我们采用 De la Torre-Mondragon 技术手术治疗赫氏普隆氏病的经验:52 例病例报告

Mouafo Tambo Faustin Félicien, Gacelle Fossi Kamga, Eugénie Caroline Dikongue Dikongue, Florence Obono Ebo, Maurice Aurélien Sosso
{"title":"我们采用 De la Torre-Mondragon 技术手术治疗赫氏普隆氏病的经验:52 例病例报告","authors":"Mouafo Tambo Faustin Félicien, Gacelle Fossi Kamga, Eugénie Caroline Dikongue Dikongue, Florence Obono Ebo, Maurice Aurélien Sosso","doi":"10.4103/ajps.ajps_44_22","DOIUrl":null,"url":null,"abstract":"<p><strong>Background: </strong>The authors report their experience of the transanal endorectal pull through technique as described by De la Torre Mondragon in the treatment of Hirschsprung's disease (HD).</p><p><strong>Materials and methods: </strong>It was a retro prospective, observational and descriptive hospital based study involving all proven cases of HD managed within a time frame of 8 years.</p><p><strong>Results: </strong>Fifty two patients with a mean age of 18 months at the time of surgery. The male pre dominance was remarkable. The mean duration of the surgery was 2 h and a half hours. The surgical indication was based on the history, clinical findings and on the contrast enema (transition zone) with a 24 h film (prolonged contrast evacuation) and calculation of the rectosigmoid index (<1). With a mean follow up of 16 months, the morbidity was dominated by soiling, anastomotic strictures and enterocolitis. The mortality in one case was related to a post operative enterocolitis that was not amenable to resuscitation.</p><p><strong>Conclusion: </strong>Soiling, anastomotic strictures and enterocolitis are the main post operative complications of TEPT in the treatment of HD in our practice.</p>","PeriodicalId":72123,"journal":{"name":"African journal of paediatric surgery : AJPS","volume":"21 1","pages":"34-38"},"PeriodicalIF":0.0000,"publicationDate":"2024-01-01","publicationTypes":"Journal Article","fieldsOfStudy":null,"isOpenAccess":false,"openAccessPdf":"https://www.ncbi.nlm.nih.gov/pmc/articles/PMC10903730/pdf/","citationCount":"0","resultStr":"{\"title\":\"Our Experience of the De la Torre-Mondragon Technique in the Surgical Management of Hirschsprung's Disease: A Report on 52 Cases.\",\"authors\":\"Mouafo Tambo Faustin Félicien, Gacelle Fossi Kamga, Eugénie Caroline Dikongue Dikongue, Florence Obono Ebo, Maurice Aurélien Sosso\",\"doi\":\"10.4103/ajps.ajps_44_22\",\"DOIUrl\":null,\"url\":null,\"abstract\":\"<p><strong>Background: </strong>The authors report their experience of the transanal endorectal pull through technique as described by De la Torre Mondragon in the treatment of Hirschsprung's disease (HD).</p><p><strong>Materials and methods: </strong>It was a retro prospective, observational and descriptive hospital based study involving all proven cases of HD managed within a time frame of 8 years.</p><p><strong>Results: </strong>Fifty two patients with a mean age of 18 months at the time of surgery. The male pre dominance was remarkable. The mean duration of the surgery was 2 h and a half hours. The surgical indication was based on the history, clinical findings and on the contrast enema (transition zone) with a 24 h film (prolonged contrast evacuation) and calculation of the rectosigmoid index (<1). With a mean follow up of 16 months, the morbidity was dominated by soiling, anastomotic strictures and enterocolitis. The mortality in one case was related to a post operative enterocolitis that was not amenable to resuscitation.</p><p><strong>Conclusion: </strong>Soiling, anastomotic strictures and enterocolitis are the main post operative complications of TEPT in the treatment of HD in our practice.</p>\",\"PeriodicalId\":72123,\"journal\":{\"name\":\"African journal of paediatric surgery : AJPS\",\"volume\":\"21 1\",\"pages\":\"34-38\"},\"PeriodicalIF\":0.0000,\"publicationDate\":\"2024-01-01\",\"publicationTypes\":\"Journal Article\",\"fieldsOfStudy\":null,\"isOpenAccess\":false,\"openAccessPdf\":\"https://www.ncbi.nlm.nih.gov/pmc/articles/PMC10903730/pdf/\",\"citationCount\":\"0\",\"resultStr\":null,\"platform\":\"Semanticscholar\",\"paperid\":null,\"PeriodicalName\":\"African journal of paediatric surgery : AJPS\",\"FirstCategoryId\":\"1085\",\"ListUrlMain\":\"https://doi.org/10.4103/ajps.ajps_44_22\",\"RegionNum\":0,\"RegionCategory\":null,\"ArticlePicture\":[],\"TitleCN\":null,\"AbstractTextCN\":null,\"PMCID\":null,\"EPubDate\":\"2023/4/10 0:00:00\",\"PubModel\":\"Epub\",\"JCR\":\"\",\"JCRName\":\"\",\"Score\":null,\"Total\":0}","platform":"Semanticscholar","paperid":null,"PeriodicalName":"African journal of paediatric surgery : AJPS","FirstCategoryId":"1085","ListUrlMain":"https://doi.org/10.4103/ajps.ajps_44_22","RegionNum":0,"RegionCategory":null,"ArticlePicture":[],"TitleCN":null,"AbstractTextCN":null,"PMCID":null,"EPubDate":"2023/4/10 0:00:00","PubModel":"Epub","JCR":"","JCRName":"","Score":null,"Total":0}
引用次数: 0

