体外麸质降解--使用重组 "Eurygaster Integriceps Prolyl Endoprotease":对乳糜泻的影响。

IF 1.5 4区 生物学 Q4 BIOTECHNOLOGY & APPLIED MICROBIOLOGY
Effat Noori, Mojgan Bandehpour, Mohammad Reza Zali, Bahram Kazemi
{"title":"体外麸质降解--使用重组 \"Eurygaster Integriceps Prolyl Endoprotease\":对乳糜泻的影响。","authors":"Effat Noori, Mojgan Bandehpour, Mohammad Reza Zali, Bahram Kazemi","doi":"10.30498/ijb.2023.347693.3420","DOIUrl":null,"url":null,"abstract":"<p><strong>Background: </strong>Celiac disease (CD) is a gluten-sensitive chronic autoimmune enteropathy. A strict life-long gluten-free diet is the only efficient and accepted treatment until now. However, maintaining a truly gluten-free status is both difficult and costly, often resulting in a social burden for the person. Moreover, 2 to 5 percent of patients fail to improve clinically and histologically upon elimination of dietary gluten. Therefore, novel therapeutic approaches, including gluten degrading enzymes, are an unmet need of celiac patients.</p><p><strong>Objectives: </strong>To evaluate the function of sunn pest prolyl endoprotease for gluten and gliadin hydrolysis in vitro.</p><p><strong>Materials and methods: </strong>The spPEP was expressed as a recombinant protein in <i>E. coli BL21 (DE3)</i>, and its catalytic activity was assessed by SDS-PAGE and RP-HPLC analyses.</p><p><strong>Results: </strong>Production of a 100-kDa spPEP protein was confirmed by SDS-PAGE and western blot analysis. Also, we demonstrate that spPEP efficiently degrades gluten and α-gliadin (30-40 kDa) in vitro under conditions similar to the GI and is resistant to pepsin and trypsin.</p><p><strong>Conclusion: </strong>The gathered data demonstrated that spPEP might be a novel candidate for Oral Enzymatic Therapy (OET) in CD and other gluten-related disorders.</p>","PeriodicalId":14492,"journal":{"name":"Iranian Journal of Biotechnology","volume":"21 3","pages":"e3420"},"PeriodicalIF":1.5000,"publicationDate":"2023-07-01","publicationTypes":"Journal Article","fieldsOfStudy":null,"isOpenAccess":false,"openAccessPdf":"https://www.ncbi.nlm.nih.gov/pmc/articles/PMC10858359/pdf/","citationCount":"0","resultStr":"{\"title\":\"<i>In vitro</i> Gluten Degradation Using Recombinant Eurygaster Integriceps Prolyl Endoprotease: Implications for Celiac Disease.\",\"authors\":\"Effat Noori, Mojgan Bandehpour, Mohammad Reza Zali, Bahram Kazemi\",\"doi\":\"10.30498/ijb.2023.347693.3420\",\"DOIUrl\":null,\"url\":null,\"abstract\":\"<p><strong>Background: </strong>Celiac disease (CD) is a gluten-sensitive chronic autoimmune enteropathy. A strict life-long gluten-free diet is the only efficient and accepted treatment until now. However, maintaining a truly gluten-free status is both difficult and costly, often resulting in a social burden for the person. Moreover, 2 to 5 percent of patients fail to improve clinically and histologically upon elimination of dietary gluten. Therefore, novel therapeutic approaches, including gluten degrading enzymes, are an unmet need of celiac patients.</p><p><strong>Objectives: </strong>To evaluate the function of sunn pest prolyl endoprotease for gluten and gliadin hydrolysis in vitro.</p><p><strong>Materials and methods: </strong>The spPEP was expressed as a recombinant protein in <i>E. coli BL21 (DE3)</i>, and its catalytic activity was assessed by SDS-PAGE and RP-HPLC analyses.</p><p><strong>Results: </strong>Production of a 100-kDa spPEP protein was confirmed by SDS-PAGE and western blot analysis. Also, we demonstrate that spPEP efficiently degrades gluten and α-gliadin (30-40 kDa) in vitro under conditions similar to the GI and is resistant to pepsin and trypsin.</p><p><strong>Conclusion: </strong>The gathered data demonstrated that spPEP might be a novel candidate for Oral Enzymatic Therapy (OET) in CD and other gluten-related disorders.</p>\",\"PeriodicalId\":14492,\"journal\":{\"name\":\"Iranian Journal of Biotechnology\",\"volume\":\"21 3\",\"pages\":\"e3420\"},\"PeriodicalIF\":1.5000,\"publicationDate\":\"2023-07-01\",\"publicationTypes\":\"Journal Article\",\"fieldsOfStudy\":null,\"isOpenAccess\":false,\"openAccessPdf\":\"https://www.ncbi.nlm.nih.gov/pmc/articles/PMC10858359/pdf/\",\"citationCount\":\"0\",\"resultStr\":null,\"platform\":\"Semanticscholar\",\"paperid\":null,\"PeriodicalName\":\"Iranian Journal of Biotechnology\",\"FirstCategoryId\":\"5\",\"ListUrlMain\":\"https://doi.org/10.30498/ijb.2023.347693.3420\",\"RegionNum\":4,\"RegionCategory\":\"生物学\",\"ArticlePicture\":[],\"TitleCN\":null,\"AbstractTextCN\":null,\"PMCID\":null,\"EPubDate\":\"\",\"PubModel\":\"\",\"JCR\":\"Q4\",\"JCRName\":\"BIOTECHNOLOGY & APPLIED MICROBIOLOGY\",\"Score\":null,\"Total\":0}","platform":"Semanticscholar","paperid":null,"PeriodicalName":"Iranian Journal of Biotechnology","FirstCategoryId":"5","ListUrlMain":"https://doi.org/10.30498/ijb.2023.347693.3420","RegionNum":4,"RegionCategory":"生物学","ArticlePicture":[],"TitleCN":null,"AbstractTextCN":null,"PMCID":null,"EPubDate":"","PubModel":"","JCR":"Q4","JCRName":"BIOTECHNOLOGY & APPLIED MICROBIOLOGY","Score":null,"Total":0}
引用次数: 0

