使用奥尼克斯栓塞术治疗硬脑膜动静脉瘘时静脉引流模式的自发积极转化

Yeongu Chung, Seok Keun Choi, Sung Ho Lee, Eui Jong Kim
{"title":"使用奥尼克斯栓塞术治疗硬脑膜动静脉瘘时静脉引流模式的自发积极转化","authors":"Yeongu Chung, Seok Keun Choi, Sung Ho Lee, Eui Jong Kim","doi":"10.7461/jcen.2016.18.4.396","DOIUrl":null,"url":null,"abstract":"<p><p>We report a case of dural arteriovenous fistula (DAVF) that showed spontaneous conversion of venous drainage pattern from Borden type II to type III within a four month period of follow-up. Upon admission, the patient presented with aggravated neurologic status and newly developed seizure. After admission, endovascular embolization was performed through the middle meningeal artery with Onyx®. Complete obliteration of dural arteriovenous shunt was confirmed by angiography, and the patient's clinical symptoms improved. Although most cases of DAVF show benign clinical course and conversion pattern, close follow-up is required to detect potential aggravation.</p>","PeriodicalId":94072,"journal":{"name":"Journal of cerebrovascular and endovascular neurosurgery","volume":"18 4","pages":"396-401"},"PeriodicalIF":0.0000,"publicationDate":"2016-12-01","publicationTypes":"Journal Article","fieldsOfStudy":null,"isOpenAccess":false,"openAccessPdf":"https://www.ncbi.nlm.nih.gov/pmc/articles/PMC5298984/pdf/","citationCount":"0","resultStr":"{\"title\":\"Spontaneous Aggressive Conversion of Venous Drainage Pattern in Dural Arteriovenous Fistula Treated with Onyx Embolization.\",\"authors\":\"Yeongu Chung, Seok Keun Choi, Sung Ho Lee, Eui Jong Kim\",\"doi\":\"10.7461/jcen.2016.18.4.396\",\"DOIUrl\":null,\"url\":null,\"abstract\":\"<p><p>We report a case of dural arteriovenous fistula (DAVF) that showed spontaneous conversion of venous drainage pattern from Borden type II to type III within a four month period of follow-up. Upon admission, the patient presented with aggravated neurologic status and newly developed seizure. After admission, endovascular embolization was performed through the middle meningeal artery with Onyx®. Complete obliteration of dural arteriovenous shunt was confirmed by angiography, and the patient's clinical symptoms improved. Although most cases of DAVF show benign clinical course and conversion pattern, close follow-up is required to detect potential aggravation.</p>\",\"PeriodicalId\":94072,\"journal\":{\"name\":\"Journal of cerebrovascular and endovascular neurosurgery\",\"volume\":\"18 4\",\"pages\":\"396-401\"},\"PeriodicalIF\":0.0000,\"publicationDate\":\"2016-12-01\",\"publicationTypes\":\"Journal Article\",\"fieldsOfStudy\":null,\"isOpenAccess\":false,\"openAccessPdf\":\"https://www.ncbi.nlm.nih.gov/pmc/articles/PMC5298984/pdf/\",\"citationCount\":\"0\",\"resultStr\":null,\"platform\":\"Semanticscholar\",\"paperid\":null,\"PeriodicalName\":\"Journal of cerebrovascular and endovascular neurosurgery\",\"FirstCategoryId\":\"1085\",\"ListUrlMain\":\"https://doi.org/10.7461/jcen.2016.18.4.396\",\"RegionNum\":0,\"RegionCategory\":null,\"ArticlePicture\":[],\"TitleCN\":null,\"AbstractTextCN\":null,\"PMCID\":null,\"EPubDate\":\"2016/12/31 0:00:00\",\"PubModel\":\"Epub\",\"JCR\":\"\",\"JCRName\":\"\",\"Score\":null,\"Total\":0}","platform":"Semanticscholar","paperid":null,"PeriodicalName":"Journal of cerebrovascular and endovascular neurosurgery","FirstCategoryId":"1085","ListUrlMain":"https://doi.org/10.7461/jcen.2016.18.4.396","RegionNum":0,"RegionCategory":null,"ArticlePicture":[],"TitleCN":null,"AbstractTextCN":null,"PMCID":null,"EPubDate":"2016/12/31 0:00:00","PubModel":"Epub","JCR":"","JCRName":"","Score":null,"Total":0}
引用次数: 0

摘要

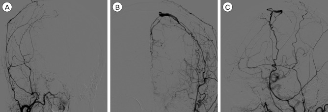
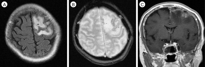
我们报告了一例硬脑膜动静脉瘘(DAVF)病例,在四个月的随访期间,患者的静脉引流模式自发地从 Borden II 型转变为 III 型。入院时,患者的神经系统状况恶化,并出现新的癫痫发作。入院后,使用 Onyx® 通过脑膜中动脉进行了血管内栓塞治疗。血管造影证实硬脑膜动静脉分流完全阻塞,患者的临床症状有所改善。虽然大多数硬脑膜动静脉瘘病例的临床过程和转归模式都是良性的,但仍需密切随访,以发现潜在的恶化。
本文章由计算机程序翻译,如有差异,请以英文原文为准。

Spontaneous Aggressive Conversion of Venous Drainage Pattern in Dural Arteriovenous Fistula Treated with Onyx Embolization.

Spontaneous Aggressive Conversion of Venous Drainage Pattern in Dural Arteriovenous Fistula Treated with Onyx Embolization.

Spontaneous Aggressive Conversion of Venous Drainage Pattern in Dural Arteriovenous Fistula Treated with Onyx Embolization.

Spontaneous Aggressive Conversion of Venous Drainage Pattern in Dural Arteriovenous Fistula Treated with Onyx Embolization.

We report a case of dural arteriovenous fistula (DAVF) that showed spontaneous conversion of venous drainage pattern from Borden type II to type III within a four month period of follow-up. Upon admission, the patient presented with aggravated neurologic status and newly developed seizure. After admission, endovascular embolization was performed through the middle meningeal artery with Onyx®. Complete obliteration of dural arteriovenous shunt was confirmed by angiography, and the patient's clinical symptoms improved. Although most cases of DAVF show benign clinical course and conversion pattern, close follow-up is required to detect potential aggravation.

求助全文
通过发布文献求助,成功后即可免费获取论文全文。 去求助
来源期刊
CiteScore
1.10
自引率
0.00%
发文量
0
×
引用
GB/T 7714-2015
复制
MLA
复制
APA
复制
导出至
BibTeX EndNote RefMan NoteFirst NoteExpress
×
提示
您的信息不完整,为了账户安全,请先补充。
现在去补充
×
提示
您因"违规操作"
具体请查看互助需知
我知道了
×
提示
确定
请完成安全验证×
copy
已复制链接
快去分享给好友吧!
我知道了
右上角分享
点击右上角分享
0
联系我们:info@booksci.cn Book学术提供免费学术资源搜索服务,方便国内外学者检索中英文文献。致力于提供最便捷和优质的服务体验。 Copyright © 2023 布克学术 All rights reserved.
京ICP备2023020795号-1
ghs 京公网安备 11010802042870号
Book学术文献互助
Book学术文献互助群
群 号:604180095
Book学术官方微信