自身免疫性肝炎病例。

Romman Fatima, Viquasuddin Mohammed, Afra Fatima, Syed Ilyaz
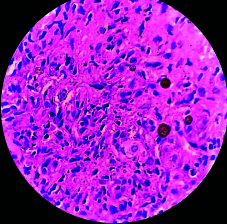
{"title":"自身免疫性肝炎病例。","authors":"Romman Fatima, Viquasuddin Mohammed, Afra Fatima, Syed Ilyaz","doi":"10.5005/jp-journals-10018-1413","DOIUrl":null,"url":null,"abstract":"<p><p>Autoimmune hepatitis (AIH) accounts for cases of chronic liver disease with greater incidence in females than males. It has a bimodal distribution in the age group peaking around pubertal periods and later in the fourth to sixth decade of life. It is characterized by continual hepatocellular inflammation and necrosis which bears the potential to progress to fibrosis and cirrhosis. Approximately a third of the patients manifest with features of acute hepatitis while some patients may progress to chronic liver disease with acute liver failure manifesting in the form of jaundice and coagulopathy. Management has long involved administration of corticosteroids alone or in association with other immunosuppressants like azathioprine to achieve long-term remission. Response to therapy is significantly variable as few patients achieve remission while some may relapse, thereby becoming candidates requiring lifelong therapy. It can either present as insidious onset or acute with manifestations ranging broadly from fatigue malaise, lethargy right upper quadrant pain weight loss anorexia, and jaundice, where up to one-third of patients may have progressed to frank cirrhosis at the time of diagnosis. A 62-year female presented with complaints of facial puffiness more around the eyes, associated with profoundly reduced appetite, yellowish discoloration of the skin, conjunctiva since 1 month, and sudden onset generalized itching not associated with fever, joint pains, weight loss, vomiting, loose stools, rash, or bleeding manifestations. She was admitted for further evaluation and workup. Liver function test revealed predominant unconjugated hyperbilirubinemia with direct bilirubin of 0.7 mg/dL and indirect bilirubin of 1.6 mg/day and transaminitis. Further investigations showed significantly elevated immunoglobulin G (IgG) and 1:80 titer of antinuclear antibodies (ANAs). In view of the high suspicion of autoimmune etiologies, the patient was subjected to a liver biopsy that confirmed cirrhosis with moderate interface hepatitis in the background of negative viral serologies and substance abuse history. She was started on a steroid course on a monthly follow-up basis to ensure biochemical remission.</p><p><strong>How to cite this article: </strong>Fatima R, Mohammed V, Fatima A, <i>et al</i>. Case of Autoimmune Hepatitis. Euroasian J Hepatogastroenterol 2023;13(2):166-168.</p>","PeriodicalId":516317,"journal":{"name":"Euroasian journal of hepato-gastroenterology","volume":"13 2","pages":"166-168"},"PeriodicalIF":0.0000,"publicationDate":"2023-07-01","publicationTypes":"Journal Article","fieldsOfStudy":null,"isOpenAccess":false,"openAccessPdf":"https://www.ncbi.nlm.nih.gov/pmc/articles/PMC10785129/pdf/","citationCount":"0","resultStr":"{\"title\":\"Case of Autoimmune Hepatitis.\",\"authors\":\"Romman Fatima, Viquasuddin Mohammed, Afra Fatima, Syed Ilyaz\",\"doi\":\"10.5005/jp-journals-10018-1413\",\"DOIUrl\":null,\"url\":null,\"abstract\":\"<p><p>Autoimmune hepatitis (AIH) accounts for cases of chronic liver disease with greater incidence in females than males. It has a bimodal distribution in the age group peaking around pubertal periods and later in the fourth to sixth decade of life. It is characterized by continual hepatocellular inflammation and necrosis which bears the potential to progress to fibrosis and cirrhosis. Approximately a third of the patients manifest with features of acute hepatitis while some patients may progress to chronic liver disease with acute liver failure manifesting in the form of jaundice and coagulopathy. Management has long involved administration of corticosteroids alone or in association with other immunosuppressants like azathioprine to achieve long-term remission. Response to therapy is significantly variable as few patients achieve remission while some may relapse, thereby becoming candidates requiring lifelong therapy. It can either present as insidious onset or acute with manifestations ranging broadly from fatigue malaise, lethargy right upper quadrant pain weight loss anorexia, and jaundice, where up to one-third of patients may have progressed to frank cirrhosis at the time of diagnosis. A 62-year female presented with complaints of facial puffiness more around the eyes, associated with profoundly reduced appetite, yellowish discoloration of the skin, conjunctiva since 1 month, and sudden onset generalized itching not associated with fever, joint pains, weight loss, vomiting, loose stools, rash, or bleeding manifestations. She was admitted for further evaluation and workup. Liver function test revealed predominant unconjugated hyperbilirubinemia with direct bilirubin of 0.7 mg/dL and indirect bilirubin of 1.6 mg/day and transaminitis. Further investigations showed significantly elevated immunoglobulin G (IgG) and 1:80 titer of antinuclear antibodies (ANAs). In view of the high suspicion of autoimmune etiologies, the patient was subjected to a liver biopsy that confirmed cirrhosis with moderate interface hepatitis in the background of negative viral serologies and substance abuse history. She was started on a steroid course on a monthly follow-up basis to ensure biochemical remission.</p><p><strong>How to cite this article: </strong>Fatima R, Mohammed V, Fatima A, <i>et al</i>. Case of Autoimmune Hepatitis. Euroasian J Hepatogastroenterol 2023;13(2):166-168.</p>\",\"PeriodicalId\":516317,\"journal\":{\"name\":\"Euroasian journal of hepato-gastroenterology\",\"volume\":\"13 2\",\"pages\":\"166-168\"},\"PeriodicalIF\":0.0000,\"publicationDate\":\"2023-07-01\",\"publicationTypes\":\"Journal Article\",\"fieldsOfStudy\":null,\"isOpenAccess\":false,\"openAccessPdf\":\"https://www.ncbi.nlm.nih.gov/pmc/articles/PMC10785129/pdf/\",\"citationCount\":\"0\",\"resultStr\":null,\"platform\":\"Semanticscholar\",\"paperid\":null,\"PeriodicalName\":\"Euroasian journal of hepato-gastroenterology\",\"FirstCategoryId\":\"1085\",\"ListUrlMain\":\"https://doi.org/10.5005/jp-journals-10018-1413\",\"RegionNum\":0,\"RegionCategory\":null,\"ArticlePicture\":[],\"TitleCN\":null,\"AbstractTextCN\":null,\"PMCID\":null,\"EPubDate\":\"\",\"PubModel\":\"\",\"JCR\":\"\",\"JCRName\":\"\",\"Score\":null,\"Total\":0}","platform":"Semanticscholar","paperid":null,"PeriodicalName":"Euroasian journal of hepato-gastroenterology","FirstCategoryId":"1085","ListUrlMain":"https://doi.org/10.5005/jp-journals-10018-1413","RegionNum":0,"RegionCategory":null,"ArticlePicture":[],"TitleCN":null,"AbstractTextCN":null,"PMCID":null,"EPubDate":"","PubModel":"","JCR":"","JCRName":"","Score":null,"Total":0}
引用次数: 0

