先天性子宫穿孔导致的阴道出血--病例报告。

Journal of education & teaching in emergency medicine Pub Date : 2024-04-30 eCollection Date: 2024-04-01 DOI:10.21980/J83643
John Costumbrado, Leah Snyder, Sassan Ghassemzadeh, Daniel Ng
{"title":"先天性子宫穿孔导致的阴道出血--病例报告。","authors":"John Costumbrado, Leah Snyder, Sassan Ghassemzadeh, Daniel Ng","doi":"10.21980/J83643","DOIUrl":null,"url":null,"abstract":"<p><p>Uterine perforation is a rare but potentially life-threatening complication of gynecologic procedures. Serious complications include hemorrhage, infection, and injury to surrounding organ systems (eg, gastrointestinal, urological, vascular, etc.). Risk factors include advanced maternal age, prior gynecologic surgeries, and other anatomical features that impact the difficulty of accessing the uterine cavity. In this case report, we discuss a patient who presented to the emergency department (ED) with diffuse abdominal pain and vaginal bleeding that occurred after an elective dilation and curettage (D&C) for a termination of pregnancy. The diagnosis was suspected clinically and confirmed by imaging including ultrasound (US) and computed tomography (CT) of the abdomen and pelvis. The patient was managed operatively with a multidisciplinary approach including Gynecology, General Surgery, and Urology. The patient was stabilized and eventually discharged. Uterine perforation should be included in the differential for patients with a history of recent gynecologic instrumentation presenting with abdominal pain and vaginal bleeding. The stabilization of these patients requires aggressive volume resuscitation, controlling the source of bleeding, and emergent surgical consultation.</p><p><strong>Topics: </strong>Gynecology, vaginal bleeding, ultrasound, computed tomography.</p>","PeriodicalId":73721,"journal":{"name":"Journal of education & teaching in emergency medicine","volume":"9 2","pages":"V6-V9"},"PeriodicalIF":0.0000,"publicationDate":"2024-04-30","publicationTypes":"Journal Article","fieldsOfStudy":null,"isOpenAccess":false,"openAccessPdf":"https://www.ncbi.nlm.nih.gov/pmc/articles/PMC11068317/pdf/","citationCount":"0","resultStr":"{\"title\":\"Vaginal Bleeding Due to Iatrogenic Uterine Perforation - A Case Report.\",\"authors\":\"John Costumbrado, Leah Snyder, Sassan Ghassemzadeh, Daniel Ng\",\"doi\":\"10.21980/J83643\",\"DOIUrl\":null,\"url\":null,\"abstract\":\"<p><p>Uterine perforation is a rare but potentially life-threatening complication of gynecologic procedures. Serious complications include hemorrhage, infection, and injury to surrounding organ systems (eg, gastrointestinal, urological, vascular, etc.). Risk factors include advanced maternal age, prior gynecologic surgeries, and other anatomical features that impact the difficulty of accessing the uterine cavity. In this case report, we discuss a patient who presented to the emergency department (ED) with diffuse abdominal pain and vaginal bleeding that occurred after an elective dilation and curettage (D&C) for a termination of pregnancy. The diagnosis was suspected clinically and confirmed by imaging including ultrasound (US) and computed tomography (CT) of the abdomen and pelvis. The patient was managed operatively with a multidisciplinary approach including Gynecology, General Surgery, and Urology. The patient was stabilized and eventually discharged. Uterine perforation should be included in the differential for patients with a history of recent gynecologic instrumentation presenting with abdominal pain and vaginal bleeding. The stabilization of these patients requires aggressive volume resuscitation, controlling the source of bleeding, and emergent surgical consultation.</p><p><strong>Topics: </strong>Gynecology, vaginal bleeding, ultrasound, computed tomography.</p>\",\"PeriodicalId\":73721,\"journal\":{\"name\":\"Journal of education & teaching in emergency medicine\",\"volume\":\"9 2\",\"pages\":\"V6-V9\"},\"PeriodicalIF\":0.0000,\"publicationDate\":\"2024-04-30\",\"publicationTypes\":\"Journal Article\",\"fieldsOfStudy\":null,\"isOpenAccess\":false,\"openAccessPdf\":\"https://www.ncbi.nlm.nih.gov/pmc/articles/PMC11068317/pdf/\",\"citationCount\":\"0\",\"resultStr\":null,\"platform\":\"Semanticscholar\",\"paperid\":null,\"PeriodicalName\":\"Journal of education & teaching in emergency medicine\",\"FirstCategoryId\":\"1085\",\"ListUrlMain\":\"https://doi.org/10.21980/J83643\",\"RegionNum\":0,\"RegionCategory\":null,\"ArticlePicture\":[],\"TitleCN\":null,\"AbstractTextCN\":null,\"PMCID\":null,\"EPubDate\":\"2024/4/1 0:00:00\",\"PubModel\":\"eCollection\",\"JCR\":\"\",\"JCRName\":\"\",\"Score\":null,\"Total\":0}","platform":"Semanticscholar","paperid":null,"PeriodicalName":"Journal of education & teaching in emergency medicine","FirstCategoryId":"1085","ListUrlMain":"https://doi.org/10.21980/J83643","RegionNum":0,"RegionCategory":null,"ArticlePicture":[],"TitleCN":null,"AbstractTextCN":null,"PMCID":null,"EPubDate":"2024/4/1 0:00:00","PubModel":"eCollection","JCR":"","JCRName":"","Score":null,"Total":0}
引用次数: 0

