使用 EVARREST 补片成功完成左心室破裂的无缝合修复术

IF 0.9 4区 医学
Paighton C Miller, Linda J Schulte, Kunal Kotkar
{"title":"使用 EVARREST 补片成功完成左心室破裂的无缝合修复术","authors":"Paighton C Miller, Linda J Schulte, Kunal Kotkar","doi":"10.14503/THIJ-23-8277","DOIUrl":null,"url":null,"abstract":"<p><p>Left ventricular free wall rupture is a lethal complication of myocardial infarction. Although emergent surgical repair is the treatment of choice, the method of repair remains highly individualized. This report presents a case of spontaneous coronary artery dissection in a patient with Turner syndrome that led to left ventricular free wall rupture and was successfully repaired on cardiopulmonary bypass using a suture-free technique with the EVARREST Fibrin Sealant Patch.</p>","PeriodicalId":48680,"journal":{"name":"Texas Heart Institute Journal","volume":"51 1","pages":""},"PeriodicalIF":0.9000,"publicationDate":"2024-03-07","publicationTypes":"Journal Article","fieldsOfStudy":null,"isOpenAccess":false,"openAccessPdf":"https://www.ncbi.nlm.nih.gov/pmc/articles/PMC11075498/pdf/","citationCount":"0","resultStr":"{\"title\":\"Successful Suture-Free Repair of Left Ventricular Rupture Using the EVARREST Patch.\",\"authors\":\"Paighton C Miller, Linda J Schulte, Kunal Kotkar\",\"doi\":\"10.14503/THIJ-23-8277\",\"DOIUrl\":null,\"url\":null,\"abstract\":\"<p><p>Left ventricular free wall rupture is a lethal complication of myocardial infarction. Although emergent surgical repair is the treatment of choice, the method of repair remains highly individualized. This report presents a case of spontaneous coronary artery dissection in a patient with Turner syndrome that led to left ventricular free wall rupture and was successfully repaired on cardiopulmonary bypass using a suture-free technique with the EVARREST Fibrin Sealant Patch.</p>\",\"PeriodicalId\":48680,\"journal\":{\"name\":\"Texas Heart Institute Journal\",\"volume\":\"51 1\",\"pages\":\"\"},\"PeriodicalIF\":0.9000,\"publicationDate\":\"2024-03-07\",\"publicationTypes\":\"Journal Article\",\"fieldsOfStudy\":null,\"isOpenAccess\":false,\"openAccessPdf\":\"https://www.ncbi.nlm.nih.gov/pmc/articles/PMC11075498/pdf/\",\"citationCount\":\"0\",\"resultStr\":null,\"platform\":\"Semanticscholar\",\"paperid\":null,\"PeriodicalName\":\"Texas Heart Institute Journal\",\"FirstCategoryId\":\"3\",\"ListUrlMain\":\"https://doi.org/10.14503/THIJ-23-8277\",\"RegionNum\":4,\"RegionCategory\":\"医学\",\"ArticlePicture\":[],\"TitleCN\":null,\"AbstractTextCN\":null,\"PMCID\":null,\"EPubDate\":\"\",\"PubModel\":\"\",\"JCR\":\"\",\"JCRName\":\"\",\"Score\":null,\"Total\":0}","platform":"Semanticscholar","paperid":null,"PeriodicalName":"Texas Heart Institute Journal","FirstCategoryId":"3","ListUrlMain":"https://doi.org/10.14503/THIJ-23-8277","RegionNum":4,"RegionCategory":"医学","ArticlePicture":[],"TitleCN":null,"AbstractTextCN":null,"PMCID":null,"EPubDate":"","PubModel":"","JCR":"","JCRName":"","Score":null,"Total":0}
引用次数: 0

摘要

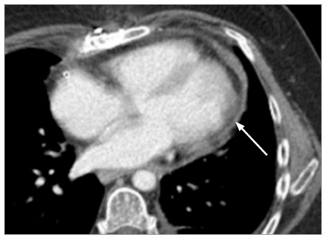
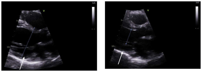
左心室游离壁破裂是心肌梗死的致命并发症。尽管紧急手术修复是首选治疗方法,但修复方法仍高度个性化。本报告介绍了一例特纳综合征患者自发性冠状动脉夹层导致左心室游离壁破裂的病例,该患者在心肺旁路手术中使用 EVARREST 纤维蛋白密封补片无缝合技术成功修复了左心室游离壁。
本文章由计算机程序翻译,如有差异,请以英文原文为准。

Successful Suture-Free Repair of Left Ventricular Rupture Using the EVARREST Patch.

Successful Suture-Free Repair of Left Ventricular Rupture Using the EVARREST Patch.

Successful Suture-Free Repair of Left Ventricular Rupture Using the EVARREST Patch.

Successful Suture-Free Repair of Left Ventricular Rupture Using the EVARREST Patch.

Left ventricular free wall rupture is a lethal complication of myocardial infarction. Although emergent surgical repair is the treatment of choice, the method of repair remains highly individualized. This report presents a case of spontaneous coronary artery dissection in a patient with Turner syndrome that led to left ventricular free wall rupture and was successfully repaired on cardiopulmonary bypass using a suture-free technique with the EVARREST Fibrin Sealant Patch.

求助全文
通过发布文献求助,成功后即可免费获取论文全文。 去求助
来源期刊
Texas Heart Institute Journal
Texas Heart Institute Journal CARDIAC & CARDIOVASCULAR SYSTEMS-
自引率
11.10%
发文量
131
期刊介绍: For more than 45 years, the Texas Heart Institute Journal has been published by the Texas Heart Institute as part of its medical education program. Our bimonthly peer-reviewed journal enjoys a global audience of physicians, scientists, and healthcare professionals who are contributing to the prevention, diagnosis, and treatment of cardiovascular disease. The Journal was printed under the name of Cardiovascular Diseases from 1974 through 1981 (ISSN 0093-3546). The name was changed to Texas Heart Institute Journal in 1982 and was printed through 2013 (ISSN 0730-2347). In 2014, the Journal moved to online-only publication. It is indexed by Index Medicus/MEDLINE and by other indexing and abstracting services worldwide. Our full archive is available at PubMed Central. The Journal invites authors to submit these article types for review: -Clinical Investigations- Laboratory Investigations- Reviews- Techniques- Coronary Anomalies- History of Medicine- Case Reports/Case Series (Submission Fee: $70.00 USD)- Images in Cardiovascular Medicine (Submission Fee: $35.00 USD)- Guest Editorials- Peabody’s Corner- Letters to the Editor
×
引用
GB/T 7714-2015
复制
MLA
复制
APA
复制
导出至
BibTeX EndNote RefMan NoteFirst NoteExpress
×
提示
您的信息不完整,为了账户安全,请先补充。
现在去补充
×
提示
您因"违规操作"
具体请查看互助需知
我知道了
×
提示
确定
请完成安全验证×
copy
已复制链接
快去分享给好友吧!
我知道了
右上角分享
点击右上角分享
0
联系我们:info@booksci.cn Book学术提供免费学术资源搜索服务,方便国内外学者检索中英文文献。致力于提供最便捷和优质的服务体验。 Copyright © 2023 布克学术 All rights reserved.
京ICP备2023020795号-1
ghs 京公网安备 11010802042870号
Book学术文献互助
Book学术文献互助群
群 号:604180095
Book学术官方微信