COVID-19感染后的肾动脉假性动脉瘤:不寻常的延迟并发症

IF 0.9 Q3 UROLOGY & NEPHROLOGY
Gautam Shubhankar, Ankur Mittal, Vikas Kumar Panwar, Siddharth Kumar
{"title":"COVID-19感染后的肾动脉假性动脉瘤:不寻常的延迟并发症","authors":"Gautam Shubhankar, Ankur Mittal, Vikas Kumar Panwar, Siddharth Kumar","doi":"10.4103/iju.iju_454_23","DOIUrl":null,"url":null,"abstract":"<p><p>This case report discusses a rare and severe complication of COVID-19 recovery - renal mucormycosis leading to right renal artery pseudoaneurysm. A 59-year-old patient, previously treated for COVID-19, presented with dry cough, flank pain, and hematuria. He was diagnosed with renal artery pseudoaneurysm with renal mucormycosis. Successful management included urgent angioembolization, systemic liposomal amphotericin B, and subsequent radical nephrectomy post-stabilization. The case underscores the importance of vigilant post-COVID-19 follow-up, particularly in patients treated with steroids, and highlights the need for a multidisciplinary approach for timely diagnosis and effective management of mucormycosis related complications.</p>","PeriodicalId":47352,"journal":{"name":"Indian Journal of Urology","volume":"40 2","pages":"133-135"},"PeriodicalIF":0.9000,"publicationDate":"2024-04-01","publicationTypes":"Journal Article","fieldsOfStudy":null,"isOpenAccess":false,"openAccessPdf":"https://www.ncbi.nlm.nih.gov/pmc/articles/PMC11078452/pdf/","citationCount":"0","resultStr":"{\"title\":\"Renal artery pseudoaneurysm post-COVID-19 infection: An unusual delayed complication.\",\"authors\":\"Gautam Shubhankar, Ankur Mittal, Vikas Kumar Panwar, Siddharth Kumar\",\"doi\":\"10.4103/iju.iju_454_23\",\"DOIUrl\":null,\"url\":null,\"abstract\":\"<p><p>This case report discusses a rare and severe complication of COVID-19 recovery - renal mucormycosis leading to right renal artery pseudoaneurysm. A 59-year-old patient, previously treated for COVID-19, presented with dry cough, flank pain, and hematuria. He was diagnosed with renal artery pseudoaneurysm with renal mucormycosis. Successful management included urgent angioembolization, systemic liposomal amphotericin B, and subsequent radical nephrectomy post-stabilization. The case underscores the importance of vigilant post-COVID-19 follow-up, particularly in patients treated with steroids, and highlights the need for a multidisciplinary approach for timely diagnosis and effective management of mucormycosis related complications.</p>\",\"PeriodicalId\":47352,\"journal\":{\"name\":\"Indian Journal of Urology\",\"volume\":\"40 2\",\"pages\":\"133-135\"},\"PeriodicalIF\":0.9000,\"publicationDate\":\"2024-04-01\",\"publicationTypes\":\"Journal Article\",\"fieldsOfStudy\":null,\"isOpenAccess\":false,\"openAccessPdf\":\"https://www.ncbi.nlm.nih.gov/pmc/articles/PMC11078452/pdf/\",\"citationCount\":\"0\",\"resultStr\":null,\"platform\":\"Semanticscholar\",\"paperid\":null,\"PeriodicalName\":\"Indian Journal of Urology\",\"FirstCategoryId\":\"1085\",\"ListUrlMain\":\"https://doi.org/10.4103/iju.iju_454_23\",\"RegionNum\":0,\"RegionCategory\":null,\"ArticlePicture\":[],\"TitleCN\":null,\"AbstractTextCN\":null,\"PMCID\":null,\"EPubDate\":\"\",\"PubModel\":\"\",\"JCR\":\"Q3\",\"JCRName\":\"UROLOGY & NEPHROLOGY\",\"Score\":null,\"Total\":0}","platform":"Semanticscholar","paperid":null,"PeriodicalName":"Indian Journal of Urology","FirstCategoryId":"1085","ListUrlMain":"https://doi.org/10.4103/iju.iju_454_23","RegionNum":0,"RegionCategory":null,"ArticlePicture":[],"TitleCN":null,"AbstractTextCN":null,"PMCID":null,"EPubDate":"","PubModel":"","JCR":"Q3","JCRName":"UROLOGY & NEPHROLOGY","Score":null,"Total":0}
引用次数: 0

