一例非常罕见的产于卵巢和子宫的肉芽肿棘球蚴病。

IF 1.7 Q2 OBSTETRICS & GYNECOLOGY
Przeglad Menopauzalny Pub Date : 2023-12-01 Epub Date: 2023-12-15 DOI:10.5114/pm.2023.133791
Angel Yordanov, Rosen Boncev, Stoyan Kostov, Yavor Kornovski, Yonka Ivanova, Stanislav Slavchev, Venelina Todorova, Konstantina Karakadieva, Lazar Tranchev, Mariela Vasileva-Slaveva
{"title":"一例非常罕见的产于卵巢和子宫的肉芽肿棘球蚴病。","authors":"Angel Yordanov, Rosen Boncev, Stoyan Kostov, Yavor Kornovski, Yonka Ivanova, Stanislav Slavchev, Venelina Todorova, Konstantina Karakadieva, Lazar Tranchev, Mariela Vasileva-Slaveva","doi":"10.5114/pm.2023.133791","DOIUrl":null,"url":null,"abstract":"<p><p>Hydatidosis is a zoonosis caused by the larval form of a cestode of the species Echinococcus granulosus, the canine tapeworm. It can affect any organ of the human body except nails, hair, and cornea. It most often involves the liver, lungs, muscles, and bones. Involvement of organs in the small pelvis is extremely rare, mainly secondary to dissemination of hydatidosis from another organ, and the ovaries are most often involved, followed by the uterus. We present a 41-year-old Caucasian woman with complaints of mild pain, heaviness in the small pelvis, and a fibroid detected by ultrasound examination. She had reported for 2 previous operations for echinococcus cysts, and we found cystic formations in the liver and pelvis by computed tomography. It was decided that it is a recurrence of echinococcosis with a new cyst both in ovary and uterus. A hysterectomy with adnexectomy was performed, and one year later there is no evidence of recurrence of echinococcosis. In the presence of a formation in the small pelvis, one should always think about echinococcosis, especially if there is evidence of previous manifestations of the disease. Diagnosing this disease is extremely important for proper treatment. As rare as uterine involvement is, this possibility should not be overlooked.</p>","PeriodicalId":55643,"journal":{"name":"Przeglad Menopauzalny","volume":"22 4","pages":"236-239"},"PeriodicalIF":1.7000,"publicationDate":"2023-12-01","publicationTypes":"Journal Article","fieldsOfStudy":null,"isOpenAccess":false,"openAccessPdf":"https://www.ncbi.nlm.nih.gov/pmc/articles/PMC10793605/pdf/","citationCount":"0","resultStr":"{\"title\":\"A very rare case of echinococcus granulosus arising in the ovary and the uterus.\",\"authors\":\"Angel Yordanov, Rosen Boncev, Stoyan Kostov, Yavor Kornovski, Yonka Ivanova, Stanislav Slavchev, Venelina Todorova, Konstantina Karakadieva, Lazar Tranchev, Mariela Vasileva-Slaveva\",\"doi\":\"10.5114/pm.2023.133791\",\"DOIUrl\":null,\"url\":null,\"abstract\":\"<p><p>Hydatidosis is a zoonosis caused by the larval form of a cestode of the species Echinococcus granulosus, the canine tapeworm. It can affect any organ of the human body except nails, hair, and cornea. It most often involves the liver, lungs, muscles, and bones. Involvement of organs in the small pelvis is extremely rare, mainly secondary to dissemination of hydatidosis from another organ, and the ovaries are most often involved, followed by the uterus. We present a 41-year-old Caucasian woman with complaints of mild pain, heaviness in the small pelvis, and a fibroid detected by ultrasound examination. She had reported for 2 previous operations for echinococcus cysts, and we found cystic formations in the liver and pelvis by computed tomography. It was decided that it is a recurrence of echinococcosis with a new cyst both in ovary and uterus. A hysterectomy with adnexectomy was performed, and one year later there is no evidence of recurrence of echinococcosis. In the presence of a formation in the small pelvis, one should always think about echinococcosis, especially if there is evidence of previous manifestations of the disease. Diagnosing this disease is extremely important for proper treatment. As rare as uterine involvement is, this possibility should not be overlooked.</p>\",\"PeriodicalId\":55643,\"journal\":{\"name\":\"Przeglad Menopauzalny\",\"volume\":\"22 4\",\"pages\":\"236-239\"},\"PeriodicalIF\":1.7000,\"publicationDate\":\"2023-12-01\",\"publicationTypes\":\"Journal Article\",\"fieldsOfStudy\":null,\"isOpenAccess\":false,\"openAccessPdf\":\"https://www.ncbi.nlm.nih.gov/pmc/articles/PMC10793605/pdf/\",\"citationCount\":\"0\",\"resultStr\":null,\"platform\":\"Semanticscholar\",\"paperid\":null,\"PeriodicalName\":\"Przeglad Menopauzalny\",\"FirstCategoryId\":\"1085\",\"ListUrlMain\":\"https://doi.org/10.5114/pm.2023.133791\",\"RegionNum\":0,\"RegionCategory\":null,\"ArticlePicture\":[],\"TitleCN\":null,\"AbstractTextCN\":null,\"PMCID\":null,\"EPubDate\":\"2023/12/15 0:00:00\",\"PubModel\":\"Epub\",\"JCR\":\"Q2\",\"JCRName\":\"OBSTETRICS & GYNECOLOGY\",\"Score\":null,\"Total\":0}","platform":"Semanticscholar","paperid":null,"PeriodicalName":"Przeglad Menopauzalny","FirstCategoryId":"1085","ListUrlMain":"https://doi.org/10.5114/pm.2023.133791","RegionNum":0,"RegionCategory":null,"ArticlePicture":[],"TitleCN":null,"AbstractTextCN":null,"PMCID":null,"EPubDate":"2023/12/15 0:00:00","PubModel":"Epub","JCR":"Q2","JCRName":"OBSTETRICS & GYNECOLOGY","Score":null,"Total":0}
引用次数: 0

