儿童 Wilms 肿瘤与交叉融合性肾外翻的关联:病例报告

Journal of cancer & allied specialties Pub Date : 2024-01-22 eCollection Date: 2024-01-01 DOI:10.37029/jcas.v10i1.601
Sajid Ali, Tariq Latif, Muhammad Ali Sheikh, Muhammad Bilal Shafiq
{"title":"儿童 Wilms 肿瘤与交叉融合性肾外翻的关联:病例报告","authors":"Sajid Ali, Tariq Latif, Muhammad Ali Sheikh, Muhammad Bilal Shafiq","doi":"10.37029/jcas.v10i1.601","DOIUrl":null,"url":null,"abstract":"<p><strong>Introduction: </strong>Wilms tumor is the most common renal malignancy in children. The occurrence of Wilms tumor with various congenital genitourinary anomalies has been reported, particularly in horseshoe kidneys, hypospadias, disorder of sexual development, and double collecting system. However, Wilms tumor with crossed renal ectopia is a rare finding.</p><p><strong>Case description: </strong>We are reporting a case report of Wilms tumor in a 3-year-old girl who presented with a huge left flank mass with cross-fused renal ectopia. After the initial workup and triphasic computed tomography scan of the chest, abdomen, and pelvis for confirmation of diagnosis and metastasis, the patient underwent image-guided tissue biopsy, followed by neoadjuvant chemotherapy, left radical nephrectomy with separation of fused right ectopic renal moiety, and adjuvant chemoradiation.</p><p><strong>Practical implication: </strong>This report shows an association of Wilms tumor with cross-fused renal ectopia, a rare combination. Unusual findings on imaging with unilateral flank mass should be considered as part of the differential diagnosis for this rare finding. Adjuvant chemotherapy and modern imaging helped delineate the anatomy and ease the surgery for safe resection, improving the overall outcome.</p>","PeriodicalId":73631,"journal":{"name":"Journal of cancer & allied specialties","volume":"10 1","pages":"601"},"PeriodicalIF":0.0000,"publicationDate":"2024-01-22","publicationTypes":"Journal Article","fieldsOfStudy":null,"isOpenAccess":false,"openAccessPdf":"https://www.ncbi.nlm.nih.gov/pmc/articles/PMC10793717/pdf/","citationCount":"0","resultStr":"{\"title\":\"Association of Wilms Tumor with Crossed Fused Renal Ectopia in Children: A Case Report.\",\"authors\":\"Sajid Ali, Tariq Latif, Muhammad Ali Sheikh, Muhammad Bilal Shafiq\",\"doi\":\"10.37029/jcas.v10i1.601\",\"DOIUrl\":null,\"url\":null,\"abstract\":\"<p><strong>Introduction: </strong>Wilms tumor is the most common renal malignancy in children. The occurrence of Wilms tumor with various congenital genitourinary anomalies has been reported, particularly in horseshoe kidneys, hypospadias, disorder of sexual development, and double collecting system. However, Wilms tumor with crossed renal ectopia is a rare finding.</p><p><strong>Case description: </strong>We are reporting a case report of Wilms tumor in a 3-year-old girl who presented with a huge left flank mass with cross-fused renal ectopia. After the initial workup and triphasic computed tomography scan of the chest, abdomen, and pelvis for confirmation of diagnosis and metastasis, the patient underwent image-guided tissue biopsy, followed by neoadjuvant chemotherapy, left radical nephrectomy with separation of fused right ectopic renal moiety, and adjuvant chemoradiation.</p><p><strong>Practical implication: </strong>This report shows an association of Wilms tumor with cross-fused renal ectopia, a rare combination. Unusual findings on imaging with unilateral flank mass should be considered as part of the differential diagnosis for this rare finding. Adjuvant chemotherapy and modern imaging helped delineate the anatomy and ease the surgery for safe resection, improving the overall outcome.</p>\",\"PeriodicalId\":73631,\"journal\":{\"name\":\"Journal of cancer & allied specialties\",\"volume\":\"10 1\",\"pages\":\"601\"},\"PeriodicalIF\":0.0000,\"publicationDate\":\"2024-01-22\",\"publicationTypes\":\"Journal Article\",\"fieldsOfStudy\":null,\"isOpenAccess\":false,\"openAccessPdf\":\"https://www.ncbi.nlm.nih.gov/pmc/articles/PMC10793717/pdf/\",\"citationCount\":\"0\",\"resultStr\":null,\"platform\":\"Semanticscholar\",\"paperid\":null,\"PeriodicalName\":\"Journal of cancer & allied specialties\",\"FirstCategoryId\":\"1085\",\"ListUrlMain\":\"https://doi.org/10.37029/jcas.v10i1.601\",\"RegionNum\":0,\"RegionCategory\":null,\"ArticlePicture\":[],\"TitleCN\":null,\"AbstractTextCN\":null,\"PMCID\":null,\"EPubDate\":\"2024/1/1 0:00:00\",\"PubModel\":\"eCollection\",\"JCR\":\"\",\"JCRName\":\"\",\"Score\":null,\"Total\":0}","platform":"Semanticscholar","paperid":null,"PeriodicalName":"Journal of cancer & allied specialties","FirstCategoryId":"1085","ListUrlMain":"https://doi.org/10.37029/jcas.v10i1.601","RegionNum":0,"RegionCategory":null,"ArticlePicture":[],"TitleCN":null,"AbstractTextCN":null,"PMCID":null,"EPubDate":"2024/1/1 0:00:00","PubModel":"eCollection","JCR":"","JCRName":"","Score":null,"Total":0}
引用次数: 0

