追龙 "的危险:海洛因诱发白质脑病的致命病例。

IF 0.5 Q4 RADIOLOGY, NUCLEAR MEDICINE & MEDICAL IMAGING
BJR Case Reports Pub Date : 2023-12-13 eCollection Date: 2024-01-01 DOI:10.1093/bjrcr/uaad004
Iliass Bourekba, Ismail Halfi, Najwa Ech Cherif Kettani, Meryem Fikri, Mohamed Jidane, Firdaous Touarsa
{"title":"追龙 \"的危险:海洛因诱发白质脑病的致命病例。","authors":"Iliass Bourekba, Ismail Halfi, Najwa Ech Cherif Kettani, Meryem Fikri, Mohamed Jidane, Firdaous Touarsa","doi":"10.1093/bjrcr/uaad004","DOIUrl":null,"url":null,"abstract":"<p><p>Heroin-induced leukoencephalopathy (HLE) is a rare toxic encephalopathy associated primarily with heroin inhalation, commonly referred to as \"chasing the dragon.\" This study presents a clinical case of a 27-year-old polydrug user diagnosed with HLE during hospitalization for rapidly progressive flaccid tetraplegia and aphasia. The clinical manifestations encompassed cerebellar and bulbar dysfunction, coupled with motor impairment and altered consciousness. Based on the clinical data and MRI results, HLE was identified as the most likely cause. This article aims to provide insights into the clinical and radiological aspects of HLE, emphasizing the diagnostic significance of radiological findings. The gold standard examination for diagnosis is MRI, crucial due to the difficulties in obtaining histological confirmation for this rare condition.</p>","PeriodicalId":45216,"journal":{"name":"BJR Case Reports","volume":"10 1","pages":"uaad004"},"PeriodicalIF":0.5000,"publicationDate":"2023-12-13","publicationTypes":"Journal Article","fieldsOfStudy":null,"isOpenAccess":false,"openAccessPdf":"https://www.ncbi.nlm.nih.gov/pmc/articles/PMC10860508/pdf/","citationCount":"0","resultStr":"{\"title\":\"The dangers of \\\"Chasing the dragon\\\": a fatal case of heroin-induced leukoencephalopathy.\",\"authors\":\"Iliass Bourekba, Ismail Halfi, Najwa Ech Cherif Kettani, Meryem Fikri, Mohamed Jidane, Firdaous Touarsa\",\"doi\":\"10.1093/bjrcr/uaad004\",\"DOIUrl\":null,\"url\":null,\"abstract\":\"<p><p>Heroin-induced leukoencephalopathy (HLE) is a rare toxic encephalopathy associated primarily with heroin inhalation, commonly referred to as \\\"chasing the dragon.\\\" This study presents a clinical case of a 27-year-old polydrug user diagnosed with HLE during hospitalization for rapidly progressive flaccid tetraplegia and aphasia. The clinical manifestations encompassed cerebellar and bulbar dysfunction, coupled with motor impairment and altered consciousness. Based on the clinical data and MRI results, HLE was identified as the most likely cause. This article aims to provide insights into the clinical and radiological aspects of HLE, emphasizing the diagnostic significance of radiological findings. The gold standard examination for diagnosis is MRI, crucial due to the difficulties in obtaining histological confirmation for this rare condition.</p>\",\"PeriodicalId\":45216,\"journal\":{\"name\":\"BJR Case Reports\",\"volume\":\"10 1\",\"pages\":\"uaad004\"},\"PeriodicalIF\":0.5000,\"publicationDate\":\"2023-12-13\",\"publicationTypes\":\"Journal Article\",\"fieldsOfStudy\":null,\"isOpenAccess\":false,\"openAccessPdf\":\"https://www.ncbi.nlm.nih.gov/pmc/articles/PMC10860508/pdf/\",\"citationCount\":\"0\",\"resultStr\":null,\"platform\":\"Semanticscholar\",\"paperid\":null,\"PeriodicalName\":\"BJR Case Reports\",\"FirstCategoryId\":\"1085\",\"ListUrlMain\":\"https://doi.org/10.1093/bjrcr/uaad004\",\"RegionNum\":0,\"RegionCategory\":null,\"ArticlePicture\":[],\"TitleCN\":null,\"AbstractTextCN\":null,\"PMCID\":null,\"EPubDate\":\"2024/1/1 0:00:00\",\"PubModel\":\"eCollection\",\"JCR\":\"Q4\",\"JCRName\":\"RADIOLOGY, NUCLEAR MEDICINE & MEDICAL IMAGING\",\"Score\":null,\"Total\":0}","platform":"Semanticscholar","paperid":null,"PeriodicalName":"BJR Case Reports","FirstCategoryId":"1085","ListUrlMain":"https://doi.org/10.1093/bjrcr/uaad004","RegionNum":0,"RegionCategory":null,"ArticlePicture":[],"TitleCN":null,"AbstractTextCN":null,"PMCID":null,"EPubDate":"2024/1/1 0:00:00","PubModel":"eCollection","JCR":"Q4","JCRName":"RADIOLOGY, NUCLEAR MEDICINE & MEDICAL IMAGING","Score":null,"Total":0}
引用次数: 0

