爱尔兰羊群首次报告与绵羊疱疹病毒 2 有关的 MCF 型全身坏死性血管炎病例。

IF 3.1 2区 农林科学 Q1 VETERINARY SCIENCES
Maresa Sheehan, Patricia A Pesavento, Francis Campion, John Lynch, Shane McGettrick, Brian Toland, Aideen Kennedy
{"title":"爱尔兰羊群首次报告与绵羊疱疹病毒 2 有关的 MCF 型全身坏死性血管炎病例。","authors":"Maresa Sheehan, Patricia A Pesavento, Francis Campion, John Lynch, Shane McGettrick, Brian Toland, Aideen Kennedy","doi":"10.1186/s13620-024-00269-w","DOIUrl":null,"url":null,"abstract":"<p><strong>Background: </strong>Ovine gammaherpesvirus 2 (OvHV-2) is the causative agent of sheep associated malignant catarrhal fever (MCF). As sheep are the adapted host for OvHV-2, it is generally presumed that infection is not associated with disease in this species. However, a recent case review combined in-situ hybridisation, PCR and histopathology and correlated the viral distribution with systemic necrotizing vasculitis and concluded OvHV-2 was the likely agent responsible for sporadic, MCF-like vascular disease in sheep.</p><p><strong>Case presentation: </strong>Using similar methods this case study reports on the findings of the first reported cases in an Irish Flock of MCF- like systemic necrotizing vasculitis in sheep associated with OvHV-2. Sheep A, a 16-month-old Texel-cross hogget displayed signs of ill- thrift, Sheep B, a nine-month-old Belclare-cross lamb, was found dead having displayed no obvious symptoms. Both cases occurred on the same farm, however the animals were not related. Lymphohistiocytic vasculitis of various tissues was the predominant histopathological finding in both animals.</p><p><strong>Conclusion: </strong>By combining histopathology, PCR and in-situ hybridisation results, MCF- like systemic necrotizing vasculitis associated with OvHV-2 has been diagnosed for the first time in an Irish flock.</p>","PeriodicalId":54916,"journal":{"name":"Irish Veterinary Journal","volume":"77 1","pages":"7"},"PeriodicalIF":3.1000,"publicationDate":"2024-05-04","publicationTypes":"Journal Article","fieldsOfStudy":null,"isOpenAccess":false,"openAccessPdf":"https://www.ncbi.nlm.nih.gov/pmc/articles/PMC11069233/pdf/","citationCount":"0","resultStr":"{\"title\":\"First reported case in an Irish flock of MCF- like systemic necrotizing vasculitis in sheep associated with ovine herpesvirus 2.\",\"authors\":\"Maresa Sheehan, Patricia A Pesavento, Francis Campion, John Lynch, Shane McGettrick, Brian Toland, Aideen Kennedy\",\"doi\":\"10.1186/s13620-024-00269-w\",\"DOIUrl\":null,\"url\":null,\"abstract\":\"<p><strong>Background: </strong>Ovine gammaherpesvirus 2 (OvHV-2) is the causative agent of sheep associated malignant catarrhal fever (MCF). As sheep are the adapted host for OvHV-2, it is generally presumed that infection is not associated with disease in this species. However, a recent case review combined in-situ hybridisation, PCR and histopathology and correlated the viral distribution with systemic necrotizing vasculitis and concluded OvHV-2 was the likely agent responsible for sporadic, MCF-like vascular disease in sheep.</p><p><strong>Case presentation: </strong>Using similar methods this case study reports on the findings of the first reported cases in an Irish Flock of MCF- like systemic necrotizing vasculitis in sheep associated with OvHV-2. Sheep A, a 16-month-old Texel-cross hogget displayed signs of ill- thrift, Sheep B, a nine-month-old Belclare-cross lamb, was found dead having displayed no obvious symptoms. Both cases occurred on the same farm, however the animals were not related. Lymphohistiocytic vasculitis of various tissues was the predominant histopathological finding in both animals.</p><p><strong>Conclusion: </strong>By combining histopathology, PCR and in-situ hybridisation results, MCF- like systemic necrotizing vasculitis associated with OvHV-2 has been diagnosed for the first time in an Irish flock.</p>\",\"PeriodicalId\":54916,\"journal\":{\"name\":\"Irish Veterinary Journal\",\"volume\":\"77 1\",\"pages\":\"7\"},\"PeriodicalIF\":3.1000,\"publicationDate\":\"2024-05-04\",\"publicationTypes\":\"Journal Article\",\"fieldsOfStudy\":null,\"isOpenAccess\":false,\"openAccessPdf\":\"https://www.ncbi.nlm.nih.gov/pmc/articles/PMC11069233/pdf/\",\"citationCount\":\"0\",\"resultStr\":null,\"platform\":\"Semanticscholar\",\"paperid\":null,\"PeriodicalName\":\"Irish Veterinary Journal\",\"FirstCategoryId\":\"97\",\"ListUrlMain\":\"https://doi.org/10.1186/s13620-024-00269-w\",\"RegionNum\":2,\"RegionCategory\":\"农林科学\",\"ArticlePicture\":[],\"TitleCN\":null,\"AbstractTextCN\":null,\"PMCID\":null,\"EPubDate\":\"\",\"PubModel\":\"\",\"JCR\":\"Q1\",\"JCRName\":\"VETERINARY SCIENCES\",\"Score\":null,\"Total\":0}","platform":"Semanticscholar","paperid":null,"PeriodicalName":"Irish Veterinary Journal","FirstCategoryId":"97","ListUrlMain":"https://doi.org/10.1186/s13620-024-00269-w","RegionNum":2,"RegionCategory":"农林科学","ArticlePicture":[],"TitleCN":null,"AbstractTextCN":null,"PMCID":null,"EPubDate":"","PubModel":"","JCR":"Q1","JCRName":"VETERINARY SCIENCES","Score":null,"Total":0}
引用次数: 0