摘要

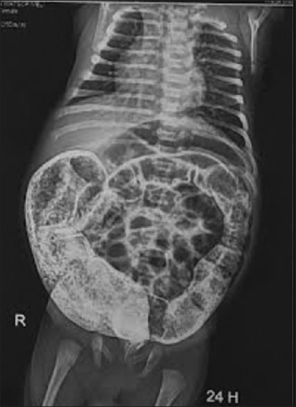
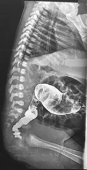
背景:作者报告了他们采用 De la Torre Mondragon 所描述的经肛门直肠内拉穿技术治疗赫氏病(HD)的经验:这是一项基于医院的前瞻性、观察性和描述性复古研究,涉及 8 年内所有经证实的 HD 病例:52例患者手术时平均年龄为18个月。男性患者占绝大多数。平均手术时间为 2 个半小时。手术指征是根据病史、临床表现、造影剂灌肠(过渡区)和 24 小时胶片(长时间造影剂排空)以及直肠乙状结肠指数计算得出的:在我们的实践中,污物、吻合口狭窄和肠结肠炎是 TEPT 治疗 HD 的主要术后并发症。
本文章由计算机程序翻译,如有差异,请以英文原文为准。

Our Experience of the De la Torre-Mondragon Technique in the Surgical Management of Hirschsprung's Disease: A Report on 52 Cases.

Our Experience of the De la Torre-Mondragon Technique in the Surgical Management of Hirschsprung's Disease: A Report on 52 Cases.

Our Experience of the De la Torre-Mondragon Technique in the Surgical Management of Hirschsprung's Disease: A Report on 52 Cases.

Our Experience of the De la Torre-Mondragon Technique in the Surgical Management of Hirschsprung's Disease: A Report on 52 Cases.

Background: The authors report their experience of the transanal endorectal pull through technique as described by De la Torre Mondragon in the treatment of Hirschsprung's disease (HD).

Materials and methods: It was a retro prospective, observational and descriptive hospital based study involving all proven cases of HD managed within a time frame of 8 years.

Results: Fifty two patients with a mean age of 18 months at the time of surgery. The male pre dominance was remarkable. The mean duration of the surgery was 2 h and a half hours. The surgical indication was based on the history, clinical findings and on the contrast enema (transition zone) with a 24 h film (prolonged contrast evacuation) and calculation of the rectosigmoid index (<1). With a mean follow up of 16 months, the morbidity was dominated by soiling, anastomotic strictures and enterocolitis. The mortality in one case was related to a post operative enterocolitis that was not amenable to resuscitation.

Conclusion: Soiling, anastomotic strictures and enterocolitis are the main post operative complications of TEPT in the treatment of HD in our practice.

求助全文
通过发布文献求助,成功后即可免费获取论文全文。 去求助
来源期刊
自引率
0.00%
发文量
0
×
引用
GB/T 7714-2015
复制
MLA
复制
APA
复制
导出至
BibTeX EndNote RefMan NoteFirst NoteExpress
×
提示
您的信息不完整,为了账户安全,请先补充。
现在去补充
×
提示
您因"违规操作"
具体请查看互助需知
我知道了
×
提示
确定
请完成安全验证×
copy
已复制链接
快去分享给好友吧!
我知道了
右上角分享
点击右上角分享
0
联系我们:info@booksci.cn Book学术提供免费学术资源搜索服务,方便国内外学者检索中英文文献。致力于提供最便捷和优质的服务体验。 Copyright © 2023 布克学术 All rights reserved.
京ICP备2023020795号-1
ghs 京公网安备 11010802042870号
Book学术文献互助
Book学术文献互助群
群 号:604180095
Book学术官方微信