一例罕见的 De Garengeot 疝:CT 发现。

IF 0.5 Q4 RADIOLOGY, NUCLEAR MEDICINE & MEDICAL IMAGING
BJR Case Reports Pub Date : 2024-02-29 eCollection Date: 2024-03-01 DOI:10.1093/bjrcr/uaae009
Maria Iovino, Anna Chiara D'Elia, Maurizio Rispo, Alfonso Rispo, Arturo Brunetti, Fabio Sandomenico
{"title":"一例罕见的 De Garengeot 疝:CT 发现。","authors":"Maria Iovino, Anna Chiara D'Elia, Maurizio Rispo, Alfonso Rispo, Arturo Brunetti, Fabio Sandomenico","doi":"10.1093/bjrcr/uaae009","DOIUrl":null,"url":null,"abstract":"<p><p>We report a case of \"De Garengeot's hernia\" (DGH), a rare condition that occurs when the inflamed appendix is localized inside a femoral hernia. The appendix may be involved in inflammatory or necrotic processes and the treatment is emergency surgery. It is usually discovered by chance during surgery. It occurs in 0.5%-5% of all femoral hernias. In 0.08%-0.13% of cases, the appendix can present inflammatory or necrotic processes due to the narrowness of the neck of the femoral canal; in these cases, an emergency surgery is required through a no standard surgical procedure. In the other cases, it is usually found accidentally during surgical repair of the hernia or more rarely diagnosed preoperatively by CT. Therefore, the purpose of our study is to report a case of DGH describing CT main findings in order to improve the preoperative diagnosis.</p>","PeriodicalId":45216,"journal":{"name":"BJR Case Reports","volume":"10 2","pages":"uaae009"},"PeriodicalIF":0.5000,"publicationDate":"2024-02-29","publicationTypes":"Journal Article","fieldsOfStudy":null,"isOpenAccess":false,"openAccessPdf":"https://www.ncbi.nlm.nih.gov/pmc/articles/PMC10927328/pdf/","citationCount":"0","resultStr":"{\"title\":\"A rare case of De Garengeot hernia: CT findings.\",\"authors\":\"Maria Iovino, Anna Chiara D'Elia, Maurizio Rispo, Alfonso Rispo, Arturo Brunetti, Fabio Sandomenico\",\"doi\":\"10.1093/bjrcr/uaae009\",\"DOIUrl\":null,\"url\":null,\"abstract\":\"<p><p>We report a case of \\\"De Garengeot's hernia\\\" (DGH), a rare condition that occurs when the inflamed appendix is localized inside a femoral hernia. The appendix may be involved in inflammatory or necrotic processes and the treatment is emergency surgery. It is usually discovered by chance during surgery. It occurs in 0.5%-5% of all femoral hernias. In 0.08%-0.13% of cases, the appendix can present inflammatory or necrotic processes due to the narrowness of the neck of the femoral canal; in these cases, an emergency surgery is required through a no standard surgical procedure. In the other cases, it is usually found accidentally during surgical repair of the hernia or more rarely diagnosed preoperatively by CT. Therefore, the purpose of our study is to report a case of DGH describing CT main findings in order to improve the preoperative diagnosis.</p>\",\"PeriodicalId\":45216,\"journal\":{\"name\":\"BJR Case Reports\",\"volume\":\"10 2\",\"pages\":\"uaae009\"},\"PeriodicalIF\":0.5000,\"publicationDate\":\"2024-02-29\",\"publicationTypes\":\"Journal Article\",\"fieldsOfStudy\":null,\"isOpenAccess\":false,\"openAccessPdf\":\"https://www.ncbi.nlm.nih.gov/pmc/articles/PMC10927328/pdf/\",\"citationCount\":\"0\",\"resultStr\":null,\"platform\":\"Semanticscholar\",\"paperid\":null,\"PeriodicalName\":\"BJR Case Reports\",\"FirstCategoryId\":\"1085\",\"ListUrlMain\":\"https://doi.org/10.1093/bjrcr/uaae009\",\"RegionNum\":0,\"RegionCategory\":null,\"ArticlePicture\":[],\"TitleCN\":null,\"AbstractTextCN\":null,\"PMCID\":null,\"EPubDate\":\"2024/3/1 0:00:00\",\"PubModel\":\"eCollection\",\"JCR\":\"Q4\",\"JCRName\":\"RADIOLOGY, NUCLEAR MEDICINE & MEDICAL IMAGING\",\"Score\":null,\"Total\":0}","platform":"Semanticscholar","paperid":null,"PeriodicalName":"BJR Case Reports","FirstCategoryId":"1085","ListUrlMain":"https://doi.org/10.1093/bjrcr/uaae009","RegionNum":0,"RegionCategory":null,"ArticlePicture":[],"TitleCN":null,"AbstractTextCN":null,"PMCID":null,"EPubDate":"2024/3/1 0:00:00","PubModel":"eCollection","JCR":"Q4","JCRName":"RADIOLOGY, NUCLEAR MEDICINE & MEDICAL IMAGING","Score":null,"Total":0}
引用次数: 0

