紧急血管栓塞术治疗威尔姆斯肿瘤危及生命的出血。

Journal of cancer & allied specialties Pub Date : 2024-01-22 eCollection Date: 2024-01-01 DOI:10.37029/jcas.v10i1.603
Areej Salim, Sajid Ali, Muhammad Ali Sheikh, Tariq Latif, Islah Ud Din
{"title":"紧急血管栓塞术治疗威尔姆斯肿瘤危及生命的出血。","authors":"Areej Salim, Sajid Ali, Muhammad Ali Sheikh, Tariq Latif, Islah Ud Din","doi":"10.37029/jcas.v10i1.603","DOIUrl":null,"url":null,"abstract":"<p><strong>Introduction: </strong>Renal artery embolization has been used in a palliative fashion for symptomatic relief of hematuria or flank pain in unresectable renal cell carcinoma in adults. There is limited data on the use of embolization for actively bleeding and unresectable tumors in the oncological pediatric population.</p><p><strong>Case description: </strong>A previously healthy 5-year-old boy with no significant past medical or surgical history presented to the clinic with gradually worsening abdominal distension associated with occasional abdominal pain, gross hematuria, and lethargy for four months. Diagnostic investigations showed an 18-cm left-sided metastatic (pulmonary) renal tumor (Wilms), which was deemed unresectable on imaging. Treatment was planned according to the SIOP-RTSG protocol. However, he became hemodynamically and vitally unstable with acute, sudden distension of the abdomen on the left side after the first cycle of chemotherapy. Imaging showed active bleeding from an inferior branch of the left renal artery. Selective angioembolization was done, and chemotherapy was reinitiated with a patent left main renal artery. Following the fourth cycle of chemotherapy, he developed hemodynamic instability and abdominal pain; imaging revealed the resolution of pulmonary nodules and bleeding from the left renal artery (main); this was again embolized, and the patient was stabilized. The patient was operated on after optimization, and a complete resection of the mass was done with negative margins. On six months follow-up, he is well.</p><p><strong>Practical implications: </strong>To the best of our knowledge, this is the first case where angioembolization has been done in conjunction with neoadjuvant chemotherapy to downsize a Wilms tumor to achieve favorable outcomes. Continued research efforts are necessary to optimize strategies and improve the prognosis for pediatric patients, and this case is one of the prime examples.</p>","PeriodicalId":73631,"journal":{"name":"Journal of cancer & allied specialties","volume":"10 1","pages":"603"},"PeriodicalIF":0.0000,"publicationDate":"2024-01-22","publicationTypes":"Journal Article","fieldsOfStudy":null,"isOpenAccess":false,"openAccessPdf":"https://www.ncbi.nlm.nih.gov/pmc/articles/PMC10793714/pdf/","citationCount":"0","resultStr":"{\"title\":\"Emergency Angioembolization for Life-Threatening Hemorrhage in Wilms Tumor.\",\"authors\":\"Areej Salim, Sajid Ali, Muhammad Ali Sheikh, Tariq Latif, Islah Ud Din\",\"doi\":\"10.37029/jcas.v10i1.603\",\"DOIUrl\":null,\"url\":null,\"abstract\":\"<p><strong>Introduction: </strong>Renal artery embolization has been used in a palliative fashion for symptomatic relief of hematuria or flank pain in unresectable renal cell carcinoma in adults. There is limited data on the use of embolization for actively bleeding and unresectable tumors in the oncological pediatric population.</p><p><strong>Case description: </strong>A previously healthy 5-year-old boy with no significant past medical or surgical history presented to the clinic with gradually worsening abdominal distension associated with occasional abdominal pain, gross hematuria, and lethargy for four months. Diagnostic investigations showed an 18-cm left-sided metastatic (pulmonary) renal tumor (Wilms), which was deemed unresectable on imaging. Treatment was planned according to the SIOP-RTSG protocol. However, he became hemodynamically and vitally unstable with acute, sudden distension of the abdomen on the left side after the first cycle of chemotherapy. Imaging showed active bleeding from an inferior branch of the left renal artery. Selective angioembolization was done, and chemotherapy was reinitiated with a patent left main renal artery. Following the fourth cycle of chemotherapy, he developed hemodynamic instability and abdominal pain; imaging revealed the resolution of pulmonary nodules and bleeding from the left renal artery (main); this was again embolized, and the patient was stabilized. The patient was operated on after optimization, and a complete resection of the mass was done with negative margins. On six months follow-up, he is well.</p><p><strong>Practical implications: </strong>To the best of our knowledge, this is the first case where angioembolization has been done in conjunction with neoadjuvant chemotherapy to downsize a Wilms tumor to achieve favorable outcomes. Continued research efforts are necessary to optimize strategies and improve the prognosis for pediatric patients, and this case is one of the prime examples.</p>\",\"PeriodicalId\":73631,\"journal\":{\"name\":\"Journal of cancer & allied specialties\",\"volume\":\"10 1\",\"pages\":\"603\"},\"PeriodicalIF\":0.0000,\"publicationDate\":\"2024-01-22\",\"publicationTypes\":\"Journal Article\",\"fieldsOfStudy\":null,\"isOpenAccess\":false,\"openAccessPdf\":\"https://www.ncbi.nlm.nih.gov/pmc/articles/PMC10793714/pdf/\",\"citationCount\":\"0\",\"resultStr\":null,\"platform\":\"Semanticscholar\",\"paperid\":null,\"PeriodicalName\":\"Journal of cancer & allied specialties\",\"FirstCategoryId\":\"1085\",\"ListUrlMain\":\"https://doi.org/10.37029/jcas.v10i1.603\",\"RegionNum\":0,\"RegionCategory\":null,\"ArticlePicture\":[],\"TitleCN\":null,\"AbstractTextCN\":null,\"PMCID\":null,\"EPubDate\":\"2024/1/1 0:00:00\",\"PubModel\":\"eCollection\",\"JCR\":\"\",\"JCRName\":\"\",\"Score\":null,\"Total\":0}","platform":"Semanticscholar","paperid":null,"PeriodicalName":"Journal of cancer & allied specialties","FirstCategoryId":"1085","ListUrlMain":"https://doi.org/10.37029/jcas.v10i1.603","RegionNum":0,"RegionCategory":null,"ArticlePicture":[],"TitleCN":null,"AbstractTextCN":null,"PMCID":null,"EPubDate":"2024/1/1 0:00:00","PubModel":"eCollection","JCR":"","JCRName":"","Score":null,"Total":0}
引用次数: 0

