儿童巨大小脑海绵畸形:病例报告和文献综述。

Olim Zaribovich Akramov, Lilia Aleksandrovna Nazarova, Fuat Mukadasavoch Kurbanov, Sukhrob Abdurashibovich Tashmatov, Ikrom Ismatovich Rakhimov, Odilkhon Ayubxanovich Usmankhanov, Bipin Chaurasia
{"title":"儿童巨大小脑海绵畸形:病例报告和文献综述。","authors":"Olim Zaribovich Akramov, Lilia Aleksandrovna Nazarova, Fuat Mukadasavoch Kurbanov, Sukhrob Abdurashibovich Tashmatov, Ikrom Ismatovich Rakhimov, Odilkhon Ayubxanovich Usmankhanov, Bipin Chaurasia","doi":"10.7461/jcen.2024.E2023.04.006","DOIUrl":null,"url":null,"abstract":"<p><p>Giant cerebellar cavernomas in children are rare and must be differentiated from hemorrhagic cerebellar tumors. The diagnosis and treatment of giant cerebellar cavernomas is challenging, but complete surgical resection can lead to favorable outcomes and complete neurological recovery in most cases. We present a case of eight months old baby who was diagnosed with a giant cavernoma resulting in secondary obstructive hydrocephalus with neuropsychiatric presentations. The patient underwent a paramedian craniotomy surgery with a suboccipital approach and complete surgical resection of the cavernoma was done. Over nine months of observation, the child showed improvement in their ability to walk and fully recovered from a neurological perspective. We also conducted a literature review to identify eleven cases of giant cerebellar cavernomas in children, including our case. The data were analyzed to determine the clinical features, treatment, and outcomes of giant cerebellar cavernomas in children.</p>","PeriodicalId":94072,"journal":{"name":"Journal of cerebrovascular and endovascular neurosurgery","volume":" ","pages":"304-310"},"PeriodicalIF":0.0000,"publicationDate":"2024-09-01","publicationTypes":"Journal Article","fieldsOfStudy":null,"isOpenAccess":false,"openAccessPdf":"https://www.ncbi.nlm.nih.gov/pmc/articles/PMC11449536/pdf/","citationCount":"0","resultStr":"{\"title\":\"Giant cerebellar cavernous malformation in children: A case report and literature review.\",\"authors\":\"Olim Zaribovich Akramov, Lilia Aleksandrovna Nazarova, Fuat Mukadasavoch Kurbanov, Sukhrob Abdurashibovich Tashmatov, Ikrom Ismatovich Rakhimov, Odilkhon Ayubxanovich Usmankhanov, Bipin Chaurasia\",\"doi\":\"10.7461/jcen.2024.E2023.04.006\",\"DOIUrl\":null,\"url\":null,\"abstract\":\"<p><p>Giant cerebellar cavernomas in children are rare and must be differentiated from hemorrhagic cerebellar tumors. The diagnosis and treatment of giant cerebellar cavernomas is challenging, but complete surgical resection can lead to favorable outcomes and complete neurological recovery in most cases. We present a case of eight months old baby who was diagnosed with a giant cavernoma resulting in secondary obstructive hydrocephalus with neuropsychiatric presentations. The patient underwent a paramedian craniotomy surgery with a suboccipital approach and complete surgical resection of the cavernoma was done. Over nine months of observation, the child showed improvement in their ability to walk and fully recovered from a neurological perspective. We also conducted a literature review to identify eleven cases of giant cerebellar cavernomas in children, including our case. The data were analyzed to determine the clinical features, treatment, and outcomes of giant cerebellar cavernomas in children.</p>\",\"PeriodicalId\":94072,\"journal\":{\"name\":\"Journal of cerebrovascular and endovascular neurosurgery\",\"volume\":\" \",\"pages\":\"304-310\"},\"PeriodicalIF\":0.0000,\"publicationDate\":\"2024-09-01\",\"publicationTypes\":\"Journal Article\",\"fieldsOfStudy\":null,\"isOpenAccess\":false,\"openAccessPdf\":\"https://www.ncbi.nlm.nih.gov/pmc/articles/PMC11449536/pdf/\",\"citationCount\":\"0\",\"resultStr\":null,\"platform\":\"Semanticscholar\",\"paperid\":null,\"PeriodicalName\":\"Journal of cerebrovascular and endovascular neurosurgery\",\"FirstCategoryId\":\"1085\",\"ListUrlMain\":\"https://doi.org/10.7461/jcen.2024.E2023.04.006\",\"RegionNum\":0,\"RegionCategory\":null,\"ArticlePicture\":[],\"TitleCN\":null,\"AbstractTextCN\":null,\"PMCID\":null,\"EPubDate\":\"2024/1/12 0:00:00\",\"PubModel\":\"Epub\",\"JCR\":\"\",\"JCRName\":\"\",\"Score\":null,\"Total\":0}","platform":"Semanticscholar","paperid":null,"PeriodicalName":"Journal of cerebrovascular and endovascular neurosurgery","FirstCategoryId":"1085","ListUrlMain":"https://doi.org/10.7461/jcen.2024.E2023.04.006","RegionNum":0,"RegionCategory":null,"ArticlePicture":[],"TitleCN":null,"AbstractTextCN":null,"PMCID":null,"EPubDate":"2024/1/12 0:00:00","PubModel":"Epub","JCR":"","JCRName":"","Score":null,"Total":0}
引用次数: 0

