奥马珠单抗治疗慢性嗜酸性粒细胞肺炎的结果:真实数据。

Buket Başa Akdoğan, Kurtuluş Aksu, İlkay Koca Kalkan, Gözde Köycü Buhari, Özlem Özdedeoğlu, Hale Ateş, Ferda Öner Erkekol
{"title":"奥马珠单抗治疗慢性嗜酸性粒细胞肺炎的结果:真实数据。","authors":"Buket Başa Akdoğan, Kurtuluş Aksu, İlkay Koca Kalkan, Gözde Köycü Buhari, Özlem Özdedeoğlu, Hale Ateş, Ferda Öner Erkekol","doi":"10.5578/tt.202401795","DOIUrl":null,"url":null,"abstract":"<p><strong>Introduction: </strong>Recurrences occur when corticosteroid therapy is discontinued or reduced during the treatment of chronic eosinophilic pneumonia (CEP). The probability of recurrence is once in 50% of patients and twice or more in 25%. In such instances, new treatment options are deemed necessary. This study aims to assess the efficacy of omalizumab treatment as a steroid-sparing drug in patients with CEP.</p><p><strong>Materials and methods: </strong>The clinical features of patients treated with omalizumab for recurrent CEP were evaluated retrospectively before and after treatment. All data from patients and diagnoses were reviewed. The effects of treatment on recurrence rate, oral corticosteroid (OCS) use and lung functions, peripheral eosinophil values, and symptom scores were evaluated. Radiological regression was also evaluated.</p><p><strong>Result: </strong>In the final analysis, we included ten patients with a median follow-up of 22 months after initiation of omalizumab. During this follow-up period, the results were associated with a significant reduction in the number of asthma attacks per year, the number of CEP relapses, the rate of hospitalization, the amount of corticosteroids consumed daily, and the total corticosteroid dose. In addition, improvement was observed in the symptom scores and lung functions of the patients. Systemic steroids were completely discontinued in two patients receiving omalizumab treatment. In other patients, the mean steroid dose was reduced by 77.2 percent in the first year of omalizumab treatment and 82 percent in the second year, respectively. Nevertheless, there was no elevation in peripheral eosinophil count, and radiological regression was observed.</p><p><strong>Conclusions: </strong>Omalizumab can be an effective treatment for CEP and can be used as a steroid-sparing agent.</p>","PeriodicalId":519894,"journal":{"name":"Tuberkuloz ve toraks","volume":"72 1","pages":"71-81"},"PeriodicalIF":0.0000,"publicationDate":"2024-03-01","publicationTypes":"Journal Article","fieldsOfStudy":null,"isOpenAccess":false,"openAccessPdf":"https://www.ncbi.nlm.nih.gov/pmc/articles/PMC11390094/pdf/","citationCount":"0","resultStr":"{\"title\":\"Results of omalizumab treatment in chronic eosinophilic pneumonia: Real-life data.\",\"authors\":\"Buket Başa Akdoğan, Kurtuluş Aksu, İlkay Koca Kalkan, Gözde Köycü Buhari, Özlem Özdedeoğlu, Hale Ateş, Ferda Öner Erkekol\",\"doi\":\"10.5578/tt.202401795\",\"DOIUrl\":null,\"url\":null,\"abstract\":\"<p><strong>Introduction: </strong>Recurrences occur when corticosteroid therapy is discontinued or reduced during the treatment of chronic eosinophilic pneumonia (CEP). The probability of recurrence is once in 50% of patients and twice or more in 25%. In such instances, new treatment options are deemed necessary. This study aims to assess the efficacy of omalizumab treatment as a steroid-sparing drug in patients with CEP.</p><p><strong>Materials and methods: </strong>The clinical features of patients treated with omalizumab for recurrent CEP were evaluated retrospectively before and after treatment. All data from patients and diagnoses were reviewed. The effects of treatment on recurrence rate, oral corticosteroid (OCS) use and lung functions, peripheral eosinophil values, and symptom scores were evaluated. Radiological regression was also evaluated.</p><p><strong>Result: </strong>In the final analysis, we included ten patients with a median follow-up of 22 months after initiation of omalizumab. During this follow-up period, the results were associated with a significant reduction in the number of asthma attacks per year, the number of CEP relapses, the rate of hospitalization, the amount of corticosteroids consumed daily, and the total corticosteroid dose. In addition, improvement was observed in the symptom scores and lung functions of the patients. Systemic steroids were completely discontinued in two patients receiving omalizumab treatment. In other patients, the mean steroid dose was reduced by 77.2 percent in the first year of omalizumab treatment and 82 percent in the second year, respectively. Nevertheless, there was no elevation in peripheral eosinophil count, and radiological regression was observed.</p><p><strong>Conclusions: </strong>Omalizumab can be an effective treatment for CEP and can be used as a steroid-sparing agent.</p>\",\"PeriodicalId\":519894,\"journal\":{\"name\":\"Tuberkuloz ve toraks\",\"volume\":\"72 1\",\"pages\":\"71-81\"},\"PeriodicalIF\":0.0000,\"publicationDate\":\"2024-03-01\",\"publicationTypes\":\"Journal Article\",\"fieldsOfStudy\":null,\"isOpenAccess\":false,\"openAccessPdf\":\"https://www.ncbi.nlm.nih.gov/pmc/articles/PMC11390094/pdf/\",\"citationCount\":\"0\",\"resultStr\":null,\"platform\":\"Semanticscholar\",\"paperid\":null,\"PeriodicalName\":\"Tuberkuloz ve toraks\",\"FirstCategoryId\":\"1085\",\"ListUrlMain\":\"https://doi.org/10.5578/tt.202401795\",\"RegionNum\":0,\"RegionCategory\":null,\"ArticlePicture\":[],\"TitleCN\":null,\"AbstractTextCN\":null,\"PMCID\":null,\"EPubDate\":\"\",\"PubModel\":\"\",\"JCR\":\"\",\"JCRName\":\"\",\"Score\":null,\"Total\":0}","platform":"Semanticscholar","paperid":null,"PeriodicalName":"Tuberkuloz ve toraks","FirstCategoryId":"1085","ListUrlMain":"https://doi.org/10.5578/tt.202401795","RegionNum":0,"RegionCategory":null,"ArticlePicture":[],"TitleCN":null,"AbstractTextCN":null,"PMCID":null,"EPubDate":"","PubModel":"","JCR":"","JCRName":"","Score":null,"Total":0}
引用次数: 0

