在一名常染色体显性低磷酸盐性佝偻病患者体内,成纤维细胞生长因子 23 的一个新型致病变体位于呋喃识别的 RXXR 矩阵之外。

IF 2.7 3区 医学 Q3 ENDOCRINOLOGY & METABOLISM
Hormone Research in Paediatrics Pub Date : 2025-01-01 Epub Date: 2024-03-15 DOI:10.1159/000538388
Hiroyuki Tanaka, Mayuko Tamura, Mirai Muto, Yuka Kinoshita, Nobuaki Ito, Akira Oka, Sachiko Kitanaka
{"title":"在一名常染色体显性低磷酸盐性佝偻病患者体内,成纤维细胞生长因子 23 的一个新型致病变体位于呋喃识别的 RXXR 矩阵之外。","authors":"Hiroyuki Tanaka, Mayuko Tamura, Mirai Muto, Yuka Kinoshita, Nobuaki Ito, Akira Oka, Sachiko Kitanaka","doi":"10.1159/000538388","DOIUrl":null,"url":null,"abstract":"<p><strong>Introduction: </strong>Autosomal dominant hypophosphatemic rickets (ADHR) is caused by pathogenic variants in the fibroblast growth factor 23 (FGF23) gene, which plays a key role in the regulation of phosphorus metabolism. FGF23 has the RXXR motif recognized by furin, leading to cleavage between R179 and S180 and thereby inactivating the protein's function. Previously reported variants in FGF23 causing ADHR occurred only affecting residues R176 or R179, which are located in the RXXR motif, leading to impaired cleavage. Impairment of protein cleavage increases bioactive FGF23 levels, subsequently resulting in the development of ADHR.</p><p><strong>Case presentation: </strong>A 13-year-old boy with ADHR with the appearance of rickets on bone radiographs as well as documented hypophosphatemia was found to have a novel S180I variant in the FGF23 gene. Unlike previously reported pathogenic variants, this novel variant was located outside the RXXR motif. Subsequently, Western blotting showed that the S180I mutant was resistant to proteolysis than the wildtype, similar to pathogenic variant model mutant (R176Q/R179Q).</p><p><strong>Conclusion: </strong>The novel variant in FGF23 presented herein, found in a patient with ADHR, is the first pathogenic variant found outside the typical furin recognition sequence. It exhibits proteolysis resistance due to impaired cleavage.</p>","PeriodicalId":13025,"journal":{"name":"Hormone Research in Paediatrics","volume":" ","pages":"274-281"},"PeriodicalIF":2.7000,"publicationDate":"2025-01-01","publicationTypes":"Journal Article","fieldsOfStudy":null,"isOpenAccess":false,"openAccessPdf":"https://www.ncbi.nlm.nih.gov/pmc/articles/PMC12133119/pdf/","citationCount":"0","resultStr":"{\"title\":\"A Novel Pathogenic Variant in Fibroblast Growth Factor 23 outside the Furin-Recognizing RXXR Motif in an Autosomal Dominant Hypophosphatemic Rickets Patient.\",\"authors\":\"Hiroyuki Tanaka, Mayuko Tamura, Mirai Muto, Yuka Kinoshita, Nobuaki Ito, Akira Oka, Sachiko Kitanaka\",\"doi\":\"10.1159/000538388\",\"DOIUrl\":null,\"url\":null,\"abstract\":\"<p><strong>Introduction: </strong>Autosomal dominant hypophosphatemic rickets (ADHR) is caused by pathogenic variants in the fibroblast growth factor 23 (FGF23) gene, which plays a key role in the regulation of phosphorus metabolism. FGF23 has the RXXR motif recognized by furin, leading to cleavage between R179 and S180 and thereby inactivating the protein's function. Previously reported variants in FGF23 causing ADHR occurred only affecting residues R176 or R179, which are located in the RXXR motif, leading to impaired cleavage. Impairment of protein cleavage increases bioactive FGF23 levels, subsequently resulting in the development of ADHR.</p><p><strong>Case presentation: </strong>A 13-year-old boy with ADHR with the appearance of rickets on bone radiographs as well as documented hypophosphatemia was found to have a novel S180I variant in the FGF23 gene. Unlike previously reported pathogenic variants, this novel variant was located outside the RXXR motif. Subsequently, Western blotting showed that the S180I mutant was resistant to proteolysis than the wildtype, similar to pathogenic variant model mutant (R176Q/R179Q).</p><p><strong>Conclusion: </strong>The novel variant in FGF23 presented herein, found in a patient with ADHR, is the first pathogenic variant found outside the typical furin recognition sequence. It exhibits proteolysis resistance due to impaired cleavage.</p>\",\"PeriodicalId\":13025,\"journal\":{\"name\":\"Hormone Research in Paediatrics\",\"volume\":\" \",\"pages\":\"274-281\"},\"PeriodicalIF\":2.7000,\"publicationDate\":\"2025-01-01\",\"publicationTypes\":\"Journal Article\",\"fieldsOfStudy\":null,\"isOpenAccess\":false,\"openAccessPdf\":\"https://www.ncbi.nlm.nih.gov/pmc/articles/PMC12133119/pdf/\",\"citationCount\":\"0\",\"resultStr\":null,\"platform\":\"Semanticscholar\",\"paperid\":null,\"PeriodicalName\":\"Hormone Research in Paediatrics\",\"FirstCategoryId\":\"3\",\"ListUrlMain\":\"https://doi.org/10.1159/000538388\",\"RegionNum\":3,\"RegionCategory\":\"医学\",\"ArticlePicture\":[],\"TitleCN\":null,\"AbstractTextCN\":null,\"PMCID\":null,\"EPubDate\":\"2024/3/15 0:00:00\",\"PubModel\":\"Epub\",\"JCR\":\"Q3\",\"JCRName\":\"ENDOCRINOLOGY & METABOLISM\",\"Score\":null,\"Total\":0}","platform":"Semanticscholar","paperid":null,"PeriodicalName":"Hormone Research in Paediatrics","FirstCategoryId":"3","ListUrlMain":"https://doi.org/10.1159/000538388","RegionNum":3,"RegionCategory":"医学","ArticlePicture":[],"TitleCN":null,"AbstractTextCN":null,"PMCID":null,"EPubDate":"2024/3/15 0:00:00","PubModel":"Epub","JCR":"Q3","JCRName":"ENDOCRINOLOGY & METABOLISM","Score":null,"Total":0}
引用次数: 0

