使用支气管超声内窥镜进行内窥镜超声引导细针穿刺术(EUS-B-FNA)诊断肺癌患者胰腺转移的病例报告。

IF 1.4 Q3 RESPIRATORY SYSTEM
European Clinical Respiratory Journal Pub Date : 2023-12-25 eCollection Date: 2024-01-01 DOI:10.1080/20018525.2023.2294545
Abdul Khaliq Ahmad, Arman Arshad, Christian B Laursen, Vasiliki Panou
{"title":"使用支气管超声内窥镜进行内窥镜超声引导细针穿刺术(EUS-B-FNA)诊断肺癌患者胰腺转移的病例报告。","authors":"Abdul Khaliq Ahmad, Arman Arshad, Christian B Laursen, Vasiliki Panou","doi":"10.1080/20018525.2023.2294545","DOIUrl":null,"url":null,"abstract":"<p><p>Endoscopic ultrasound-guided fine needle aspiration biopsy (EUS-FNA) of the pancreas is performed routinely in many endoscopic centers as part of the diagnostic set-up for suspected pancreatic cancer. The use of transesophageal bronchoscopic ultrasound-guided fine needle aspiration (EUS-B-FNA) by pulmonologists has expanded significantly, since it enables effective diagnosis of lesions in the mediastinum and upper abdomen. The following case demonstrates the safety and feasibility of EUS-B-FNA in a patient with non-small cell lung cancer (NSCLC) cancer and a pancreatic mass of unknown origin. A patient who was previously diagnosed with NSCLC was referred to the Department of Respiratory Medicine, Odense University Hospital due to suspected recurrence of NSCLC. The patient underwent endobronchial ultrasound guided (EBUS)-FNA from several suspected mediastinal lymph nodes and combined EUS-B-FNA from a pancreatic mass during the same procedure. Pathology results from the pancreatic mass and from the mediastinal lymph nodes showed squamous-cell carcinoma, metastasis from the previous NSCLC. We here by demonstrated that EUS-B-FNA is a feasible and safe technique to obtain tissue samples from pancreatic lesions in patients under investigation for lung cancer.</p>","PeriodicalId":11872,"journal":{"name":"European Clinical Respiratory Journal","volume":"11 1","pages":"2294545"},"PeriodicalIF":1.4000,"publicationDate":"2023-12-25","publicationTypes":"Journal Article","fieldsOfStudy":null,"isOpenAccess":false,"openAccessPdf":"https://www.ncbi.nlm.nih.gov/pmc/articles/PMC10763869/pdf/","citationCount":"0","resultStr":"{\"title\":\"Endoscopic ultrasound-guided fine-needle aspiration using the bronchial ultrasound scope (EUS-B-FNA) for diagnosing pancreatic metastasis in a lung cancer patient case report.\",\"authors\":\"Abdul Khaliq Ahmad, Arman Arshad, Christian B Laursen, Vasiliki Panou\",\"doi\":\"10.1080/20018525.2023.2294545\",\"DOIUrl\":null,\"url\":null,\"abstract\":\"<p><p>Endoscopic ultrasound-guided fine needle aspiration biopsy (EUS-FNA) of the pancreas is performed routinely in many endoscopic centers as part of the diagnostic set-up for suspected pancreatic cancer. The use of transesophageal bronchoscopic ultrasound-guided fine needle aspiration (EUS-B-FNA) by pulmonologists has expanded significantly, since it enables effective diagnosis of lesions in the mediastinum and upper abdomen. The following case demonstrates the safety and feasibility of EUS-B-FNA in a patient with non-small cell lung cancer (NSCLC) cancer and a pancreatic mass of unknown origin. A patient who was previously diagnosed with NSCLC was referred to the Department of Respiratory Medicine, Odense University Hospital due to suspected recurrence of NSCLC. The patient underwent endobronchial ultrasound guided (EBUS)-FNA from several suspected mediastinal lymph nodes and combined EUS-B-FNA from a pancreatic mass during the same procedure. Pathology results from the pancreatic mass and from the mediastinal lymph nodes showed squamous-cell carcinoma, metastasis from the previous NSCLC. We here by demonstrated that EUS-B-FNA is a feasible and safe technique to obtain tissue samples from pancreatic lesions in patients under investigation for lung cancer.</p>\",\"PeriodicalId\":11872,\"journal\":{\"name\":\"European Clinical Respiratory Journal\",\"volume\":\"11 1\",\"pages\":\"2294545\"},\"PeriodicalIF\":1.4000,\"publicationDate\":\"2023-12-25\",\"publicationTypes\":\"Journal Article\",\"fieldsOfStudy\":null,\"isOpenAccess\":false,\"openAccessPdf\":\"https://www.ncbi.nlm.nih.gov/pmc/articles/PMC10763869/pdf/\",\"citationCount\":\"0\",\"resultStr\":null,\"platform\":\"Semanticscholar\",\"paperid\":null,\"PeriodicalName\":\"European Clinical Respiratory Journal\",\"FirstCategoryId\":\"1085\",\"ListUrlMain\":\"https://doi.org/10.1080/20018525.2023.2294545\",\"RegionNum\":0,\"RegionCategory\":null,\"ArticlePicture\":[],\"TitleCN\":null,\"AbstractTextCN\":null,\"PMCID\":null,\"EPubDate\":\"2024/1/1 0:00:00\",\"PubModel\":\"eCollection\",\"JCR\":\"Q3\",\"JCRName\":\"RESPIRATORY SYSTEM\",\"Score\":null,\"Total\":0}","platform":"Semanticscholar","paperid":null,"PeriodicalName":"European Clinical Respiratory Journal","FirstCategoryId":"1085","ListUrlMain":"https://doi.org/10.1080/20018525.2023.2294545","RegionNum":0,"RegionCategory":null,"ArticlePicture":[],"TitleCN":null,"AbstractTextCN":null,"PMCID":null,"EPubDate":"2024/1/1 0:00:00","PubModel":"eCollection","JCR":"Q3","JCRName":"RESPIRATORY SYSTEM","Score":null,"Total":0}
引用次数: 0