摘要

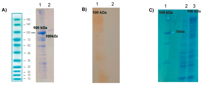
背景:乳糜泻(CD)是一种对麸质敏感的慢性自身免疫性肠病。严格的终身无麸质饮食是迄今为止唯一有效且被接受的治疗方法。然而,维持真正的无麸质饮食既困难又昂贵,往往给患者造成社会负担。此外,2% 到 5% 的患者在消除麸质饮食后,临床和组织学上的症状都没有得到改善。因此,包括麸质降解酶在内的新型治疗方法尚未满足乳糜泻患者的需求:评估苏云金杵臼脯氨酰内切蛋白酶在体外水解麸质和胶蛋白的功能:在大肠杆菌BL21(DE3)中表达重组蛋白spPEP,并通过SDS-PAGE和RP-HPLC分析评估其催化活性:结果:SDS-PAGE 和 Western 印迹分析证实了 100 kDa spPEP 蛋白的产生。此外,我们还证明了 spPEP 能在与消化道相似的体外条件下高效降解谷蛋白和 α-花生蛋白(30-40 kDa),并且对胃蛋白酶和胰蛋白酶有抗性:收集的数据表明,spPEP 可能是口服酶疗法(OET)治疗 CD 和其他麸质相关疾病的新型候选药物。
本文章由计算机程序翻译,如有差异,请以英文原文为准。

<i>In vitro</i> Gluten Degradation Using Recombinant Eurygaster Integriceps Prolyl Endoprotease: Implications for Celiac Disease.

<i>In vitro</i> Gluten Degradation Using Recombinant Eurygaster Integriceps Prolyl Endoprotease: Implications for Celiac Disease.

<i>In vitro</i> Gluten Degradation Using Recombinant Eurygaster Integriceps Prolyl Endoprotease: Implications for Celiac Disease.

In vitro Gluten Degradation Using Recombinant Eurygaster Integriceps Prolyl Endoprotease: Implications for Celiac Disease.

Background: Celiac disease (CD) is a gluten-sensitive chronic autoimmune enteropathy. A strict life-long gluten-free diet is the only efficient and accepted treatment until now. However, maintaining a truly gluten-free status is both difficult and costly, often resulting in a social burden for the person. Moreover, 2 to 5 percent of patients fail to improve clinically and histologically upon elimination of dietary gluten. Therefore, novel therapeutic approaches, including gluten degrading enzymes, are an unmet need of celiac patients.

Objectives: To evaluate the function of sunn pest prolyl endoprotease for gluten and gliadin hydrolysis in vitro.

Materials and methods: The spPEP was expressed as a recombinant protein in E. coli BL21 (DE3), and its catalytic activity was assessed by SDS-PAGE and RP-HPLC analyses.

Results: Production of a 100-kDa spPEP protein was confirmed by SDS-PAGE and western blot analysis. Also, we demonstrate that spPEP efficiently degrades gluten and α-gliadin (30-40 kDa) in vitro under conditions similar to the GI and is resistant to pepsin and trypsin.

Conclusion: The gathered data demonstrated that spPEP might be a novel candidate for Oral Enzymatic Therapy (OET) in CD and other gluten-related disorders.

求助全文
通过发布文献求助,成功后即可免费获取论文全文。 去求助
来源期刊
Iranian Journal of Biotechnology
Iranian Journal of Biotechnology BIOTECHNOLOGY & APPLIED MICROBIOLOGY-
CiteScore
2.60
自引率
7.70%
发文量
20
期刊介绍: Iranian Journal of Biotechnology (IJB) is published quarterly by the National Institute of Genetic Engineering and Biotechnology. IJB publishes original scientific research papers in the broad area of Biotechnology such as, Agriculture, Animal and Marine Sciences, Basic Sciences, Bioinformatics, Biosafety and Bioethics, Environment, Industry and Mining and Medical Sciences.
×
引用
GB/T 7714-2015
复制
MLA
复制
APA
复制
导出至
BibTeX EndNote RefMan NoteFirst NoteExpress
×
提示
您的信息不完整,为了账户安全,请先补充。
现在去补充
×
提示
您因"违规操作"
具体请查看互助需知
我知道了
×
提示
确定
请完成安全验证×
copy
已复制链接
快去分享给好友吧!
我知道了
右上角分享
点击右上角分享
0
联系我们:info@booksci.cn Book学术提供免费学术资源搜索服务,方便国内外学者检索中英文文献。致力于提供最便捷和优质的服务体验。 Copyright © 2023 布克学术 All rights reserved.
京ICP备2023020795号-1
ghs 京公网安备 11010802042870号
Book学术文献互助
Book学术文献互助群
群 号:604180095
Book学术官方微信