摘要

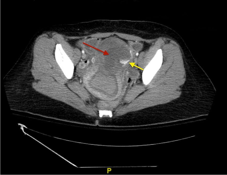
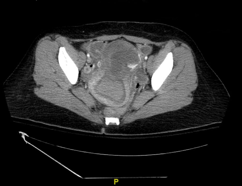
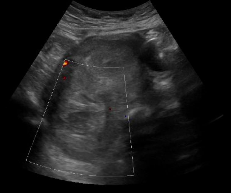
子宫穿孔是妇科手术中一种罕见但可能危及生命的并发症。严重的并发症包括大出血、感染和对周围器官系统(如胃肠道、泌尿系统、血管等)的损伤。风险因素包括高龄产妇、既往妇科手术以及其他影响宫腔进入难度的解剖特征。在本病例报告中,我们讨论了一名因弥漫性腹痛和阴道出血而就诊于急诊科(ED)的患者。经临床怀疑并通过腹部和盆腔超声(US)和计算机断层扫描(CT)等影像学检查确诊。患者接受了包括妇科、普通外科和泌尿科在内的多学科手术治疗。患者病情稳定,最终康复出院。对于近期有妇科器械手术史并伴有腹痛和阴道出血的患者,应将子宫穿孔列入鉴别诊断。这些患者的病情稳定需要积极的容量复苏、控制出血源和紧急手术会诊:妇科、阴道出血、超声波、计算机断层扫描。
本文章由计算机程序翻译,如有差异,请以英文原文为准。

Vaginal Bleeding Due to Iatrogenic Uterine Perforation - A Case Report.

Vaginal Bleeding Due to Iatrogenic Uterine Perforation - A Case Report.

Vaginal Bleeding Due to Iatrogenic Uterine Perforation - A Case Report.

Vaginal Bleeding Due to Iatrogenic Uterine Perforation - A Case Report.

Uterine perforation is a rare but potentially life-threatening complication of gynecologic procedures. Serious complications include hemorrhage, infection, and injury to surrounding organ systems (eg, gastrointestinal, urological, vascular, etc.). Risk factors include advanced maternal age, prior gynecologic surgeries, and other anatomical features that impact the difficulty of accessing the uterine cavity. In this case report, we discuss a patient who presented to the emergency department (ED) with diffuse abdominal pain and vaginal bleeding that occurred after an elective dilation and curettage (D&C) for a termination of pregnancy. The diagnosis was suspected clinically and confirmed by imaging including ultrasound (US) and computed tomography (CT) of the abdomen and pelvis. The patient was managed operatively with a multidisciplinary approach including Gynecology, General Surgery, and Urology. The patient was stabilized and eventually discharged. Uterine perforation should be included in the differential for patients with a history of recent gynecologic instrumentation presenting with abdominal pain and vaginal bleeding. The stabilization of these patients requires aggressive volume resuscitation, controlling the source of bleeding, and emergent surgical consultation.

Topics: Gynecology, vaginal bleeding, ultrasound, computed tomography.

求助全文
通过发布文献求助,成功后即可免费获取论文全文。 去求助
来源期刊
自引率
0.00%
发文量
0
审稿时长
10 weeks
×
引用
GB/T 7714-2015
复制
MLA
复制
APA
复制
导出至
BibTeX EndNote RefMan NoteFirst NoteExpress
×
提示
您的信息不完整,为了账户安全,请先补充。
现在去补充
×
提示
您因"违规操作"
具体请查看互助需知
我知道了
×
提示
确定
请完成安全验证×
copy
已复制链接
快去分享给好友吧!
我知道了
右上角分享
点击右上角分享
0
联系我们:info@booksci.cn Book学术提供免费学术资源搜索服务,方便国内外学者检索中英文文献。致力于提供最便捷和优质的服务体验。 Copyright © 2023 布克学术 All rights reserved.
京ICP备2023020795号-1
ghs 京公网安备 11010802042870号
Book学术文献互助
Book学术文献互助群
群 号:604180095
Book学术官方微信