摘要

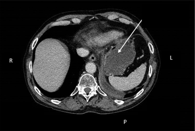
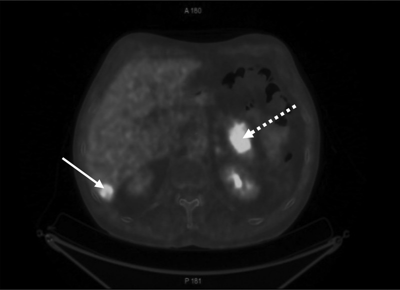
胰腺内镜超声引导细针穿刺活检(EUS-FNA)是许多内镜中心的常规检查项目,也是疑似胰腺癌诊断程序的一部分。由于经食道支气管镜超声引导细针穿刺活检术(EUS-B-FNA)能有效诊断纵隔和上腹部的病变,因此肺科医生对它的使用范围也大大扩展。下面的病例展示了 EUS-B-FNA 在一名患有非小细胞肺癌(NSCLC)和不明原因胰腺肿块的患者身上的安全性和可行性。一名曾被诊断为 NSCLC 的患者因怀疑 NSCLC 复发而被转诊至欧登塞大学医院呼吸内科。患者在同一手术中接受了支气管内超声引导(EBUS)-FNA检查,检查了多个疑似纵隔淋巴结,并对胰腺肿块进行了EUS-B-FNA联合检查。胰腺肿块和纵隔淋巴结的病理结果显示为鳞状细胞癌,由之前的 NSCLC 转移而来。我们在此证明,EUS-B-FNA 是一种可行且安全的技术,可用于从肺癌受检患者的胰腺病变中获取组织样本。
本文章由计算机程序翻译,如有差异,请以英文原文为准。

Endoscopic ultrasound-guided fine-needle aspiration using the bronchial ultrasound scope (EUS-B-FNA) for diagnosing pancreatic metastasis in a lung cancer patient case report.

Endoscopic ultrasound-guided fine-needle aspiration using the bronchial ultrasound scope (EUS-B-FNA) for diagnosing pancreatic metastasis in a lung cancer patient case report.

Endoscopic ultrasound-guided fine-needle aspiration using the bronchial ultrasound scope (EUS-B-FNA) for diagnosing pancreatic metastasis in a lung cancer patient case report.

Endoscopic ultrasound-guided fine-needle aspiration using the bronchial ultrasound scope (EUS-B-FNA) for diagnosing pancreatic metastasis in a lung cancer patient case report.

Endoscopic ultrasound-guided fine needle aspiration biopsy (EUS-FNA) of the pancreas is performed routinely in many endoscopic centers as part of the diagnostic set-up for suspected pancreatic cancer. The use of transesophageal bronchoscopic ultrasound-guided fine needle aspiration (EUS-B-FNA) by pulmonologists has expanded significantly, since it enables effective diagnosis of lesions in the mediastinum and upper abdomen. The following case demonstrates the safety and feasibility of EUS-B-FNA in a patient with non-small cell lung cancer (NSCLC) cancer and a pancreatic mass of unknown origin. A patient who was previously diagnosed with NSCLC was referred to the Department of Respiratory Medicine, Odense University Hospital due to suspected recurrence of NSCLC. The patient underwent endobronchial ultrasound guided (EBUS)-FNA from several suspected mediastinal lymph nodes and combined EUS-B-FNA from a pancreatic mass during the same procedure. Pathology results from the pancreatic mass and from the mediastinal lymph nodes showed squamous-cell carcinoma, metastasis from the previous NSCLC. We here by demonstrated that EUS-B-FNA is a feasible and safe technique to obtain tissue samples from pancreatic lesions in patients under investigation for lung cancer.

求助全文
通过发布文献求助,成功后即可免费获取论文全文。 去求助
来源期刊
CiteScore
3.80
自引率
0.00%
发文量
15
审稿时长
16 weeks
×
引用
GB/T 7714-2015
复制
MLA
复制
APA
复制
导出至
BibTeX EndNote RefMan NoteFirst NoteExpress
×
提示
您的信息不完整,为了账户安全,请先补充。
现在去补充
×
提示
您因"违规操作"
具体请查看互助需知
我知道了
×
提示
确定
请完成安全验证×
copy
已复制链接
快去分享给好友吧!
我知道了
右上角分享
点击右上角分享
0
联系我们:info@booksci.cn Book学术提供免费学术资源搜索服务,方便国内外学者检索中英文文献。致力于提供最便捷和优质的服务体验。 Copyright © 2023 布克学术 All rights reserved.
京ICP备2023020795号-1
ghs 京公网安备 11010802042870号
Book学术文献互助
Book学术文献互助群
群 号:604180095
Book学术官方微信