摘要

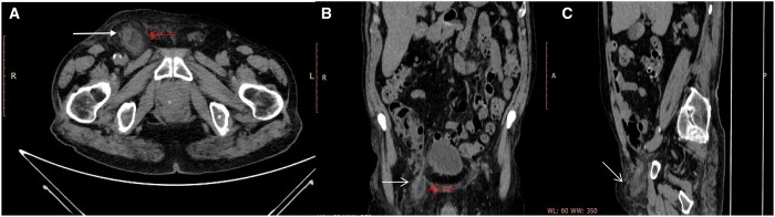
我们报告了一例 "De Garengeot疝"(DGH)病例,这是一种罕见病,当发炎的阑尾位于股疝内时就会发生。阑尾可能涉及炎症或坏死过程,治疗方法是进行紧急手术。它通常是在手术中偶然发现的。股疝发生率为 0.5%-5%。在 0.08%-0.13% 的病例中,由于股骨管颈部狭窄,阑尾可能出现炎症或坏死过程;在这些病例中,需要通过非标准手术程序进行紧急手术。在其他病例中,阑尾炎通常是在手术修补疝气时意外发现的,或者很少在术前通过 CT 诊断出来。因此,我们研究的目的是报告一例 DGH 病例,描述 CT 的主要发现,以改进术前诊断。
本文章由计算机程序翻译,如有差异,请以英文原文为准。

A rare case of De Garengeot hernia: CT findings.

A rare case of De Garengeot hernia: CT findings.

A rare case of De Garengeot hernia: CT findings.

We report a case of "De Garengeot's hernia" (DGH), a rare condition that occurs when the inflamed appendix is localized inside a femoral hernia. The appendix may be involved in inflammatory or necrotic processes and the treatment is emergency surgery. It is usually discovered by chance during surgery. It occurs in 0.5%-5% of all femoral hernias. In 0.08%-0.13% of cases, the appendix can present inflammatory or necrotic processes due to the narrowness of the neck of the femoral canal; in these cases, an emergency surgery is required through a no standard surgical procedure. In the other cases, it is usually found accidentally during surgical repair of the hernia or more rarely diagnosed preoperatively by CT. Therefore, the purpose of our study is to report a case of DGH describing CT main findings in order to improve the preoperative diagnosis.

求助全文
通过发布文献求助,成功后即可免费获取论文全文。 去求助
来源期刊
BJR Case Reports
BJR Case Reports RADIOLOGY, NUCLEAR MEDICINE & MEDICAL IMAGING-
自引率
0.00%
发文量
77
审稿时长
11 weeks
×
引用
GB/T 7714-2015
复制
MLA
复制
APA
复制
导出至
BibTeX EndNote RefMan NoteFirst NoteExpress
×
提示
您的信息不完整,为了账户安全,请先补充。
现在去补充
×
提示
您因"违规操作"
具体请查看互助需知
我知道了
×
提示
确定
请完成安全验证×
copy
已复制链接
快去分享给好友吧!
我知道了
右上角分享
点击右上角分享
0
联系我们:info@booksci.cn Book学术提供免费学术资源搜索服务,方便国内外学者检索中英文文献。致力于提供最便捷和优质的服务体验。 Copyright © 2023 布克学术 All rights reserved.
京ICP备2023020795号-1
ghs 京公网安备 11010802042870号
Book学术文献互助
Book学术文献互助群
群 号:604180095
Book学术官方微信