通过免疫组化检测 4-hydroxynonenal 的表达对宫颈癌的实用性。

IF 1.7 Q2 OBSTETRICS & GYNECOLOGY
Przeglad Menopauzalny Pub Date : 2024-03-01 Epub Date: 2024-03-18 DOI:10.5114/pm.2024.136356
Eva Tsoneva, Polina Dimitrova, Metodi Metodiev, Velizar Shivarov, Mariela Vasileva-Slaveva, Angel Yordanov, Stoyan Kostov
{"title":"通过免疫组化检测 4-hydroxynonenal 的表达对宫颈癌的实用性。","authors":"Eva Tsoneva, Polina Dimitrova, Metodi Metodiev, Velizar Shivarov, Mariela Vasileva-Slaveva, Angel Yordanov, Stoyan Kostov","doi":"10.5114/pm.2024.136356","DOIUrl":null,"url":null,"abstract":"<p><strong>Introduction: </strong>Cervical cancer (CC) is a leading cause of mortality in women around the world, with the highest incidence rate still being in developing countries. The most common aetiological factor is infection with high-risk human papilloma virus viral strains. Oxidative stress through generation of reactive oxygen species leads to lipid peroxidation and DNA damage. Studies show that reactive lipid electrophiles such as 4-hydroxynonenal (4-HNE) produced in the process play an important role in cancer signalling pathways and are a good biomarker for oxidative stress. We aim to investigate the prognostic role of 4-HNE as a biomarker for oxidative stress in patients in early and advanced stages of CC measured by immunohistochemistry.</p><p><strong>Material and methods: </strong>This is a retrospective study of 69 patients treated at our Department of Oncogynaecology. Paraffin embedded tumour tissues were immunohistochemically tested for the levels of expression of 4-HNE. The results for H-score, Allred score, and combined score were investigated for association with tumour size, lymph node status, andInternational Federation of Gynaecology and Obstetrics stage.</p><p><strong>Results: </strong>4-hydroxynonenal showed higher expression in more advanced stages of CC and in cases with involved lymph nodes. Tumour size was not associated with the levels of 4-HNE.</p><p><strong>Conclusions: </strong>To best of our knowledge, this is the first study to use immunohistochemistry to examine the expression of 4-HNE as a prognostic factor in CC. The 3 score systems showed similar results. The pattern of 4-HNE histological appearance is dependent on the histological origin of cancer and is not universal.</p>","PeriodicalId":55643,"journal":{"name":"Przeglad Menopauzalny","volume":"23 1","pages":"6-13"},"PeriodicalIF":1.7000,"publicationDate":"2024-03-01","publicationTypes":"Journal Article","fieldsOfStudy":null,"isOpenAccess":false,"openAccessPdf":"https://www.ncbi.nlm.nih.gov/pmc/articles/PMC11056727/pdf/","citationCount":"0","resultStr":"{\"title\":\"Utility of expression of 4-hydroxynonenal tested by immunohistochemistry for cervical cancer.\",\"authors\":\"Eva Tsoneva, Polina Dimitrova, Metodi Metodiev, Velizar Shivarov, Mariela Vasileva-Slaveva, Angel Yordanov, Stoyan Kostov\",\"doi\":\"10.5114/pm.2024.136356\",\"DOIUrl\":null,\"url\":null,\"abstract\":\"<p><strong>Introduction: </strong>Cervical cancer (CC) is a leading cause of mortality in women around the world, with the highest incidence rate still being in developing countries. The most common aetiological factor is infection with high-risk human papilloma virus viral strains. Oxidative stress through generation of reactive oxygen species leads to lipid peroxidation and DNA damage. Studies show that reactive lipid electrophiles such as 4-hydroxynonenal (4-HNE) produced in the process play an important role in cancer signalling pathways and are a good biomarker for oxidative stress. We aim to investigate the prognostic role of 4-HNE as a biomarker for oxidative stress in patients in early and advanced stages of CC measured by immunohistochemistry.</p><p><strong>Material and methods: </strong>This is a retrospective study of 69 patients treated at our Department of Oncogynaecology. Paraffin embedded tumour tissues were immunohistochemically tested for the levels of expression of 4-HNE. The results for H-score, Allred score, and combined score were investigated for association with tumour size, lymph node status, andInternational Federation of Gynaecology and Obstetrics stage.</p><p><strong>Results: </strong>4-hydroxynonenal showed higher expression in more advanced stages of CC and in cases with involved lymph nodes. Tumour size was not associated with the levels of 4-HNE.</p><p><strong>Conclusions: </strong>To best of our knowledge, this is the first study to use immunohistochemistry to examine the expression of 4-HNE as a prognostic factor in CC. The 3 score systems showed similar results. The pattern of 4-HNE histological appearance is dependent on the histological origin of cancer and is not universal.</p>\",\"PeriodicalId\":55643,\"journal\":{\"name\":\"Przeglad Menopauzalny\",\"volume\":\"23 1\",\"pages\":\"6-13\"},\"PeriodicalIF\":1.7000,\"publicationDate\":\"2024-03-01\",\"publicationTypes\":\"Journal Article\",\"fieldsOfStudy\":null,\"isOpenAccess\":false,\"openAccessPdf\":\"https://www.ncbi.nlm.nih.gov/pmc/articles/PMC11056727/pdf/\",\"citationCount\":\"0\",\"resultStr\":null,\"platform\":\"Semanticscholar\",\"paperid\":null,\"PeriodicalName\":\"Przeglad Menopauzalny\",\"FirstCategoryId\":\"1085\",\"ListUrlMain\":\"https://doi.org/10.5114/pm.2024.136356\",\"RegionNum\":0,\"RegionCategory\":null,\"ArticlePicture\":[],\"TitleCN\":null,\"AbstractTextCN\":null,\"PMCID\":null,\"EPubDate\":\"2024/3/18 0:00:00\",\"PubModel\":\"Epub\",\"JCR\":\"Q2\",\"JCRName\":\"OBSTETRICS & GYNECOLOGY\",\"Score\":null,\"Total\":0}","platform":"Semanticscholar","paperid":null,"PeriodicalName":"Przeglad Menopauzalny","FirstCategoryId":"1085","ListUrlMain":"https://doi.org/10.5114/pm.2024.136356","RegionNum":0,"RegionCategory":null,"ArticlePicture":[],"TitleCN":null,"AbstractTextCN":null,"PMCID":null,"EPubDate":"2024/3/18 0:00:00","PubModel":"Epub","JCR":"Q2","JCRName":"OBSTETRICS & GYNECOLOGY","Score":null,"Total":0}
引用次数: 0

