开放性骨折及相关并发症的处理:日本方法。

Hiroaki Minehara, Yukichi Zenke, Akihiro Maruo, Takashi Matsushita, Theodore Miclau
{"title":"开放性骨折及相关并发症的处理:日本方法。","authors":"Hiroaki Minehara, Yukichi Zenke, Akihiro Maruo, Takashi Matsushita, Theodore Miclau","doi":"10.1097/OI9.0000000000000325","DOIUrl":null,"url":null,"abstract":"<p><p>Open fractures continue to be a challenging clinical problem throughout the world, and Japan is no exception. Surgeons are faced with critical decisions throughout the care of these injuries that can have significant effects in clinical outcome, ranging from the type and timing of antibiotic administration, fixation, soft-tissue management, and interventions for postfracture complications. In October 2022, the Japanese Society for Fracture Repair (JSFR) was invited to represent Japan as the Guest Nation society at the 38th Annual Meeting of the Orthopaedic Trauma Society held in Tampa, Florida. The JSFR organized a symposium, entitled \"Management of Open Fracture and related complications-the Japanese way,\" that featured cutting-edge approaches to open fractures in their country, including presentations on the \"fix-and-flap\" approach, local antibiotics perfusion delivery, and a \"chipping\" method for the stimulation of bone healing. This article summarizes the content of these 3 presentations from that symposium.</p>","PeriodicalId":74381,"journal":{"name":"OTA international : the open access journal of orthopaedic trauma","volume":"7 3 Suppl","pages":"e325"},"PeriodicalIF":0.0000,"publicationDate":"2024-05-03","publicationTypes":"Journal Article","fieldsOfStudy":null,"isOpenAccess":false,"openAccessPdf":"https://www.ncbi.nlm.nih.gov/pmc/articles/PMC11064782/pdf/","citationCount":"0","resultStr":"{\"title\":\"Management of open fracture and related complications: the Japanese way.\",\"authors\":\"Hiroaki Minehara, Yukichi Zenke, Akihiro Maruo, Takashi Matsushita, Theodore Miclau\",\"doi\":\"10.1097/OI9.0000000000000325\",\"DOIUrl\":null,\"url\":null,\"abstract\":\"<p><p>Open fractures continue to be a challenging clinical problem throughout the world, and Japan is no exception. Surgeons are faced with critical decisions throughout the care of these injuries that can have significant effects in clinical outcome, ranging from the type and timing of antibiotic administration, fixation, soft-tissue management, and interventions for postfracture complications. In October 2022, the Japanese Society for Fracture Repair (JSFR) was invited to represent Japan as the Guest Nation society at the 38th Annual Meeting of the Orthopaedic Trauma Society held in Tampa, Florida. The JSFR organized a symposium, entitled \\\"Management of Open Fracture and related complications-the Japanese way,\\\" that featured cutting-edge approaches to open fractures in their country, including presentations on the \\\"fix-and-flap\\\" approach, local antibiotics perfusion delivery, and a \\\"chipping\\\" method for the stimulation of bone healing. This article summarizes the content of these 3 presentations from that symposium.</p>\",\"PeriodicalId\":74381,\"journal\":{\"name\":\"OTA international : the open access journal of orthopaedic trauma\",\"volume\":\"7 3 Suppl\",\"pages\":\"e325\"},\"PeriodicalIF\":0.0000,\"publicationDate\":\"2024-05-03\",\"publicationTypes\":\"Journal Article\",\"fieldsOfStudy\":null,\"isOpenAccess\":false,\"openAccessPdf\":\"https://www.ncbi.nlm.nih.gov/pmc/articles/PMC11064782/pdf/\",\"citationCount\":\"0\",\"resultStr\":null,\"platform\":\"Semanticscholar\",\"paperid\":null,\"PeriodicalName\":\"OTA international : the open access journal of orthopaedic trauma\",\"FirstCategoryId\":\"1085\",\"ListUrlMain\":\"https://doi.org/10.1097/OI9.0000000000000325\",\"RegionNum\":0,\"RegionCategory\":null,\"ArticlePicture\":[],\"TitleCN\":null,\"AbstractTextCN\":null,\"PMCID\":null,\"EPubDate\":\"2024/5/1 0:00:00\",\"PubModel\":\"eCollection\",\"JCR\":\"\",\"JCRName\":\"\",\"Score\":null,\"Total\":0}","platform":"Semanticscholar","paperid":null,"PeriodicalName":"OTA international : the open access journal of orthopaedic trauma","FirstCategoryId":"1085","ListUrlMain":"https://doi.org/10.1097/OI9.0000000000000325","RegionNum":0,"RegionCategory":null,"ArticlePicture":[],"TitleCN":null,"AbstractTextCN":null,"PMCID":null,"EPubDate":"2024/5/1 0:00:00","PubModel":"eCollection","JCR":"","JCRName":"","Score":null,"Total":0}
引用次数: 0