摘要

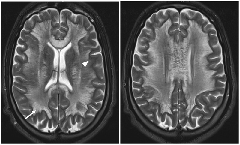
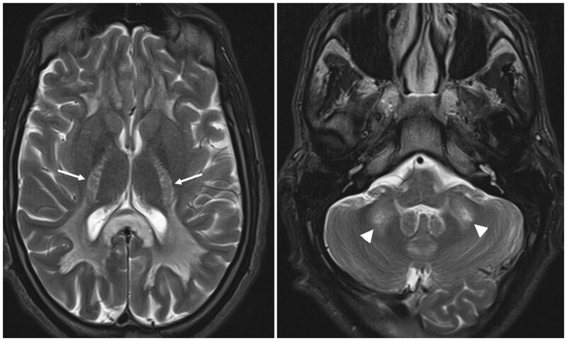
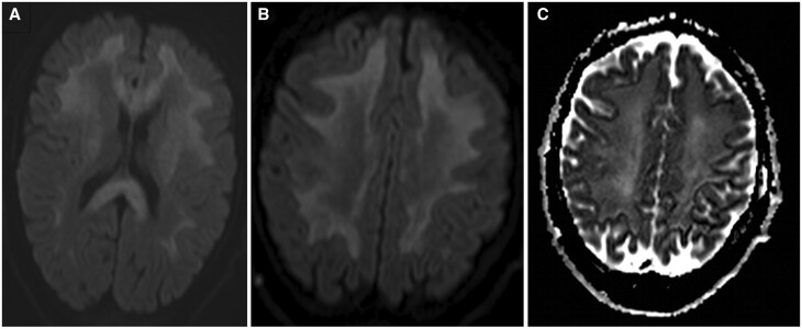
海洛因诱发的白质脑病(HLE)是一种罕见的中毒性脑病,主要与吸入海洛因有关,俗称 "追龙"。本研究介绍了一例临床病例,患者是一名 27 岁的多种毒品使用者,因快速进展的弛缓性四肢瘫和失语住院期间被诊断为 HLE。临床表现包括小脑和球部功能障碍、运动障碍和意识改变。根据临床数据和磁共振成像结果,HLE 被确定为最有可能的病因。本文旨在就 HLE 的临床和放射学方面提供见解,并强调放射学检查结果的诊断意义。诊断的金标准检查是核磁共振成像,这一点至关重要,因为这种罕见疾病很难获得组织学证实。
本文章由计算机程序翻译,如有差异,请以英文原文为准。

The dangers of "Chasing the dragon": a fatal case of heroin-induced leukoencephalopathy.

The dangers of "Chasing the dragon": a fatal case of heroin-induced leukoencephalopathy.

The dangers of "Chasing the dragon": a fatal case of heroin-induced leukoencephalopathy.

The dangers of "Chasing the dragon": a fatal case of heroin-induced leukoencephalopathy.

Heroin-induced leukoencephalopathy (HLE) is a rare toxic encephalopathy associated primarily with heroin inhalation, commonly referred to as "chasing the dragon." This study presents a clinical case of a 27-year-old polydrug user diagnosed with HLE during hospitalization for rapidly progressive flaccid tetraplegia and aphasia. The clinical manifestations encompassed cerebellar and bulbar dysfunction, coupled with motor impairment and altered consciousness. Based on the clinical data and MRI results, HLE was identified as the most likely cause. This article aims to provide insights into the clinical and radiological aspects of HLE, emphasizing the diagnostic significance of radiological findings. The gold standard examination for diagnosis is MRI, crucial due to the difficulties in obtaining histological confirmation for this rare condition.

求助全文
通过发布文献求助,成功后即可免费获取论文全文。 去求助
来源期刊
BJR Case Reports
BJR Case Reports RADIOLOGY, NUCLEAR MEDICINE & MEDICAL IMAGING-
自引率
0.00%
发文量
77
审稿时长
11 weeks
×
引用
GB/T 7714-2015
复制
MLA
复制
APA
复制
导出至
BibTeX EndNote RefMan NoteFirst NoteExpress
×
提示
您的信息不完整,为了账户安全,请先补充。
现在去补充
×
提示
您因"违规操作"
具体请查看互助需知
我知道了
×
提示
确定
请完成安全验证×
copy
已复制链接
快去分享给好友吧!
我知道了
右上角分享
点击右上角分享
0
联系我们:info@booksci.cn Book学术提供免费学术资源搜索服务,方便国内外学者检索中英文文献。致力于提供最便捷和优质的服务体验。 Copyright © 2023 布克学术 All rights reserved.
京ICP备2023020795号-1
ghs 京公网安备 11010802042870号
Book学术文献互助
Book学术文献互助群
群 号:604180095
Book学术官方微信