青少年囊性纤维化:反对指责肺结核的 "米兰达警告"--基于病例的最新学术研究。

IF 1.7 Q2 PEDIATRICS
Adolescent Health Medicine and Therapeutics Pub Date : 2024-02-02 eCollection Date: 2024-01-01 DOI:10.2147/AHMT.S451251
Amanuel Yegnanew Adela, Assefa Getachew Kebede, Daniel Zewdneh, Mahlet Kifle, Adriano Basso Dias
{"title":"青少年囊性纤维化:反对指责肺结核的 \"米兰达警告\"--基于病例的最新学术研究。","authors":"Amanuel Yegnanew Adela, Assefa Getachew Kebede, Daniel Zewdneh, Mahlet Kifle, Adriano Basso Dias","doi":"10.2147/AHMT.S451251","DOIUrl":null,"url":null,"abstract":"<p><p>Cystic fibrosis (CF) is a multisystem disorder that occurs as a result of autosomal recessive congenital transmission of CF transmembrane conductance regulator (CFTR) gene mutation on chromosome 7. Because it is considered a disease of the Caucasian pediatric population or due to lack of awareness, it is rarely considered in developing countries like ours. This case report presents the first case of cystic fibrosis ever reported in Ethiopia and possibly East Africa, that of a 17-year-old female diagnosed with the disease following a CT scan of her abdomen and chest. She was initially misdiagnosed and treated for tuberculosis (TB) as she was a chronic cougher. Perhaps due to epidemiological evidence, there is an obstinate tendency of blaming tuberculosis (TB) for almost every case of chronic cough with fibro-bronchiectatic lung parenchymal changes in Ethiopia. Once a diagnosis of TB is posted on such patients, their diagnosis remains in the circle of TB reinfection, relapse or resistance, followed by multiple phases of anti-mycobacterial drugs. This could lead to hazardous implications, including unnecessary prolonged anti-mycobacterial treatments, possibility of developing drug resistance, and mismanagement-related patient morbidity. This patient's chest and abdominal CT findings, including bronchiectasis, hepatic steatosis, pancreatic lipomatosis, micro-gallbladder and proximal colonic wall thickening, led to the diagnosis of CF. This article, presenting the first documented case of CF in the region, is meant to be a helpful reminder for clinicians and radiologists to also consider presumably \"rare\" illnesses like CF rather than blaming TB for every chronic cough and highlights the importance of abdominal CT features in the diagnosis of CF.</p>","PeriodicalId":46639,"journal":{"name":"Adolescent Health Medicine and Therapeutics","volume":"15 ","pages":"19-29"},"PeriodicalIF":1.7000,"publicationDate":"2024-02-02","publicationTypes":"Journal Article","fieldsOfStudy":null,"isOpenAccess":false,"openAccessPdf":"https://www.ncbi.nlm.nih.gov/pmc/articles/PMC10849877/pdf/","citationCount":"0","resultStr":"{\"title\":\"Cystic Fibrosis in an Adolescent: A \\\"Miranda Warning\\\" Against Blaming TB-A Case-Based Scholarly Update.\",\"authors\":\"Amanuel Yegnanew Adela, Assefa Getachew Kebede, Daniel Zewdneh, Mahlet Kifle, Adriano Basso Dias\",\"doi\":\"10.2147/AHMT.S451251\",\"DOIUrl\":null,\"url\":null,\"abstract\":\"<p><p>Cystic fibrosis (CF) is a multisystem disorder that occurs as a result of autosomal recessive congenital transmission of CF transmembrane conductance regulator (CFTR) gene mutation on chromosome 7. Because it is considered a disease of the Caucasian pediatric population or due to lack of awareness, it is rarely considered in developing countries like ours. This case report presents the first case of cystic fibrosis ever reported in Ethiopia and possibly East Africa, that of a 17-year-old female diagnosed with the disease following a CT scan of her abdomen and chest. She was initially misdiagnosed and treated for tuberculosis (TB) as she was a chronic cougher. Perhaps due to epidemiological evidence, there is an obstinate tendency of blaming tuberculosis (TB) for almost every case of chronic cough with fibro-bronchiectatic lung parenchymal changes in Ethiopia. Once a diagnosis of TB is posted on such patients, their diagnosis remains in the circle of TB reinfection, relapse or resistance, followed by multiple phases of anti-mycobacterial drugs. This could lead to hazardous implications, including unnecessary prolonged anti-mycobacterial treatments, possibility of developing drug resistance, and mismanagement-related patient morbidity. This patient's chest and abdominal CT findings, including bronchiectasis, hepatic steatosis, pancreatic lipomatosis, micro-gallbladder and proximal colonic wall thickening, led to the diagnosis of CF. This article, presenting the first documented case of CF in the region, is meant to be a helpful reminder for clinicians and radiologists to also consider presumably \\\"rare\\\" illnesses like CF rather than blaming TB for every chronic cough and highlights the importance of abdominal CT features in the diagnosis of CF.</p>\",\"PeriodicalId\":46639,\"journal\":{\"name\":\"Adolescent Health Medicine and Therapeutics\",\"volume\":\"15 \",\"pages\":\"19-29\"},\"PeriodicalIF\":1.7000,\"publicationDate\":\"2024-02-02\",\"publicationTypes\":\"Journal Article\",\"fieldsOfStudy\":null,\"isOpenAccess\":false,\"openAccessPdf\":\"https://www.ncbi.nlm.nih.gov/pmc/articles/PMC10849877/pdf/\",\"citationCount\":\"0\",\"resultStr\":null,\"platform\":\"Semanticscholar\",\"paperid\":null,\"PeriodicalName\":\"Adolescent Health Medicine and Therapeutics\",\"FirstCategoryId\":\"1085\",\"ListUrlMain\":\"https://doi.org/10.2147/AHMT.S451251\",\"RegionNum\":0,\"RegionCategory\":null,\"ArticlePicture\":[],\"TitleCN\":null,\"AbstractTextCN\":null,\"PMCID\":null,\"EPubDate\":\"2024/1/1 0:00:00\",\"PubModel\":\"eCollection\",\"JCR\":\"Q2\",\"JCRName\":\"PEDIATRICS\",\"Score\":null,\"Total\":0}","platform":"Semanticscholar","paperid":null,"PeriodicalName":"Adolescent Health Medicine and Therapeutics","FirstCategoryId":"1085","ListUrlMain":"https://doi.org/10.2147/AHMT.S451251","RegionNum":0,"RegionCategory":null,"ArticlePicture":[],"TitleCN":null,"AbstractTextCN":null,"PMCID":null,"EPubDate":"2024/1/1 0:00:00","PubModel":"eCollection","JCR":"Q2","JCRName":"PEDIATRICS","Score":null,"Total":0}
引用次数: 0

