用端对端原位搭桥术治疗小脑后下动脉(PICA)动脉瘤破裂:病例报告。

Lívio Pereira de Macêdo, Delson Culembe Baptista-André, Arlindo Ugulino-Netto, Kauê Franke, Pierre Vansant Oliveira Eugênio, Auricélio Batista Cezar-Junior, Igor Vilela Faquini, Eduardo Vieira de Carvalho-Júnior, Nivaldo S Almeida, Hildo Rocha Cirne Azevedo-Filho
{"title":"用端对端原位搭桥术治疗小脑后下动脉(PICA)动脉瘤破裂:病例报告。","authors":"Lívio Pereira de Macêdo, Delson Culembe Baptista-André, Arlindo Ugulino-Netto, Kauê Franke, Pierre Vansant Oliveira Eugênio, Auricélio Batista Cezar-Junior, Igor Vilela Faquini, Eduardo Vieira de Carvalho-Júnior, Nivaldo S Almeida, Hildo Rocha Cirne Azevedo-Filho","doi":"10.7461/jcen.2023.E2023.05.006","DOIUrl":null,"url":null,"abstract":"<p><p>Dissecting posterior inferior cerebellar artery (PICA) aneurysms are uncommon lesions. Their anatomy and the location of the dissection are variable, however, they usually occurs at the origin of the PICA. Dissecting PICA aneurysms generally have non-vascular morphology involving an entire segment of the artery and cannot be cut. Nevertheless, the detection of these vascular lesions has increased latterly, so it is necessary to recognize it and take the appropriate management modalities for these injuries. In this report, we describe a case of a 73-year-old male patient, who presented a history of severe headache, associated with neck stiffness, nausea, vomiting, dizziness, hypoactivity, mental confusion, and walking difficulty. Radiographic investigation with brain computed tomography (CT) showed mild bleeding in a pre-medullary and pre-pontine cistern, and cerebral angiogram showed a dissecting PICA aneurysm. Despite being a challenging treatment, microsurgery management was the chosen modality. It was performed an end-to-end anastomosis between the p2/p3 segments, showing to be effective with good clinical and radiographic outcomes. We discussed an unusual case, reviewing the current literature on clinical presentations, the angiographic characteristics of the dissecting aneurysms of PICA, and evaluating the clinical and angiographic results of patients undergoing microsurgical treatment.</p>","PeriodicalId":94072,"journal":{"name":"Journal of cerebrovascular and endovascular neurosurgery","volume":" ","pages":"216-222"},"PeriodicalIF":0.0000,"publicationDate":"2024-06-01","publicationTypes":"Journal Article","fieldsOfStudy":null,"isOpenAccess":false,"openAccessPdf":"https://www.ncbi.nlm.nih.gov/pmc/articles/PMC11220302/pdf/","citationCount":"0","resultStr":"{\"title\":\"Management of a ruptured posterior inferior cerebellar artery (PICA) aneurysm with end-to-end in situ bypass: Case report.\",\"authors\":\"Lívio Pereira de Macêdo, Delson Culembe Baptista-André, Arlindo Ugulino-Netto, Kauê Franke, Pierre Vansant Oliveira Eugênio, Auricélio Batista Cezar-Junior, Igor Vilela Faquini, Eduardo Vieira de Carvalho-Júnior, Nivaldo S Almeida, Hildo Rocha Cirne Azevedo-Filho\",\"doi\":\"10.7461/jcen.2023.E2023.05.006\",\"DOIUrl\":null,\"url\":null,\"abstract\":\"<p><p>Dissecting posterior inferior cerebellar artery (PICA) aneurysms are uncommon lesions. Their anatomy and the location of the dissection are variable, however, they usually occurs at the origin of the PICA. Dissecting PICA aneurysms generally have non-vascular morphology involving an entire segment of the artery and cannot be cut. Nevertheless, the detection of these vascular lesions has increased latterly, so it is necessary to recognize it and take the appropriate management modalities for these injuries. In this report, we describe a case of a 73-year-old male patient, who presented a history of severe headache, associated with neck stiffness, nausea, vomiting, dizziness, hypoactivity, mental confusion, and walking difficulty. Radiographic investigation with brain computed tomography (CT) showed mild bleeding in a pre-medullary and pre-pontine cistern, and cerebral angiogram showed a dissecting PICA aneurysm. Despite being a challenging treatment, microsurgery management was the chosen modality. It was performed an end-to-end anastomosis between the p2/p3 segments, showing to be effective with good clinical and radiographic outcomes. We discussed an unusual case, reviewing the current literature on clinical presentations, the angiographic characteristics of the dissecting aneurysms of PICA, and evaluating the clinical and angiographic results of patients undergoing microsurgical treatment.</p>\",\"PeriodicalId\":94072,\"journal\":{\"name\":\"Journal of cerebrovascular and endovascular neurosurgery\",\"volume\":\" \",\"pages\":\"216-222\"},\"PeriodicalIF\":0.0000,\"publicationDate\":\"2024-06-01\",\"publicationTypes\":\"Journal Article\",\"fieldsOfStudy\":null,\"isOpenAccess\":false,\"openAccessPdf\":\"https://www.ncbi.nlm.nih.gov/pmc/articles/PMC11220302/pdf/\",\"citationCount\":\"0\",\"resultStr\":null,\"platform\":\"Semanticscholar\",\"paperid\":null,\"PeriodicalName\":\"Journal of cerebrovascular and endovascular neurosurgery\",\"FirstCategoryId\":\"1085\",\"ListUrlMain\":\"https://doi.org/10.7461/jcen.2023.E2023.05.006\",\"RegionNum\":0,\"RegionCategory\":null,\"ArticlePicture\":[],\"TitleCN\":null,\"AbstractTextCN\":null,\"PMCID\":null,\"EPubDate\":\"2023/12/28 0:00:00\",\"PubModel\":\"Epub\",\"JCR\":\"\",\"JCRName\":\"\",\"Score\":null,\"Total\":0}","platform":"Semanticscholar","paperid":null,"PeriodicalName":"Journal of cerebrovascular and endovascular neurosurgery","FirstCategoryId":"1085","ListUrlMain":"https://doi.org/10.7461/jcen.2023.E2023.05.006","RegionNum":0,"RegionCategory":null,"ArticlePicture":[],"TitleCN":null,"AbstractTextCN":null,"PMCID":null,"EPubDate":"2023/12/28 0:00:00","PubModel":"Epub","JCR":"","JCRName":"","Score":null,"Total":0}
引用次数: 0