摘要

自身免疫性肝炎(AIH)是慢性肝病的一种,女性发病率高于男性。它在年龄组中呈双峰分布,在青春期前后达到高峰,在生命的第四个至第六个十年则较晚。其特点是持续的肝细胞炎症和坏死,有可能发展为肝纤维化和肝硬化。约有三分之一的患者表现为急性肝炎,而有些患者则可能发展为慢性肝病,出现急性肝功能衰竭,表现为黄疸和凝血功能障碍。长期以来,治疗方法包括单独使用皮质类固醇或与硫唑嘌呤等其他免疫抑制剂联合使用,以实现长期缓解。对治疗的反应存在很大差异,少数患者可获得缓解,而有些患者则可能复发,从而成为需要终身治疗的患者。该病既可隐匿起病,也可急性发作,表现范围广泛,包括乏力、萎靡、嗜睡、右上腹疼痛、体重减轻、厌食和黄疸。一名 62 岁的女性患者主诉面部浮肿,眼周更严重,伴有食欲极度减退,皮肤和结膜自 1 个月以来呈淡黄色,突然出现全身瘙痒,但不伴有发热、关节痛、体重减轻、呕吐、便溏、皮疹或出血表现。她入院接受进一步评估和检查。肝功能检查显示,主要为非结合性高胆红素血症,直接胆红素为 0.7 毫克/分升,间接胆红素为 1.6 毫克/天,并伴有转氨酶升高。进一步检查显示,免疫球蛋白 G (IgG) 明显升高,抗核抗体 (ANA) 滴度为 1:80。鉴于高度怀疑存在自身免疫病因,患者接受了肝活检,结果证实在病毒血清学阴性和药物滥用史的背景下,患者患有肝硬化和中度界面性肝炎。患者开始接受类固醇治疗,每月随访一次,以确保生化缓解:法蒂玛-R、穆罕默德-V、法蒂玛-A 等:自身免疫性肝炎病例。Euroasian J Hepatogastroenterol 2023;13(2):166-168.
本文章由计算机程序翻译,如有差异,请以英文原文为准。