摘要

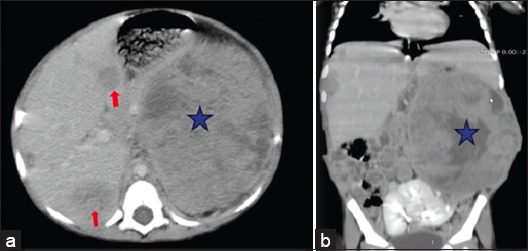
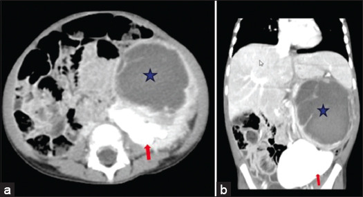
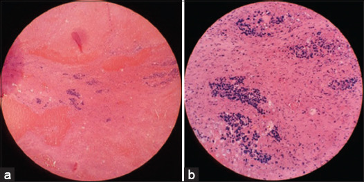
导言Wilms 肿瘤是儿童最常见的肾脏恶性肿瘤。Wilms瘤合并各种先天性泌尿生殖系统畸形的情况时有报道,尤其是马蹄肾、尿道下裂、性发育障碍和双集合系统。然而,Wilms瘤合并交叉性肾异位却是罕见病例:我们报告了一例 Wilms 肿瘤病例,患者是一名 3 岁女童,左侧腹部巨大肿块,伴有交叉融合的肾外翻。经过初步检查和胸部、腹部和盆腔三相计算机断层扫描确诊和转移后,患者接受了图像引导下的组织活检,随后接受了新辅助化疗、左侧根治性肾切除术(分离融合的右侧异位肾)和辅助化疗:本报告显示了 Wilms 肿瘤与交叉融合性肾异位的关联,这是一种罕见的合并症。对于这一罕见病例的鉴别诊断,应考虑单侧侧腹肿块的影像学异常发现。辅助化疗和现代影像学检查有助于确定解剖结构,为手术安全切除提供了便利,从而改善了总体预后。
本文章由计算机程序翻译,如有差异,请以英文原文为准。

Association of Wilms Tumor with Crossed Fused Renal Ectopia in Children: A Case Report.

Association of Wilms Tumor with Crossed Fused Renal Ectopia in Children: A Case Report.

Association of Wilms Tumor with Crossed Fused Renal Ectopia in Children: A Case Report.

Association of Wilms Tumor with Crossed Fused Renal Ectopia in Children: A Case Report.

Introduction: Wilms tumor is the most common renal malignancy in children. The occurrence of Wilms tumor with various congenital genitourinary anomalies has been reported, particularly in horseshoe kidneys, hypospadias, disorder of sexual development, and double collecting system. However, Wilms tumor with crossed renal ectopia is a rare finding.

Case description: We are reporting a case report of Wilms tumor in a 3-year-old girl who presented with a huge left flank mass with cross-fused renal ectopia. After the initial workup and triphasic computed tomography scan of the chest, abdomen, and pelvis for confirmation of diagnosis and metastasis, the patient underwent image-guided tissue biopsy, followed by neoadjuvant chemotherapy, left radical nephrectomy with separation of fused right ectopic renal moiety, and adjuvant chemoradiation.

Practical implication: This report shows an association of Wilms tumor with cross-fused renal ectopia, a rare combination. Unusual findings on imaging with unilateral flank mass should be considered as part of the differential diagnosis for this rare finding. Adjuvant chemotherapy and modern imaging helped delineate the anatomy and ease the surgery for safe resection, improving the overall outcome.

求助全文
通过发布文献求助,成功后即可免费获取论文全文。 去求助
来源期刊
自引率
0.00%
发文量
0
审稿时长
12 weeks
×
引用
GB/T 7714-2015
复制
MLA
复制
APA
复制
导出至
BibTeX EndNote RefMan NoteFirst NoteExpress
×
提示
您的信息不完整,为了账户安全,请先补充。
现在去补充
×
提示
您因"违规操作"
具体请查看互助需知
我知道了
×
提示
确定
请完成安全验证×
copy
已复制链接
快去分享给好友吧!
我知道了
右上角分享
点击右上角分享
0
联系我们:info@booksci.cn Book学术提供免费学术资源搜索服务,方便国内外学者检索中英文文献。致力于提供最便捷和优质的服务体验。 Copyright © 2023 布克学术 All rights reserved.
京ICP备2023020795号-1
ghs 京公网安备 11010802042870号
Book学术文献互助
Book学术文献互助群
群 号:604180095
Book学术官方微信