与禽分枝杆菌相关的非典型抗肾小球基底膜肾炎病例报告。

Clinical nephrology. Case studies Pub Date : 2024-01-12 eCollection Date: 2024-01-01 DOI:10.5414/CNCS111254
Julie Bech Jensen, Eva Gravesen, Sidse Graff Jensen, Iain Bressendorff
{"title":"与禽分枝杆菌相关的非典型抗肾小球基底膜肾炎病例报告。","authors":"Julie Bech Jensen, Eva Gravesen, Sidse Graff Jensen, Iain Bressendorff","doi":"10.5414/CNCS111254","DOIUrl":null,"url":null,"abstract":"<p><p>We present the case of a woman with atypical anti-glomerular basement membrane (anti-GBM) nephritis associated with concurrent pulmonary infection with <i>Mycobacterium avium</i>. A kidney biopsy showed crescentic glomerulonephritis with 50% active crescents and linear IgG staining, but no circulating anti-GBM antibodies were detected, and the patient did not have pulmonary hemorrhage. Despite treatment with a triple-regimen of antibiotics, corticosteroids, and plasmapheresis, the patient did not regain kidney function. One year later she is on maintenance dialysis and has still not cleared the infection with <i>M. avium</i>.</p>","PeriodicalId":510898,"journal":{"name":"Clinical nephrology. Case studies","volume":"12 ","pages":"12-16"},"PeriodicalIF":0.0000,"publicationDate":"2024-01-12","publicationTypes":"Journal Article","fieldsOfStudy":null,"isOpenAccess":false,"openAccessPdf":"https://www.ncbi.nlm.nih.gov/pmc/articles/PMC10795487/pdf/","citationCount":"0","resultStr":"{\"title\":\"A case report of atypical anti-glomerular basement membrane nephritis associated with Mycobacterium Avium.\",\"authors\":\"Julie Bech Jensen, Eva Gravesen, Sidse Graff Jensen, Iain Bressendorff\",\"doi\":\"10.5414/CNCS111254\",\"DOIUrl\":null,\"url\":null,\"abstract\":\"<p><p>We present the case of a woman with atypical anti-glomerular basement membrane (anti-GBM) nephritis associated with concurrent pulmonary infection with <i>Mycobacterium avium</i>. A kidney biopsy showed crescentic glomerulonephritis with 50% active crescents and linear IgG staining, but no circulating anti-GBM antibodies were detected, and the patient did not have pulmonary hemorrhage. Despite treatment with a triple-regimen of antibiotics, corticosteroids, and plasmapheresis, the patient did not regain kidney function. One year later she is on maintenance dialysis and has still not cleared the infection with <i>M. avium</i>.</p>\",\"PeriodicalId\":510898,\"journal\":{\"name\":\"Clinical nephrology. Case studies\",\"volume\":\"12 \",\"pages\":\"12-16\"},\"PeriodicalIF\":0.0000,\"publicationDate\":\"2024-01-12\",\"publicationTypes\":\"Journal Article\",\"fieldsOfStudy\":null,\"isOpenAccess\":false,\"openAccessPdf\":\"https://www.ncbi.nlm.nih.gov/pmc/articles/PMC10795487/pdf/\",\"citationCount\":\"0\",\"resultStr\":null,\"platform\":\"Semanticscholar\",\"paperid\":null,\"PeriodicalName\":\"Clinical nephrology. Case studies\",\"FirstCategoryId\":\"1085\",\"ListUrlMain\":\"https://doi.org/10.5414/CNCS111254\",\"RegionNum\":0,\"RegionCategory\":null,\"ArticlePicture\":[],\"TitleCN\":null,\"AbstractTextCN\":null,\"PMCID\":null,\"EPubDate\":\"2024/1/1 0:00:00\",\"PubModel\":\"eCollection\",\"JCR\":\"\",\"JCRName\":\"\",\"Score\":null,\"Total\":0}","platform":"Semanticscholar","paperid":null,"PeriodicalName":"Clinical nephrology. Case studies","FirstCategoryId":"1085","ListUrlMain":"https://doi.org/10.5414/CNCS111254","RegionNum":0,"RegionCategory":null,"ArticlePicture":[],"TitleCN":null,"AbstractTextCN":null,"PMCID":null,"EPubDate":"2024/1/1 0:00:00","PubModel":"eCollection","JCR":"","JCRName":"","Score":null,"Total":0}
引用次数: 0

摘要

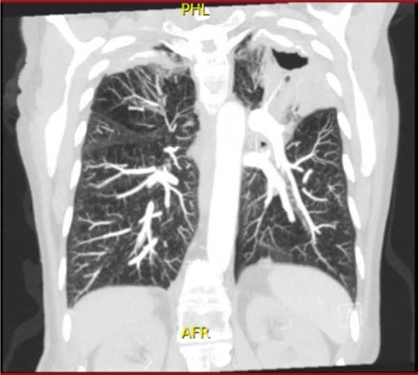
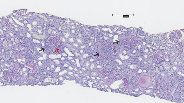
我们报告了一例女性非典型抗肾小球基底膜(anti-GBM)肾炎患者的病例,她同时患有肺分枝杆菌感染。肾活检显示新月体肾小球肾炎伴有50%的活动性新月体和线性IgG染色,但未检测到循环中的抗GBM抗体,患者也没有肺出血。尽管患者接受了抗生素、皮质类固醇激素和血浆置换术三联疗法治疗,但肾功能仍未恢复。一年后,她仍在进行维持性透析,但仍未摆脱阿维菌感染。
本文章由计算机程序翻译,如有差异,请以英文原文为准。

A case report of atypical anti-glomerular basement membrane nephritis associated with Mycobacterium Avium.

A case report of atypical anti-glomerular basement membrane nephritis associated with Mycobacterium Avium.

A case report of atypical anti-glomerular basement membrane nephritis associated with Mycobacterium Avium.

A case report of atypical anti-glomerular basement membrane nephritis associated with Mycobacterium Avium.

We present the case of a woman with atypical anti-glomerular basement membrane (anti-GBM) nephritis associated with concurrent pulmonary infection with Mycobacterium avium. A kidney biopsy showed crescentic glomerulonephritis with 50% active crescents and linear IgG staining, but no circulating anti-GBM antibodies were detected, and the patient did not have pulmonary hemorrhage. Despite treatment with a triple-regimen of antibiotics, corticosteroids, and plasmapheresis, the patient did not regain kidney function. One year later she is on maintenance dialysis and has still not cleared the infection with M. avium.

求助全文
通过发布文献求助,成功后即可免费获取论文全文。 去求助
来源期刊
自引率
0.00%
发文量
0
×
引用
GB/T 7714-2015
复制
MLA
复制
APA
复制
导出至
BibTeX EndNote RefMan NoteFirst NoteExpress
×
提示
您的信息不完整,为了账户安全,请先补充。
现在去补充
×
提示
您因"违规操作"
具体请查看互助需知
我知道了
×
提示
确定
请完成安全验证×
copy
已复制链接
快去分享给好友吧!
我知道了
右上角分享
点击右上角分享
0
联系我们:info@booksci.cn Book学术提供免费学术资源搜索服务,方便国内外学者检索中英文文献。致力于提供最便捷和优质的服务体验。 Copyright © 2023 布克学术 All rights reserved.
京ICP备2023020795号-1
ghs 京公网安备 11010802042870号
Book学术文献互助
Book学术文献互助群
群 号:604180095
Book学术官方微信