摘要

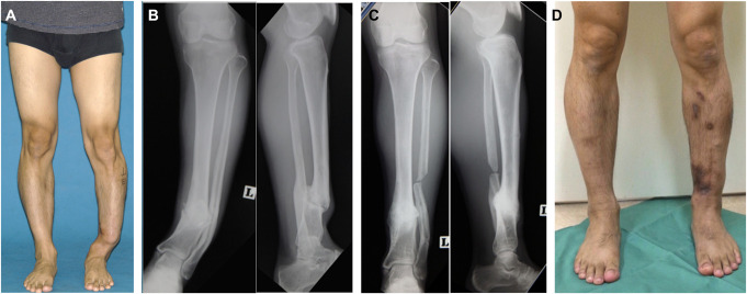
在世界各地,开放性骨折仍然是一个具有挑战性的临床问题,日本也不例外。外科医生在治疗这些损伤的整个过程中都面临着关键的决定,这些决定可能会对临床结果产生重大影响,包括抗生素用药的类型和时机、固定、软组织处理以及骨折后并发症的干预等。2022 年 10 月,日本骨折修复学会(JSFR)应邀作为主宾国学会代表日本参加了在佛罗里达州坦帕市举行的第 38 届创伤骨科学会年会。日本开放性骨折修复协会组织了一场题为 "开放性骨折及相关并发症的治疗--日本的方法 "的研讨会,会上介绍了日本治疗开放性骨折的前沿方法,包括 "固定-翻瓣 "法、局部抗生素灌注法和刺激骨愈合的 "削骨 "法。本文总结了研讨会上这 3 个演讲的内容。
本文章由计算机程序翻译,如有差异,请以英文原文为准。

Management of open fracture and related complications: the Japanese way.

Management of open fracture and related complications: the Japanese way.

Management of open fracture and related complications: the Japanese way.

Management of open fracture and related complications: the Japanese way.

Open fractures continue to be a challenging clinical problem throughout the world, and Japan is no exception. Surgeons are faced with critical decisions throughout the care of these injuries that can have significant effects in clinical outcome, ranging from the type and timing of antibiotic administration, fixation, soft-tissue management, and interventions for postfracture complications. In October 2022, the Japanese Society for Fracture Repair (JSFR) was invited to represent Japan as the Guest Nation society at the 38th Annual Meeting of the Orthopaedic Trauma Society held in Tampa, Florida. The JSFR organized a symposium, entitled "Management of Open Fracture and related complications-the Japanese way," that featured cutting-edge approaches to open fractures in their country, including presentations on the "fix-and-flap" approach, local antibiotics perfusion delivery, and a "chipping" method for the stimulation of bone healing. This article summarizes the content of these 3 presentations from that symposium.

求助全文
通过发布文献求助,成功后即可免费获取论文全文。 去求助
来源期刊
自引率
0.00%
发文量
0
审稿时长
4 weeks
×
引用
GB/T 7714-2015
复制
MLA
复制
APA
复制
导出至
BibTeX EndNote RefMan NoteFirst NoteExpress
×
提示
您的信息不完整,为了账户安全,请先补充。
现在去补充
×
提示
您因"违规操作"
具体请查看互助需知
我知道了
×
提示
确定
请完成安全验证×
copy
已复制链接
快去分享给好友吧!
我知道了
右上角分享
点击右上角分享
0
联系我们:info@booksci.cn Book学术提供免费学术资源搜索服务,方便国内外学者检索中英文文献。致力于提供最便捷和优质的服务体验。 Copyright © 2023 布克学术 All rights reserved.
京ICP备2023020795号-1
ghs 京公网安备 11010802042870号
Book学术文献互助
Book学术文献互助群
群 号:604180095
Book学术官方微信