在高危肺栓塞患者中使用超声辅助导管引导溶栓疗法

IF 0.9 4区 医学
Karam P S Gill, Daniel P O'Brien, Jonathan E Soverow
{"title":"在高危肺栓塞患者中使用超声辅助导管引导溶栓疗法","authors":"Karam P S Gill, Daniel P O'Brien, Jonathan E Soverow","doi":"10.14503/THIJ-23-8235","DOIUrl":null,"url":null,"abstract":"<p><p>High-risk pulmonary embolism (PE) is a complex clinical entity associated with high mortality rates. Ultrasound-assisted, catheter-directed thrombolysis, typically used for intermediate-risk PE, may be a viable treatment approach for high-risk PE, particularly in patients at increased risk for major bleeding. This report describes a case in which ultrasound-assisted, catheter-directed thrombolysis was successfully used to treat high-risk PE in a female patient with extensive peritoneal metastases from gastric adenocarcinoma. Other examples from the literature, in which ultrasound-assisted, catheter-directed thrombolysis was used to treat high-risk PE, are also provided.</p>","PeriodicalId":48680,"journal":{"name":"Texas Heart Institute Journal","volume":"51 1","pages":""},"PeriodicalIF":0.9000,"publicationDate":"2024-02-06","publicationTypes":"Journal Article","fieldsOfStudy":null,"isOpenAccess":false,"openAccessPdf":"https://www.ncbi.nlm.nih.gov/pmc/articles/PMC11075505/pdf/","citationCount":"0","resultStr":"{\"title\":\"Use of Ultrasound-Assisted, Catheter-Directed Thrombolysis in a Patient With High-Risk Pulmonary Embolism.\",\"authors\":\"Karam P S Gill, Daniel P O'Brien, Jonathan E Soverow\",\"doi\":\"10.14503/THIJ-23-8235\",\"DOIUrl\":null,\"url\":null,\"abstract\":\"<p><p>High-risk pulmonary embolism (PE) is a complex clinical entity associated with high mortality rates. Ultrasound-assisted, catheter-directed thrombolysis, typically used for intermediate-risk PE, may be a viable treatment approach for high-risk PE, particularly in patients at increased risk for major bleeding. This report describes a case in which ultrasound-assisted, catheter-directed thrombolysis was successfully used to treat high-risk PE in a female patient with extensive peritoneal metastases from gastric adenocarcinoma. Other examples from the literature, in which ultrasound-assisted, catheter-directed thrombolysis was used to treat high-risk PE, are also provided.</p>\",\"PeriodicalId\":48680,\"journal\":{\"name\":\"Texas Heart Institute Journal\",\"volume\":\"51 1\",\"pages\":\"\"},\"PeriodicalIF\":0.9000,\"publicationDate\":\"2024-02-06\",\"publicationTypes\":\"Journal Article\",\"fieldsOfStudy\":null,\"isOpenAccess\":false,\"openAccessPdf\":\"https://www.ncbi.nlm.nih.gov/pmc/articles/PMC11075505/pdf/\",\"citationCount\":\"0\",\"resultStr\":null,\"platform\":\"Semanticscholar\",\"paperid\":null,\"PeriodicalName\":\"Texas Heart Institute Journal\",\"FirstCategoryId\":\"3\",\"ListUrlMain\":\"https://doi.org/10.14503/THIJ-23-8235\",\"RegionNum\":4,\"RegionCategory\":\"医学\",\"ArticlePicture\":[],\"TitleCN\":null,\"AbstractTextCN\":null,\"PMCID\":null,\"EPubDate\":\"\",\"PubModel\":\"\",\"JCR\":\"\",\"JCRName\":\"\",\"Score\":null,\"Total\":0}","platform":"Semanticscholar","paperid":null,"PeriodicalName":"Texas Heart Institute Journal","FirstCategoryId":"3","ListUrlMain":"https://doi.org/10.14503/THIJ-23-8235","RegionNum":4,"RegionCategory":"医学","ArticlePicture":[],"TitleCN":null,"AbstractTextCN":null,"PMCID":null,"EPubDate":"","PubModel":"","JCR":"","JCRName":"","Score":null,"Total":0}
引用次数: 0