摘要

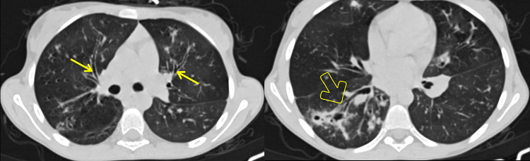
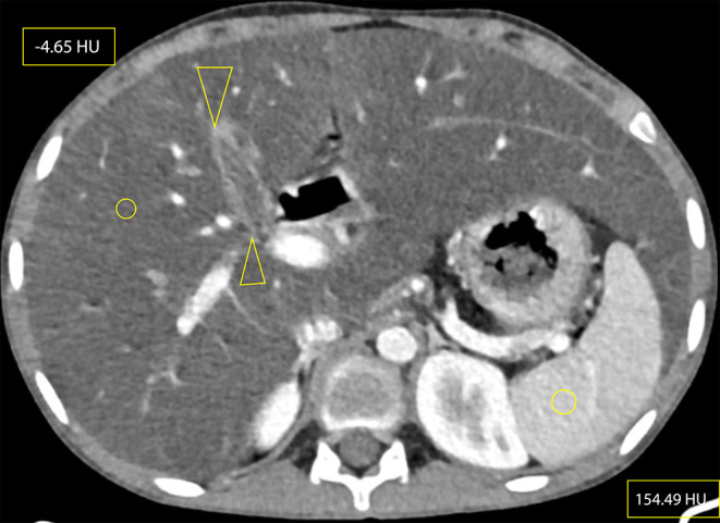
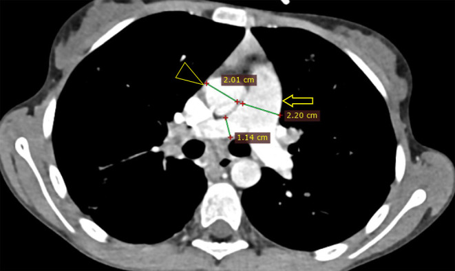
囊性纤维化(CF)是一种多系统疾病,是由于第 7 号染色体上的 CF 跨膜传导调节器(CFTR)基因突变导致的常染色体隐性先天性遗传。由于该病被认为是高加索儿科人群的疾病,或者由于缺乏认识,像我国这样的发展中国家很少考虑该病。本病例报告是埃塞俄比亚(也可能是东非)报告的首例囊性纤维化病例,患者是一名 17 岁女性,在对其腹部和胸部进行 CT 扫描后确诊患有该病。由于她长期咳嗽,最初被误诊为肺结核(TB)并接受治疗。也许是由于流行病学证据,在埃塞俄比亚,几乎所有慢性咳嗽伴有肺实质纤维支气管扩张病变的病例都被顽固地归咎于肺结核(TB)。一旦对这些病人做出结核病诊断,他们的诊断就会陷入结核病再感染、复发或耐药的怪圈,随后又要接受多个阶段的抗霉菌药物治疗。这可能会导致危险的影响,包括不必要的长期抗霉菌治疗、产生耐药性的可能性以及与管理不当有关的患者发病率。该患者的胸部和腹部 CT 结果,包括支气管扩张、肝脂肪变性、胰腺脂肪瘤、微小胆囊和近端结肠壁增厚,导致了 CF 的诊断。这篇文章介绍了该地区第一例有记录的 CF 病例,旨在提醒临床医生和放射科医生也要考虑像 CF 这样可能 "罕见 "的疾病,而不是把每一次慢性咳嗽都归咎于肺结核,并强调了腹部 CT 特征在 CF 诊断中的重要性。
本文章由计算机程序翻译,如有差异,请以英文原文为准。

