增强型深度学习模型可在不同的机构成像协议中实现精确的配准测量。

IF 4.4 Q2 Medicine
Sung Eun Kim, Jun Woo Nam, Joong Il Kim, Jong-Keun Kim, Du Hyun Ro
{"title":"增强型深度学习模型可在不同的机构成像协议中实现精确的配准测量。","authors":"Sung Eun Kim, Jun Woo Nam, Joong Il Kim, Jong-Keun Kim, Du Hyun Ro","doi":"10.1186/s43019-023-00209-y","DOIUrl":null,"url":null,"abstract":"<p><strong>Background: </strong>Achieving consistent accuracy in radiographic measurements across different equipment and protocols is challenging. This study evaluates an advanced deep learning (DL) model, building upon a precursor, for its proficiency in generating uniform and precise alignment measurements in full-leg radiographs irrespective of institutional imaging differences.</p><p><strong>Methods: </strong>The enhanced DL model was trained on over 10,000 radiographs. Utilizing a segmented approach, it separately identified and evaluated regions of interest (ROIs) for the hip, knee, and ankle, subsequently integrating these regions. For external validation, 300 datasets from three distinct institutes with varied imaging protocols and equipment were employed. The study measured seven radiologic parameters: hip-knee-ankle angle, lateral distal femoral angle, medial proximal tibial angle, joint line convergence angle, weight-bearing line ratio, joint line obliquity angle, and lateral distal tibial angle. Measurements by the model were compared with an orthopedic specialist's evaluations using inter-observer and intra-observer intraclass correlation coefficients (ICCs). Additionally, the absolute error percentage in alignment measurements was assessed, and the processing duration for radiograph evaluation was recorded.</p><p><strong>Results: </strong>The DL model exhibited excellent performance, achieving an inter-observer ICC between 0.936 and 0.997, on par with an orthopedic specialist, and an intra-observer ICC of 1.000. The model's consistency was robust across different institutional imaging protocols. Its accuracy was particularly notable in measuring the hip-knee-ankle angle, with no instances of absolute error exceeding 1.5 degrees. The enhanced model significantly improved processing speed, reducing the time by 30-fold from an initial 10-11 s to 300 ms.</p><p><strong>Conclusions: </strong>The enhanced DL model demonstrated its ability for accurate, rapid alignment measurements in full-leg radiographs, regardless of protocol variations, signifying its potential for broad clinical and research applicability.</p>","PeriodicalId":36317,"journal":{"name":"Knee Surgery and Related Research","volume":"36 1","pages":"4"},"PeriodicalIF":4.4000,"publicationDate":"2024-01-12","publicationTypes":"Journal Article","fieldsOfStudy":null,"isOpenAccess":false,"openAccessPdf":"https://www.ncbi.nlm.nih.gov/pmc/articles/PMC10785531/pdf/","citationCount":"0","resultStr":"{\"title\":\"Enhanced deep learning model enables accurate alignment measurement across diverse institutional imaging protocols.\",\"authors\":\"Sung Eun Kim, Jun Woo Nam, Joong Il Kim, Jong-Keun Kim, Du Hyun Ro\",\"doi\":\"10.1186/s43019-023-00209-y\",\"DOIUrl\":null,\"url\":null,\"abstract\":\"<p><strong>Background: </strong>Achieving consistent accuracy in radiographic measurements across different equipment and protocols is challenging. This study evaluates an advanced deep learning (DL) model, building upon a precursor, for its proficiency in generating uniform and precise alignment measurements in full-leg radiographs irrespective of institutional imaging differences.