Case of Autoimmune Hepatitis.

Case of Autoimmune Hepatitis.

Case of Autoimmune Hepatitis.

Case of Autoimmune Hepatitis.

Autoimmune hepatitis (AIH) accounts for cases of chronic liver disease with greater incidence in females than males. It has a bimodal distribution in the age group peaking around pubertal periods and later in the fourth to sixth decade of life. It is characterized by continual hepatocellular inflammation and necrosis which bears the potential to progress to fibrosis and cirrhosis. Approximately a third of the patients manifest with features of acute hepatitis while some patients may progress to chronic liver disease with acute liver failure manifesting in the form of jaundice and coagulopathy. Management has long involved administration of corticosteroids alone or in association with other immunosuppressants like azathioprine to achieve long-term remission. Response to therapy is significantly variable as few patients achieve remission while some may relapse, thereby becoming candidates requiring lifelong therapy. It can either present as insidious onset or acute with manifestations ranging broadly from fatigue malaise, lethargy right upper quadrant pain weight loss anorexia, and jaundice, where up to one-third of patients may have progressed to frank cirrhosis at the time of diagnosis. A 62-year female presented with complaints of facial puffiness more around the eyes, associated with profoundly reduced appetite, yellowish discoloration of the skin, conjunctiva since 1 month, and sudden onset generalized itching not associated with fever, joint pains, weight loss, vomiting, loose stools, rash, or bleeding manifestations. She was admitted for further evaluation and workup. Liver function test revealed predominant unconjugated hyperbilirubinemia with direct bilirubin of 0.7 mg/dL and indirect bilirubin of 1.6 mg/day and transaminitis. Further investigations showed significantly elevated immunoglobulin G (IgG) and 1:80 titer of antinuclear antibodies (ANAs). In view of the high suspicion of autoimmune etiologies, the patient was subjected to a liver biopsy that confirmed cirrhosis with moderate interface hepatitis in the background of negative viral serologies and substance abuse history. She was started on a steroid course on a monthly follow-up basis to ensure biochemical remission.

How to cite this article: Fatima R, Mohammed V, Fatima A, et al. Case of Autoimmune Hepatitis. Euroasian J Hepatogastroenterol 2023;13(2):166-168.

求助全文
通过发布文献求助,成功后即可免费获取论文全文。 去求助
来源期刊
自引率
0.00%
发文量
0
×
引用
GB/T 7714-2015
复制
MLA
复制
APA
复制
导出至
BibTeX EndNote RefMan NoteFirst NoteExpress
×
提示
您的信息不完整,为了账户安全,请先补充。
现在去补充
×
提示
您因"违规操作"
具体请查看互助需知
我知道了
×
提示
确定
请完成安全验证×
copy
已复制链接
快去分享给好友吧!
我知道了
右上角分享
点击右上角分享
0
联系我们:info@booksci.cn Book学术提供免费学术资源搜索服务,方便国内外学者检索中英文文献。致力于提供最便捷和优质的服务体验。 Copyright © 2023 布克学术 All rights reserved.
京ICP备2023020795号-1
ghs 京公网安备 11010802042870号
Book学术文献互助
Book学术文献互助群
群 号:604180095
Book学术官方微信