有症状的心包囊肿及其诊断难题。

IF 1.5 4区 医学 Q4 DEVELOPMENTAL BIOLOGY
Adriana Grigoraş, Cornelia Amălinei, Irina Draga Căruntu, Constantin Cristian Grigoraş, Irina Rodica Chiseliţă, Radu Adrian Crişan-Dabija
{"title":"有症状的心包囊肿及其诊断难题。","authors":"Adriana Grigoraş, Cornelia Amălinei, Irina Draga Căruntu, Constantin Cristian Grigoraş, Irina Rodica Chiseliţă, Radu Adrian Crişan-Dabija","doi":"10.47162/RJME.64.4.08","DOIUrl":null,"url":null,"abstract":"<p><p>Pericardial cysts (PCs) or pleuropericardial cysts are rare congenital mediastinal lesions with an approximate incidence of one in 100 000 persons. Usually, they are asymptomatic, being incidentally discovered during a routine chest imaging examination or an autopsy exam. The study involved a retrospective evaluation of clinicopathological findings in a 6-year series of PCs, treated in the Clinic of Pulmonary Diseases, Iaşi, Romania. A group of five cases of PCs, four females and one male, were evaluated. All patients displayed different symptoms, such as dyspnea, chest pain, chronic cough, fatigue, palpitation, and epigastric pain. The cystic lesions were located in the right and left cardiophrenic angle, in four cases, and in the central mediastinum in a single case. The lesions had a fluid content and a maximum diameter that ranged between 35 and 95 mm. The microscopic examination of the surgical resection tissues revealed a thin connective tissue wall without any associated smooth muscle cells. The loose connective tissue band was lined by a layer of mesothelial cells with no cellular atypia, which displayed discrete papillary projections, in one case. Although PCs are rare incidental findings, they should be considered in differential diagnoses of mediastinal cysts, especially as they are associated with non-specific symptoms. Furthermore, considering the possibility of development of severe complications, PCs should be thoroughly explored for suitable patients' management.</p>","PeriodicalId":54447,"journal":{"name":"Romanian Journal of Morphology and Embryology","volume":"64 4","pages":"517-525"},"PeriodicalIF":1.5000,"publicationDate":"2023-10-01","publicationTypes":"Journal Article","fieldsOfStudy":null,"isOpenAccess":false,"openAccessPdf":"https://www.ncbi.nlm.nih.gov/pmc/articles/PMC10863696/pdf/","citationCount":"0","resultStr":"{\"title\":\"Symptomatic pericardial cysts and dilemmas in their diagnosis.\",\"authors\":\"Adriana Grigoraş, Cornelia Amălinei, Irina Draga Căruntu, Constantin Cristian Grigoraş, Irina Rodica Chiseliţă, Radu Adrian Crişan-Dabija\",\"doi\":\"10.47162/RJME.64.4.08\",\"DOIUrl\":null,\"url\":null,\"abstract\":\"<p><p>Pericardial cysts (PCs) or pleuropericardial cysts are rare congenital mediastinal lesions with an approximate incidence of one in 100 000 persons. Usually, they are asymptomatic, being incidentally discovered during a routine chest imaging examination or an autopsy exam. The study involved a retrospective evaluation of clinicopathological findings in a 6-year series of PCs, treated in the Clinic of Pulmonary Diseases, Iaşi, Romania. A group of five cases of PCs, four females and one male, were evaluated. All patients displayed different symptoms, such as dyspnea, chest pain, chronic cough, fatigue, palpitation, and epigastric pain. The cystic lesions were located in the right and left cardiophrenic angle, in four cases, and in the central mediastinum in a single case. The lesions had a fluid content and a maximum diameter that ranged between 35 and 95 mm. The microscopic examination of the surgical resection tissues revealed a thin connective tissue wall without any associated smooth muscle cells. The loose connective tissue band was lined by a layer of mesothelial cells with no cellular atypia, which displayed discrete papillary projections, in one case. Although PCs are rare incidental findings, they should be considered in differential diagnoses of mediastinal cysts, especially as they are associated with non-specific symptoms. Furthermore, considering the possibility of development of severe complications, PCs should be thoroughly explored for suitable patients' management.</p>\",\"PeriodicalId\":54447,\"journal\":{\"name\":\"Romanian Journal of Morphology and Embryology\",\"volume\":\"64 4\",\"pages\":\"517-525\"},\"PeriodicalIF\":1.5000,\"publicationDate\":\"2023-10-01\",\"publicationTypes\":\"Journal Article\",\"fieldsOfStudy\":null,\"isOpenAccess\":false,\"openAccessPdf\":\"https://www.ncbi.nlm.nih.gov/pmc/articles/PMC10863696/pdf/\",\"citationCount\":\"0\",\"resultStr\":null,\"platform\":\"Semanticscholar\",\"paperid\":null,\"PeriodicalName\":\"Romanian Journal of Morphology and Embryology\",\"FirstCategoryId\":\"3\",\"ListUrlMain\":\"https://doi.org/10.47162/RJME.64.4.08\",\"RegionNum\":4,\"RegionCategory\":\"医学\",\"ArticlePicture\":[],\"TitleCN\":null,\"AbstractTextCN\":null,\"PMCID\":null,\"EPubDate\":\"\",\"PubModel\":\"\",\"JCR\":\"Q4\",\"JCRName\":\"DEVELOPMENTAL BIOLOGY\",\"Score\":null,\"Total\":0}","platform":"Semanticscholar","paperid":null,"PeriodicalName":"Romanian Journal of Morphology and Embryology","FirstCategoryId":"3","ListUrlMain":"https://doi.org/10.47162/RJME.64.4.08","RegionNum":4,"RegionCategory":"医学","ArticlePicture":[],"TitleCN":null,"AbstractTextCN":null,"PMCID":null,"EPubDate":"","PubModel":"","JCR":"Q4","JCRName":"DEVELOPMENTAL BIOLOGY","Score":null,"Total":0}
引用次数: 0

