and video presentations and ethical aspects of cutaneous and aesthetic surgery are also invited.
×
引用
GB/T 7714-2015
复制
MLA
复制
APA
复制
导出至
BibTeX EndNote RefMan NoteFirst NoteExpress
×
提示
您的信息不完整,为了账户安全,请先补充。
现在去补充
×
提示
您因"违规操作"
具体请查看互助需知
我知道了
×
提示
确定
请完成安全验证×
copy
已复制链接
快去分享给好友吧!
我知道了
右上角分享
点击右上角分享
0
联系我们:info@booksci.cn Book学术提供免费学术资源搜索服务,方便国内外学者检索中英文文献。致力于提供最便捷和优质的服务体验。 Copyright © 2023 布克学术 All rights reserved.
京ICP备2023020795号-1
ghs 京公网安备 11010802042870号
Book学术文献互助
Book学术文献互助群
群 号:604180095
Book学术官方微信