一例老年微小病变肾病综合征病例:肾小管功能障碍与需要血液透析的少尿急性肾损伤发病之间的相关性。

Case Reports in Nephrology Pub Date : 2024-04-30 eCollection Date: 2024-01-01 DOI:10.1155/2024/1505583
Maika Gojo, Chikayuki Morimoto, Syuntaro Taira, Minoru Yasukawa, Shinichiro Asakawa, Michito Nagura, Shigeyuki Arai, Osamu Yamazaki, Yoshifuru Tamura, Shigeru Shibata, Yoshihide Fujigaki
{"title":"一例老年微小病变肾病综合征病例:肾小管功能障碍与需要血液透析的少尿急性肾损伤发病之间的相关性。","authors":"Maika Gojo, Chikayuki Morimoto, Syuntaro Taira, Minoru Yasukawa, Shinichiro Asakawa, Michito Nagura, Shigeyuki Arai, Osamu Yamazaki, Yoshifuru Tamura, Shigeru Shibata, Yoshihide Fujigaki","doi":"10.1155/2024/1505583","DOIUrl":null,"url":null,"abstract":"<p><p>Several theories have been proposed to explain the development of severe acute kidney injury (AKI) in patients with minimal change nephrotic syndrome (MCNS), but the exact mechanism remains unclear. We encountered an elderly patient with biopsy-proven MCNS who suffered from oliguric AKI, which required hemodialysis at the onset and during the first relapse of nephrotic syndrome. Throughout her relapse, we were able to monitor tubular injury markers, namely, urinary N-acetyl-<i>β</i>-D-glucosaminidase and urinary alpha-1-microglobulin levels. This patient had hypertension. 8.5 years after achieving complete remission, she experienced a relapse of nephrotic syndrome accompanied by AKI, necessitating hemodialysis. The hemodialysis was discontinued after 7 weeks of corticosteroid therapy and cyclosporin A treatment. During this relapse, we observed a correlation between the sudden increase in renal tubular injury markers and proteinuria levels and the progression of severe AKI. Conversely, a reduction in renal tubular injury markers and proteinuria was associated with the resolution of AKI. The abrupt elevation of both tubular injury markers and proteinuria levels suggests a possible breakdown in protein endocytosis in proximal tubular cells. Moreover, it is less likely that the acute reduction in intra-glomerular pressure is the primary cause of tubular injury, as it might result in a decrease in both glomerular filtration rate and proteinuria levels. It is conceivable that massive proteinuria, in conjunction with the patient's clinical characteristics, may contribute to tubular injury, ultimately leading to severe AKI in this patient.</p>","PeriodicalId":9604,"journal":{"name":"Case Reports in Nephrology","volume":"2024 ","pages":"1505583"},"PeriodicalIF":0.0000,"publicationDate":"2024-04-30","publicationTypes":"Journal Article","fieldsOfStudy":null,"isOpenAccess":false,"openAccessPdf":"https://www.ncbi.nlm.nih.gov/pmc/articles/PMC11074827/pdf/","citationCount":"0","resultStr":"{\"title\":\"An Elderly Case of Minimal Change Nephrotic Syndrome: Correlation between Renal Tubular Dysfunction and the Onset of Oliguric Acute Kidney Injury Requiring Hemodialysis.\",\"authors\":\"Maika Gojo, Chikayuki Morimoto, Syuntaro Taira, Minoru Yasukawa, Shinichiro Asakawa, Michito Nagura, Shigeyuki Arai, Osamu Yamazaki, Yoshifuru Tamura, Shigeru Shibata, Yoshihide Fujigaki\",\"doi\":\"10.1155/2024/1505583\",\"DOIUrl\":null,\"url\":null,\"abstract\":\"<p><p>Several theories have been proposed to explain the development of severe acute kidney injury (AKI) in patients with minimal change nephrotic syndrome (MCNS), but the exact mechanism remains unclear. We encountered an elderly patient with biopsy-proven MCNS who suffered from oliguric AKI, which required hemodialysis at the onset and during the first relapse of nephrotic syndrome. Throughout her relapse, we were able to monitor tubular injury markers, namely, urinary N-acetyl-<i>β</i>-D-glucosaminidase and urinary alpha-1-microglobulin levels. This patient had hypertension. 8.5 years after achieving complete remission, she experienced a relapse of nephrotic syndrome accompanied by AKI, necessitating hemodialysis. The hemodialysis was discontinued after 7 weeks of corticosteroid therapy and cyclosporin A treatment. During this relapse, we observed a correlation between the sudden increase in renal tubular injury markers and proteinuria levels and the progression of severe AKI. Conversely, a reduction in renal tubular injury markers and proteinuria was associated with the resolution of AKI. The abrupt elevation of both tubular injury markers and proteinuria levels suggests a possible breakdown in protein endocytosis in proximal tubular cells. Moreover, it is less likely that the acute reduction in intra-glomerular pressure is the primary cause of tubular injury, as it might result in a decrease in both glomerular filtration rate and proteinuria levels. It is conceivable that massive proteinuria, in conjunction with the patient's clinical characteristics, may contribute to tubular injury, ultimately leading to severe AKI in this patient.</p>\",\"PeriodicalId\":9604,\"journal\":{\"name\":\"Case Reports in Nephrology\",\"volume\":\"2024 \",\"pages\":\"1505583\"},\"PeriodicalIF\":0.0000,\"publicationDate\":\"2024-04-30\",\"publicationTypes\":\"Journal Article\",\"fieldsOfStudy\":null,\"isOpenAccess\":false,\"openAccessPdf\":\"https://www.ncbi.nlm.nih.gov/pmc/articles/PMC11074827/pdf/\",\"citationCount\":\"0\",\"resultStr\":null,\"platform\":\"Semanticscholar\",\"paperid\":null,\"PeriodicalName\":\"Case Reports in Nephrology\",\"FirstCategoryId\":\"1085\",\"ListUrlMain\":\"https://doi.org/10.1155/2024/1505583\",\"RegionNum\":0,\"RegionCategory\":null,\"ArticlePicture\":[],\"TitleCN\":null,\"AbstractTextCN\":null,\"PMCID\":null,\"EPubDate\":\"2024/1/1 0:00:00\",\"PubModel\":\"eCollection\",\"JCR\":\"\",\"JCRName\":\"\",\"Score\":null,\"Total\":0}","platform":"Semanticscholar","paperid":null,"PeriodicalName":"Case Reports in Nephrology","FirstCategoryId":"1085","ListUrlMain":"https://doi.org/10.1155/2024/1505583","RegionNum":0,"RegionCategory":null,"ArticlePicture":[],"TitleCN":null,"AbstractTextCN":null,"PMCID":null,"EPubDate":"2024/1/1 0:00:00","PubModel":"eCollection","JCR":"","JCRName":"","Score":null,"Total":0}
引用次数: 0