摘要

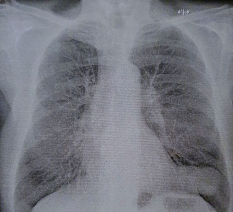
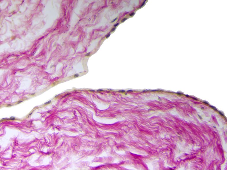
心包囊肿(PCs)或胸膜心包囊肿是一种罕见的先天性纵隔病变,发病率约为十万分之一。它们通常没有症状,是在常规胸部成像检查或尸检时偶然发现的。本研究对在罗马尼亚雅西肺病诊所接受治疗的 6 年系列 PCs 的临床病理结果进行了回顾性评估。共评估了五例肺结核患者,其中四例为女性,一例为男性。所有患者均表现出不同的症状,如呼吸困难、胸痛、慢性咳嗽、疲劳、心悸和上腹痛。四例患者的囊性病变位于左右心膈角,一例患者的囊性病变位于中央纵隔。病灶中含有液体,最大直径在 35 至 95 毫米之间。手术切除组织的显微镜检查显示,结缔组织壁很薄,没有任何相关的平滑肌细胞。疏松的结缔组织带内衬一层无细胞不典型性的间皮细胞,其中一例显示出离散的乳头状突起。虽然 PCs 是罕见的偶然发现,但在纵隔囊肿的鉴别诊断中应考虑到它们,尤其是当它们与非特异性症状相关时。此外,考虑到PC可能会引发严重的并发症,因此应彻底检查PC,以便对患者进行适当的治疗。
本文章由计算机程序翻译,如有差异,请以英文原文为准。

Symptomatic pericardial cysts and dilemmas in their diagnosis.

Symptomatic pericardial cysts and dilemmas in their diagnosis.

Symptomatic pericardial cysts and dilemmas in their diagnosis.

Symptomatic pericardial cysts and dilemmas in their diagnosis.

Pericardial cysts (PCs) or pleuropericardial cysts are rare congenital mediastinal lesions with an approximate incidence of one in 100 000 persons. Usually, they are asymptomatic, being incidentally discovered during a routine chest imaging examination or an autopsy exam. The study involved a retrospective evaluation of clinicopathological findings in a 6-year series of PCs, treated in the Clinic of Pulmonary Diseases, Iaşi, Romania. A group of five cases of PCs, four females and one male, were evaluated. All patients displayed different symptoms, such as dyspnea, chest pain, chronic cough, fatigue, palpitation, and epigastric pain. The cystic lesions were located in the right and left cardiophrenic angle, in four cases, and in the central mediastinum in a single case. The lesions had a fluid content and a maximum diameter that ranged between 35 and 95 mm. The microscopic examination of the surgical resection tissues revealed a thin connective tissue wall without any associated smooth muscle cells. The loose connective tissue band was lined by a layer of mesothelial cells with no cellular atypia, which displayed discrete papillary projections, in one case. Although PCs are rare incidental findings, they should be considered in differential diagnoses of mediastinal cysts, especially as they are associated with non-specific symptoms. Furthermore, considering the possibility of development of severe complications, PCs should be thoroughly explored for suitable patients' management.

求助全文
通过发布文献求助,成功后即可免费获取论文全文。 去求助
来源期刊
CiteScore
1.70
自引率
20.00%
发文量
221
审稿时长
3-8 weeks
期刊介绍: Romanian Journal of Morphology and Embryology (Rom J Morphol Embryol) publishes studies on all aspects of normal morphology and human comparative and experimental pathology. The Journal accepts only researches that utilize modern investigation methods (studies of anatomy, pathology, cytopathology, immunohistochemistry, histochemistry, immunology, morphometry, molecular and cellular biology, electronic microscopy, etc.).
×
引用
GB/T 7714-2015
复制
MLA
复制
APA
复制
导出至
BibTeX EndNote RefMan NoteFirst NoteExpress
×
提示
您的信息不完整,为了账户安全,请先补充。
现在去补充
×
提示
您因"违规操作"
具体请查看互助需知
我知道了
×
提示
确定
请完成安全验证×
copy
已复制链接
快去分享给好友吧!
我知道了
右上角分享
点击右上角分享
0
联系我们:info@booksci.cn Book学术提供免费学术资源搜索服务,方便国内外学者检索中英文文献。致力于提供最便捷和优质的服务体验。 Copyright © 2023 布克学术 All rights reserved.
京ICP备2023020795号-1
ghs 京公网安备 11010802042870号
Book学术文献互助
Book学术文献互助群
群 号:604180095
Book学术官方微信