摘要

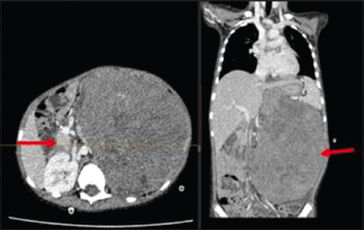
导言:肾动脉栓塞术已被用于缓解成人不可切除肾细胞癌患者的血尿或侧腹疼痛症状。在儿科肿瘤患者中,使用栓塞治疗活动性出血和不可切除肿瘤的数据有限:一名既往无明显内科或外科病史的 5 岁健康男孩因腹胀逐渐加重并伴有偶发性腹痛、毛细血尿和嗜睡 4 个月而就诊。诊断检查显示他患有 18 厘米的左侧转移性(肺)肾肿瘤(Wilms),影像学检查认为无法切除。根据 SIOP-RTSG 方案计划进行治疗。然而,第一个化疗周期结束后,他的左侧腹部突然出现急性腹胀,血流动力学和生命体征变得不稳定。影像学检查显示,左肾动脉下支有活动性出血。患者接受了选择性血管栓塞术,并在左肾主动脉通畅的情况下重新开始化疗。第四个化疗周期后,他出现了血流动力学不稳定和腹痛;造影显示肺结节消退,左肾动脉(主干)出血;再次进行了栓塞,患者病情稳定。经过优化后对患者进行了手术,在阴性边缘下完全切除了肿块。随访 6 个月后,患者情况良好:据我们所知,这是首例血管栓塞术与新辅助化疗相结合缩小 Wilms 肿瘤并取得良好疗效的病例。有必要继续开展研究工作,以优化策略并改善儿童患者的预后,本病例就是最好的例子之一。
本文章由计算机程序翻译,如有差异,请以英文原文为准。

Emergency Angioembolization for Life-Threatening Hemorrhage in Wilms Tumor.

Emergency Angioembolization for Life-Threatening Hemorrhage in Wilms Tumor.

Emergency Angioembolization for Life-Threatening Hemorrhage in Wilms Tumor.

Emergency Angioembolization for Life-Threatening Hemorrhage in Wilms Tumor.

Introduction: Renal artery embolization has been used in a palliative fashion for symptomatic relief of hematuria or flank pain in unresectable renal cell carcinoma in adults. There is limited data on the use of embolization for actively bleeding and unresectable tumors in the oncological pediatric population.

Case description: A previously healthy 5-year-old boy with no significant past medical or surgical history presented to the clinic with gradually worsening abdominal distension associated with occasional abdominal pain, gross hematuria, and lethargy for four months. Diagnostic investigations showed an 18-cm left-sided metastatic (pulmonary) renal tumor (Wilms), which was deemed unresectable on imaging. Treatment was planned according to the SIOP-RTSG protocol. However, he became hemodynamically and vitally unstable with acute, sudden distension of the abdomen on the left side after the first cycle of chemotherapy. Imaging showed active bleeding from an inferior branch of the left renal artery. Selective angioembolization was done, and chemotherapy was reinitiated with a patent left main renal artery. Following the fourth cycle of chemotherapy, he developed hemodynamic instability and abdominal pain; imaging revealed the resolution of pulmonary nodules and bleeding from the left renal artery (main); this was again embolized, and the patient was stabilized. The patient was operated on after optimization, and a complete resection of the mass was done with negative margins. On six months follow-up, he is well.

Practical implications: To the best of our knowledge, this is the first case where angioembolization has been done in conjunction with neoadjuvant chemotherapy to downsize a Wilms tumor to achieve favorable outcomes. Continued research efforts are necessary to optimize strategies and improve the prognosis for pediatric patients, and this case is one of the prime examples.

求助全文
通过发布文献求助,成功后即可免费获取论文全文。 去求助
来源期刊
自引率
0.00%
发文量
0
审稿时长
12 weeks
×
引用
GB/T 7714-2015
复制
MLA
复制
APA
复制
导出至
BibTeX EndNote RefMan NoteFirst NoteExpress
×
提示
您的信息不完整,为了账户安全,请先补充。
现在去补充
×
提示
您因"违规操作"
具体请查看互助需知
我知道了
×
提示
确定
请完成安全验证×
copy
已复制链接
快去分享给好友吧!
我知道了
右上角分享
点击右上角分享
0
联系我们:info@booksci.cn Book学术提供免费学术资源搜索服务,方便国内外学者检索中英文文献。致力于提供最便捷和优质的服务体验。 Copyright © 2023 布克学术 All rights reserved.
京ICP备2023020795号-1
ghs 京公网安备 11010802042870号
Book学术文献互助
Book学术文献互助群
群 号:604180095
Book学术官方微信