模仿结节性前巩膜炎的嵌入式巩膜异物

Q3 Medicine
Zeynep Özbek, Banu Lebe, Mustafa Kayabaşı, Ali Osman Saatci
{"title":"模仿结节性前巩膜炎的嵌入式巩膜异物","authors":"Zeynep Özbek, Banu Lebe, Mustafa Kayabaşı, Ali Osman Saatci","doi":"10.4274/tjo.galenos.2023.37460","DOIUrl":null,"url":null,"abstract":"<p><p>A 56-year-old man was referred to our clinic for unilateral nodular scleritis unresponsive to systemic corticosteroids. A localized, nodular hyperemia on the nasal bulbar conjunctiva surrounding a central cyst-like lesion together with vascular engorgement was observed on slit-lamp examination of the left eye. No abnormal fundoscopic findings were noted. Surgical exploration revealed an embedded episcleral brown colored, soft to touch, splinter-like organic foreign body (FB) which was confirmed by the histopathological examination. Nodular hyperemia resolved during the postoperative follow-up period, and mild scar tissue accompanied by scleral thinning developed in the left nasal bulbar conjunctiva. Ocular injury associated with FBs may cause significant ocular morbidity depending on the nature and location of the FB. Severe visual disability may occur if left untreated. Subconjunctival FBs are rare and may present with a clinical picture mimicking episcleritis or scleritis. History of trauma involving a FB should always be assessed for an accurate differential diagnosis and appropriate management of patients with anterior scleritis.</p>","PeriodicalId":23373,"journal":{"name":"Turkish Journal of Ophthalmology","volume":"54 1","pages":"46-48"},"PeriodicalIF":0.0000,"publicationDate":"2024-02-22","publicationTypes":"Journal Article","fieldsOfStudy":null,"isOpenAccess":false,"openAccessPdf":"https://www.ncbi.nlm.nih.gov/pmc/articles/PMC10895169/pdf/","citationCount":"0","resultStr":"{\"title\":\"Embedded Episcleral Foreign Body Mimicking Nodular Anterior Scleritis.\",\"authors\":\"Zeynep Özbek, Banu Lebe, Mustafa Kayabaşı, Ali Osman Saatci\",\"doi\":\"10.4274/tjo.galenos.2023.37460\",\"DOIUrl\":null,\"url\":null,\"abstract\":\"<p><p>A 56-year-old man was referred to our clinic for unilateral nodular scleritis unresponsive to systemic corticosteroids. A localized, nodular hyperemia on the nasal bulbar conjunctiva surrounding a central cyst-like lesion together with vascular engorgement was observed on slit-lamp examination of the left eye. No abnormal fundoscopic findings were noted. Surgical exploration revealed an embedded episcleral brown colored, soft to touch, splinter-like organic foreign body (FB) which was confirmed by the histopathological examination. Nodular hyperemia resolved during the postoperative follow-up period, and mild scar tissue accompanied by scleral thinning developed in the left nasal bulbar conjunctiva. Ocular injury associated with FBs may cause significant ocular morbidity depending on the nature and location of the FB. Severe visual disability may occur if left untreated. Subconjunctival FBs are rare and may present with a clinical picture mimicking episcleritis or scleritis. History of trauma involving a FB should always be assessed for an accurate differential diagnosis and appropriate management of patients with anterior scleritis.</p>\",\"PeriodicalId\":23373,\"journal\":{\"name\":\"Turkish Journal of Ophthalmology\",\"volume\":\"54 1\",\"pages\":\"46-48\"},\"PeriodicalIF\":0.0000,\"publicationDate\":\"2024-02-22\",\"publicationTypes\":\"Journal Article\",\"fieldsOfStudy\":null,\"isOpenAccess\":false,\"openAccessPdf\":\"https://www.ncbi.nlm.nih.gov/pmc/articles/PMC10895169/pdf/\",\"citationCount\":\"0\",\"resultStr\":null,\"platform\":\"Semanticscholar\",\"paperid\":null,\"PeriodicalName\":\"Turkish Journal of Ophthalmology\",\"FirstCategoryId\":\"1085\",\"ListUrlMain\":\"https://doi.org/10.4274/tjo.galenos.2023.37460\",\"RegionNum\":0,\"RegionCategory\":null,\"ArticlePicture\":[],\"TitleCN\":null,\"AbstractTextCN\":null,\"PMCID\":null,\"EPubDate\":\"\",\"PubModel\":\"\",\"JCR\":\"Q3\",\"JCRName\":\"Medicine\",\"Score\":null,\"Total\":0}","platform":"Semanticscholar","paperid":null,"PeriodicalName":"Turkish Journal of Ophthalmology","FirstCategoryId":"1085","ListUrlMain":"https://doi.org/10.4274/tjo.galenos.2023.37460","RegionNum":0,"RegionCategory":null,"ArticlePicture":[],"TitleCN":null,"AbstractTextCN":null,"PMCID":null,"EPubDate":"","PubModel":"","JCR":"Q3","JCRName":"Medicine","Score":null,"Total":0}
引用次数: 0