摘要

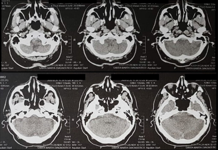
小脑后下动脉(PICA)夹层动脉瘤是一种不常见的病变。其解剖结构和夹层位置各不相同,但通常发生在小脑后下动脉的起源部位。夹层的 PICA 动脉瘤通常无血管形态,涉及整个动脉段,无法切开。尽管如此,近年来这类血管性病变的发现率有所上升,因此有必要对其进行识别,并采取适当的处理方式。在本报告中,我们描述了一例 73 岁的男性患者,他有严重的头痛病史,伴有颈部僵硬、恶心、呕吐、头晕、活动不足、精神错乱和行走困难。通过脑计算机断层扫描(CT)进行的放射学检查显示,髓质前和桥脑前海绵体有轻微出血,脑血管造影显示有一个剥脱性 PICA 动脉瘤。尽管治疗难度很大,但患者还是选择了显微手术治疗。手术在 P2/3 节段之间进行了端对端吻合,临床和影像学效果良好。我们讨论了这个不寻常的病例,回顾了有关临床表现、PICA 夹层动脉瘤血管造影特点的现有文献,并评估了接受显微手术治疗的患者的临床和血管造影结果。
本文章由计算机程序翻译,如有差异,请以英文原文为准。

Management of a ruptured posterior inferior cerebellar artery (PICA) aneurysm with end-to-end in situ bypass: Case report.

Management of a ruptured posterior inferior cerebellar artery (PICA) aneurysm with end-to-end in situ bypass: Case report.

Management of a ruptured posterior inferior cerebellar artery (PICA) aneurysm with end-to-end in situ bypass: Case report.

Management of a ruptured posterior inferior cerebellar artery (PICA) aneurysm with end-to-end in situ bypass: Case report.

Dissecting posterior inferior cerebellar artery (PICA) aneurysms are uncommon lesions. Their anatomy and the location of the dissection are variable, however, they usually occurs at the origin of the PICA. Dissecting PICA aneurysms generally have non-vascular morphology involving an entire segment of the artery and cannot be cut. Nevertheless, the detection of these vascular lesions has increased latterly, so it is necessary to recognize it and take the appropriate management modalities for these injuries. In this report, we describe a case of a 73-year-old male patient, who presented a history of severe headache, associated with neck stiffness, nausea, vomiting, dizziness, hypoactivity, mental confusion, and walking difficulty. Radiographic investigation with brain computed tomography (CT) showed mild bleeding in a pre-medullary and pre-pontine cistern, and cerebral angiogram showed a dissecting PICA aneurysm. Despite being a challenging treatment, microsurgery management was the chosen modality. It was performed an end-to-end anastomosis between the p2/p3 segments, showing to be effective with good clinical and radiographic outcomes. We discussed an unusual case, reviewing the current literature on clinical presentations, the angiographic characteristics of the dissecting aneurysms of PICA, and evaluating the clinical and angiographic results of patients undergoing microsurgical treatment.

求助全文
通过发布文献求助,成功后即可免费获取论文全文。 去求助
来源期刊
CiteScore
1.10
自引率
0.00%
发文量
0
×
引用
GB/T 7714-2015
复制
MLA
复制
APA
复制
导出至
BibTeX EndNote RefMan NoteFirst NoteExpress
×
提示
您的信息不完整,为了账户安全,请先补充。
现在去补充
×
提示
您因"违规操作"
具体请查看互助需知
我知道了
×
提示
确定
请完成安全验证×
copy
已复制链接
快去分享给好友吧!
我知道了
右上角分享
点击右上角分享
0
联系我们:info@booksci.cn Book学术提供免费学术资源搜索服务,方便国内外学者检索中英文文献。致力于提供最便捷和优质的服务体验。 Copyright © 2023 布克学术 All rights reserved.
京ICP备2023020795号-1
ghs 京公网安备 11010802042870号
Book学术文献互助
Book学术文献互助群
群 号:604180095
Book学术官方微信