摘要

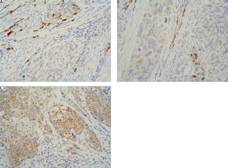
导言:宫颈癌(CC)是全球妇女死亡的主要原因,发展中国家的发病率仍然最高。最常见的致病因素是感染高危人类乳头瘤病毒株。氧化应激通过产生活性氧导致脂质过氧化和 DNA 损伤。研究表明,在此过程中产生的活性脂质电泳物(如 4-羟基壬烯醛 (4-HNE))在癌症信号通路中发挥着重要作用,是氧化应激的良好生物标志物。我们的目的是研究 4-HNE 作为氧化应激生物标志物在免疫组化法测定的早期和晚期 CC 患者中的预后作用:这是一项回顾性研究,研究对象是在本院妇科肿瘤科接受治疗的69名患者。对石蜡包埋的肿瘤组织进行免疫组织化学检测,以确定 4-HNE 的表达水平。研究了 H 评分、Allred 评分和综合评分结果与肿瘤大小、淋巴结状态和国际妇产科联盟分期的关系:结果:4-羟基壬烯醛在CC晚期和淋巴结受累病例中的表达量较高。肿瘤大小与 4-HNE 的水平无关:据我们所知,这是第一项使用免疫组化方法检测 4-HNE 表达作为 CC 预后因素的研究。三种评分系统显示了相似的结果。4-HNE的组织学表现模式取决于癌症的组织学来源,并不具有普遍性。
本文章由计算机程序翻译,如有差异,请以英文原文为准。

Utility of expression of 4-hydroxynonenal tested by immunohistochemistry for cervical cancer.

Utility of expression of 4-hydroxynonenal tested by immunohistochemistry for cervical cancer.

Utility of expression of 4-hydroxynonenal tested by immunohistochemistry for cervical cancer.

Utility of expression of 4-hydroxynonenal tested by immunohistochemistry for cervical cancer.

Introduction: Cervical cancer (CC) is a leading cause of mortality in women around the world, with the highest incidence rate still being in developing countries. The most common aetiological factor is infection with high-risk human papilloma virus viral strains. Oxidative stress through generation of reactive oxygen species leads to lipid peroxidation and DNA damage. Studies show that reactive lipid electrophiles such as 4-hydroxynonenal (4-HNE) produced in the process play an important role in cancer signalling pathways and are a good biomarker for oxidative stress. We aim to investigate the prognostic role of 4-HNE as a biomarker for oxidative stress in patients in early and advanced stages of CC measured by immunohistochemistry.

Material and methods: This is a retrospective study of 69 patients treated at our Department of Oncogynaecology. Paraffin embedded tumour tissues were immunohistochemically tested for the levels of expression of 4-HNE. The results for H-score, Allred score, and combined score were investigated for association with tumour size, lymph node status, andInternational Federation of Gynaecology and Obstetrics stage.

Results: 4-hydroxynonenal showed higher expression in more advanced stages of CC and in cases with involved lymph nodes. Tumour size was not associated with the levels of 4-HNE.

Conclusions: To best of our knowledge, this is the first study to use immunohistochemistry to examine the expression of 4-HNE as a prognostic factor in CC. The 3 score systems showed similar results. The pattern of 4-HNE histological appearance is dependent on the histological origin of cancer and is not universal.

求助全文
通过发布文献求助,成功后即可免费获取论文全文。 去求助
来源期刊
Przeglad Menopauzalny
Przeglad Menopauzalny OBSTETRICS & GYNECOLOGY-
CiteScore
3.40
自引率
11.10%
发文量
32
审稿时长
6-12 weeks
期刊介绍: Menopausal Review is a scientific bimonthly aimed at gynecologists and endocrinologists.
×
引用
GB/T 7714-2015
复制
MLA
复制
APA
复制
导出至
BibTeX EndNote RefMan NoteFirst NoteExpress
×
提示
您的信息不完整,为了账户安全,请先补充。
现在去补充
×
提示
您因"违规操作"
具体请查看互助需知
我知道了
×
提示
确定
请完成安全验证×
copy
已复制链接
快去分享给好友吧!
我知道了
右上角分享
点击右上角分享
0
联系我们:info@booksci.cn Book学术提供免费学术资源搜索服务,方便国内外学者检索中英文文献。致力于提供最便捷和优质的服务体验。 Copyright © 2023 布克学术 All rights reserved.
京ICP备2023020795号-1
ghs 京公网安备 11010802042870号
Book学术文献互助
Book学术文献互助群
群 号:604180095
Book学术官方微信