空肠肠套叠:罕见病例报告研究。

Mohd Fazl Ul Haq, Bilal Ahmad Wagay, Ajaz Ahmad Malik, Munir Ahmad Wani, Gowhar Aziz Bhat
{"title":"空肠肠套叠:罕见病例报告研究。","authors":"Mohd Fazl Ul Haq, Bilal Ahmad Wagay, Ajaz Ahmad Malik, Munir Ahmad Wani, Gowhar Aziz Bhat","doi":"10.5005/jp-journals-10018-1415","DOIUrl":null,"url":null,"abstract":"<p><p>Jejunogastric intussusception (JGI) is a rare, potentially fatal complication of gastrojejunostomy following any gastric resection or gastric bypass surgery. Very less no of cases have been reported to date in the literature, with a very low incidence of <0.1%. Early recognition of JGI followed by prompt intervention is necessary to avoid any serious complications of gut gangrene or even possible death. It carries a mortality rate of approx. 10% of patients subjected to early intervention within 24 hours as compared to 50% in cases where surgery was delayed for more than 48 hours. The usual presenting complaints include a triad of palpable epigastric mass, hematemesis, and epigastric pain with only 50% of patients having this classical presentation. We here, report a middle-aged male with JGI which was diagnosed and managed at our center with emergency surgical intervention.</p><p><strong>How to cite this article: </strong>Haq MFU, Wagay BA, Malik AA, <i>et al</i>. Jejunogastric Intussusception: A Rare Case Report Study. Euroasian J Hepato-Gastroenterol 2023;13(2):163-165.</p>","PeriodicalId":516317,"journal":{"name":"Euroasian journal of hepato-gastroenterology","volume":"13 2","pages":"163-165"},"PeriodicalIF":0.0000,"publicationDate":"2023-07-01","publicationTypes":"Journal Article","fieldsOfStudy":null,"isOpenAccess":false,"openAccessPdf":"https://www.ncbi.nlm.nih.gov/pmc/articles/PMC10785139/pdf/","citationCount":"0","resultStr":"{\"title\":\"Jejunogastric Intussusception: A Rare Case Report Study.\",\"authors\":\"Mohd Fazl Ul Haq, Bilal Ahmad Wagay, Ajaz Ahmad Malik, Munir Ahmad Wani, Gowhar Aziz Bhat\",\"doi\":\"10.5005/jp-journals-10018-1415\",\"DOIUrl\":null,\"url\":null,\"abstract\":\"<p><p>Jejunogastric intussusception (JGI) is a rare, potentially fatal complication of gastrojejunostomy following any gastric resection or gastric bypass surgery. Very less no of cases have been reported to date in the literature, with a very low incidence of <0.1%. Early recognition of JGI followed by prompt intervention is necessary to avoid any serious complications of gut gangrene or even possible death. It carries a mortality rate of approx. 10% of patients subjected to early intervention within 24 hours as compared to 50% in cases where surgery was delayed for more than 48 hours. The usual presenting complaints include a triad of palpable epigastric mass, hematemesis, and epigastric pain with only 50% of patients having this classical presentation. We here, report a middle-aged male with JGI which was diagnosed and managed at our center with emergency surgical intervention.</p><p><strong>How to cite this article: </strong>Haq MFU, Wagay BA, Malik AA, <i>et al</i>. Jejunogastric Intussusception: A Rare Case Report Study. Euroasian J Hepato-Gastroenterol 2023;13(2):163-165.</p>\",\"PeriodicalId\":516317,\"journal\":{\"name\":\"Euroasian journal of hepato-gastroenterology\",\"volume\":\"13 2\",\"pages\":\"163-165\"},\"PeriodicalIF\":0.0000,\"publicationDate\":\"2023-07-01\",\"publicationTypes\":\"Journal Article\",\"fieldsOfStudy\":null,\"isOpenAccess\":false,\"openAccessPdf\":\"https://www.ncbi.nlm.nih.gov/pmc/articles/PMC10785139/pdf/\",\"citationCount\":\"0\",\"resultStr\":null,\"platform\":\"Semanticscholar\",\"paperid\":null,\"PeriodicalName\":\"Euroasian journal of hepato-gastroenterology\",\"FirstCategoryId\":\"1085\",\"ListUrlMain\":\"https://doi.org/10.5005/jp-journals-10018-1415\",\"RegionNum\":0,\"RegionCategory\":null,\"ArticlePicture\":[],\"TitleCN\":null,\"AbstractTextCN\":null,\"PMCID\":null,\"EPubDate\":\"\",\"PubModel\":\"\",\"JCR\":\"\",\"JCRName\":\"\",\"Score\":null,\"Total\":0}","platform":"Semanticscholar","paperid":null,"PeriodicalName":"Euroasian journal of hepato-gastroenterology","FirstCategoryId":"1085","ListUrlMain":"https://doi.org/10.5005/jp-journals-10018-1415","RegionNum":0,"RegionCategory":null,"ArticlePicture":[],"TitleCN":null,"AbstractTextCN":null,"PMCID":null,"EPubDate":"","PubModel":"","JCR":"","JCRName":"","Score":null,"Total":0}
引用次数: 0

