槲皮素对庆大霉素诱导的大鼠实验性睾丸损伤的影响

IF 1.5 4区 医学 Q4 DEVELOPMENTAL BIOLOGY
Ayse Firuze Biyik, Esin Yulug, Engin Yenilmez, Abdulkadir Kutlu, Ahmet Alver, Seniz Erdem
{"title":"槲皮素对庆大霉素诱导的大鼠实验性睾丸损伤的影响","authors":"Ayse Firuze Biyik, Esin Yulug, Engin Yenilmez, Abdulkadir Kutlu, Ahmet Alver, Seniz Erdem","doi":"10.47162/RJME.65.1.09","DOIUrl":null,"url":null,"abstract":"<p><p>The purpose of this study was to investigate the effects of gentamicin (GEN) on the testis and whether quercetin (QUE) has any protective effect. Twenty-four adult male Sprague-Dawley rats were divided into equal four groups: control (0.9% saline solution), GEN (80 mg∕kg GEN), QUE (50 mg∕kg QUE) and GEN+QUE (80 mg∕kg GEN + 50 mg∕kg QUE). Histopathological (HP) evaluation of testis was performed, epididymal sperm parameters were analyzed and oxidative status was evaluated. The use of QUE improved the HP findings, such as decrease in the germinal epithelial thickness in the testicular tissue of the GEN group, decrease in the Johnsen's tubular biopsy score (JTBS), increase in the rate of immature cell shedding tubules, and the apoptotic index (AI). In the GEN group, sperm count, and abnormal morphology increased compared to the control group; the viability and motility decreased according to the sperm analysis results. In the GEN+QUE group, QUE was found to improve sperm viability and morphology. In the GEN group, tissue malondialdehyde (MDA) levels increased while superoxide dismutase (SOD), catalase (CAT), and glutathione peroxidase (GPx) levels decreased. Compared with the GEN+QUE group, it was found that the tissue MDA level decreased, while the levels of SOD, CAT and GPx increased. The results demonstrate that GEN impairs testicular structure and function, and QUE treatment can prevent this adverse effect.</p>","PeriodicalId":54447,"journal":{"name":"Romanian Journal of Morphology and Embryology","volume":"65 1","pages":"69-80"},"PeriodicalIF":1.5000,"publicationDate":"2024-01-01","publicationTypes":"Journal Article","fieldsOfStudy":null,"isOpenAccess":false,"openAccessPdf":"https://www.ncbi.nlm.nih.gov/pmc/articles/PMC11146453/pdf/","citationCount":"0","resultStr":"{\"title\":\"Effects of quercetin on gentamicin-induced experimental testicular injury in rats.\",\"authors\":\"Ayse Firuze Biyik, Esin Yulug, Engin Yenilmez, Abdulkadir Kutlu, Ahmet Alver, Seniz Erdem\",\"doi\":\"10.47162/RJME.65.1.09\",\"DOIUrl\":null,\"url\":null,\"abstract\":\"<p><p>The purpose of this study was to investigate the effects of gentamicin (GEN) on the testis and whether quercetin (QUE) has any protective effect. Twenty-four adult male Sprague-Dawley rats were divided into equal four groups: control (0.9% saline solution), GEN (80 mg∕kg GEN), QUE (50 mg∕kg QUE) and GEN+QUE (80 mg∕kg GEN + 50 mg∕kg QUE). Histopathological (HP) evaluation of testis was performed, epididymal sperm parameters were analyzed and oxidative status was evaluated. The use of QUE improved the HP findings, such as decrease in the germinal epithelial thickness in the testicular tissue of the GEN group, decrease in the Johnsen's tubular biopsy score (JTBS), increase in the rate of immature cell shedding tubules, and the apoptotic index (AI). In the GEN group, sperm count, and abnormal morphology increased compared to the control group; the viability and motility decreased according to the sperm analysis results. In the GEN+QUE group, QUE was found to improve sperm viability and morphology. In the GEN group, tissue malondialdehyde (MDA) levels increased while superoxide dismutase (SOD), catalase (CAT), and glutathione peroxidase (GPx) levels decreased. Compared with the GEN+QUE group, it was found that the tissue MDA level decreased, while the levels of SOD, CAT and GPx increased. The results demonstrate that GEN impairs testicular structure and function, and QUE treatment can prevent this adverse effect.</p>\",\"PeriodicalId\":54447,\"journal\":{\"name\":\"Romanian Journal of Morphology and Embryology\",\"volume\":\"65 1\",\"pages\":\"69-80\"},\"PeriodicalIF\":1.5000,\"publicationDate\":\"2024-01-01\",\"publicationTypes\":\"Journal Article\",\"fieldsOfStudy\":null,\"isOpenAccess\":false,\"openAccessPdf\":\"https://www.ncbi.nlm.nih.gov/pmc/articles/PMC11146453/pdf/\",\"citationCount\":\"0\",\"resultStr\":null,\"platform\":\"Semanticscholar\",\"paperid\":null,\"PeriodicalName\":\"Romanian Journal of Morphology and Embryology\",\"FirstCategoryId\":\"3\",\"ListUrlMain\":\"https://doi.org/10.47162/RJME.65.1.09\",\"RegionNum\":4,\"RegionCategory\":\"医学\",\"ArticlePicture\":[],\"TitleCN\":null,\"AbstractTextCN\":null,\"PMCID\":null,\"EPubDate\":\"\",\"PubModel\":\"\",\"JCR\":\"Q4\",\"JCRName\":\"DEVELOPMENTAL BIOLOGY\",\"Score\":null,\"Total\":0}","platform":"Semanticscholar","paperid":null,"PeriodicalName":"Romanian Journal of Morphology and Embryology","FirstCategoryId":"3","ListUrlMain":"https://doi.org/10.47162/RJME.65.1.09","RegionNum":4,"RegionCategory":"医学","ArticlePicture":[],"TitleCN":null,"AbstractTextCN":null,"PMCID":null,"EPubDate":"","PubModel":"","JCR":"Q4","JCRName":"DEVELOPMENTAL BIOLOGY","Score":null,"Total":0}
引用次数: 0

