无风险因素的老年女性自发性广泛 A 型主动脉夹层:罕见的临床表现

Case Reports in Emergency Medicine Pub Date : 2023-12-26 eCollection Date: 2023-01-01 DOI:10.1155/2023/4950510
Maulik K Lathiya, Susan M Cullinan
{"title":"无风险因素的老年女性自发性广泛 A 型主动脉夹层:罕见的临床表现","authors":"Maulik K Lathiya, Susan M Cullinan","doi":"10.1155/2023/4950510","DOIUrl":null,"url":null,"abstract":"<p><strong>Background: </strong>Aortic dissection (AD) is a rare but serious medical emergency where the aorta's inner layer tears. Females are less likely to develop it than males, and AD cases with unusual symptoms can be hard to diagnose. Diagnosing AD can be further complicated as its symptoms and electrocardiogram (ECG) changes can mimic acute coronary syndrome, and it is challenging to distinguish it without risk factors. <i>Case Report</i>. This case report describes a 60-year-old female patient who presented with unusual symptoms, including pain in her chest, neck, left arm, and lower extremities. An electrocardiogram (ECG) revealed ST elevation in leads aVR and V1, as well as severe ST depression and T wave inversion in the inferior and lateral leads, which can mimic acute coronary syndrome. Despite initial treatment with nitroglycerin, the patient's pain worsened, and a CT angiography revealed type A aortic dissection extending from the aortic root to the right external iliac artery. Immediate surgery was recommended, which significantly improved the patient's condition.</p><p><strong>Conclusions: </strong>Be aware of aortic dissection and its symptoms, even if there are no risk factors or recognizable symptoms. Consider aortic dissection as a potential diagnosis if ECG changes are present. Ongoing education can help decrease mortality and increase awareness.</p>","PeriodicalId":9624,"journal":{"name":"Case Reports in Emergency Medicine","volume":"2023 ","pages":"4950510"},"PeriodicalIF":0.0000,"publicationDate":"2023-12-26","publicationTypes":"Journal Article","fieldsOfStudy":null,"isOpenAccess":false,"openAccessPdf":"https://www.ncbi.nlm.nih.gov/pmc/articles/PMC10761221/pdf/","citationCount":"0","resultStr":"{\"title\":\"Spontaneous Extensive Type A Aortic Dissection in an Older Female with No Risk Factors: A Rare Clinical Presentation.\",\"authors\":\"Maulik K Lathiya, Susan M Cullinan\",\"doi\":\"10.1155/2023/4950510\",\"DOIUrl\":null,\"url\":null,\"abstract\":\"<p><strong>Background: </strong>Aortic dissection (AD) is a rare but serious medical emergency where the aorta's inner layer tears. Females are less likely to develop it than males, and AD cases with unusual symptoms can be hard to diagnose. Diagnosing AD can be further complicated as its symptoms and electrocardiogram (ECG) changes can mimic acute coronary syndrome, and it is challenging to distinguish it without risk factors. <i>Case Report</i>. This case report describes a 60-year-old female patient who presented with unusual symptoms, including pain in her chest, neck, left arm, and lower extremities. An electrocardiogram (ECG) revealed ST elevation in leads aVR and V1, as well as severe ST depression and T wave inversion in the inferior and lateral leads, which can mimic acute coronary syndrome. Despite initial treatment with nitroglycerin, the patient's pain worsened, and a CT angiography revealed type A aortic dissection extending from the aortic root to the right external iliac artery. Immediate surgery was recommended, which significantly improved the patient's condition.</p><p><strong>Conclusions: </strong>Be aware of aortic dissection and its symptoms, even if there are no risk factors or recognizable symptoms. Consider aortic dissection as a potential diagnosis if ECG changes are present. Ongoing education can help decrease mortality and increase awareness.</p>\",\"PeriodicalId\":9624,\"journal\":{\"name\":\"Case Reports in Emergency Medicine\",\"volume\":\"2023 \",\"pages\":\"4950510\"},\"PeriodicalIF\":0.0000,\"publicationDate\":\"2023-12-26\",\"publicationTypes\":\"Journal Article\",\"fieldsOfStudy\":null,\"isOpenAccess\":false,\"openAccessPdf\":\"https://www.ncbi.nlm.nih.gov/pmc/articles/PMC10761221/pdf/\",\"citationCount\":\"0\",\"resultStr\":null,\"platform\":\"Semanticscholar\",\"paperid\":null,\"PeriodicalName\":\"Case Reports in Emergency Medicine\",\"FirstCategoryId\":\"1085\",\"ListUrlMain\":\"https://doi.org/10.1155/2023/4950510\",\"RegionNum\":0,\"RegionCategory\":null,\"ArticlePicture\":[],\"TitleCN\":null,\"AbstractTextCN\":null,\"PMCID\":null,\"EPubDate\":\"2023/1/1 0:00:00\",\"PubModel\":\"eCollection\",\"JCR\":\"\",\"JCRName\":\"\",\"Score\":null,\"Total\":0}","platform":"Semanticscholar","paperid":null,"PeriodicalName":"Case Reports in Emergency Medicine","FirstCategoryId":"1085","ListUrlMain":"https://doi.org/10.1155/2023/4950510","RegionNum":0,"RegionCategory":null,"ArticlePicture":[],"TitleCN":null,"AbstractTextCN":null,"PMCID":null,"EPubDate":"2023/1/1 0:00:00","PubModel":"eCollection","JCR":"","JCRName":"","Score":null,"Total":0}
引用次数: 0