Cystic Fibrosis in an Adolescent: A "Miranda Warning" Against Blaming TB-A Case-Based Scholarly Update.

Cystic Fibrosis in an Adolescent: A "Miranda Warning" Against Blaming TB-A Case-Based Scholarly Update.

Cystic Fibrosis in an Adolescent: A "Miranda Warning" Against Blaming TB-A Case-Based Scholarly Update.

Cystic Fibrosis in an Adolescent: A "Miranda Warning" Against Blaming TB-A Case-Based Scholarly Update.

Cystic fibrosis (CF) is a multisystem disorder that occurs as a result of autosomal recessive congenital transmission of CF transmembrane conductance regulator (CFTR) gene mutation on chromosome 7. Because it is considered a disease of the Caucasian pediatric population or due to lack of awareness, it is rarely considered in developing countries like ours. This case report presents the first case of cystic fibrosis ever reported in Ethiopia and possibly East Africa, that of a 17-year-old female diagnosed with the disease following a CT scan of her abdomen and chest. She was initially misdiagnosed and treated for tuberculosis (TB) as she was a chronic cougher. Perhaps due to epidemiological evidence, there is an obstinate tendency of blaming tuberculosis (TB) for almost every case of chronic cough with fibro-bronchiectatic lung parenchymal changes in Ethiopia. Once a diagnosis of TB is posted on such patients, their diagnosis remains in the circle of TB reinfection, relapse or resistance, followed by multiple phases of anti-mycobacterial drugs. This could lead to hazardous implications, including unnecessary prolonged anti-mycobacterial treatments, possibility of developing drug resistance, and mismanagement-related patient morbidity. This patient's chest and abdominal CT findings, including bronchiectasis, hepatic steatosis, pancreatic lipomatosis, micro-gallbladder and proximal colonic wall thickening, led to the diagnosis of CF. This article, presenting the first documented case of CF in the region, is meant to be a helpful reminder for clinicians and radiologists to also consider presumably "rare" illnesses like CF rather than blaming TB for every chronic cough and highlights the importance of abdominal CT features in the diagnosis of CF.

求助全文
通过发布文献求助,成功后即可免费获取论文全文。 去求助
来源期刊
自引率
0.00%
发文量
13
审稿时长
16 weeks
期刊介绍: Adolescent Health, Medicine and Therapeutics is an international, peer reviewed, open access journal focusing on health, pathology, and treatment issues specific to the adolescent age group, including health issues affecting young people with cancer. Original research, reports, editorials, reviews, commentaries and adolescent-focused clinical trial design are welcomed. All aspects of health maintenance, preventative measures, disease treatment interventions, studies investigating the poor outcomes for some treatments in this group of patients, and the challenges when transitioning from adolescent to adult care are addressed within the journal. Practitioners from all disciplines are invited to submit their work as well as health care researchers and patient support groups. Areas covered include: Physical and mental development in the adolescent period, Behavioral issues, Pathologies and treatment interventions specific to this age group, Prevalence and incidence studies, Diet and nutrition, Specific drug handling, efficacy, and safety issues, Drug development programs, Outcome studies, patient satisfaction, compliance, and adherence, Patient and health education programs and studies.
×
引用
GB/T 7714-2015
复制
MLA
复制
APA
复制
导出至
BibTeX EndNote RefMan NoteFirst NoteExpress
×
提示
您的信息不完整,为了账户安全,请先补充。
现在去补充
×
提示
您因"违规操作"
具体请查看互助需知
我知道了
×
提示
确定
请完成安全验证×
copy
已复制链接
快去分享给好友吧!
我知道了
右上角分享
点击右上角分享
0
联系我们:info@booksci.cn Book学术提供免费学术资源搜索服务,方便国内外学者检索中英文文献。致力于提供最便捷和优质的服务体验。 Copyright © 2023 布克学术 All rights reserved.
京ICP备2023020795号-1
ghs 京公网安备 11010802042870号
Book学术文献互助
Book学术文献互助群
群 号:604180095
Book学术官方微信