钙化性紫癜,小心眼科疑似病例:病例系列。

Clinical nephrology. Case studies Pub Date : 2023-12-12 eCollection Date: 2023-01-01 DOI:10.5414/CNCS111088
Chelsea Guymer, Sadia Jahan, Bobak Bahrami, David Sia, Bee Qung Tan, Stephen McDonald, Sumu Simon
{"title":"钙化性紫癜,小心眼科疑似病例:病例系列。","authors":"Chelsea Guymer, Sadia Jahan, Bobak Bahrami, David Sia, Bee Qung Tan, Stephen McDonald, Sumu Simon","doi":"10.5414/CNCS111088","DOIUrl":null,"url":null,"abstract":"<p><strong>Purpose: </strong>We present two atypical cases of calciphylaxis presenting with ocular ischemic pathology - both without the hallmark cutaneous manifestations - to raise awareness of this rare yet highly disabling condition.</p><p><strong>Observations: </strong>We report two cases of ophthalmic calciphylaxis presenting as (1) anterior ischemic optic neuropathy (AION) and cilioretinal artery occlusion in a 76-year-old woman with pre-dialysis kidney failure, and (2) AION with contralateral central retinal artery occlusion (CRAO) in a 44-year-old man on hemodialysis.</p><p><strong>Conclusion and importance: </strong>These cases highlight the need for judicious clinical suspicion of calciphylaxis in patients with kidney failure, presenting with microvascular ischemic ophthalmic pathology such as AION or CRAO. Confirmation with temporal artery biopsy is essential to direct targeted individualized multi-disciplinary treatment of calciphylaxis and avoid unnecessary steroid exposure in cases masquerading as giant cell arteritis (GCA).</p>","PeriodicalId":510898,"journal":{"name":"Clinical nephrology. Case studies","volume":"11 ","pages":"136-146"},"PeriodicalIF":0.0000,"publicationDate":"2023-12-12","publicationTypes":"Journal Article","fieldsOfStudy":null,"isOpenAccess":false,"openAccessPdf":"https://www.ncbi.nlm.nih.gov/pmc/articles/PMC10759205/pdf/","citationCount":"0","resultStr":"{\"title\":\"Calciphylaxis, beware the ophthalmic mimic: A case series.\",\"authors\":\"Chelsea Guymer, Sadia Jahan, Bobak Bahrami, David Sia, Bee Qung Tan, Stephen McDonald, Sumu Simon\",\"doi\":\"10.5414/CNCS111088\",\"DOIUrl\":null,\"url\":null,\"abstract\":\"<p><strong>Purpose: </strong>We present two atypical cases of calciphylaxis presenting with ocular ischemic pathology - both without the hallmark cutaneous manifestations - to raise awareness of this rare yet highly disabling condition.</p><p><strong>Observations: </strong>We report two cases of ophthalmic calciphylaxis presenting as (1) anterior ischemic optic neuropathy (AION) and cilioretinal artery occlusion in a 76-year-old woman with pre-dialysis kidney failure, and (2) AION with contralateral central retinal artery occlusion (CRAO) in a 44-year-old man on hemodialysis.</p><p><strong>Conclusion and importance: </strong>These cases highlight the need for judicious clinical suspicion of calciphylaxis in patients with kidney failure, presenting with microvascular ischemic ophthalmic pathology such as AION or CRAO. Confirmation with temporal artery biopsy is essential to direct targeted individualized multi-disciplinary treatment of calciphylaxis and avoid unnecessary steroid exposure in cases masquerading as giant cell arteritis (GCA).</p>\",\"PeriodicalId\":510898,\"journal\":{\"name\":\"Clinical nephrology. Case studies\",\"volume\":\"11 \",\"pages\":\"136-146\"},\"PeriodicalIF\":0.0000,\"publicationDate\":\"2023-12-12\",\"publicationTypes\":\"Journal Article\",\"fieldsOfStudy\":null,\"isOpenAccess\":false,\"openAccessPdf\":\"https://www.ncbi.nlm.nih.gov/pmc/articles/PMC10759205/pdf/\",\"citationCount\":\"0\",\"resultStr\":null,\"platform\":\"Semanticscholar\",\"paperid\":null,\"PeriodicalName\":\"Clinical nephrology. Case studies\",\"FirstCategoryId\":\"1085\",\"ListUrlMain\":\"https://doi.org/10.5414/CNCS111088\",\"RegionNum\":0,\"RegionCategory\":null,\"ArticlePicture\":[],\"TitleCN\":null,\"AbstractTextCN\":null,\"PMCID\":null,\"EPubDate\":\"2023/1/1 0:00:00\",\"PubModel\":\"eCollection\",\"JCR\":\"\",\"JCRName\":\"\",\"Score\":null,\"Total\":0}","platform":"Semanticscholar","paperid":null,"PeriodicalName":"Clinical nephrology. Case studies","FirstCategoryId":"1085","ListUrlMain":"https://doi.org/10.5414/CNCS111088","RegionNum":0,"RegionCategory":null,"ArticlePicture":[],"TitleCN":null,"AbstractTextCN":null,"PMCID":null,"EPubDate":"2023/1/1 0:00:00","PubModel":"eCollection","JCR":"","JCRName":"","Score":null,"Total":0}
引用次数: 0

