用乙烯-乙烯醇共聚物栓塞盖伦静脉动脉瘤畸形后的化学脓肿。

IF 0.9 Q4 RADIOLOGY, NUCLEAR MEDICINE & MEDICAL IMAGING
SA Journal of Radiology Pub Date : 2024-04-30 eCollection Date: 2024-01-01 DOI:10.4102/sajr.v28i1.2841
Uday Bhanu Kovilapu, Rahul Dudhal, Saurabh Maheshwari, Peeyush Dhagat, Umesh K Mishra
{"title":"用乙烯-乙烯醇共聚物栓塞盖伦静脉动脉瘤畸形后的化学脓肿。","authors":"Uday Bhanu Kovilapu, Rahul Dudhal, Saurabh Maheshwari, Peeyush Dhagat, Umesh K Mishra","doi":"10.4102/sajr.v28i1.2841","DOIUrl":null,"url":null,"abstract":"<p><p>Vein of Galen aneurysmal malformation (VGAM) is a rare congenital malformation characterised by arteriovenous fistulas between primitive choroidal arteries and the median prosencephalic vein, the embryonic precursor to the vein of Galen. Endovascular techniques have changed the management of these patients with improved prognosis. An eight-month-old with VGAM managed by endovascular embolisation using ethylene vinyl alcohol copolymer (EVOH) developed a chemical abscess - a rare complication. It was managed conservatively and showed promising clinical outcome.</p><p><strong>Contribution: </strong>Chemical abscesses following EVOH embolisation are scarce - with imaging differentials, which include brain abscess and onyx granuloma. Knowledge and successful identification of this entity are essential as its management as prognoses differ. Chemical abscess is managed conservatively and has a good prognosis.</p>","PeriodicalId":43442,"journal":{"name":"SA Journal of Radiology","volume":"28 1","pages":"2841"},"PeriodicalIF":0.9000,"publicationDate":"2024-04-30","publicationTypes":"Journal Article","fieldsOfStudy":null,"isOpenAccess":false,"openAccessPdf":"https://www.ncbi.nlm.nih.gov/pmc/articles/PMC11079415/pdf/","citationCount":"0","resultStr":"{\"title\":\"Chemical abscess post vein of Galen aneurysmal malformation embolisation with ethylene vinyl alcohol copolymer.\",\"authors\":\"Uday Bhanu Kovilapu, Rahul Dudhal, Saurabh Maheshwari, Peeyush Dhagat, Umesh K Mishra\",\"doi\":\"10.4102/sajr.v28i1.2841\",\"DOIUrl\":null,\"url\":null,\"abstract\":\"<p><p>Vein of Galen aneurysmal malformation (VGAM) is a rare congenital malformation characterised by arteriovenous fistulas between primitive choroidal arteries and the median prosencephalic vein, the embryonic precursor to the vein of Galen. Endovascular techniques have changed the management of these patients with improved prognosis. An eight-month-old with VGAM managed by endovascular embolisation using ethylene vinyl alcohol copolymer (EVOH) developed a chemical abscess - a rare complication. It was managed conservatively and showed promising clinical outcome.</p><p><strong>Contribution: </strong>Chemical abscesses following EVOH embolisation are scarce - with imaging differentials, which include brain abscess and onyx granuloma. Knowledge and successful identification of this entity are essential as its management as prognoses differ. Chemical abscess is managed conservatively and has a good prognosis.</p>\",\"PeriodicalId\":43442,\"journal\":{\"name\":\"SA Journal of Radiology\",\"volume\":\"28 1\",\"pages\":\"2841\"},\"PeriodicalIF\":0.9000,\"publicationDate\":\"2024-04-30\",\"publicationTypes\":\"Journal Article\",\"fieldsOfStudy\":null,\"isOpenAccess\":false,\"openAccessPdf\":\"https://www.ncbi.nlm.nih.gov/pmc/articles/PMC11079415/pdf/\",\"citationCount\":\"0\",\"resultStr\":null,\"platform\":\"Semanticscholar\",\"paperid\":null,\"PeriodicalName\":\"SA Journal of Radiology\",\"FirstCategoryId\":\"1085\",\"ListUrlMain\":\"https://doi.org/10.4102/sajr.v28i1.2841\",\"RegionNum\":0,\"RegionCategory\":null,\"ArticlePicture\":[],\"TitleCN\":null,\"AbstractTextCN\":null,\"PMCID\":null,\"EPubDate\":\"2024/1/1 0:00:00\",\"PubModel\":\"eCollection\",\"JCR\":\"Q4\",\"JCRName\":\"RADIOLOGY, NUCLEAR MEDICINE & MEDICAL IMAGING\",\"Score\":null,\"Total\":0}","platform":"Semanticscholar","paperid":null,"PeriodicalName":"SA Journal of Radiology","FirstCategoryId":"1085","ListUrlMain":"https://doi.org/10.4102/sajr.v28i1.2841","RegionNum":0,"RegionCategory":null,"ArticlePicture":[],"TitleCN":null,"AbstractTextCN":null,"PMCID":null,"EPubDate":"2024/1/1 0:00:00","PubModel":"eCollection","JCR":"Q4","JCRName":"RADIOLOGY, NUCLEAR MEDICINE & MEDICAL IMAGING","Score":null,"Total":0}
引用次数: 0

