Mounier-Kuhn 综合征患者全身麻醉期间的气道管理 - 病例报告。

IF 3.2
Anesthesia and pain medicine Pub Date : 2024-04-01 Epub Date: 2024-03-21 DOI:10.17085/apm.23172
Boreum Cheon, Ju Hyung Lee, Jae Hyung Kim, Sung Mi Hwang
{"title":"Mounier-Kuhn 综合征患者全身麻醉期间的气道管理 - 病例报告。","authors":"Boreum Cheon, Ju Hyung Lee, Jae Hyung Kim, Sung Mi Hwang","doi":"10.17085/apm.23172","DOIUrl":null,"url":null,"abstract":"<p><strong>Background: </strong>Mounier-Kuhn syndrome (MKS) is a rare disorder characterized by abnormal dilation of the trachea and main bronchi. MKS can be easily missed on chest X-rays, making diagnosis difficult. Under general anesthesia, challenges such as airway leakage or collapse during mechanical ventilation may complicate the achievement of adequate tidal volumes.</p><p><strong>Cases: </strong>A 94-year-old woman requiring emergency hemiarthroplasty of the hip under general anesthesia was admitted. Preoperative chest X-rays revealed dilation of the trachea and main bronchi, but the patient exhibited no respiratory symptoms. We diagnosed her with MKS and opted for an 8.0-mm-inner-diameter reinforced tracheal tube. We positioned the cuff in the subglottic area, inflating it while monitoring for air leakage. Throughout the surgery, adequate tidal volume was maintained.</p><p><strong>Conclusions: </strong>Anesthesiologists must conduct a comprehensive evaluation of patients with MKS, including a review of chest radiographs, and establish a meticulous anesthesia plan prior to surgery.</p>","PeriodicalId":101360,"journal":{"name":"Anesthesia and pain medicine","volume":"19 2","pages":"156-160"},"PeriodicalIF":3.2000,"publicationDate":"2024-04-01","publicationTypes":"Journal Article","fieldsOfStudy":null,"isOpenAccess":false,"openAccessPdf":"https://www.ncbi.nlm.nih.gov/pmc/articles/PMC11089299/pdf/","citationCount":"0","resultStr":"{\"title\":\"Airway management of a patient with Mounier-Kuhn syndrome during general anesthesia - A case report.\",\"authors\":\"Boreum Cheon, Ju Hyung Lee, Jae Hyung Kim, Sung Mi Hwang\",\"doi\":\"10.17085/apm.23172\",\"DOIUrl\":null,\"url\":null,\"abstract\":\"<p><strong>Background: </strong>Mounier-Kuhn syndrome (MKS) is a rare disorder characterized by abnormal dilation of the trachea and main bronchi. MKS can be easily missed on chest X-rays, making diagnosis difficult. Under general anesthesia, challenges such as airway leakage or collapse during mechanical ventilation may complicate the achievement of adequate tidal volumes.</p><p><strong>Cases: </strong>A 94-year-old woman requiring emergency hemiarthroplasty of the hip under general anesthesia was admitted. Preoperative chest X-rays revealed dilation of the trachea and main bronchi, but the patient exhibited no respiratory symptoms. We diagnosed her with MKS and opted for an 8.0-mm-inner-diameter reinforced tracheal tube. We positioned the cuff in the subglottic area, inflating it while monitoring for air leakage. Throughout the surgery, adequate tidal volume was maintained.</p><p><strong>Conclusions: </strong>Anesthesiologists must conduct a comprehensive evaluation of patients with MKS, including a review of chest radiographs, and establish a meticulous anesthesia plan prior to surgery.</p>\",\"PeriodicalId\":101360,\"journal\":{\"name\":\"Anesthesia and pain medicine\",\"volume\":\"19 2\",\"pages\":\"156-160\"},\"PeriodicalIF\":3.2000,\"publicationDate\":\"2024-04-01\",\"publicationTypes\":\"Journal Article\",\"fieldsOfStudy\":null,\"isOpenAccess\":false,\"openAccessPdf\":\"https://www.ncbi.nlm.nih.gov/pmc/articles/PMC11089299/pdf/\",\"citationCount\":\"0\",\"resultStr\":null,\"platform\":\"Semanticscholar\",\"paperid\":null,\"PeriodicalName\":\"Anesthesia and pain medicine\",\"FirstCategoryId\":\"1085\",\"ListUrlMain\":\"https://doi.org/10.17085/apm.23172\",\"RegionNum\":0,\"RegionCategory\":null,\"ArticlePicture\":[],\"TitleCN\":null,\"AbstractTextCN\":null,\"PMCID\":null,\"EPubDate\":\"2024/3/21 0:00:00\",\"PubModel\":\"Epub\",\"JCR\":\"\",\"JCRName\":\"\",\"Score\":null,\"Total\":0}","platform":"Semanticscholar","paperid":null,"PeriodicalName":"Anesthesia and pain medicine","FirstCategoryId":"1085","ListUrlMain":"https://doi.org/10.17085/apm.23172","RegionNum":0,"RegionCategory":null,"ArticlePicture":[],"TitleCN":null,"AbstractTextCN":null,"PMCID":null,"EPubDate":"2024/3/21 0:00:00","PubModel":"Epub","JCR":"","JCRName":"","Score":null,"Total":0}
引用次数: 0