摘要

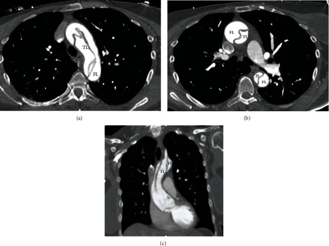
背景:主动脉夹层(AD)是主动脉内层撕裂的一种罕见但严重的急症。与男性相比,女性患主动脉夹层的几率较低,而且症状异常的主动脉夹层病例很难诊断。由于主动脉断裂的症状和心电图(ECG)变化可能与急性冠状动脉综合征相似,因此诊断主动脉断裂会变得更加复杂,而且在没有危险因素的情况下,很难将其与急性冠状动脉综合征区分开来。病例报告。本病例报告描述了一名 60 岁女性患者的异常症状,包括胸部、颈部、左臂和下肢疼痛。心电图(ECG)显示 aVR 和 V1 导联 ST 段抬高,下导联和侧导联出现严重的 ST 段压低和 T 波倒置,这可能与急性冠状动脉综合征相似。尽管最初使用硝酸甘油进行了治疗,但患者的疼痛还是加剧了,CT 血管造影显示 A 型主动脉夹层从主动脉根部延伸至右髂外动脉。建议立即进行手术,手术后患者的病情明显好转:结论:即使没有风险因素或可识别的症状,也要警惕主动脉夹层及其症状。如果出现心电图变化,应考虑将主动脉夹层作为潜在诊断。持续的教育有助于降低死亡率和提高认知度。
本文章由计算机程序翻译,如有差异,请以英文原文为准。

Spontaneous Extensive Type A Aortic Dissection in an Older Female with No Risk Factors: A Rare Clinical Presentation.

Spontaneous Extensive Type A Aortic Dissection in an Older Female with No Risk Factors: A Rare Clinical Presentation.

Spontaneous Extensive Type A Aortic Dissection in an Older Female with No Risk Factors: A Rare Clinical Presentation.

Spontaneous Extensive Type A Aortic Dissection in an Older Female with No Risk Factors: A Rare Clinical Presentation.

Background: Aortic dissection (AD) is a rare but serious medical emergency where the aorta's inner layer tears. Females are less likely to develop it than males, and AD cases with unusual symptoms can be hard to diagnose. Diagnosing AD can be further complicated as its symptoms and electrocardiogram (ECG) changes can mimic acute coronary syndrome, and it is challenging to distinguish it without risk factors. Case Report. This case report describes a 60-year-old female patient who presented with unusual symptoms, including pain in her chest, neck, left arm, and lower extremities. An electrocardiogram (ECG) revealed ST elevation in leads aVR and V1, as well as severe ST depression and T wave inversion in the inferior and lateral leads, which can mimic acute coronary syndrome. Despite initial treatment with nitroglycerin, the patient's pain worsened, and a CT angiography revealed type A aortic dissection extending from the aortic root to the right external iliac artery. Immediate surgery was recommended, which significantly improved the patient's condition.

Conclusions: Be aware of aortic dissection and its symptoms, even if there are no risk factors or recognizable symptoms. Consider aortic dissection as a potential diagnosis if ECG changes are present. Ongoing education can help decrease mortality and increase awareness.

求助全文
通过发布文献求助,成功后即可免费获取论文全文。 去求助
来源期刊
自引率
0.00%
发文量
8
审稿时长
12 weeks
×
引用
GB/T 7714-2015
复制
MLA
复制
APA
复制
导出至
BibTeX EndNote RefMan NoteFirst NoteExpress
×
提示
您的信息不完整,为了账户安全,请先补充。
现在去补充
×
提示
您因"违规操作"
具体请查看互助需知
我知道了
×
提示
确定
请完成安全验证×
copy
已复制链接
快去分享给好友吧!
我知道了
右上角分享
点击右上角分享
0
联系我们:info@booksci.cn Book学术提供免费学术资源搜索服务,方便国内外学者检索中英文文献。致力于提供最便捷和优质的服务体验。 Copyright © 2023 布克学术 All rights reserved.
京ICP备2023020795号-1
ghs 京公网安备 11010802042870号
Book学术文献互助
Book学术文献互助群
群 号:604180095
Book学术官方微信