</p><p><strong>Methods: </strong>The enhanced DL model was trained on over 10,000 radiographs. Utilizing a segmented approach, it separately identified and evaluated regions of interest (ROIs) for the hip, knee, and ankle, subsequently integrating these regions. For external validation, 300 datasets from three distinct institutes with varied imaging protocols and equipment were employed. The study measured seven radiologic parameters: hip-knee-ankle angle, lateral distal femoral angle, medial proximal tibial angle, joint line convergence angle, weight-bearing line ratio, joint line obliquity angle, and lateral distal tibial angle. Measurements by the model were compared with an orthopedic specialist's evaluations using inter-observer and intra-observer intraclass correlation coefficients (ICCs). Additionally, the absolute error percentage in alignment measurements was assessed, and the processing duration for radiograph evaluation was recorded.</p><p><strong>Results: </strong>The DL model exhibited excellent performance, achieving an inter-observer ICC between 0.936 and 0.997, on par with an orthopedic specialist, and an intra-observer ICC of 1.000. The model's consistency was robust across different institutional imaging protocols. Its accuracy was particularly notable in measuring the hip-knee-ankle angle, with no instances of absolute error exceeding 1.5 degrees. The enhanced model significantly improved processing speed, reducing the time by 30-fold from an initial 10-11 s to 300 ms.</p><p><strong>Conclusions: </strong>The enhanced DL model demonstrated its ability for accurate, rapid alignment measurements in full-leg radiographs, regardless of protocol variations, signifying its potential for broad clinical and research applicability.</p>\",\"PeriodicalId\":36317,\"journal\":{\"name\":\"Knee Surgery and Related Research\",\"volume\":\"36 1\",\"pages\":\"4\"},\"PeriodicalIF\":4.4000,\"publicationDate\":\"2024-01-12\",\"publicationTypes\":\"Journal Article\",\"fieldsOfStudy\":null,\"isOpenAccess\":false,\"openAccessPdf\":\"https://www.ncbi.nlm.nih.gov/pmc/articles/PMC10785531/pdf/\",\"citationCount\":\"0\",\"resultStr\":null,\"platform\":\"Semanticscholar\",\"paperid\":null,\"PeriodicalName\":\"Knee Surgery and Related Research\",\"FirstCategoryId\":\"1085\",\"ListUrlMain\":\"https://doi.org/10.1186/s43019-023-00209-y\",\"RegionNum\":0,\"RegionCategory\":null,\"ArticlePicture\":[],\"TitleCN\":null,\"AbstractTextCN\":null,\"PMCID\":null,\"EPubDate\":\"\",\"PubModel\":\"\",\"JCR\":\"Q2\",\"JCRName\":\"Medicine\",\"Score\":null,\"Total\":0}","platform":"Semanticscholar","paperid":null,"PeriodicalName":"Knee Surgery and Related Research","FirstCategoryId":"1085","ListUrlMain":"https://doi.org/10.1186/s43019-023-00209-y","RegionNum":0,"RegionCategory":null,"ArticlePicture":[],"TitleCN":null,"AbstractTextCN":null,"PMCID":null,"EPubDate":"","PubModel":"","JCR":"Q2","JCRName":"Medicine","Score":null,"Total":0}
引用次数: 0