摘要

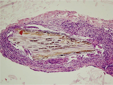
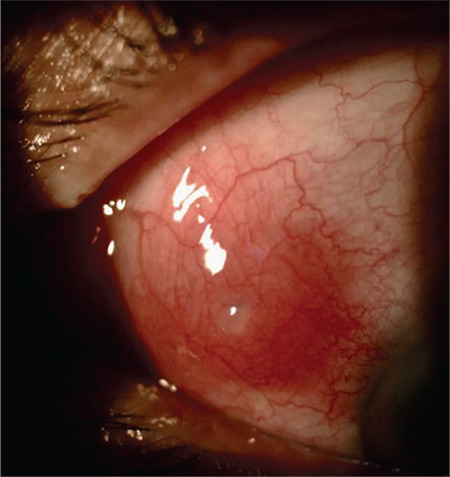
一名 56 岁的男子因单侧结节性巩膜炎对全身皮质类固醇激素无效而转诊至我院。左眼裂隙灯检查发现,鼻球结膜局部结节性充血,围绕着中央囊肿样病变,并伴有血管充血。眼底镜检查未发现异常。手术探查发现,巩膜上嵌有一个棕色、触感柔软的碎片状有机异物(FB),组织病理学检查证实了这一点。术后随访期间,结节性充血消退,左侧鼻球结膜出现轻度瘢痕组织,伴有巩膜变薄。根据 FB 的性质和位置,与 FB 相关的眼部损伤可能会导致严重的眼部疾病。如果不及时治疗,可能会导致严重的视力残疾。结膜下 FB 比较罕见,其临床表现可能与上巩膜炎或巩膜炎相似。为了对前巩膜炎患者进行准确的鉴别诊断和适当的治疗,应始终对涉及 FB 的外伤史进行评估。
本文章由计算机程序翻译,如有差异,请以英文原文为准。

Embedded Episcleral Foreign Body Mimicking Nodular Anterior Scleritis.

Embedded Episcleral Foreign Body Mimicking Nodular Anterior Scleritis.

Embedded Episcleral Foreign Body Mimicking Nodular Anterior Scleritis.

Embedded Episcleral Foreign Body Mimicking Nodular Anterior Scleritis.

A 56-year-old man was referred to our clinic for unilateral nodular scleritis unresponsive to systemic corticosteroids. A localized, nodular hyperemia on the nasal bulbar conjunctiva surrounding a central cyst-like lesion together with vascular engorgement was observed on slit-lamp examination of the left eye. No abnormal fundoscopic findings were noted. Surgical exploration revealed an embedded episcleral brown colored, soft to touch, splinter-like organic foreign body (FB) which was confirmed by the histopathological examination. Nodular hyperemia resolved during the postoperative follow-up period, and mild scar tissue accompanied by scleral thinning developed in the left nasal bulbar conjunctiva. Ocular injury associated with FBs may cause significant ocular morbidity depending on the nature and location of the FB. Severe visual disability may occur if left untreated. Subconjunctival FBs are rare and may present with a clinical picture mimicking episcleritis or scleritis. History of trauma involving a FB should always be assessed for an accurate differential diagnosis and appropriate management of patients with anterior scleritis.

求助全文
通过发布文献求助,成功后即可免费获取论文全文。 去求助
来源期刊
Turkish Journal of Ophthalmology
Turkish Journal of Ophthalmology Medicine-Ophthalmology
CiteScore
2.20
自引率
0.00%
发文量
0
期刊介绍: The Turkish Journal of Ophthalmology (TJO) is the only scientific periodical publication of the Turkish Ophthalmological Association and has been published since January 1929. In its early years, the journal was published in Turkish and French. Although there were temporary interruptions in the publication of the journal due to various challenges, the Turkish Journal of Ophthalmology has been published continually from 1971 to the present. The target audience includes specialists and physicians in training in ophthalmology in all relevant disciplines.
×
引用
GB/T 7714-2015
复制
MLA
复制
APA
复制
导出至
BibTeX EndNote RefMan NoteFirst NoteExpress
×
提示
您的信息不完整,为了账户安全,请先补充。
现在去补充
×
提示
您因"违规操作"
具体请查看互助需知
我知道了
×
提示
确定
请完成安全验证×
copy
已复制链接
快去分享给好友吧!
我知道了
右上角分享
点击右上角分享
0
联系我们:info@booksci.cn Book学术提供免费学术资源搜索服务,方便国内外学者检索中英文文献。致力于提供最便捷和优质的服务体验。 Copyright © 2023 布克学术 All rights reserved.
京ICP备2023020795号-1
ghs 京公网安备 11010802042870号
Book学术文献互助
Book学术文献互助群
群 号:604180095
Book学术官方微信