三度心脏传导阻滞时出现的布尔哈夫综合征。

CRSLS : MIS case reports from SLS Pub Date : 2024-02-21 eCollection Date: 2024-01-01 DOI:10.4293/CRSLS.2023.00052
Jay A Redan, Taylor Croteau, Colleen Gaughan
{"title":"三度心脏传导阻滞时出现的布尔哈夫综合征。","authors":"Jay A Redan, Taylor Croteau, Colleen Gaughan","doi":"10.4293/CRSLS.2023.00052","DOIUrl":null,"url":null,"abstract":"<p><strong>Introduction: </strong>Boerhaave's syndrome, or the spontaneous transmural perforation of the esophagus, is typically thought to be due to an increase in esophageal pressure such as that which occurs during vomiting or retching. Another common etiology of esophageal perforation is esophageal instrumentation, such as during esophagogastroduodenoscopy or transesophageal echocardiography. This life-threatening condition requires prompt diagnosis and treatment to prevent patient demise. While a history of vomiting can aid in diagnosis, this history can be difficult to elicit in an unconscious patient or may be altogether absent. Additionally, Boerhaave's syndrome can present similarly to more common upper gastrointestinal or cardiac conditions. Since mortality increases with delays in diagnosis and treatment, it is imperative that clinicians maintain a high level of suspicion for Boerhaave's syndrome and initiate treatment urgently.</p><p><strong>Case description: </strong>This report presents a 76-year-old man who presented to the emergency department after a history of several syncopal episodes and was found to be in complete heart block. Two days later, he acutely developed abdominal distention and coffee ground emesis. As the medical team was able to gather more history from the patient and his family, it was revealed that he had associated vomiting with his episodes of syncope. CT scan of the abdomen and pelvis demonstrated pneumomediastinum concerning for esophageal perforation. His clinical status subsequently deteriorated. He was intubated and a temporary transvenous pacer was placed before being transferred to our facility for emergent surgery.</p><p><strong>Discussion: </strong>Complete heart block in the setting of Boerhaave's syndrome is exceptionally rare, with only 2 cases reported in the literature. The decision to place a pacemaker in the setting of esophageal perforation/sepsis is complicated and depends on the patient's bacteremia status related to noncardiac comorbidities. Clearly this case represents the need for excellent multidisciplinary decision-making processes with excellent communication between hospital staff and all caretakers. Expeditious diagnosis and treatment of esophageal perforation is essential to prevent leaking of gastric contents into the mediastinum and worsening of cardiac complications and sepsis. Additionally, critical timing of various surgical procedures, especially the need for a permanent pacemaker implant with bacteremia is a complicated process not well described in the surgical literature.</p>","PeriodicalId":72723,"journal":{"name":"CRSLS : MIS case reports from SLS","volume":"11 1","pages":""},"PeriodicalIF":0.0000,"publicationDate":"2024-02-21","publicationTypes":"Journal Article","fieldsOfStudy":null,"isOpenAccess":false,"openAccessPdf":"https://www.ncbi.nlm.nih.gov/pmc/articles/PMC10880586/pdf/","citationCount":"0","resultStr":"{\"title\":\"Boerhaave's Syndrome Presenting in the Setting of Third-Degree Heart Block.\",\"authors\":\"Jay A Redan, Taylor Croteau, Colleen Gaughan\",\"doi\":\"10.4293/CRSLS.2023.00052\",\"DOIUrl\":null,\"url\":null,\"abstract\":\"<p><strong>Introduction: </strong>Boerhaave's syndrome, or the spontaneous transmural perforation of the esophagus, is typically thought to be due to an increase in esophageal pressure such as that which occurs during vomiting or retching. Another common etiology of esophageal perforation is esophageal instrumentation, such as during esophagogastroduodenoscopy or transesophageal echocardiography. This life-threatening condition requires prompt diagnosis and treatment to prevent patient demise. While a history of vomiting can aid in diagnosis, this history can be difficult to elicit in an unconscious patient or may be altogether absent. Additionally, Boerhaave's syndrome can present similarly to more common upper gastrointestinal or cardiac conditions. Since mortality increases with delays in diagnosis and treatment, it is imperative that clinicians maintain a high level of suspicion for Boerhaave's syndrome and initiate treatment urgently.</p><p><strong>Case description: </strong>This report presents a 76-year-old man who presented to the emergency department after a history of several syncopal episodes and was found to be in complete heart block. Two days later, he acutely developed abdominal distention and coffee ground emesis. As the medical team was able to gather more history from the patient and his family, it was revealed that he had associated vomiting with his episodes of syncope. CT scan of the abdomen and pelvis demonstrated pneumomediastinum concerning for esophageal perforation. His clinical status subsequently deteriorated. He was intubated and a temporary transvenous pacer was placed before being transferred to our facility for emergent surgery.</p><p><strong>Discussion: </strong>Complete heart block in the setting of Boerhaave's syndrome is exceptionally rare, with only 2 cases reported in the literature. The decision to place a pacemaker in the setting of esophageal perforation/sepsis is complicated and depends on the patient's bacteremia status related to noncardiac comorbidities. Clearly this case represents the need for excellent multidisciplinary decision-making processes with excellent communication between hospital staff and all caretakers. Expeditious diagnosis and treatment of esophageal perforation is essential to prevent leaking of gastric contents into the mediastinum and worsening of cardiac complications and sepsis. Additionally, critical timing of various surgical procedures, especially the need for a permanent pacemaker implant with bacteremia is a complicated process not well described in the surgical literature.</p>\",\"PeriodicalId\":72723,\"journal\":{\"name\":\"CRSLS : MIS case reports from SLS\",\"volume\":\"11 1\",\"pages\":\"\"},\"PeriodicalIF\":0.0000,\"publicationDate\":\"2024-02-21\",\"publicationTypes\":\"Journal Article\",\"fieldsOfStudy\":null,\"isOpenAccess\":false,\"openAccessPdf\":\"https://www.ncbi.nlm.nih.gov/pmc/articles/PMC10880586/pdf/\",\"citationCount\":\"0\",\"resultStr\":null,\"platform\":\"Semanticscholar\",\"paperid\":null,\"PeriodicalName\":\"CRSLS : MIS case reports from SLS\",\"FirstCategoryId\":\"1085\",\"ListUrlMain\":\"https://doi.org/10.4293/CRSLS.2023.00052\",\"RegionNum\":0,\"RegionCategory\":null,\"ArticlePicture\":[],\"TitleCN\":null,\"AbstractTextCN\":null,\"PMCID\":null,\"EPubDate\":\"2024/1/1 0:00:00\",\"PubModel\":\"eCollection\",\"JCR\":\"\",\"JCRName\":\"\",\"Score\":null,\"Total\":0}","platform":"Semanticscholar","paperid":null,"PeriodicalName":"CRSLS : MIS case reports from SLS","FirstCategoryId":"1085","ListUrlMain":"https://doi.org/10.4293/CRSLS.2023.00052","RegionNum":0,"RegionCategory":null,"ArticlePicture":[],"TitleCN":null,"AbstractTextCN":null,"PMCID":null,"EPubDate":"2024/1/1 0:00:00","PubModel":"eCollection","JCR":"","JCRName":"","Score":null,"Total":0}
引用次数: 0