摘要

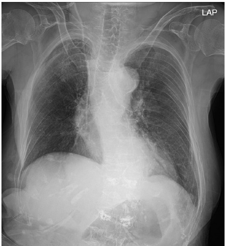
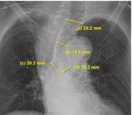
背景:穆尼埃-库恩综合征(MKS)是一种罕见的疾病,其特征是气管和主支气管异常扩张。MKS 在胸部 X 射线检查中很容易被漏诊,因此诊断非常困难。在全身麻醉的情况下,机械通气过程中出现的气道漏气或塌陷等问题可能会使获得足够潮气量的过程复杂化:一名 94 岁的妇女需要在全身麻醉下进行紧急髋关节半置换术。术前胸部 X 光检查显示气管和主支气管扩张,但患者没有呼吸道症状。我们诊断她患有 MKS,并选择了 8.0 毫米内径的加强型气管导管。我们将充气罩囊放置在声门下区域,一边充气一边监测是否漏气。在整个手术过程中,都保持了足够的潮气量:麻醉医生必须对 MKS 患者进行全面评估,包括复查胸片,并在手术前制定缜密的麻醉计划。
本文章由计算机程序翻译,如有差异,请以英文原文为准。

Airway management of a patient with Mounier-Kuhn syndrome during general anesthesia - A case report.

Airway management of a patient with Mounier-Kuhn syndrome during general anesthesia - A case report.

Airway management of a patient with Mounier-Kuhn syndrome during general anesthesia - A case report.

Background: Mounier-Kuhn syndrome (MKS) is a rare disorder characterized by abnormal dilation of the trachea and main bronchi. MKS can be easily missed on chest X-rays, making diagnosis difficult. Under general anesthesia, challenges such as airway leakage or collapse during mechanical ventilation may complicate the achievement of adequate tidal volumes.

Cases: A 94-year-old woman requiring emergency hemiarthroplasty of the hip under general anesthesia was admitted. Preoperative chest X-rays revealed dilation of the trachea and main bronchi, but the patient exhibited no respiratory symptoms. We diagnosed her with MKS and opted for an 8.0-mm-inner-diameter reinforced tracheal tube. We positioned the cuff in the subglottic area, inflating it while monitoring for air leakage. Throughout the surgery, adequate tidal volume was maintained.

Conclusions: Anesthesiologists must conduct a comprehensive evaluation of patients with MKS, including a review of chest radiographs, and establish a meticulous anesthesia plan prior to surgery.

求助全文
通过发布文献求助,成功后即可免费获取论文全文。 去求助
来源期刊
CiteScore
2.30
自引率
0.00%
发文量
0
×
引用
GB/T 7714-2015
复制
MLA
复制
APA
复制
导出至
BibTeX EndNote RefMan NoteFirst NoteExpress
×
提示
您的信息不完整,为了账户安全,请先补充。
现在去补充
×
提示
您因"违规操作"
具体请查看互助需知
我知道了
×
提示
确定
请完成安全验证×
copy
已复制链接
快去分享给好友吧!
我知道了
右上角分享
点击右上角分享
0
联系我们:info@booksci.cn Book学术提供免费学术资源搜索服务,方便国内外学者检索中英文文献。致力于提供最便捷和优质的服务体验。 Copyright © 2023 布克学术 All rights reserved.
京ICP备2023020795号-1
ghs 京公网安备 11010802042870号
Book学术文献互助
Book学术文献互助群
群 号:604180095
Book学术官方微信