摘要

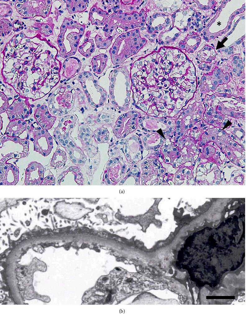
有几种理论可以解释微小病变肾病综合征(MCNS)患者发生严重急性肾损伤(AKI)的原因,但确切的机制仍不清楚。我们遇到过一位经活检证实患有 MCNS 的老年患者,她患有少尿性 AKI,在肾病综合征发病时和首次复发时都需要进行血液透析。在复发期间,我们一直在监测肾小管损伤标志物,即尿N-乙酰-β-D-葡萄糖苷酶和尿α-1-微球蛋白水平。该患者患有高血压。在病情完全缓解 8.5 年后,她的肾病综合征复发并伴有 AKI,需要进行血液透析。经过 7 周的皮质类固醇和环孢素 A 治疗后,血液透析停止。在这次复发期间,我们观察到肾小管损伤标志物和蛋白尿水平突然升高与严重的 AKI 进展之间存在相关性。相反,肾小管损伤标志物和蛋白尿的减少与 AKI 的缓解有关。肾小管损伤标志物和蛋白尿水平的突然升高表明,近端肾小管细胞的蛋白内吞功能可能出现了障碍。此外,肾小球内压急剧下降不太可能是肾小管损伤的主要原因,因为这可能导致肾小球滤过率和蛋白尿水平下降。可以想象,大量蛋白尿加上患者的临床特征,可能会造成肾小管损伤,最终导致该患者出现严重的 AKI。
本文章由计算机程序翻译,如有差异,请以英文原文为准。