摘要

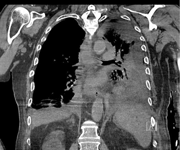
导言:Boerhaave's 综合征或食管自发性经壁穿孔,通常被认为是由于食管压力增高所致,如呕吐或反胃时发生的压力增高。食管穿孔的另一个常见病因是食管器械操作,如食管胃十二指肠镜检查或经食管超声心动图检查。这种危及生命的情况需要及时诊断和治疗,以防患者死亡。虽然呕吐史有助于诊断,但在昏迷患者中很难获得呕吐史,或者可能完全没有呕吐史。此外,波尔哈韦综合征的表现可能与更常见的上消化道或心脏疾病相似。由于死亡率会随着诊断和治疗的延误而增加,临床医生必须高度怀疑布尔哈韦综合征,并立即开始治疗:本报告介绍了一名 76 岁的男性患者,他因数次晕厥病史到急诊科就诊,被诊断为完全性心脏传导阻滞。两天后,他急性出现腹胀和咖啡样呕吐。医疗团队在向患者及其家人了解更多病史后发现,他的呕吐与晕厥发作有关。腹部和骨盆的 CT 扫描显示存在气胸,可能是食道穿孔。他的临床状况随后恶化。他被插管并放置了临时经静脉起搏器,然后被转到我们医院进行急诊手术:讨论:波尔哈韦综合征引起的完全性心脏传导阻滞极为罕见,文献中仅有 2 例报道。在食管穿孔/脓毒症的情况下是否安装心脏起搏器的决定非常复杂,取决于患者的菌血症状态和非心脏合并症。很明显,这一病例表明,医院工作人员和所有护理人员之间需要进行良好的沟通,并制定出色的多学科决策流程。食管穿孔的快速诊断和治疗对于防止胃内容物渗入纵隔、加重心脏并发症和败血症至关重要。此外,各种外科手术的关键时机,尤其是需要植入永久起搏器并伴有菌血症的情况,是一个复杂的过程,外科文献中没有很好的描述。
本文章由计算机程序翻译,如有差异,请以英文原文为准。

