是时候重新定义高尿酸血症了吗?沉淀的血清尿酸临界值可能更低:一项试点研究。

IF 1.5 4区 医学 Q4 DEVELOPMENTAL BIOLOGY
Ananu Florentin Vreju, Cristina Dorina Pârvănescu, Adina Turcu-Ştiolică, Ştefan Cristian Dinescu, Sineta Cristina Firulescu, Andreea Lili Bărbulescu, Andreea Beatrice Chisălău, Răzvan Adrian Ionescu, Horaţiu Valeriu Popoviciu, Cristina Elena Gofiţă, Roxana Mihaela Dumitraşcu, Cristina Gabriela Ene, Florin Liviu Gherghina, Paulina Lucia Ciurea, Claudiu Avram
{"title":"是时候重新定义高尿酸血症了吗?沉淀的血清尿酸临界值可能更低:一项试点研究。","authors":"Ananu Florentin Vreju, Cristina Dorina Pârvănescu, Adina Turcu-Ştiolică, Ştefan Cristian Dinescu, Sineta Cristina Firulescu, Andreea Lili Bărbulescu, Andreea Beatrice Chisălău, Răzvan Adrian Ionescu, Horaţiu Valeriu Popoviciu, Cristina Elena Gofiţă, Roxana Mihaela Dumitraşcu, Cristina Gabriela Ene, Florin Liviu Gherghina, Paulina Lucia Ciurea, Claudiu Avram","doi":"10.47162/RJME.64.4.11","DOIUrl":null,"url":null,"abstract":"<p><strong>Background: </strong>Hyperuricemia is classically defined as serum uric acid (SUA) value higher than 6.8 mg∕dL; between hyperuricemic patients, only 15-20% will develop gout. Our first goal was to find if there is a specificity of the \"snowstorm\" feature on ultrasound (US) for hyperuricemia. Moreover, we aimed to determine if there is a level of SUA from which the urates tend to appear in the synovial fluid, without generating a typical clinical gouty flare.</p><p><strong>Patients, materials and methods: </strong>We conducted a cross-sectional, transverse study, including 108 consecutive patients that displayed a set of clinical and imaging features, such as swollen knee and US proof for knee joint effusion.</p><p><strong>Results: </strong>Performing binary logistic regression, the relation between the explanatory variable (hyperechogenic spots) and the response variable (SUA) was demonstrated to be a significant one (p=0.005). The value of 0.397 for the statistical phi coefficient suggests a medium intensity association between the diagnosis of gout or asymptomatic hyperuricemia and whether the patients have hyperechogenic spots or not. We found the cut-off value for SUA equal to 4.815 mg∕dL, regardless of gender, from which, the urate starts to precipitate. Values for men tend to be higher in comparison to the ones found for women (4.95 mg∕dL vs. 3.9 mg∕dL).</p><p><strong>Conclusions: </strong>The \"snowstorm\" aspect of the fluid might be the result of an increased level of SUA and more than this, the cut-off level for SUA to precipitate might be lower than the fore used values.</p>","PeriodicalId":54447,"journal":{"name":"Romanian Journal of Morphology and Embryology","volume":"64 4","pages":"543-548"},"PeriodicalIF":1.5000,"publicationDate":"2023-10-01","publicationTypes":"Journal Article","fieldsOfStudy":null,"isOpenAccess":false,"openAccessPdf":"https://www.ncbi.nlm.nih.gov/pmc/articles/PMC10863690/pdf/","citationCount":"0","resultStr":"{\"title\":\"Time to redefine hyperuricemia? The serum uric acid cut-off level for precipitation might be lower: a pilot study.