摘要

背景:绵羊γ疱疹病毒 2(OvHV-2)是绵羊恶性卡他性热(MCF)的病原体。由于绵羊是 OvHV-2 的适应宿主,因此一般认为该病毒感染不会导致绵羊发病。然而,最近的一个病例回顾结合了原位杂交、PCR 和组织病理学,将病毒分布与全身性坏死性血管炎联系起来,得出的结论是 OvHV-2 很可能是导致绵羊散发性 MCF 样血管疾病的病原体:本病例研究采用类似的方法,报告了在爱尔兰羊群中首次发现的与 OvHV-2 相关的绵羊 MCF 型全身坏死性血管炎病例。绵羊 A 是一只 16 个月大的特克塞尔(Texel)杂交小猪,表现出瘦弱症状;绵羊 B 是一只 9 个月大的贝尔克莱尔(Belclare)杂交羔羊,在没有明显症状的情况下被发现死亡。这两起病例发生在同一个农场,但动物之间并无关联。两只绵羊的组织病理学检查结果均以各种组织的淋巴组织细胞性血管炎为主:通过结合组织病理学、PCR 和原位杂交结果,首次在爱尔兰鸡群中诊断出与 OvHV-2 相关的 MCF 型全身坏死性血管炎。
本文章由计算机程序翻译,如有差异,请以英文原文为准。

First reported case in an Irish flock of MCF- like systemic necrotizing vasculitis in sheep associated with ovine herpesvirus 2.

First reported case in an Irish flock of MCF- like systemic necrotizing vasculitis in sheep associated with ovine herpesvirus 2.

First reported case in an Irish flock of MCF- like systemic necrotizing vasculitis in sheep associated with ovine herpesvirus 2.

First reported case in an Irish flock of MCF- like systemic necrotizing vasculitis in sheep associated with ovine herpesvirus 2.

