腰骶丛联合阻滞治疗面岬肱肌营养不良症以进行髋部骨折手术:病例报告。

IF 0.9 Q3 ANESTHESIOLOGY
Mete Manici, İlayda Kalyoncu, Cemil Cihad Gedik, Mehmet Ali Deveci, Yavuz Gürkan
{"title":"腰骶丛联合阻滞治疗面岬肱肌营养不良症以进行髋部骨折手术:病例报告。","authors":"Mete Manici, İlayda Kalyoncu, Cemil Cihad Gedik, Mehmet Ali Deveci, Yavuz Gürkan","doi":"10.4274/TJAR.2024.231471","DOIUrl":null,"url":null,"abstract":"<p><p>Facioscapulohumeral muscular dystrophy (FSHD) is a muscular dystrophy that can affect individuals of all age groups. Its prevalence is reported to be 0.4-1 in 10,000 people. Because of the low occurrence of FSHD, anaesthetic management is primarily based on expert opinions, case reviews, or brief series. Here, we present the case of a 72-year-old woman with FSHD who underwent hip fracture (HF) surgery. To prevent respiratory compromise due to FSHD, we opted for lumbar-sacral plexus block. To the best of our knowledge, there is no information in the literature regarding the use of combined lumbar-sacral plexus block in patients with FSHD undergoing HF surgery.</p>","PeriodicalId":23353,"journal":{"name":"Turkish journal of anaesthesiology and reanimation","volume":"52 1","pages":"36-38"},"PeriodicalIF":0.9000,"publicationDate":"2024-02-28","publicationTypes":"Journal Article","fieldsOfStudy":null,"isOpenAccess":false,"openAccessPdf":"https://www.ncbi.nlm.nih.gov/pmc/articles/PMC10901043/pdf/","citationCount":"0","resultStr":"{\"title\":\"Combined Lumbar-Sacral Plexus Block in Facioscapulohumeral Muscular Dystrophy for Hip Fracture Surgery: A Case Report.\",\"authors\":\"Mete Manici, İlayda Kalyoncu, Cemil Cihad Gedik, Mehmet Ali Deveci, Yavuz Gürkan\",\"doi\":\"10.4274/TJAR.2024.231471\",\"DOIUrl\":null,\"url\":null,\"abstract\":\"<p><p>Facioscapulohumeral muscular dystrophy (FSHD) is a muscular dystrophy that can affect individuals of all age groups. Its prevalence is reported to be 0.4-1 in 10,000 people. Because of the low occurrence of FSHD, anaesthetic management is primarily based on expert opinions, case reviews, or brief series. Here, we present the case of a 72-year-old woman with FSHD who underwent hip fracture (HF) surgery. To prevent respiratory compromise due to FSHD, we opted for lumbar-sacral plexus block. To the best of our knowledge, there is no information in the literature regarding the use of combined lumbar-sacral plexus block in patients with FSHD undergoing HF surgery.</p>\",\"PeriodicalId\":23353,\"journal\":{\"name\":\"Turkish journal of anaesthesiology and reanimation\",\"volume\":\"52 1\",\"pages\":\"36-38\"},\"PeriodicalIF\":0.9000,\"publicationDate\":\"2024-02-28\",\"publicationTypes\":\"Journal Article\",\"fieldsOfStudy\":null,\"isOpenAccess\":false,\"openAccessPdf\":\"https://www.ncbi.nlm.nih.gov/pmc/articles/PMC10901043/pdf/\",\"citationCount\":\"0\",\"resultStr\":null,\"platform\":\"Semanticscholar\",\"paperid\":null,\"PeriodicalName\":\"Turkish journal of anaesthesiology and reanimation\",\"FirstCategoryId\":\"1085\",\"ListUrlMain\":\"https://doi.org/10.4274/TJAR.2024.231471\",\"RegionNum\":0,\"RegionCategory\":null,\"ArticlePicture\":[],\"TitleCN\":null,\"AbstractTextCN\":null,\"PMCID\":null,\"EPubDate\":\"\",\"PubModel\":\"\",\"JCR\":\"Q3\",\"JCRName\":\"ANESTHESIOLOGY\",\"Score\":null,\"Total\":0}","platform":"Semanticscholar","paperid":null,"PeriodicalName":"Turkish journal of anaesthesiology and reanimation","FirstCategoryId":"1085","ListUrlMain":"https://doi.org/10.4274/TJAR.2024.231471","RegionNum":0,"RegionCategory":null,"ArticlePicture":[],"TitleCN":null,"AbstractTextCN":null,"PMCID":null,"EPubDate":"","PubModel":"","JCR":"Q3","JCRName":"ANESTHESIOLOGY","Score":null,"Total":0}
引用次数: 0