\",\"authors\":\"Ananu Florentin Vreju, Cristina Dorina Pârvănescu, Adina Turcu-Ştiolică, Ştefan Cristian Dinescu, Sineta Cristina Firulescu, Andreea Lili Bărbulescu, Andreea Beatrice Chisălău, Răzvan Adrian Ionescu, Horaţiu Valeriu Popoviciu, Cristina Elena Gofiţă, Roxana Mihaela Dumitraşcu, Cristina Gabriela Ene, Florin Liviu Gherghina, Paulina Lucia Ciurea, Claudiu Avram\",\"doi\":\"10.47162/RJME.64.4.11\",\"DOIUrl\":null,\"url\":null,\"abstract\":\"<p><strong>Background: </strong>Hyperuricemia is classically defined as serum uric acid (SUA) value higher than 6.8 mg∕dL; between hyperuricemic patients, only 15-20% will develop gout. Our first goal was to find if there is a specificity of the \\\"snowstorm\\\" feature on ultrasound (US) for hyperuricemia. Moreover, we aimed to determine if there is a level of SUA from which the urates tend to appear in the synovial fluid, without generating a typical clinical gouty flare.</p><p><strong>Patients, materials and methods: </strong>We conducted a cross-sectional, transverse study, including 108 consecutive patients that displayed a set of clinical and imaging features, such as swollen knee and US proof for knee joint effusion.</p><p><strong>Results: </strong>Performing binary logistic regression, the relation between the explanatory variable (hyperechogenic spots) and the response variable (SUA) was demonstrated to be a significant one (p=0.005). The value of 0.397 for the statistical phi coefficient suggests a medium intensity association between the diagnosis of gout or asymptomatic hyperuricemia and whether the patients have hyperechogenic spots or not. We found the cut-off value for SUA equal to 4.815 mg∕dL, regardless of gender, from which, the urate starts to precipitate. Values for men tend to be higher in comparison to the ones found for women (4.95 mg∕dL vs. 3.9 mg∕dL).</p><p><strong>Conclusions: </strong>The \\\"snowstorm\\\" aspect of the fluid might be the result of an increased level of SUA and more than this, the cut-off level for SUA to precipitate might be lower than the fore used values.</p>\",\"PeriodicalId\":54447,\"journal\":{\"name\":\"Romanian Journal of Morphology and Embryology\",\"volume\":\"64 4\",\"pages\":\"543-548\"},\"PeriodicalIF\":1.5000,\"publicationDate\":\"2023-10-01\",\"publicationTypes\":\"Journal Article\",\"fieldsOfStudy\":null,\"isOpenAccess\":false,\"openAccessPdf\":\"https://www.ncbi.nlm.nih.gov/pmc/articles/PMC10863690/pdf/\",\"citationCount\":\"0\",\"resultStr\":null,\"platform\":\"Semanticscholar\",\"paperid\":null,\"PeriodicalName\":\"Romanian Journal of Morphology and Embryology\",\"FirstCategoryId\":\"3\",\"ListUrlMain\":\"https://doi.org/10.47162/RJME.64.4.11\",\"RegionNum\":4,\"RegionCategory\":\"医学\",\"ArticlePicture\":[],\"TitleCN\":null,\"AbstractTextCN\":null,\"PMCID\":null,\"EPubDate\":\"\",\"PubModel\":\"\",\"JCR\":\"Q4\",\"JCRName\":\"DEVELOPMENTAL BIOLOGY\",\"Score\":null,\"Total\":0}","platform":"Semanticscholar","paperid":null,"PeriodicalName":"Romanian Journal of Morphology and Embryology","FirstCategoryId":"3","ListUrlMain":"https://doi.org/10.47162/RJME.64.4.11","RegionNum":4,"RegionCategory":"医学","ArticlePicture":[],"TitleCN":null,"AbstractTextCN":null,"PMCID":null,"EPubDate":"","PubModel":"","JCR":"Q4","JCRName":"DEVELOPMENTAL BIOLOGY","Score":null,"Total":0}
引用次数: 0