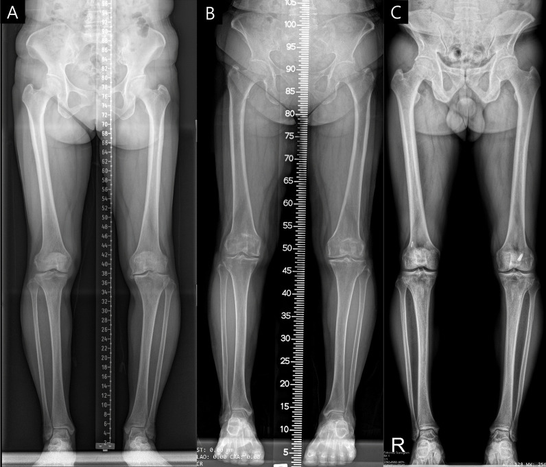
摘要

背景:在不同的设备和方案中实现一致的放射线测量精度是一项挑战。本研究评估了一个先进的深度学习(DL)模型,该模型建立在一个前驱模型的基础上,能够在全腿X光片中生成统一、精确的对位测量结果,而不受机构成像差异的影响:增强型 DL 模型在 10,000 多张 X 光片上进行了训练。方法:增强型 DL 模型在 10,000 多张射线照片上进行了训练,利用分割方法,分别识别和评估了髋关节、膝关节和踝关节的感兴趣区(ROI),随后对这些区域进行了整合。为了进行外部验证,研究人员使用了来自三个不同机构的 300 个数据集,这些数据集采用了不同的成像协议和设备。研究测量了七个放射学参数:髋-膝-踝角度、股骨外侧远端角度、胫骨内侧近端角度、关节线会聚角度、负重线比率、关节线倾斜角度和胫骨外侧远端角度。使用观察者间和观察者内的类内相关系数(ICC)将模型的测量结果与矫形专家的评估结果进行比较。此外,还评估了对齐测量的绝对误差百分比,并记录了射线照片评估的处理时间:DL 模型表现优异,观察者间 ICC 在 0.936 和 0.997 之间,与骨科专家相当,观察者内 ICC 为 1.000。该模型的一致性在不同机构的成像协议中都很稳定。其准确性在测量髋关节-膝关节-踝关节角度方面尤为突出,绝对误差未超过 1.5 度。增强型模型大大提高了处理速度,从最初的 10-11 秒缩短到 300 毫秒,缩短了 30 倍:结论:增强型 DL 模型证明了其在全腿 X 光片中进行准确、快速对齐测量的能力,而不受协议变化的影响,这表明它具有广泛的临床和研究应用潜力。
本文章由计算机程序翻译,如有差异,请以英文原文为准。

Enhanced deep learning model enables accurate alignment measurement across diverse institutional imaging protocols.

Enhanced deep learning model enables accurate alignment measurement across diverse institutional imaging protocols.

Enhanced deep learning model enables accurate alignment measurement across diverse institutional imaging protocols.

Enhanced deep learning model enables accurate alignment measurement across diverse institutional imaging protocols.

Background: Achieving consistent accuracy in radiographic measurements across different equipment and protocols is challenging. This study evaluates an advanced deep learning (DL) model, building upon a precursor, for its proficiency in generating uniform and precise alignment measurements in full-leg radiographs irrespective of institutional imaging differences.

Methods: The enhanced DL model was trained on over 10,000 radiographs. Utilizing a segmented approach, it separately identified and evaluated regions of interest (ROIs) for the hip, knee, and ankle, subsequently integrating these regions. For external validation, 300 datasets from three distinct institutes with varied imaging protocols and equipment were employed. The study measured seven radiologic parameters: hip-knee-ankle angle, lateral distal femoral angle, medial proximal tibial angle, joint line convergence angle, weight-bearing line ratio, joint line obliquity angle, and lateral distal tibial angle. Measurements by the model were compared with an orthopedic specialist's evaluations using inter-observer and intra-observer intraclass correlation coefficients (ICCs). Additionally, the absolute error percentage in alignment measurements was assessed, and the processing duration for radiograph evaluation was recorded.

Results: The DL model exhibited excellent performance, achieving an inter-observer ICC between 0.936 and 0.997, on par with an orthopedic specialist, and an intra-observer ICC of 1.000. The model's consistency was robust across different institutional imaging protocols. Its accuracy was particularly notable in measuring the hip-knee-ankle angle, with no instances of absolute error exceeding 1.5 degrees. The enhanced model significantly improved processing speed, reducing the time by 30-fold from an initial 10-11 s to 300 ms.

Conclusions: The enhanced DL model demonstrated its ability for accurate, rapid alignment measurements in full-leg radiographs, regardless of protocol variations, signifying its potential for broad clinical and research applicability.

求助全文
通过发布文献求助,成功后即可免费获取论文全文。 去求助
来源期刊
CiteScore
6.50
自引率
0.00%
发文量
42
审稿时长
19 weeks
×
引用
GB/T 7714-2015
复制
MLA
复制
APA
复制
导出至
BibTeX EndNote RefMan NoteFirst NoteExpress
×
提示
您的信息不完整,为了账户安全,请先补充。
现在去补充
×
提示
您因"违规操作"
具体请查看互助需知
我知道了
×
提示
确定
请完成安全验证×
copy
已复制链接
快去分享给好友吧!
我知道了
右上角分享
点击右上角分享
0
联系我们:info@booksci.cn Book学术提供免费学术资源搜索服务,方便国内外学者检索中英文文献。致力于提供最便捷和优质的服务体验。 Copyright © 2023 布克学术 All rights reserved.
京ICP备2023020795号-1
ghs 京公网安备 11010802042870号
Book学术文献互助
Book学术文献互助群
群 号:604180095
Book学术官方微信