Boerhaave's Syndrome Presenting in the Setting of Third-Degree Heart Block.

Boerhaave's Syndrome Presenting in the Setting of Third-Degree Heart Block.

Boerhaave's Syndrome Presenting in the Setting of Third-Degree Heart Block.

Boerhaave's Syndrome Presenting in the Setting of Third-Degree Heart Block.

Introduction: Boerhaave's syndrome, or the spontaneous transmural perforation of the esophagus, is typically thought to be due to an increase in esophageal pressure such as that which occurs during vomiting or retching. Another common etiology of esophageal perforation is esophageal instrumentation, such as during esophagogastroduodenoscopy or transesophageal echocardiography. This life-threatening condition requires prompt diagnosis and treatment to prevent patient demise. While a history of vomiting can aid in diagnosis, this history can be difficult to elicit in an unconscious patient or may be altogether absent. Additionally, Boerhaave's syndrome can present similarly to more common upper gastrointestinal or cardiac conditions. Since mortality increases with delays in diagnosis and treatment, it is imperative that clinicians maintain a high level of suspicion for Boerhaave's syndrome and initiate treatment urgently.

Case description: This report presents a 76-year-old man who presented to the emergency department after a history of several syncopal episodes and was found to be in complete heart block. Two days later, he acutely developed abdominal distention and coffee ground emesis. As the medical team was able to gather more history from the patient and his family, it was revealed that he had associated vomiting with his episodes of syncope. CT scan of the abdomen and pelvis demonstrated pneumomediastinum concerning for esophageal perforation. His clinical status subsequently deteriorated. He was intubated and a temporary transvenous pacer was placed before being transferred to our facility for emergent surgery.

Discussion: Complete heart block in the setting of Boerhaave's syndrome is exceptionally rare, with only 2 cases reported in the literature. The decision to place a pacemaker in the setting of esophageal perforation/sepsis is complicated and depends on the patient's bacteremia status related to noncardiac comorbidities. Clearly this case represents the need for excellent multidisciplinary decision-making processes with excellent communication between hospital staff and all caretakers. Expeditious diagnosis and treatment of esophageal perforation is essential to prevent leaking of gastric contents into the mediastinum and worsening of cardiac complications and sepsis. Additionally, critical timing of various surgical procedures, especially the need for a permanent pacemaker implant with bacteremia is a complicated process not well described in the surgical literature.

求助全文
通过发布文献求助,成功后即可免费获取论文全文。 去求助
来源期刊
自引率
0.00%
发文量
0
×
引用
GB/T 7714-2015
复制
MLA
复制
APA
复制
导出至
BibTeX EndNote RefMan NoteFirst NoteExpress
×
提示
您的信息不完整,为了账户安全,请先补充。
现在去补充
×
提示
您因"违规操作"
具体请查看互助需知
我知道了
×
提示
确定
请完成安全验证×
copy
已复制链接
快去分享给好友吧!
我知道了
右上角分享
点击右上角分享
0
联系我们:info@booksci.cn Book学术提供免费学术资源搜索服务,方便国内外学者检索中英文文献。致力于提供最便捷和优质的服务体验。 Copyright © 2023 布克学术 All rights reserved.
京ICP备2023020795号-1
ghs 京公网安备 11010802042870号
Book学术文献互助
Book学术文献互助群
群 号:604180095
Book学术官方微信