摘要

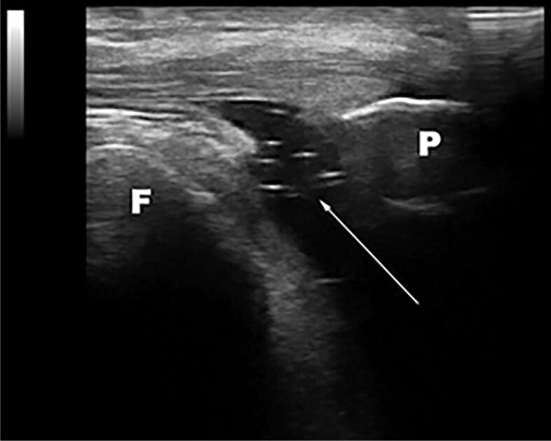
背景:高尿酸血症的经典定义是血清尿酸(SUA)值高于 6.8 mg∕dL;在高尿酸血症患者中,只有 15-20% 会发展为痛风。我们的首要目标是了解超声波(US)上的 "暴风雪 "特征对高尿酸血症是否具有特异性。此外,我们还想确定是否存在一个 SUA 水平,从这一水平开始,尿酸盐往往会出现在滑液中,而不会引发典型的痛风临床发作:我们进行了一项横断面研究,连续纳入了108名显示出一系列临床和影像学特征的患者,如膝关节肿胀和膝关节积液的 US 证明:二元逻辑回归结果显示,解释变量(高回声斑点)与响应变量(SUA)之间的关系显著(P=0.005)。统计学 phi 系数的值为 0.397,表明痛风或无症状高尿酸血症的诊断与患者是否有高回声斑之间存在中等强度的关联。我们发现,无论男女,SUA 的临界值都等于 4.815 mg∕dL,从这个值开始,尿酸盐开始沉淀。男性的数值往往高于女性(4.95 mg∕dL vs. 3.9 mg∕dL):结论:体液中的 "暴风雪 "现象可能是 SUA 水平升高的结果,此外,SUA 沉淀的临界值可能低于当前使用的值。
本文章由计算机程序翻译,如有差异,请以英文原文为准。

Time to redefine hyperuricemia? The serum uric acid cut-off level for precipitation might be lower: a pilot study.

Time to redefine hyperuricemia? The serum uric acid cut-off level for precipitation might be lower: a pilot study.

Time to redefine hyperuricemia? The serum uric acid cut-off level for precipitation might be lower: a pilot study.

Time to redefine hyperuricemia? The serum uric acid cut-off level for precipitation might be lower: a pilot study.

Background: Hyperuricemia is classically defined as serum uric acid (SUA) value higher than 6.8 mg∕dL; between hyperuricemic patients, only 15-20% will develop gout. Our first goal was to find if there is a specificity of the "snowstorm" feature on ultrasound (US) for hyperuricemia. Moreover, we aimed to determine if there is a level of SUA from which the urates tend to appear in the synovial fluid, without generating a typical clinical gouty flare.

Patients, materials and methods: We conducted a cross-sectional, transverse study, including 108 consecutive patients that displayed a set of clinical and imaging features, such as swollen knee and US proof for knee joint effusion.

Results: Performing binary logistic regression, the relation between the explanatory variable (hyperechogenic spots) and the response variable (SUA) was demonstrated to be a significant one (p=0.005). The value of 0.397 for the statistical phi coefficient suggests a medium intensity association between the diagnosis of gout or asymptomatic hyperuricemia and whether the patients have hyperechogenic spots or not. We found the cut-off value for SUA equal to 4.815 mg∕dL, regardless of gender, from which, the urate starts to precipitate. Values for men tend to be higher in comparison to the ones found for women (4.95 mg∕dL vs. 3.9 mg∕dL).

Conclusions: The "snowstorm" aspect of the fluid might be the result of an increased level of SUA and more than this, the cut-off level for SUA to precipitate might be lower than the fore used values.

求助全文
通过发布文献求助,成功后即可免费获取论文全文。 去求助
来源期刊
CiteScore
1.70
自引率
20.00%
发文量
221
审稿时长
3-8 weeks
期刊介绍: Romanian Journal of Morphology and Embryology (Rom J Morphol Embryol) publishes studies on all aspects of normal morphology and human comparative and experimental pathology. The Journal accepts only researches that utilize modern investigation methods (studies of anatomy, pathology, cytopathology, immunohistochemistry, histochemistry, immunology, morphometry, molecular and cellular biology, electronic microscopy, etc.).
×
引用
GB/T 7714-2015
复制
MLA
复制
APA
复制
导出至
BibTeX EndNote RefMan NoteFirst NoteExpress
×
提示
您的信息不完整,为了账户安全,请先补充。
现在去补充
×
提示
您因"违规操作"
具体请查看互助需知
我知道了
×
提示
确定
请完成安全验证×
copy
已复制链接
快去分享给好友吧!
我知道了
右上角分享
点击右上角分享
0
联系我们:info@booksci.cn Book学术提供免费学术资源搜索服务,方便国内外学者检索中英文文献。致力于提供最便捷和优质的服务体验。 Copyright © 2023 布克学术 All rights reserved.
京ICP备2023020795号-1
ghs 京公网安备 11010802042870号
Book学术文献互助
Book学术文献互助群
群 号:604180095
Book学术官方微信