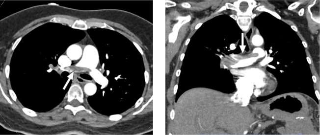
摘要

高危肺栓塞(PE)是一种与高死亡率相关的复杂临床实体。超声辅助导管引导溶栓通常用于中危肺栓塞,而对于高危肺栓塞,尤其是大出血风险较高的患者,超声辅助导管引导溶栓可能是一种可行的治疗方法。本报告描述了一例成功使用超声辅助导管引导溶栓治疗高危 PE 的病例,患者为女性,胃腺癌广泛腹膜转移。此外,还提供了文献中利用超声辅助导管引导溶栓治疗高危 PE 的其他实例。
本文章由计算机程序翻译,如有差异,请以英文原文为准。

Use of Ultrasound-Assisted, Catheter-Directed Thrombolysis in a Patient With High-Risk Pulmonary Embolism.

Use of Ultrasound-Assisted, Catheter-Directed Thrombolysis in a Patient With High-Risk Pulmonary Embolism.

Use of Ultrasound-Assisted, Catheter-Directed Thrombolysis in a Patient With High-Risk Pulmonary Embolism.

High-risk pulmonary embolism (PE) is a complex clinical entity associated with high mortality rates. Ultrasound-assisted, catheter-directed thrombolysis, typically used for intermediate-risk PE, may be a viable treatment approach for high-risk PE, particularly in patients at increased risk for major bleeding. This report describes a case in which ultrasound-assisted, catheter-directed thrombolysis was successfully used to treat high-risk PE in a female patient with extensive peritoneal metastases from gastric adenocarcinoma. Other examples from the literature, in which ultrasound-assisted, catheter-directed thrombolysis was used to treat high-risk PE, are also provided.

求助全文
通过发布文献求助,成功后即可免费获取论文全文。 去求助
来源期刊
Texas Heart Institute Journal
Texas Heart Institute Journal CARDIAC & CARDIOVASCULAR SYSTEMS-
自引率
11.10%
发文量
131
期刊介绍: For more than 45 years, the Texas Heart Institute Journal has been published by the Texas Heart Institute as part of its medical education program. Our bimonthly peer-reviewed journal enjoys a global audience of physicians, scientists, and healthcare professionals who are contributing to the prevention, diagnosis, and treatment of cardiovascular disease. The Journal was printed under the name of Cardiovascular Diseases from 1974 through 1981 (ISSN 0093-3546). The name was changed to Texas Heart Institute Journal in 1982 and was printed through 2013 (ISSN 0730-2347). In 2014, the Journal moved to online-only publication. It is indexed by Index Medicus/MEDLINE and by other indexing and abstracting services worldwide. Our full archive is available at PubMed Central. The Journal invites authors to submit these article types for review: -Clinical Investigations- Laboratory Investigations- Reviews- Techniques- Coronary Anomalies- History of Medicine- Case Reports/Case Series (Submission Fee: $70.00 USD)- Images in Cardiovascular Medicine (Submission Fee: $35.00 USD)- Guest Editorials- Peabody’s Corner- Letters to the Editor
×
引用
GB/T 7714-2015
复制
MLA
复制
APA
复制
导出至
BibTeX EndNote RefMan NoteFirst NoteExpress
×
提示
您的信息不完整,为了账户安全,请先补充。
现在去补充
×
提示
您因"违规操作"
具体请查看互助需知
我知道了
×
提示
确定
请完成安全验证×
copy
已复制链接
快去分享给好友吧!
我知道了
右上角分享
点击右上角分享
0
联系我们:info@booksci.cn Book学术提供免费学术资源搜索服务,方便国内外学者检索中英文文献。致力于提供最便捷和优质的服务体验。 Copyright © 2023 布克学术 All rights reserved.
京ICP备2023020795号-1
ghs 京公网安备 11010802042870号
Book学术文献互助
Book学术文献互助群
群 号:604180095
Book学术官方微信