摘要

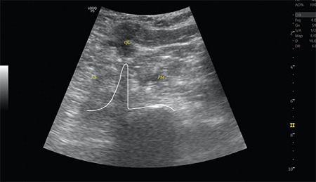
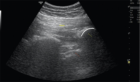
面岬肱肌营养不良症(FSHD)是一种肌肉营养不良症,可影响所有年龄组的人。据报道,其发病率为万分之 0.4-1。由于 FSHD 的发病率较低,麻醉管理主要基于专家意见、病例回顾或简短的系列报道。在此,我们介绍了一名 72 岁女性 FSHD 患者接受髋部骨折(HF)手术的病例。为了防止因前列腺肥大症导致呼吸困难,我们选择了腰骶丛阻滞。据我们所知,目前还没有关于腰骶丛联合阻滞用于接受高频手术的 FSHD 患者的文献资料。
本文章由计算机程序翻译,如有差异,请以英文原文为准。

Combined Lumbar-Sacral Plexus Block in Facioscapulohumeral Muscular Dystrophy for Hip Fracture Surgery: A Case Report.

Combined Lumbar-Sacral Plexus Block in Facioscapulohumeral Muscular Dystrophy for Hip Fracture Surgery: A Case Report.

Combined Lumbar-Sacral Plexus Block in Facioscapulohumeral Muscular Dystrophy for Hip Fracture Surgery: A Case Report.

Facioscapulohumeral muscular dystrophy (FSHD) is a muscular dystrophy that can affect individuals of all age groups. Its prevalence is reported to be 0.4-1 in 10,000 people. Because of the low occurrence of FSHD, anaesthetic management is primarily based on expert opinions, case reviews, or brief series. Here, we present the case of a 72-year-old woman with FSHD who underwent hip fracture (HF) surgery. To prevent respiratory compromise due to FSHD, we opted for lumbar-sacral plexus block. To the best of our knowledge, there is no information in the literature regarding the use of combined lumbar-sacral plexus block in patients with FSHD undergoing HF surgery.

求助全文
通过发布文献求助,成功后即可免费获取论文全文。 去求助
来源期刊
CiteScore
1.10
自引率
0.00%
发文量
0
×
引用
GB/T 7714-2015
复制
MLA
复制
APA
复制
导出至
BibTeX EndNote RefMan NoteFirst NoteExpress
×
提示
您的信息不完整,为了账户安全,请先补充。
现在去补充
×
提示
您因"违规操作"
具体请查看互助需知
我知道了
×
提示
确定
请完成安全验证×
copy
已复制链接
快去分享给好友吧!
我知道了
右上角分享
点击右上角分享
0
联系我们:info@booksci.cn Book学术提供免费学术资源搜索服务,方便国内外学者检索中英文文献。致力于提供最便捷和优质的服务体验。 Copyright © 2023 布克学术 All rights reserved.
京ICP备2023020795号-1
ghs 京公网安备 11010802042870号
Book学术文献互助
Book学术文献互助群
群 号:604180095
Book学术官方微信