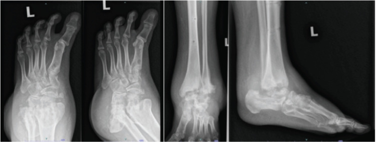
帕米膦酸钠输注治疗夏科关节病的疗效。

IF 0.6 Q4 ORTHOPEDICS
M Y Bajuri, N H Md-Noorpi, M K Yin, I Azman, N S Adib-Adham
{"title":"帕米膦酸钠输注治疗夏科关节病的疗效。","authors":"M Y Bajuri, N H Md-Noorpi, M K Yin, I Azman, N S Adib-Adham","doi":"10.5704/MOJ.2403.009","DOIUrl":null,"url":null,"abstract":"<p><strong>Introduction: </strong>The objective of this case series is to investigate the efficacy and safety of intravenous infusion of Pamidronate, a second generation bisphosphonate, in the treatment of active Charcot arthropathy.</p><p><strong>Materials and methods: </strong>All patients with active Charcot arthropathy treated at the medical centre from 1 January 2013 to 30 June 2020 were included in the study. Efficacy outcome was evaluated based on time to consolidate findings observed through radiographic examination, while safety outcome was evaluated based on the incidence of adverse event (AE) occurrence.</p><p><strong>Results: </strong>A total of 81 patients (37 male, 44 female) diagnosed with active Charcot arthropathy were included. 64.2% of patients were at stage 1 of Charcot arthropathy whereas 35.8% were at stage 2. The mean time to consolidate for stage 1 and stage 2 was 6.50 ± 4.21 months and 3.63 ± 2.92 months respectively (p-value = 0.139). No significant association was observed between gender, ethnicity and disease stage with the consolidation time (p-value >0.05). The rate of AE incidence was 2.5%, observed in 2 patients who developed a fever during the treatment. No other serious AE was observed in the study.</p><p><strong>Conclusion: </strong>Intravenous Pamidronate infusion is a safe and effective treatment option for Charcot arthropathy.</p>","PeriodicalId":45241,"journal":{"name":"Malaysian Orthopaedic Journal","volume":"18 1","pages":"66-72"},"PeriodicalIF":0.6000,"publicationDate":"2024-03-01","publicationTypes":"Journal Article","fieldsOfStudy":null,"isOpenAccess":false,"openAccessPdf":"https://www.ncbi.nlm.nih.gov/pmc/articles/PMC11023355/pdf/","citationCount":"0","resultStr":"{\"title\":\"Effectiveness of Pamidronate Infusion in the Treatment of Charcot Arthropathy.\",\"authors\":\"M Y Bajuri, N H Md-Noorpi, M K Yin, I Azman, N S Adib-Adham\",\"doi\":\"10.5704/MOJ.2403.009\",\"DOIUrl\":null,\"url\":null,\"abstract\":\"<p><strong>Introduction: </strong>The objective of this case series is to investigate the efficacy and safety of intravenous infusion of Pamidronate, a second generation bisphosphonate, in the treatment of active Charcot arthropathy.</p><p><strong>Materials and methods: </strong>All patients with active Charcot arthropathy treated at the medical centre from 1 January 2013 to 30 June 2020 were included in the study. Efficacy outcome was evaluated based on time to consolidate findings observed through radiographic examination, while safety outcome was evaluated based on the incidence of adverse event (AE) occurrence.</p><p><strong>Results: </strong>A total of 81 patients (37 male, 44 female) diagnosed with active Charcot arthropathy were included. 64.2% of patients were at stage 1 of Charcot arthropathy whereas 35.8% were at stage 2. The mean time to consolidate for stage 1 and stage 2 was 6.50 ± 4.21 months and 3.63 ± 2.92 months respectively (p-value = 0.139). No significant association was observed between gender, ethnicity and disease stage with the consolidation time (p-value >0.05). The rate of AE incidence was 2.5%, observed in 2 patients who developed a fever during the treatment. No other serious AE was observed in the study.</p><p><strong>Conclusion: </strong>Intravenous Pamidronate infusion is a safe and effective treatment option for Charcot arthropathy.</p>\",\"PeriodicalId\":45241,\"journal\":{\"name\":\"Malaysian Orthopaedic Journal\",\"volume\":\"18 1\",\"pages\":\"66-72\"},\"PeriodicalIF\":0.6000,\"publicationDate\":\"2024-03-01\",\"publicationTypes\":\"Journal Article\",\"fieldsOfStudy\":null,\"isOpenAccess\":false,\"openAccessPdf\":\"https://www.ncbi.nlm.nih.gov/pmc/articles/PMC11023355/pdf/\",\"citationCount\":\"0\",\"resultStr\":null,\"platform\":\"Semanticscholar\",\"paperid\":null,\"PeriodicalName\":\"Malaysian Orthopaedic Journal\",\"FirstCategoryId\":\"1085\",\"ListUrlMain\":\"https://doi.org/10.5704/MOJ.2403.009\",\"RegionNum\":0,\"RegionCategory\":null,\"ArticlePicture\":[],\"TitleCN\":null,\"AbstractTextCN\":null,\"PMCID\":null,\"EPubDate\":\"\",\"PubModel\":\"\",\"JCR\":\"Q4\",\"JCRName\":\"ORTHOPEDICS\",\"Score\":null,\"Total\":0}","platform":"Semanticscholar","paperid":null,"PeriodicalName":"Malaysian Orthopaedic Journal","FirstCategoryId":"1085","ListUrlMain":"https://doi.org/10.5704/MOJ.2403.009","RegionNum":0,"RegionCategory":null,"ArticlePicture":[],"TitleCN":null,"AbstractTextCN":null,"PMCID":null,"EPubDate":"","PubModel":"","JCR":"Q4","JCRName":"ORTHOPEDICS","Score":null,"Total":0}
引用次数: 0

