严重呼吸衰竭和右心衰竭患者的经皮 OxyRVAD:病例报告

IF 1 Q4 Medicine
Journal of Chest Surgery Pub Date : 2024-05-05 Epub Date: 2024-01-16 DOI:10.5090/jcs.23.132
Ga Young Yoo, June Lee, Seok Beom Hong, Do Yeon Kim
{"title":"严重呼吸衰竭和右心衰竭患者的经皮 OxyRVAD:病例报告","authors":"Ga Young Yoo, June Lee, Seok Beom Hong, Do Yeon Kim","doi":"10.5090/jcs.23.132","DOIUrl":null,"url":null,"abstract":"<p><p>Venovenous extracorporeal membrane oxygenation (VV ECMO) is often used in cases of severe respiratory failure, especially in patients considered for lung transplantation. However, because many lung diseases can ultimately result in right heart failure, the treatment of secondary right heart failure can present a challenge when the patient is already under VV ECMO support. In such cases, an oxygenated-right ventricular assist device (OxyRVAD) can be used. OxyRVAD is designed to maintain anterograde blood flow and prevent right ventricular distension. Moreover, the pulmonary arterial cannula can be inserted percutaneously. We report a case in which percutaneous OxyRVAD was successfully implemented to manage right heart failure in a patient with respiratory failure who was on VV ECMO.</p>","PeriodicalId":34499,"journal":{"name":"Journal of Chest Surgery","volume":" ","pages":"319-322"},"PeriodicalIF":1.0000,"publicationDate":"2024-05-05","publicationTypes":"Journal Article","fieldsOfStudy":null,"isOpenAccess":false,"openAccessPdf":"https://www.ncbi.nlm.nih.gov/pmc/articles/PMC11089057/pdf/","citationCount":"0","resultStr":"{\"title\":\"Percutaneous OxyRVAD in a Patient with Severe Respiratory Failure and Right Heart Failure: A Case Report.\",\"authors\":\"Ga Young Yoo, June Lee, Seok Beom Hong, Do Yeon Kim\",\"doi\":\"10.5090/jcs.23.132\",\"DOIUrl\":null,\"url\":null,\"abstract\":\"<p><p>Venovenous extracorporeal membrane oxygenation (VV ECMO) is often used in cases of severe respiratory failure, especially in patients considered for lung transplantation. However, because many lung diseases can ultimately result in right heart failure, the treatment of secondary right heart failure can present a challenge when the patient is already under VV ECMO support. In such cases, an oxygenated-right ventricular assist device (OxyRVAD) can be used. OxyRVAD is designed to maintain anterograde blood flow and prevent right ventricular distension. Moreover, the pulmonary arterial cannula can be inserted percutaneously. We report a case in which percutaneous OxyRVAD was successfully implemented to manage right heart failure in a patient with respiratory failure who was on VV ECMO.</p>\",\"PeriodicalId\":34499,\"journal\":{\"name\":\"Journal of Chest Surgery\",\"volume\":\" \",\"pages\":\"319-322\"},\"PeriodicalIF\":1.0000,\"publicationDate\":\"2024-05-05\",\"publicationTypes\":\"Journal Article\",\"fieldsOfStudy\":null,\"isOpenAccess\":false,\"openAccessPdf\":\"https://www.ncbi.nlm.nih.gov/pmc/articles/PMC11089057/pdf/\",\"citationCount\":\"0\",\"resultStr\":null,\"platform\":\"Semanticscholar\",\"paperid\":null,\"PeriodicalName\":\"Journal of Chest Surgery\",\"FirstCategoryId\":\"1085\",\"ListUrlMain\":\"https://doi.org/10.5090/jcs.23.132\",\"RegionNum\":0,\"RegionCategory\":null,\"ArticlePicture\":[],\"TitleCN\":null,\"AbstractTextCN\":null,\"PMCID\":null,\"EPubDate\":\"2024/1/16 0:00:00\",\"PubModel\":\"Epub\",\"JCR\":\"Q4\",\"JCRName\":\"Medicine\",\"Score\":null,\"Total\":0}","platform":"Semanticscholar","paperid":null,"PeriodicalName":"Journal of Chest Surgery","FirstCategoryId":"1085","ListUrlMain":"https://doi.org/10.5090/jcs.23.132","RegionNum":0,"RegionCategory":null,"ArticlePicture":[],"TitleCN":null,"AbstractTextCN":null,"PMCID":null,"EPubDate":"2024/1/16 0:00:00","PubModel":"Epub","JCR":"Q4","JCRName":"Medicine","Score":null,"Total":0}
引用次数: 0