摘要

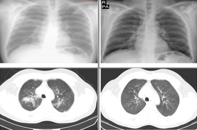
简介:在治疗慢性嗜酸性粒细胞肺炎(CEP)期间,如果停止或减少皮质类固醇治疗,就会出现复发。50%的患者复发一次,25%的患者复发两次或两次以上。在这种情况下,新的治疗方案被认为是必要的。本研究旨在评估奥马珠单抗作为类固醇保留药物治疗 CEP 患者的疗效:对接受奥马珠单抗治疗的复发性 CEP 患者在治疗前后的临床特征进行回顾性评估。回顾了患者和诊断的所有数据。评估了治疗对复发率、口服皮质类固醇(OCS)使用和肺功能、外周嗜酸性粒细胞值以及症状评分的影响。此外,还对放射学回归进行了评估:在最终分析中,我们纳入了 10 名患者,他们在开始使用奥马珠单抗后的中位随访时间为 22 个月。在这段随访期内,哮喘每年发作次数、CEP复发次数、住院率、每日皮质类固醇用量和皮质类固醇总剂量均显著减少。此外,患者的症状评分和肺功能也有所改善。接受奥马珠单抗治疗的两名患者完全停用了全身类固醇。在其他患者中,奥马珠单抗治疗第一年和第二年的平均类固醇剂量分别减少了77.2%和82%。尽管如此,外周嗜酸性粒细胞计数没有升高,并且观察到了放射学上的消退:结论:奥马珠单抗是治疗 CEP 的有效药物,可作为类固醇替代药物使用。
本文章由计算机程序翻译,如有差异,请以英文原文为准。

Results of omalizumab treatment in chronic eosinophilic pneumonia: Real-life data.

Results of omalizumab treatment in chronic eosinophilic pneumonia: Real-life data.

Results of omalizumab treatment in chronic eosinophilic pneumonia: Real-life data.

Introduction: Recurrences occur when corticosteroid therapy is discontinued or reduced during the treatment of chronic eosinophilic pneumonia (CEP). The probability of recurrence is once in 50% of patients and twice or more in 25%. In such instances, new treatment options are deemed necessary. This study aims to assess the efficacy of omalizumab treatment as a steroid-sparing drug in patients with CEP.

Materials and methods: The clinical features of patients treated with omalizumab for recurrent CEP were evaluated retrospectively before and after treatment. All data from patients and diagnoses were reviewed. The effects of treatment on recurrence rate, oral corticosteroid (OCS) use and lung functions, peripheral eosinophil values, and symptom scores were evaluated. Radiological regression was also evaluated.

Result: In the final analysis, we included ten patients with a median follow-up of 22 months after initiation of omalizumab. During this follow-up period, the results were associated with a significant reduction in the number of asthma attacks per year, the number of CEP relapses, the rate of hospitalization, the amount of corticosteroids consumed daily, and the total corticosteroid dose. In addition, improvement was observed in the symptom scores and lung functions of the patients. Systemic steroids were completely discontinued in two patients receiving omalizumab treatment. In other patients, the mean steroid dose was reduced by 77.2 percent in the first year of omalizumab treatment and 82 percent in the second year, respectively. Nevertheless, there was no elevation in peripheral eosinophil count, and radiological regression was observed.

Conclusions: Omalizumab can be an effective treatment for CEP and can be used as a steroid-sparing agent.

求助全文
通过发布文献求助,成功后即可免费获取论文全文。 去求助
来源期刊
自引率
0.00%
发文量
0
×
引用
GB/T 7714-2015
复制
MLA
复制
APA
复制
导出至
BibTeX EndNote RefMan NoteFirst NoteExpress
×
提示
您的信息不完整,为了账户安全,请先补充。
现在去补充
×
提示
您因"违规操作"
具体请查看互助需知
我知道了
×
提示
确定
请完成安全验证×
copy
已复制链接
快去分享给好友吧!
我知道了
右上角分享
点击右上角分享
0
联系我们:info@booksci.cn Book学术提供免费学术资源搜索服务,方便国内外学者检索中英文文献。致力于提供最便捷和优质的服务体验。 Copyright © 2023 布克学术 All rights reserved.
京ICP备2023020795号-1
ghs 京公网安备 11010802042870号
Book学术文献互助
Book学术文献互助群
群 号:604180095
Book学术官方微信