摘要

简介本病例系列旨在研究静脉输注第二代双膦酸盐帕米膦酸钠治疗活动性夏科关节病的有效性和安全性:研究对象包括2013年1月1日至2020年6月30日期间在该医疗中心接受治疗的所有活动性夏科关节病患者。疗效根据影像学检查结果的巩固时间进行评估,安全性根据不良事件(AE)发生率进行评估:共纳入81名确诊为活动性夏科关节病的患者(37名男性,44名女性)。64.2%的患者处于夏科关节病的第一阶段,35.8%的患者处于第二阶段。第一期和第二期的平均巩固时间分别为 6.50 ± 4.21 个月和 3.63 ± 2.92 个月(P 值 = 0.139)。性别、种族和疾病分期与巩固治疗时间无明显关联(P 值大于 0.05)。AE发生率为2.5%,2名患者在治疗期间出现发烧。研究中未观察到其他严重的不良反应:结论:静脉注射帕米膦酸钠是治疗夏科关节病的一种安全有效的方法。
本文章由计算机程序翻译,如有差异,请以英文原文为准。

Effectiveness of Pamidronate Infusion in the Treatment of Charcot Arthropathy.

Effectiveness of Pamidronate Infusion in the Treatment of Charcot Arthropathy.

Effectiveness of Pamidronate Infusion in the Treatment of Charcot Arthropathy.

Effectiveness of Pamidronate Infusion in the Treatment of Charcot Arthropathy.

Introduction: The objective of this case series is to investigate the efficacy and safety of intravenous infusion of Pamidronate, a second generation bisphosphonate, in the treatment of active Charcot arthropathy.

Materials and methods: All patients with active Charcot arthropathy treated at the medical centre from 1 January 2013 to 30 June 2020 were included in the study. Efficacy outcome was evaluated based on time to consolidate findings observed through radiographic examination, while safety outcome was evaluated based on the incidence of adverse event (AE) occurrence.

Results: A total of 81 patients (37 male, 44 female) diagnosed with active Charcot arthropathy were included. 64.2% of patients were at stage 1 of Charcot arthropathy whereas 35.8% were at stage 2. The mean time to consolidate for stage 1 and stage 2 was 6.50 ± 4.21 months and 3.63 ± 2.92 months respectively (p-value = 0.139). No significant association was observed between gender, ethnicity and disease stage with the consolidation time (p-value >0.05). The rate of AE incidence was 2.5%, observed in 2 patients who developed a fever during the treatment. No other serious AE was observed in the study.

Conclusion: Intravenous Pamidronate infusion is a safe and effective treatment option for Charcot arthropathy.

求助全文
通过发布文献求助,成功后即可免费获取论文全文。 去求助
来源期刊
CiteScore
1.30
自引率
0.00%
发文量
104
审稿时长
24 weeks
期刊介绍: The Malaysian Orthopaedic Journal is a peer-reviewed journal that publishes original papers and case reports three times a year in both printed and electronic version. The purpose of MOJ is to disseminate new knowledge and provide updates in Orthopaedics, trauma and musculoskeletal research. It is an Open Access journal that does not require processing fee or article processing charge from the authors. The Malaysian Orthopaedic Journal is the official journal of Malaysian Orthopaedic Association (MOA) and ASEAN Orthopaedic Association (AOA).
×
引用
GB/T 7714-2015
复制
MLA
复制
APA
复制
导出至
BibTeX EndNote RefMan NoteFirst NoteExpress
×
提示
您的信息不完整,为了账户安全,请先补充。
现在去补充
×
提示
您因"违规操作"
具体请查看互助需知
我知道了
×
提示
确定
请完成安全验证×
copy
已复制链接
快去分享给好友吧!
我知道了
右上角分享
点击右上角分享
0
联系我们:info@booksci.cn Book学术提供免费学术资源搜索服务,方便国内外学者检索中英文文献。致力于提供最便捷和优质的服务体验。 Copyright © 2023 布克学术 All rights reserved.
京ICP备2023020795号-1
ghs 京公网安备 11010802042870号
Book学术文献互助
Book学术文献互助群
群 号:604180095
Book学术官方微信