摘要

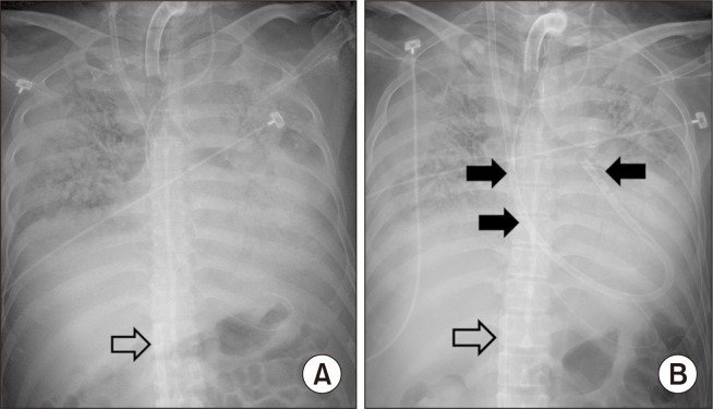
静脉体外膜氧合(VV ECMO)常用于严重呼吸衰竭的病例,尤其是考虑进行肺移植的患者。然而,由于许多肺部疾病最终会导致右心衰竭,当患者已经接受静脉体外膜肺氧合(VV ECMO)支持时,继发性右心衰竭的治疗可能会面临挑战。在这种情况下,可以使用氧合右心室辅助装置(OxyRVAD)。OxyRVAD 的设计旨在维持前向血流,防止右心室扩张。此外,肺动脉插管可经皮插入。我们报告了一例经皮 OxyRVAD 成功用于治疗呼吸衰竭患者右心衰竭的病例,患者当时正在接受 VV ECMO。
本文章由计算机程序翻译,如有差异,请以英文原文为准。

Percutaneous OxyRVAD in a Patient with Severe Respiratory Failure and Right Heart Failure: A Case Report.

Percutaneous OxyRVAD in a Patient with Severe Respiratory Failure and Right Heart Failure: A Case Report.

Percutaneous OxyRVAD in a Patient with Severe Respiratory Failure and Right Heart Failure: A Case Report.

Percutaneous OxyRVAD in a Patient with Severe Respiratory Failure and Right Heart Failure: A Case Report.

Venovenous extracorporeal membrane oxygenation (VV ECMO) is often used in cases of severe respiratory failure, especially in patients considered for lung transplantation. However, because many lung diseases can ultimately result in right heart failure, the treatment of secondary right heart failure can present a challenge when the patient is already under VV ECMO support. In such cases, an oxygenated-right ventricular assist device (OxyRVAD) can be used. OxyRVAD is designed to maintain anterograde blood flow and prevent right ventricular distension. Moreover, the pulmonary arterial cannula can be inserted percutaneously. We report a case in which percutaneous OxyRVAD was successfully implemented to manage right heart failure in a patient with respiratory failure who was on VV ECMO.

求助全文
通过发布文献求助,成功后即可免费获取论文全文。 去求助
来源期刊
Journal of Chest Surgery
Journal of Chest Surgery Medicine-Surgery
CiteScore
0.80
自引率
0.00%
发文量
76
审稿时长
7 weeks
×
引用
GB/T 7714-2015
复制
MLA
复制
APA
复制
导出至
BibTeX EndNote RefMan NoteFirst NoteExpress
×
提示
您的信息不完整,为了账户安全,请先补充。
现在去补充
×
提示
您因"违规操作"
具体请查看互助需知
我知道了
×
提示
确定
请完成安全验证×
copy
已复制链接
快去分享给好友吧!
我知道了
右上角分享
点击右上角分享
0
联系我们:info@booksci.cn Book学术提供免费学术资源搜索服务,方便国内外学者检索中英文文献。致力于提供最便捷和优质的服务体验。 Copyright © 2023 布克学术 All rights reserved.
京ICP备2023020795号-1
ghs 京公网安备 11010802042870号
Book学术文献互助
Book学术文献互助群
群 号:604180095
Book学术官方微信