治疗类风湿结节性气胸的带蒂网膜成形术:病例报告。

IF 0.3 Q4 SURGERY
Thoracic and Cardiovascular Surgeon Reports Pub Date : 2024-02-12 eCollection Date: 2024-01-01 DOI:10.1055/a-2234-7907
Hiroki Matsumiya, Koji Kuroda, Teppei Hashimoto, Fumihiro Tanaka
{"title":"治疗类风湿结节性气胸的带蒂网膜成形术:病例报告。","authors":"Hiroki Matsumiya, Koji Kuroda, Teppei Hashimoto, Fumihiro Tanaka","doi":"10.1055/a-2234-7907","DOIUrl":null,"url":null,"abstract":"<p><p><b>Background</b>  No consensus exists regarding surgical intervention for rheumatoid nodule-related pneumothorax. Clinical policy decisions rely on individual clinicians' experience and are usually intractable. <b>Case Description</b>  A 50-year-old man with a difficult-to-treat rheumatoid arthritis-related pneumothorax was successfully treated with pedicle omentoplasty without recurrence at approximately 2 years posttreatment. To the best of our knowledge, this is the first report of a patient where pneumothorax did not recur due to firm adhesions despite fluctuating postoperative rheumatoid nodules, as captured by regular computed tomography imaging follow-ups. <b>Conclusion</b>  Pedicled omentoplasty is effective for rheumatoid nodule-related pneumothorax as it reduces pneumothorax recurrence.</p>","PeriodicalId":41729,"journal":{"name":"Thoracic and Cardiovascular Surgeon Reports","volume":"13 1","pages":"e8-e11"},"PeriodicalIF":0.3000,"publicationDate":"2024-02-12","publicationTypes":"Journal Article","fieldsOfStudy":null,"isOpenAccess":false,"openAccessPdf":"https://www.ncbi.nlm.nih.gov/pmc/articles/PMC10861315/pdf/","citationCount":"0","resultStr":"{\"title\":\"Pedicled Omentoplasty for Treatment of Rheumatoid Nodule Pneumothorax: A Case Report.\",\"authors\":\"Hiroki Matsumiya, Koji Kuroda, Teppei Hashimoto, Fumihiro Tanaka\",\"doi\":\"10.1055/a-2234-7907\",\"DOIUrl\":null,\"url\":null,\"abstract\":\"<p><p><b>Background</b>  No consensus exists regarding surgical intervention for rheumatoid nodule-related pneumothorax. Clinical policy decisions rely on individual clinicians' experience and are usually intractable. <b>Case Description</b>  A 50-year-old man with a difficult-to-treat rheumatoid arthritis-related pneumothorax was successfully treated with pedicle omentoplasty without recurrence at approximately 2 years posttreatment. To the best of our knowledge, this is the first report of a patient where pneumothorax did not recur due to firm adhesions despite fluctuating postoperative rheumatoid nodules, as captured by regular computed tomography imaging follow-ups. <b>Conclusion</b>  Pedicled omentoplasty is effective for rheumatoid nodule-related pneumothorax as it reduces pneumothorax recurrence.</p>\",\"PeriodicalId\":41729,\"journal\":{\"name\":\"Thoracic and Cardiovascular Surgeon Reports\",\"volume\":\"13 1\",\"pages\":\"e8-e11\"},\"PeriodicalIF\":0.3000,\"publicationDate\":\"2024-02-12\",\"publicationTypes\":\"Journal Article\",\"fieldsOfStudy\":null,\"isOpenAccess\":false,\"openAccessPdf\":\"https://www.ncbi.nlm.nih.gov/pmc/articles/PMC10861315/pdf/\",\"citationCount\":\"0\",\"resultStr\":null,\"platform\":\"Semanticscholar\",\"paperid\":null,\"PeriodicalName\":\"Thoracic and Cardiovascular Surgeon Reports\",\"FirstCategoryId\":\"1085\",\"ListUrlMain\":\"https://doi.org/10.1055/a-2234-7907\",\"RegionNum\":0,\"RegionCategory\":null,\"ArticlePicture\":[],\"TitleCN\":null,\"AbstractTextCN\":null,\"PMCID\":null,\"EPubDate\":\"2024/1/1 0:00:00\",\"PubModel\":\"eCollection\",\"JCR\":\"Q4\",\"JCRName\":\"SURGERY\",\"Score\":null,\"Total\":0}","platform":"Semanticscholar","paperid":null,"PeriodicalName":"Thoracic and Cardiovascular Surgeon Reports","FirstCategoryId":"1085","ListUrlMain":"https://doi.org/10.1055/a-2234-7907","RegionNum":0,"RegionCategory":null,"ArticlePicture":[],"TitleCN":null,"AbstractTextCN":null,"PMCID":null,"EPubDate":"2024/1/1 0:00:00","PubModel":"eCollection","JCR":"Q4","JCRName":"SURGERY","Score":null,"Total":0}
引用次数: 0