摘要

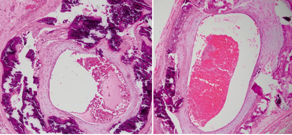
目的:我们报告了两例表现为眼部缺血性病变的非典型钙铁病病例--两例病例均无标志性皮肤表现--以提高人们对这种罕见但高度致残性疾病的认识:观察结果:我们报告了两例眼部钙睫症病例,表现为:(1) 一名76岁的肾衰竭透析前妇女的前部缺血性视神经病变(AION)和睫状体视网膜动脉闭塞;(2) 一名44岁的血液透析男性的AION和对侧视网膜中央动脉闭塞(CRAO):这些病例突出表明,临床上需要对肾衰竭患者伴有微血管缺血性眼部病变(如 AION 或 CRAO)的钙血症进行审慎的怀疑。通过颞动脉活检进行确诊至关重要,可指导对钙化病进行有针对性的个体化多学科治疗,并避免在伪装成巨细胞动脉炎(GCA)的病例中不必要地接触类固醇。
本文章由计算机程序翻译,如有差异,请以英文原文为准。

Calciphylaxis, beware the ophthalmic mimic: A case series.

Calciphylaxis, beware the ophthalmic mimic: A case series.

Calciphylaxis, beware the ophthalmic mimic: A case series.

Calciphylaxis, beware the ophthalmic mimic: A case series.

Purpose: We present two atypical cases of calciphylaxis presenting with ocular ischemic pathology - both without the hallmark cutaneous manifestations - to raise awareness of this rare yet highly disabling condition.

Observations: We report two cases of ophthalmic calciphylaxis presenting as (1) anterior ischemic optic neuropathy (AION) and cilioretinal artery occlusion in a 76-year-old woman with pre-dialysis kidney failure, and (2) AION with contralateral central retinal artery occlusion (CRAO) in a 44-year-old man on hemodialysis.

Conclusion and importance: These cases highlight the need for judicious clinical suspicion of calciphylaxis in patients with kidney failure, presenting with microvascular ischemic ophthalmic pathology such as AION or CRAO. Confirmation with temporal artery biopsy is essential to direct targeted individualized multi-disciplinary treatment of calciphylaxis and avoid unnecessary steroid exposure in cases masquerading as giant cell arteritis (GCA).

求助全文
通过发布文献求助,成功后即可免费获取论文全文。 去求助
来源期刊
自引率
0.00%
发文量
0
×
引用
GB/T 7714-2015
复制
MLA
复制
APA
复制
导出至
BibTeX EndNote RefMan NoteFirst NoteExpress
×
提示
您的信息不完整,为了账户安全,请先补充。
现在去补充
×
提示
您因"违规操作"
具体请查看互助需知
我知道了
×
提示
确定
请完成安全验证×
copy
已复制链接
快去分享给好友吧!
我知道了
右上角分享
点击右上角分享
0
联系我们:info@booksci.cn Book学术提供免费学术资源搜索服务,方便国内外学者检索中英文文献。致力于提供最便捷和优质的服务体验。 Copyright © 2023 布克学术 All rights reserved.
京ICP备2023020795号-1
ghs 京公网安备 11010802042870号
Book学术文献互助
Book学术文献互助群
群 号:604180095
Book学术官方微信