面部浅层脂肪瘤:病例报告与文献综述

IF 1.5 Q3 SURGERY
Archives of Plastic Surgery-APS Pub Date : 2024-01-24 eCollection Date: 2024-03-01 DOI:10.1055/a-2222-1226
Jae-Won Yang, Mi-Ok Park
{"title":"面部浅层脂肪瘤:病例报告与文献综述","authors":"Jae-Won Yang, Mi-Ok Park","doi":"10.1055/a-2222-1226","DOIUrl":null,"url":null,"abstract":"<p><p>Nevus lipomatosus superficialis (NLS) is a hamartoma of adipose tissue, rarely reported in the past 100 years. We treated one case, and we conducted a systematic review of the literature. A 41-year-old man presented with a cutaneous multinodular lesion in the posterior region near the right auricle. The lesion was excised and examined histopathologically. To review the literature, we searched PubMed with the keyword \"NLS.\" The search was limited to articles written in English and whose full text was available. We analyzed the following data: year of report, nation of corresponding author, sex of patient, age at onset, duration of disease, location of lesion, type of lesion, associated symptoms, pathological findings, and treatment. Of 158 relevant articles in PubMed, 112 fulfilled our inclusion criteria; these referred to a total of 149 cases (cases with insufficient clinical information were excluded). In rare cases, the diagnosis of NLS was confirmed when the lesion coexisted with sebaceous trichofolliculoma and <i>Demodex</i> infestation. Clinical awareness for NLS has increased recently. NLS is an indolent and asymptomatic benign neoplasm that may exhibit malignant behavior in terms of huge lesion size and specific anatomical location. Early detection and curative treatment should be promoted.</p>","PeriodicalId":47543,"journal":{"name":"Archives of Plastic Surgery-APS","volume":"51 2","pages":"196-201"},"PeriodicalIF":1.5000,"publicationDate":"2024-01-24","publicationTypes":"Journal Article","fieldsOfStudy":null,"isOpenAccess":false,"openAccessPdf":"https://www.ncbi.nlm.nih.gov/pmc/articles/PMC11001440/pdf/","citationCount":"0","resultStr":"{\"title\":\"The Nevus Lipomatosus Superficialis of Face: A Case Report and Literature Review.\",\"authors\":\"Jae-Won Yang, Mi-Ok Park\",\"doi\":\"10.1055/a-2222-1226\",\"DOIUrl\":null,\"url\":null,\"abstract\":\"<p><p>Nevus lipomatosus superficialis (NLS) is a hamartoma of adipose tissue, rarely reported in the past 100 years. We treated one case, and we conducted a systematic review of the literature. A 41-year-old man presented with a cutaneous multinodular lesion in the posterior region near the right auricle. The lesion was excised and examined histopathologically. To review the literature, we searched PubMed with the keyword \\\"NLS.\\\" The search was limited to articles written in English and whose full text was available. We analyzed the following data: year of report, nation of corresponding author, sex of patient, age at onset, duration of disease, location of lesion, type of lesion, associated symptoms, pathological findings, and treatment. Of 158 relevant articles in PubMed, 112 fulfilled our inclusion criteria; these referred to a total of 149 cases (cases with insufficient clinical information were excluded). In rare cases, the diagnosis of NLS was confirmed when the lesion coexisted with sebaceous trichofolliculoma and <i>Demodex</i> infestation. Clinical awareness for NLS has increased recently. NLS is an indolent and asymptomatic benign neoplasm that may exhibit malignant behavior in terms of huge lesion size and specific anatomical location. Early detection and curative treatment should be promoted.</p>\",\"PeriodicalId\":47543,\"journal\":{\"name\":\"Archives of Plastic Surgery-APS\",\"volume\":\"51 2\",\"pages\":\"196-201\"},\"PeriodicalIF\":1.5000,\"publicationDate\":\"2024-01-24\",\"publicationTypes\":\"Journal Article\",\"fieldsOfStudy\":null,\"isOpenAccess\":false,\"openAccessPdf\":\"https://www.ncbi.nlm.nih.gov/pmc/articles/PMC11001440/pdf/\",\"citationCount\":\"0\",\"resultStr\":null,\"platform\":\"Semanticscholar\",\"paperid\":null,\"PeriodicalName\":\"Archives of Plastic Surgery-APS\",\"FirstCategoryId\":\"1085\",\"ListUrlMain\":\"https://doi.org/10.1055/a-2222-1226\",\"RegionNum\":0,\"RegionCategory\":null,\"ArticlePicture\":[],\"TitleCN\":null,\"AbstractTextCN\":null,\"PMCID\":null,\"EPubDate\":\"2024/3/1 0:00:00\",\"PubModel\":\"eCollection\",\"JCR\":\"Q3\",\"JCRName\":\"SURGERY\",\"Score\":null,\"Total\":0}","platform":"Semanticscholar","paperid":null,"PeriodicalName":"Archives of Plastic Surgery-APS","FirstCategoryId":"1085","ListUrlMain":"https://doi.org/10.1055/a-2222-1226","RegionNum":0,"RegionCategory":null,"ArticlePicture":[],"TitleCN":null,"AbstractTextCN":null,"PMCID":null,"EPubDate":"2024/3/1 0:00:00","PubModel":"eCollection","JCR":"Q3","JCRName":"SURGERY","Score":null,"Total":0}
引用次数: 0