摘要

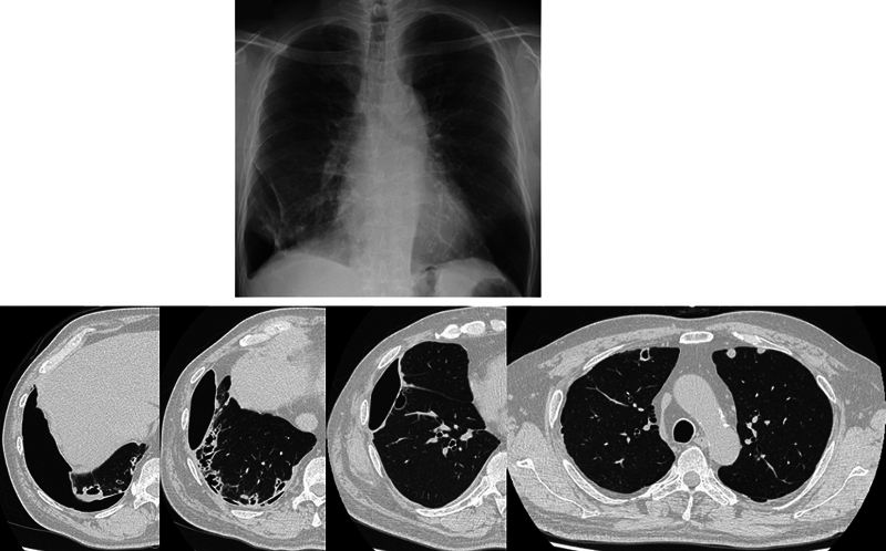
背景 关于类风湿结节相关气胸的手术治疗,目前尚无共识。临床政策的决定依赖于临床医生的个人经验,而且通常很棘手。病例描述:一名 50 岁的男子患有难以治疗的类风湿性关节炎相关气胸,他在治疗后约 2 年时成功接受了椎弓根网膜成形术,并且没有复发。据我们所知,这是第一例在术后类风湿结节波动的情况下,通过定期计算机断层扫描成像随访发现因粘连牢固而导致气胸未复发的患者。结论 足底网膜成形术对类风湿结节相关气胸有效,因为它能减少气胸复发。
本文章由计算机程序翻译,如有差异,请以英文原文为准。

Pedicled Omentoplasty for Treatment of Rheumatoid Nodule Pneumothorax: A Case Report.

Pedicled Omentoplasty for Treatment of Rheumatoid Nodule Pneumothorax: A Case Report.

Pedicled Omentoplasty for Treatment of Rheumatoid Nodule Pneumothorax: A Case Report.

Pedicled Omentoplasty for Treatment of Rheumatoid Nodule Pneumothorax: A Case Report.

Background  No consensus exists regarding surgical intervention for rheumatoid nodule-related pneumothorax. Clinical policy decisions rely on individual clinicians' experience and are usually intractable. Case Description  A 50-year-old man with a difficult-to-treat rheumatoid arthritis-related pneumothorax was successfully treated with pedicle omentoplasty without recurrence at approximately 2 years posttreatment. To the best of our knowledge, this is the first report of a patient where pneumothorax did not recur due to firm adhesions despite fluctuating postoperative rheumatoid nodules, as captured by regular computed tomography imaging follow-ups. Conclusion  Pedicled omentoplasty is effective for rheumatoid nodule-related pneumothorax as it reduces pneumothorax recurrence.

求助全文
通过发布文献求助,成功后即可免费获取论文全文。 去求助
来源期刊
自引率
0.00%
发文量
20
×
引用
GB/T 7714-2015
复制
MLA
复制
APA
复制
导出至
BibTeX EndNote RefMan NoteFirst NoteExpress
×
提示
您的信息不完整,为了账户安全,请先补充。
现在去补充
×
提示
您因"违规操作"
具体请查看互助需知
我知道了
×
提示
确定
请完成安全验证×
copy
已复制链接
快去分享给好友吧!
我知道了
右上角分享
点击右上角分享
0
联系我们:info@booksci.cn Book学术提供免费学术资源搜索服务,方便国内外学者检索中英文文献。致力于提供最便捷和优质的服务体验。 Copyright © 2023 布克学术 All rights reserved.
京ICP备2023020795号-1
ghs 京公网安备 11010802042870号
Book学术文献互助
Book学术文献互助群
群 号:604180095
Book学术官方微信