摘要

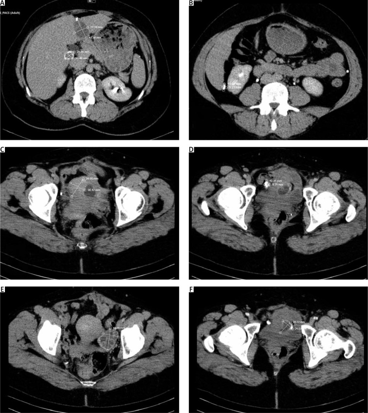
包虫病是由犬带绦虫棘球蚴的幼虫引起的人畜共患疾病。除指甲、毛发和角膜外,它可影响人体的任何器官。它最常累及肝脏、肺、肌肉和骨骼。小盆腔器官受累极为罕见,主要是继发于其他器官的包虫病扩散,卵巢最常受累,其次是子宫。我们接诊了一名 41 岁的白种女性,主诉小盆腔轻微疼痛、沉重,超声检查发现子宫肌瘤。她曾因棘球蚴囊肿接受过两次手术,我们通过计算机断层扫描发现她的肝脏和骨盆中有囊肿形成。我们判定她是棘球蚴病复发,卵巢和子宫都有新的囊肿。于是进行了子宫和附件切除术,一年后没有发现棘球蚴病复发的迹象。如果小盆腔内有包虫形成,就应该想到是棘球蚴病,尤其是如果有证据表明以前曾有过这种疾病的表现。诊断这种疾病对于正确治疗极为重要。子宫受累虽然罕见,但这种可能性不容忽视。
本文章由计算机程序翻译,如有差异,请以英文原文为准。

A very rare case of echinococcus granulosus arising in the ovary and the uterus.

A very rare case of echinococcus granulosus arising in the ovary and the uterus.

A very rare case of echinococcus granulosus arising in the ovary and the uterus.

A very rare case of echinococcus granulosus arising in the ovary and the uterus.

Hydatidosis is a zoonosis caused by the larval form of a cestode of the species Echinococcus granulosus, the canine tapeworm. It can affect any organ of the human body except nails, hair, and cornea. It most often involves the liver, lungs, muscles, and bones. Involvement of organs in the small pelvis is extremely rare, mainly secondary to dissemination of hydatidosis from another organ, and the ovaries are most often involved, followed by the uterus. We present a 41-year-old Caucasian woman with complaints of mild pain, heaviness in the small pelvis, and a fibroid detected by ultrasound examination. She had reported for 2 previous operations for echinococcus cysts, and we found cystic formations in the liver and pelvis by computed tomography. It was decided that it is a recurrence of echinococcosis with a new cyst both in ovary and uterus. A hysterectomy with adnexectomy was performed, and one year later there is no evidence of recurrence of echinococcosis. In the presence of a formation in the small pelvis, one should always think about echinococcosis, especially if there is evidence of previous manifestations of the disease. Diagnosing this disease is extremely important for proper treatment. As rare as uterine involvement is, this possibility should not be overlooked.

求助全文
通过发布文献求助,成功后即可免费获取论文全文。 去求助
来源期刊
Przeglad Menopauzalny
Przeglad Menopauzalny OBSTETRICS & GYNECOLOGY-
CiteScore
3.40
自引率
11.10%
发文量
32
审稿时长
6-12 weeks
期刊介绍: Menopausal Review is a scientific bimonthly aimed at gynecologists and endocrinologists.
×
引用
GB/T 7714-2015
复制
MLA
复制
APA
复制
导出至
BibTeX EndNote RefMan NoteFirst NoteExpress
×
提示
您的信息不完整,为了账户安全,请先补充。
现在去补充
×
提示
您因"违规操作"
具体请查看互助需知
我知道了
×
提示
确定
请完成安全验证×
copy
已复制链接
快去分享给好友吧!
我知道了
右上角分享
点击右上角分享
0
联系我们:info@booksci.cn Book学术提供免费学术资源搜索服务,方便国内外学者检索中英文文献。致力于提供最便捷和优质的服务体验。 Copyright © 2023 布克学术 All rights reserved.
京ICP备2023020795号-1
ghs 京公网安备 11010802042870号
Book学术文献互助
Book学术文献互助群
群 号:604180095
Book学术官方微信