摘要

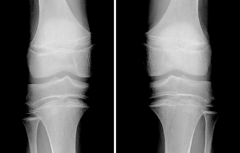
导言:常染色体显性低磷血症佝偻病(ADHR)是由成纤维细胞生长因子 23(FGF23)基因的致病变异引起的,该基因在磷代谢调节中起着关键作用。成纤维细胞生长因子 23 具有被呋喃蛋白识别的 RXXR 基序,可导致 R179 和 S180 之间的裂解,从而使蛋白质功能失活。以前报道的导致 ADHR 的 FGF23 变异只影响位于 RXXR 基序的残基 R176 或 R179,从而导致裂解受损。蛋白裂解障碍会增加生物活性 FGF23 水平,进而导致 ADHR 的发生:一名患有 ADHR 的 13 岁男孩在骨X光片上显示为佝偻病,并伴有低磷血症。与之前报道的致病变异不同,这种新型变异位于RXXR基序之外。随后,Western 印迹显示,与野生型相比,S180I 突变体对蛋白水解具有抗性,这与致病变异模型突变体(R176Q/R179Q)相似:本文介绍的 FGF23 新型变体是在一名 ADHR 患者体内发现的,也是首次在典型的呋喃识别序列之外发现的致病变体。它因裂解能力受损而表现出抗蛋白水解性。
本文章由计算机程序翻译,如有差异,请以英文原文为准。

A Novel Pathogenic Variant in Fibroblast Growth Factor 23 outside the Furin-Recognizing RXXR Motif in an Autosomal Dominant Hypophosphatemic Rickets Patient.

A Novel Pathogenic Variant in Fibroblast Growth Factor 23 outside the Furin-Recognizing RXXR Motif in an Autosomal Dominant Hypophosphatemic Rickets Patient.

A Novel Pathogenic Variant in Fibroblast Growth Factor 23 outside the Furin-Recognizing RXXR Motif in an Autosomal Dominant Hypophosphatemic Rickets Patient.

A Novel Pathogenic Variant in Fibroblast Growth Factor 23 outside the Furin-Recognizing RXXR Motif in an Autosomal Dominant Hypophosphatemic Rickets Patient.

Introduction: Autosomal dominant hypophosphatemic rickets (ADHR) is caused by pathogenic variants in the fibroblast growth factor 23 (FGF23) gene, which plays a key role in the regulation of phosphorus metabolism. FGF23 has the RXXR motif recognized by furin, leading to cleavage between R179 and S180 and thereby inactivating the protein's function. Previously reported variants in FGF23 causing ADHR occurred only affecting residues R176 or R179, which are located in the RXXR motif, leading to impaired cleavage. Impairment of protein cleavage increases bioactive FGF23 levels, subsequently resulting in the development of ADHR.

Case presentation: A 13-year-old boy with ADHR with the appearance of rickets on bone radiographs as well as documented hypophosphatemia was found to have a novel S180I variant in the FGF23 gene. Unlike previously reported pathogenic variants, this novel variant was located outside the RXXR motif. Subsequently, Western blotting showed that the S180I mutant was resistant to proteolysis than the wildtype, similar to pathogenic variant model mutant (R176Q/R179Q).

Conclusion: The novel variant in FGF23 presented herein, found in a patient with ADHR, is the first pathogenic variant found outside the typical furin recognition sequence. It exhibits proteolysis resistance due to impaired cleavage.

求助全文
通过发布文献求助,成功后即可免费获取论文全文。 去求助
来源期刊
Hormone Research in Paediatrics
Hormone Research in Paediatrics ENDOCRINOLOGY & METABOLISM-PEDIATRICS
CiteScore
4.90
自引率
6.20%
发文量
88
审稿时长
4-8 weeks
期刊介绍: The mission of ''Hormone Research in Paediatrics'' is to improve the care of children with endocrine disorders by promoting basic and clinical knowledge. The journal facilitates the dissemination of information through original papers, mini reviews, clinical guidelines and papers on novel insights from clinical practice. Periodic editorials from outstanding paediatric endocrinologists address the main published novelties by critically reviewing the major strengths and weaknesses of the studies.
×
引用
GB/T 7714-2015
复制
MLA
复制
APA
复制
导出至
BibTeX EndNote RefMan NoteFirst NoteExpress
×
提示
您的信息不完整,为了账户安全,请先补充。
现在去补充
×
提示
您因"违规操作"
具体请查看互助需知
我知道了
×
提示
确定
请完成安全验证×
copy
已复制链接
快去分享给好友吧!
我知道了
右上角分享
点击右上角分享
0
联系我们:info@booksci.cn Book学术提供免费学术资源搜索服务,方便国内外学者检索中英文文献。致力于提供最便捷和优质的服务体验。 Copyright © 2023 布克学术 All rights reserved.
京ICP备2023020795号-1
ghs 京公网安备 11010802042870号
Book学术文献互助
Book学术文献互助群
群 号:604180095
Book学术官方微信