摘要

空肠肠套叠(JGI)是胃切除术或胃旁路手术后胃空肠造口术的一种罕见并可能致命的并发症。迄今为止,文献报道的病例数量极少,其中胃空肠吻合术并发症的发生率非常低:Jejunogastric Intussusception:罕见病例报告研究。Euroasian J Hepato-Gastroenterol 2023;13(2):163-165.
本文章由计算机程序翻译,如有差异,请以英文原文为准。

Jejunogastric Intussusception: A Rare Case Report Study.

Jejunogastric Intussusception: A Rare Case Report Study.

Jejunogastric Intussusception: A Rare Case Report Study.

Jejunogastric Intussusception: A Rare Case Report Study.

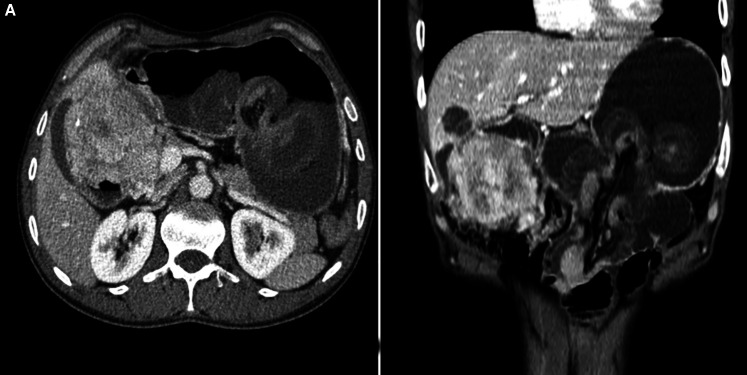
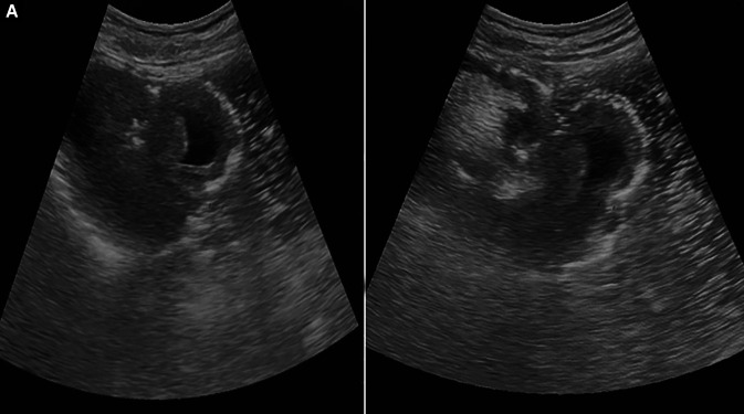
Jejunogastric intussusception (JGI) is a rare, potentially fatal complication of gastrojejunostomy following any gastric resection or gastric bypass surgery. Very less no of cases have been reported to date in the literature, with a very low incidence of <0.1%. Early recognition of JGI followed by prompt intervention is necessary to avoid any serious complications of gut gangrene or even possible death. It carries a mortality rate of approx. 10% of patients subjected to early intervention within 24 hours as compared to 50% in cases where surgery was delayed for more than 48 hours. The usual presenting complaints include a triad of palpable epigastric mass, hematemesis, and epigastric pain with only 50% of patients having this classical presentation. We here, report a middle-aged male with JGI which was diagnosed and managed at our center with emergency surgical intervention.

How to cite this article: Haq MFU, Wagay BA, Malik AA, et al. Jejunogastric Intussusception: A Rare Case Report Study. Euroasian J Hepato-Gastroenterol 2023;13(2):163-165.

求助全文
通过发布文献求助,成功后即可免费获取论文全文。 去求助
来源期刊
自引率
0.00%
发文量
0
×
引用
GB/T 7714-2015
复制
MLA
复制
APA
复制
导出至
BibTeX EndNote RefMan NoteFirst NoteExpress
×
提示
您的信息不完整,为了账户安全,请先补充。
现在去补充
×
提示
您因"违规操作"
具体请查看互助需知
我知道了
×
提示
确定
请完成安全验证×
copy
已复制链接
快去分享给好友吧!
我知道了
右上角分享
点击右上角分享
0
联系我们:info@booksci.cn Book学术提供免费学术资源搜索服务,方便国内外学者检索中英文文献。致力于提供最便捷和优质的服务体验。 Copyright © 2023 布克学术 All rights reserved.
京ICP备2023020795号-1
ghs 京公网安备 11010802042870号
Book学术文献互助
Book学术文献互助群
群 号:604180095
Book学术官方微信