摘要

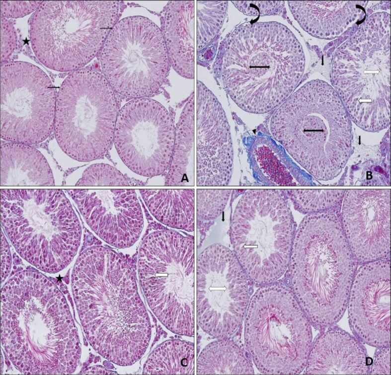
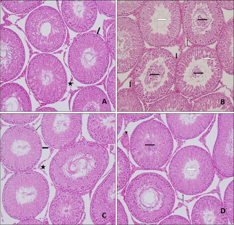
本研究旨在探讨庆大霉素(GEN)对睾丸的影响以及槲皮素(QUE)是否具有保护作用。将 24 只成年雄性 Sprague-Dawley 大鼠分为四组:对照组(0.9% 生理盐水)、GEN 组(80 mg∕kg GEN)、QUE 组(50 mg∕kg QUE)和 GEN+QUE 组(80 mg∕kg GEN + 50 mg∕kg QUE)。对睾丸进行了组织病理学(HP)评估,分析了附睾精子参数,并评估了氧化状态。QUE 的使用改善了组织病理学评估结果,如 GEN 组睾丸组织的生精上皮厚度减少、Johnsen 肾小管活检评分(JTBS)降低、未成熟细胞脱落肾小管率和细胞凋亡指数(AI)增加。与对照组相比,GEN 组的精子数量和异常形态均有所增加;根据精子分析结果,其存活率和活力均有所下降。在 GEN+QUE 组中,QUE 可提高精子活力和形态。在 GEN 组中,组织丙二醛 (MDA) 水平升高,而超氧化物歧化酶 (SOD)、过氧化氢酶 (CAT) 和谷胱甘肽过氧化物酶 (GPx) 水平降低。结果发现,与 GEN+QUE 组相比,组织 MDA 水平下降,而 SOD、CAT 和 GPx 水平上升。结果表明,GEN 会损害睾丸的结构和功能,而 QUE 治疗可以防止这种不良影响。
本文章由计算机程序翻译,如有差异,请以英文原文为准。

Effects of quercetin on gentamicin-induced experimental testicular injury in rats.

Effects of quercetin on gentamicin-induced experimental testicular injury in rats.

Effects of quercetin on gentamicin-induced experimental testicular injury in rats.

Effects of quercetin on gentamicin-induced experimental testicular injury in rats.

The purpose of this study was to investigate the effects of gentamicin (GEN) on the testis and whether quercetin (QUE) has any protective effect. Twenty-four adult male Sprague-Dawley rats were divided into equal four groups: control (0.9% saline solution), GEN (80 mg∕kg GEN), QUE (50 mg∕kg QUE) and GEN+QUE (80 mg∕kg GEN + 50 mg∕kg QUE). Histopathological (HP) evaluation of testis was performed, epididymal sperm parameters were analyzed and oxidative status was evaluated. The use of QUE improved the HP findings, such as decrease in the germinal epithelial thickness in the testicular tissue of the GEN group, decrease in the Johnsen's tubular biopsy score (JTBS), increase in the rate of immature cell shedding tubules, and the apoptotic index (AI). In the GEN group, sperm count, and abnormal morphology increased compared to the control group; the viability and motility decreased according to the sperm analysis results. In the GEN+QUE group, QUE was found to improve sperm viability and morphology. In the GEN group, tissue malondialdehyde (MDA) levels increased while superoxide dismutase (SOD), catalase (CAT), and glutathione peroxidase (GPx) levels decreased. Compared with the GEN+QUE group, it was found that the tissue MDA level decreased, while the levels of SOD, CAT and GPx increased. The results demonstrate that GEN impairs testicular structure and function, and QUE treatment can prevent this adverse effect.

求助全文
通过发布文献求助,成功后即可免费获取论文全文。 去求助
来源期刊
CiteScore
1.70
自引率
20.00%
发文量
221
审稿时长
3-8 weeks
期刊介绍: Romanian Journal of Morphology and Embryology (Rom J Morphol Embryol) publishes studies on all aspects of normal morphology and human comparative and experimental pathology. The Journal accepts only researches that utilize modern investigation methods (studies of anatomy, pathology, cytopathology, immunohistochemistry, histochemistry, immunology, morphometry, molecular and cellular biology, electronic microscopy, etc.).
×
引用
GB/T 7714-2015
复制
MLA
复制
APA
复制
导出至
BibTeX EndNote RefMan NoteFirst NoteExpress
×
提示
您的信息不完整,为了账户安全,请先补充。
现在去补充
×
提示
您因"违规操作"
具体请查看互助需知
我知道了
×
提示
确定
请完成安全验证×
copy
已复制链接
快去分享给好友吧!
我知道了
右上角分享
点击右上角分享
0
联系我们:info@booksci.cn Book学术提供免费学术资源搜索服务,方便国内外学者检索中英文文献。致力于提供最便捷和优质的服务体验。 Copyright © 2023 布克学术 All rights reserved.
京ICP备2023020795号-1
ghs 京公网安备 11010802042870号
Book学术文献互助
Book学术文献互助群
群 号:604180095
Book学术官方微信