摘要

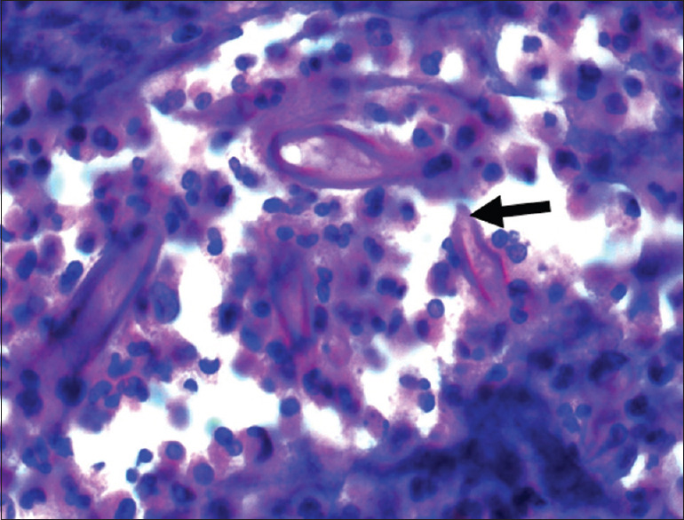
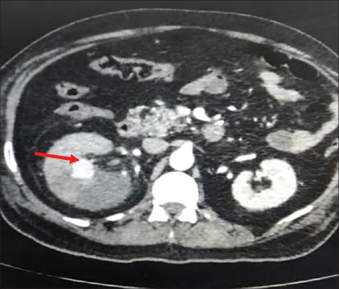
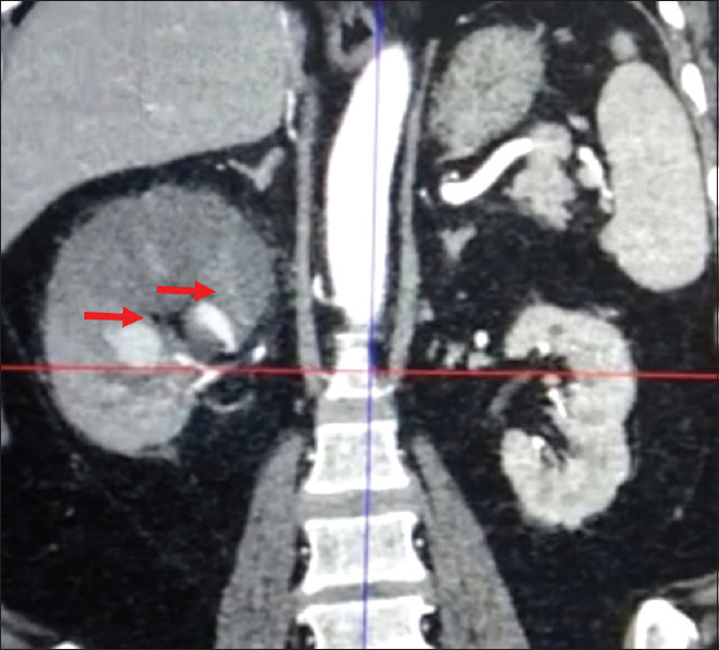
本病例报告讨论了 COVID-19 康复后出现的一种罕见的严重并发症--导致右肾动脉假性动脉瘤的肾粘液瘤病。一名曾接受过 COVID-19 治疗的 59 岁患者出现干咳、侧腹疼痛和血尿。他被诊断为肾动脉假性动脉瘤伴肾粘液瘤病。成功的治疗包括紧急血管栓塞术、全身用脂质体两性霉素 B 以及稳定后的根治性肾切除术。该病例强调了COVID-19后警惕性随访的重要性,尤其是对接受类固醇治疗的患者,并强调了采用多学科方法及时诊断和有效治疗粘液瘤病相关并发症的必要性。
本文章由计算机程序翻译,如有差异,请以英文原文为准。

Renal artery pseudoaneurysm post-COVID-19 infection: An unusual delayed complication.

Renal artery pseudoaneurysm post-COVID-19 infection: An unusual delayed complication.

Renal artery pseudoaneurysm post-COVID-19 infection: An unusual delayed complication.

Renal artery pseudoaneurysm post-COVID-19 infection: An unusual delayed complication.

This case report discusses a rare and severe complication of COVID-19 recovery - renal mucormycosis leading to right renal artery pseudoaneurysm. A 59-year-old patient, previously treated for COVID-19, presented with dry cough, flank pain, and hematuria. He was diagnosed with renal artery pseudoaneurysm with renal mucormycosis. Successful management included urgent angioembolization, systemic liposomal amphotericin B, and subsequent radical nephrectomy post-stabilization. The case underscores the importance of vigilant post-COVID-19 follow-up, particularly in patients treated with steroids, and highlights the need for a multidisciplinary approach for timely diagnosis and effective management of mucormycosis related complications.

求助全文
通过发布文献求助,成功后即可免费获取论文全文。 去求助
来源期刊
Indian Journal of Urology
Indian Journal of Urology UROLOGY & NEPHROLOGY-
CiteScore
1.90
自引率
0.00%
发文量
62
审稿时长
33 weeks
期刊介绍: Indian Journal of Urology-IJU (ISSN 0970-1591) is official publication of the Urological Society of India. The journal is published Quarterly. Bibliographic listings: The journal is indexed with Abstracts on Hygiene and Communicable Diseases, CAB Abstracts, Caspur, DOAJ, EBSCO Publishing’s Electronic Databases, Excerpta Medica / EMBASE, Expanded Academic ASAP, Genamics JournalSeek, Global Health, Google Scholar, Health & Wellness Research Center, Health Reference Center Academic, Hinari, Index Copernicus, IndMed, OpenJGate, PubMed, Pubmed Central, Scimago Journal Ranking, SCOLOAR, SCOPUS, SIIC databases, SNEMB, Tropical Diseases Bulletin, Ulrich’s International Periodical Directory
×
引用
GB/T 7714-2015
复制
MLA
复制
APA
复制
导出至
BibTeX EndNote RefMan NoteFirst NoteExpress
×
提示
您的信息不完整,为了账户安全,请先补充。
现在去补充
×
提示
您因"违规操作"
具体请查看互助需知
我知道了
×
提示
确定
请完成安全验证×
copy
已复制链接
快去分享给好友吧!
我知道了
右上角分享
点击右上角分享
0
联系我们:info@booksci.cn Book学术提供免费学术资源搜索服务,方便国内外学者检索中英文文献。致力于提供最便捷和优质的服务体验。 Copyright © 2023 布克学术 All rights reserved.
京ICP备2023020795号-1
ghs 京公网安备 11010802042870号
Book学术文献互助
Book学术文献互助群
群 号:604180095
Book学术官方微信