Background: Ovine gammaherpesvirus 2 (OvHV-2) is the causative agent of sheep associated malignant catarrhal fever (MCF). As sheep are the adapted host for OvHV-2, it is generally presumed that infection is not associated with disease in this species. However, a recent case review combined in-situ hybridisation, PCR and histopathology and correlated the viral distribution with systemic necrotizing vasculitis and concluded OvHV-2 was the likely agent responsible for sporadic, MCF-like vascular disease in sheep.

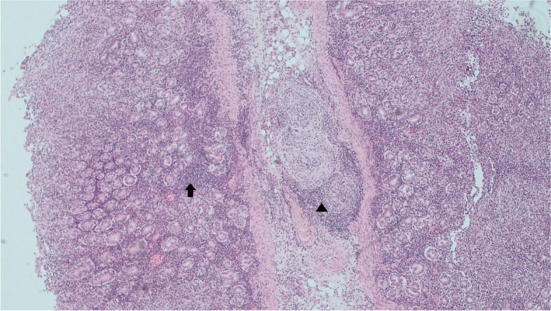
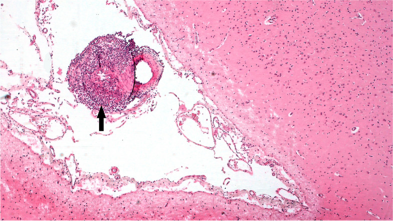
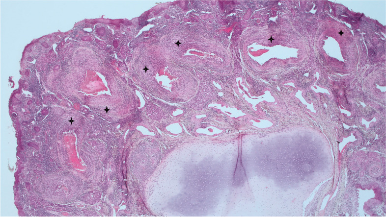
Case presentation: Using similar methods this case study reports on the findings of the first reported cases in an Irish Flock of MCF- like systemic necrotizing vasculitis in sheep associated with OvHV-2. Sheep A, a 16-month-old Texel-cross hogget displayed signs of ill- thrift, Sheep B, a nine-month-old Belclare-cross lamb, was found dead having displayed no obvious symptoms. Both cases occurred on the same farm, however the animals were not related. Lymphohistiocytic vasculitis of various tissues was the predominant histopathological finding in both animals.

Conclusion: By combining histopathology, PCR and in-situ hybridisation results, MCF- like systemic necrotizing vasculitis associated with OvHV-2 has been diagnosed for the first time in an Irish flock.

求助全文
通过发布文献求助,成功后即可免费获取论文全文。 去求助
来源期刊
Irish Veterinary Journal
Irish Veterinary Journal 农林科学-兽医学
CiteScore
4.80
自引率
3.40%
发文量
1
审稿时长
>36 weeks
期刊介绍: Irish Veterinary Journal is an open access journal with a vision to make a substantial contribution to the dissemination of evidence-based knowledge that will promote optimal health and welfare of both domestic and wild species of animals. Irish Veterinary Journal has a clinical research focus with an emphasis on the effective management of health in both individual and populations of animals. Published studies will be relevant to both the international veterinary profession and veterinary scientists. Papers relating to veterinary education, veterinary ethics, veterinary public health, or relevant studies in the area of social science (participatory research) are also within the scope of Irish Veterinary Journal.
×
引用
GB/T 7714-2015
复制
MLA
复制
APA
复制
导出至
BibTeX EndNote RefMan NoteFirst NoteExpress
×
提示
您的信息不完整,为了账户安全,请先补充。
现在去补充
×
提示
您因"违规操作"
具体请查看互助需知
我知道了
×
提示
确定
请完成安全验证×
copy
已复制链接
快去分享给好友吧!
我知道了
右上角分享
点击右上角分享
0
联系我们:info@booksci.cn Book学术提供免费学术资源搜索服务,方便国内外学者检索中英文文献。致力于提供最便捷和优质的服务体验。 Copyright © 2023 布克学术 All rights reserved.
京ICP备2023020795号-1
ghs 京公网安备 11010802042870号
Book学术文献互助
Book学术文献互助群
群 号:604180095
Book学术官方微信