摘要

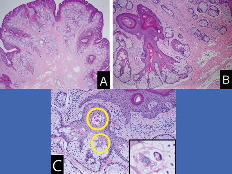
浅表脂肪瘤(NLS)是一种脂肪组织火腿肠瘤,近百年来鲜有报道。我们治疗了一例患者,并对文献进行了系统回顾。一名 41 岁的男性患者出现皮肤多结节性病变,位于右耳廓附近的后部区域。病变切除后进行了组织病理学检查。为了回顾文献,我们在 PubMed 上以 "NLS "为关键词进行了搜索。搜索仅限于用英语撰写且全文可用的文章。我们分析了以下数据:报告年份、通讯作者国籍、患者性别、发病年龄、病程、病变位置、病变类型、相关症状、病理结果和治疗方法。在 PubMed 上的 158 篇相关文章中,有 112 篇符合我们的纳入标准;这些文章共涉及 149 个病例(临床信息不足的病例被排除在外)。在极少数病例中,当皮损与皮脂腺三毛囊瘤和德莫德克虫病同时存在时,NLS 的诊断得到了证实。最近,临床上对 NLS 的认识有所提高。NLS 是一种无症状、不活跃的良性肿瘤,可因病变巨大和解剖位置特殊而表现出恶性行为。应促进早期发现和治疗。
本文章由计算机程序翻译,如有差异,请以英文原文为准。

The Nevus Lipomatosus Superficialis of Face: A Case Report and Literature Review.

The Nevus Lipomatosus Superficialis of Face: A Case Report and Literature Review.

The Nevus Lipomatosus Superficialis of Face: A Case Report and Literature Review.

The Nevus Lipomatosus Superficialis of Face: A Case Report and Literature Review.

Nevus lipomatosus superficialis (NLS) is a hamartoma of adipose tissue, rarely reported in the past 100 years. We treated one case, and we conducted a systematic review of the literature. A 41-year-old man presented with a cutaneous multinodular lesion in the posterior region near the right auricle. The lesion was excised and examined histopathologically. To review the literature, we searched PubMed with the keyword "NLS." The search was limited to articles written in English and whose full text was available. We analyzed the following data: year of report, nation of corresponding author, sex of patient, age at onset, duration of disease, location of lesion, type of lesion, associated symptoms, pathological findings, and treatment. Of 158 relevant articles in PubMed, 112 fulfilled our inclusion criteria; these referred to a total of 149 cases (cases with insufficient clinical information were excluded). In rare cases, the diagnosis of NLS was confirmed when the lesion coexisted with sebaceous trichofolliculoma and Demodex infestation. Clinical awareness for NLS has increased recently. NLS is an indolent and asymptomatic benign neoplasm that may exhibit malignant behavior in terms of huge lesion size and specific anatomical location. Early detection and curative treatment should be promoted.

求助全文
通过发布文献求助,成功后即可免费获取论文全文。 去求助
来源期刊
CiteScore
2.10
自引率
6.70%
发文量
131
审稿时长
10 weeks
×
引用
GB/T 7714-2015
复制
MLA
复制
APA
复制
导出至
BibTeX EndNote RefMan NoteFirst NoteExpress
×
提示
您的信息不完整,为了账户安全,请先补充。
现在去补充
×
提示
您因"违规操作"
具体请查看互助需知
我知道了
×
提示
确定
请完成安全验证×
copy
已复制链接
快去分享给好友吧!
我知道了
右上角分享
点击右上角分享
0
联系我们:info@booksci.cn Book学术提供免费学术资源搜索服务,方便国内外学者检索中英文文献。致力于提供最便捷和优质的服务体验。 Copyright © 2023 布克学术 All rights reserved.
京ICP备2023020795号-1
ghs 京公网安备 11010802042870号
Book学术文献互助
Book学术文献互助群
群 号:604180095
Book学术官方微信