摘要

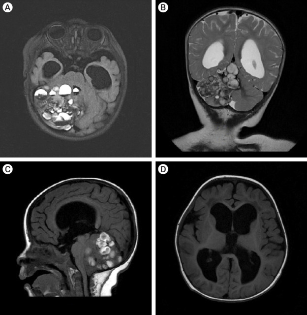
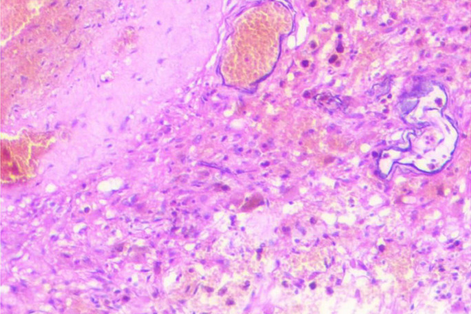
儿童巨大小脑海绵状瘤非常罕见,必须与出血性小脑肿瘤区分开来。巨型小脑海绵状瘤的诊断和治疗具有挑战性,但完全的手术切除可带来良好的结果,大多数病例的神经功能可完全恢复。我们报告了一例八个月大的婴儿,他被诊断出患有巨大海绵状瘤,导致继发性梗阻性脑积水,并伴有神经精神症状。患者接受了枕骨下入路的副颅骨开颅手术,完全切除了海绵瘤。经过九个月的观察,患儿的行走能力有所改善,神经系统也完全康复。我们还进行了文献综述,确定了包括本病例在内的 11 例儿童巨大小脑海绵状瘤病例。我们对这些数据进行了分析,以确定儿童巨大小脑海绵状瘤的临床特征、治疗方法和结果。
本文章由计算机程序翻译,如有差异,请以英文原文为准。

Giant cerebellar cavernous malformation in children: A case report and literature review.

Giant cerebellar cavernous malformation in children: A case report and literature review.

Giant cerebellar cavernous malformation in children: A case report and literature review.

Giant cerebellar cavernous malformation in children: A case report and literature review.

Giant cerebellar cavernomas in children are rare and must be differentiated from hemorrhagic cerebellar tumors. The diagnosis and treatment of giant cerebellar cavernomas is challenging, but complete surgical resection can lead to favorable outcomes and complete neurological recovery in most cases. We present a case of eight months old baby who was diagnosed with a giant cavernoma resulting in secondary obstructive hydrocephalus with neuropsychiatric presentations. The patient underwent a paramedian craniotomy surgery with a suboccipital approach and complete surgical resection of the cavernoma was done. Over nine months of observation, the child showed improvement in their ability to walk and fully recovered from a neurological perspective. We also conducted a literature review to identify eleven cases of giant cerebellar cavernomas in children, including our case. The data were analyzed to determine the clinical features, treatment, and outcomes of giant cerebellar cavernomas in children.

求助全文
通过发布文献求助,成功后即可免费获取论文全文。 去求助
来源期刊
CiteScore
1.10
自引率
0.00%
发文量
0
×
引用
GB/T 7714-2015
复制
MLA
复制
APA
复制
导出至
BibTeX EndNote RefMan NoteFirst NoteExpress
×
提示
您的信息不完整,为了账户安全,请先补充。
现在去补充
×
提示
您因"违规操作"
具体请查看互助需知
我知道了
×
提示
确定
请完成安全验证×
copy
已复制链接
快去分享给好友吧!
我知道了
右上角分享
点击右上角分享
0
联系我们:info@booksci.cn Book学术提供免费学术资源搜索服务,方便国内外学者检索中英文文献。致力于提供最便捷和优质的服务体验。 Copyright © 2023 布克学术 All rights reserved.
京ICP备2023020795号-1
ghs 京公网安备 11010802042870号
Book学术文献互助
Book学术文献互助群
群 号:604180095
Book学术官方微信