摘要

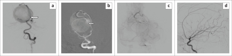
盖伦静脉动脉瘤畸形(VGAM)是一种罕见的先天性畸形,其特征是原始脉络膜动脉和正中前脑静脉(盖伦静脉的胚胎前体)之间的动静脉瘘。血管内技术改变了这些患者的治疗方法,改善了预后。一名八个月大的 VGAM 患者在使用乙烯-乙烯醇共聚物(EVOH)进行血管内栓塞治疗后,出现了罕见的并发症--化学脓肿。经保守治疗后,临床效果良好:贡献:EVOH栓塞术后的化学脓肿很少见,影像学鉴别包括脑脓肿和玛瑙肉芽肿。了解并成功识别这一实体至关重要,因为其治疗和预后各不相同。化学脓肿可采取保守治疗,预后良好。
本文章由计算机程序翻译,如有差异,请以英文原文为准。

Chemical abscess post vein of Galen aneurysmal malformation embolisation with ethylene vinyl alcohol copolymer.

Chemical abscess post vein of Galen aneurysmal malformation embolisation with ethylene vinyl alcohol copolymer.

Chemical abscess post vein of Galen aneurysmal malformation embolisation with ethylene vinyl alcohol copolymer.

Chemical abscess post vein of Galen aneurysmal malformation embolisation with ethylene vinyl alcohol copolymer.

Vein of Galen aneurysmal malformation (VGAM) is a rare congenital malformation characterised by arteriovenous fistulas between primitive choroidal arteries and the median prosencephalic vein, the embryonic precursor to the vein of Galen. Endovascular techniques have changed the management of these patients with improved prognosis. An eight-month-old with VGAM managed by endovascular embolisation using ethylene vinyl alcohol copolymer (EVOH) developed a chemical abscess - a rare complication. It was managed conservatively and showed promising clinical outcome.

Contribution: Chemical abscesses following EVOH embolisation are scarce - with imaging differentials, which include brain abscess and onyx granuloma. Knowledge and successful identification of this entity are essential as its management as prognoses differ. Chemical abscess is managed conservatively and has a good prognosis.

求助全文
通过发布文献求助,成功后即可免费获取论文全文。 去求助
来源期刊
SA Journal of Radiology
SA Journal of Radiology RADIOLOGY, NUCLEAR MEDICINE & MEDICAL IMAGING-
CiteScore
1.20
自引率
11.10%
发文量
35
审稿时长
16 weeks
期刊介绍: The SA Journal of Radiology is the official journal of the Radiological Society of South Africa and the Professional Association of Radiologists in South Africa and Namibia. The SA Journal of Radiology is a general diagnostic radiological journal which carries original research and review articles, pictorial essays, case reports, letters, editorials, radiological practice and other radiological articles.
×
引用
GB/T 7714-2015
复制
MLA
复制
APA
复制
导出至
BibTeX EndNote RefMan NoteFirst NoteExpress
×
提示
您的信息不完整,为了账户安全,请先补充。
现在去补充
×
提示
您因"违规操作"
具体请查看互助需知
我知道了
×
提示
确定
请完成安全验证×
copy
已复制链接
快去分享给好友吧!
我知道了
右上角分享
点击右上角分享
0
联系我们:info@booksci.cn Book学术提供免费学术资源搜索服务,方便国内外学者检索中英文文献。致力于提供最便捷和优质的服务体验。 Copyright © 2023 布克学术 All rights reserved.
京ICP备2023020795号-1
ghs 京公网安备 11010802042870号
Book学术文献互助
Book学术文献互助群
群 号:604180095
Book学术官方微信