An Elderly Case of Minimal Change Nephrotic Syndrome: Correlation between Renal Tubular Dysfunction and the Onset of Oliguric Acute Kidney Injury Requiring Hemodialysis.

An Elderly Case of Minimal Change Nephrotic Syndrome: Correlation between Renal Tubular Dysfunction and the Onset of Oliguric Acute Kidney Injury Requiring Hemodialysis.

An Elderly Case of Minimal Change Nephrotic Syndrome: Correlation between Renal Tubular Dysfunction and the Onset of Oliguric Acute Kidney Injury Requiring Hemodialysis.

An Elderly Case of Minimal Change Nephrotic Syndrome: Correlation between Renal Tubular Dysfunction and the Onset of Oliguric Acute Kidney Injury Requiring Hemodialysis.

Several theories have been proposed to explain the development of severe acute kidney injury (AKI) in patients with minimal change nephrotic syndrome (MCNS), but the exact mechanism remains unclear. We encountered an elderly patient with biopsy-proven MCNS who suffered from oliguric AKI, which required hemodialysis at the onset and during the first relapse of nephrotic syndrome. Throughout her relapse, we were able to monitor tubular injury markers, namely, urinary N-acetyl-β-D-glucosaminidase and urinary alpha-1-microglobulin levels. This patient had hypertension. 8.5 years after achieving complete remission, she experienced a relapse of nephrotic syndrome accompanied by AKI, necessitating hemodialysis. The hemodialysis was discontinued after 7 weeks of corticosteroid therapy and cyclosporin A treatment. During this relapse, we observed a correlation between the sudden increase in renal tubular injury markers and proteinuria levels and the progression of severe AKI. Conversely, a reduction in renal tubular injury markers and proteinuria was associated with the resolution of AKI. The abrupt elevation of both tubular injury markers and proteinuria levels suggests a possible breakdown in protein endocytosis in proximal tubular cells. Moreover, it is less likely that the acute reduction in intra-glomerular pressure is the primary cause of tubular injury, as it might result in a decrease in both glomerular filtration rate and proteinuria levels. It is conceivable that massive proteinuria, in conjunction with the patient's clinical characteristics, may contribute to tubular injury, ultimately leading to severe AKI in this patient.

求助全文
通过发布文献求助,成功后即可免费获取论文全文。 去求助
来源期刊
Case Reports in Nephrology
Case Reports in Nephrology Medicine-Nephrology
CiteScore
1.70
自引率
0.00%
发文量
32
×
引用
GB/T 7714-2015
复制
MLA
复制
APA
复制
导出至
BibTeX EndNote RefMan NoteFirst NoteExpress
×
提示
您的信息不完整,为了账户安全,请先补充。
现在去补充
×
提示
您因"违规操作"
具体请查看互助需知
我知道了
×
提示
确定
请完成安全验证×
copy
已复制链接
快去分享给好友吧!
我知道了
右上角分享
点击右上角分享
0
联系我们:info@booksci.cn Book学术提供免费学术资源搜索服务,方便国内外学者检索中英文文献。致力于提供最便捷和优质的服务体验。 Copyright © 2023 布克学术 All rights reserved.
京ICP备2023020795号-1
ghs 京公网安备 11010802042870号
Book学术文献互助
Book学术文献互助群
群 号:604180095
Book学术官方微信