吸入七氟醚后肺泡弥漫性出血:吸入麻醉的罕见并发症。

IF 0.7 Q4 RESPIRATORY SYSTEM
Burcu Baran Ketencioğlu, Meliha Hastekkeşin, Nur Aleyna Yetkin, Nuri Tutar
{"title":"吸入七氟醚后肺泡弥漫性出血:吸入麻醉的罕见并发症。","authors":"Burcu Baran Ketencioğlu, Meliha Hastekkeşin, Nur Aleyna Yetkin, Nuri Tutar","doi":"10.5578/tt.20239611","DOIUrl":null,"url":null,"abstract":"<p><p>Sevoflurane is a commonly used inhalational anesthetic agent for inducing and maintaining general anesthesia. However, it has been associated with a rare but serious pulmonary condition known as diffuse alveolar hemorrhage (DAH). DAH is characterized by decreased hemoglobin levels, diffuse pulmonary infiltration, and respiratory failure with hypoxemia. We present a case of DAH in a healthy young adult who experienced this condition following general anesthesia with inhaled sevoflurane during an uncomplicated orthopedic procedure. Notably, there were no other risk factors or known causes that could account for the development of DAH in this patient.</p>","PeriodicalId":45521,"journal":{"name":"Tuberkuloz ve Toraks-Tuberculosis and Thorax","volume":"71 4","pages":"428-432"},"PeriodicalIF":0.7000,"publicationDate":"2023-12-01","publicationTypes":"Journal Article","fieldsOfStudy":null,"isOpenAccess":false,"openAccessPdf":"https://www.ncbi.nlm.nih.gov/pmc/articles/PMC11390084/pdf/","citationCount":"0","resultStr":"{\"title\":\"Diffuse alveolar hemorrhage following inhaled sevoflurane: A rare complication of inhalational anesthesia.\",\"authors\":\"Burcu Baran Ketencioğlu, Meliha Hastekkeşin, Nur Aleyna Yetkin, Nuri Tutar\",\"doi\":\"10.5578/tt.20239611\",\"DOIUrl\":null,\"url\":null,\"abstract\":\"<p><p>Sevoflurane is a commonly used inhalational anesthetic agent for inducing and maintaining general anesthesia. However, it has been associated with a rare but serious pulmonary condition known as diffuse alveolar hemorrhage (DAH). DAH is characterized by decreased hemoglobin levels, diffuse pulmonary infiltration, and respiratory failure with hypoxemia. We present a case of DAH in a healthy young adult who experienced this condition following general anesthesia with inhaled sevoflurane during an uncomplicated orthopedic procedure. Notably, there were no other risk factors or known causes that could account for the development of DAH in this patient.</p>\",\"PeriodicalId\":45521,\"journal\":{\"name\":\"Tuberkuloz ve Toraks-Tuberculosis and Thorax\",\"volume\":\"71 4\",\"pages\":\"428-432\"},\"PeriodicalIF\":0.7000,\"publicationDate\":\"2023-12-01\",\"publicationTypes\":\"Journal Article\",\"fieldsOfStudy\":null,\"isOpenAccess\":false,\"openAccessPdf\":\"https://www.ncbi.nlm.nih.gov/pmc/articles/PMC11390084/pdf/\",\"citationCount\":\"0\",\"resultStr\":null,\"platform\":\"Semanticscholar\",\"paperid\":null,\"PeriodicalName\":\"Tuberkuloz ve Toraks-Tuberculosis and Thorax\",\"FirstCategoryId\":\"1085\",\"ListUrlMain\":\"https://doi.org/10.5578/tt.20239611\",\"RegionNum\":0,\"RegionCategory\":null,\"ArticlePicture\":[],\"TitleCN\":null,\"AbstractTextCN\":null,\"PMCID\":null,\"EPubDate\":\"\",\"PubModel\":\"\",\"JCR\":\"Q4\",\"JCRName\":\"RESPIRATORY SYSTEM\",\"Score\":null,\"Total\":0}","platform":"Semanticscholar","paperid":null,"PeriodicalName":"Tuberkuloz ve Toraks-Tuberculosis and Thorax","FirstCategoryId":"1085","ListUrlMain":"https://doi.org/10.5578/tt.20239611","RegionNum":0,"RegionCategory":null,"ArticlePicture":[],"TitleCN":null,"AbstractTextCN":null,"PMCID":null,"EPubDate":"","PubModel":"","JCR":"Q4","JCRName":"RESPIRATORY SYSTEM","Score":null,"Total":0}
引用次数: 0

摘要

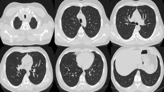
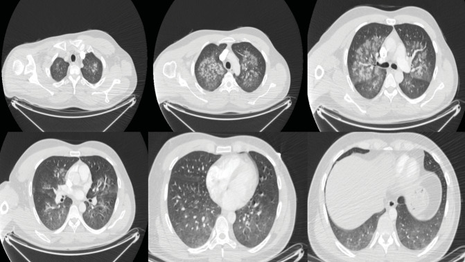
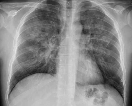
七氟醚是一种常用的吸入麻醉剂,用于诱导和维持全身麻醉。然而,它与一种罕见但严重的肺部疾病--弥漫性肺泡出血(DAH)--有关。弥漫性肺泡出血的特点是血红蛋白水平下降、弥漫性肺浸润以及伴有低氧血症的呼吸衰竭。我们介绍了一例在一次并不复杂的骨科手术中使用吸入七氟醚进行全身麻醉后出现 DAH 的健康年轻成人。值得注意的是,该患者没有其他风险因素或已知病因可能导致 DAH 的发生。
本文章由计算机程序翻译,如有差异,请以英文原文为准。

Diffuse alveolar hemorrhage following inhaled sevoflurane: A rare complication of inhalational anesthesia.

Diffuse alveolar hemorrhage following inhaled sevoflurane: A rare complication of inhalational anesthesia.

Diffuse alveolar hemorrhage following inhaled sevoflurane: A rare complication of inhalational anesthesia.

Diffuse alveolar hemorrhage following inhaled sevoflurane: A rare complication of inhalational anesthesia.

Sevoflurane is a commonly used inhalational anesthetic agent for inducing and maintaining general anesthesia. However, it has been associated with a rare but serious pulmonary condition known as diffuse alveolar hemorrhage (DAH). DAH is characterized by decreased hemoglobin levels, diffuse pulmonary infiltration, and respiratory failure with hypoxemia. We present a case of DAH in a healthy young adult who experienced this condition following general anesthesia with inhaled sevoflurane during an uncomplicated orthopedic procedure. Notably, there were no other risk factors or known causes that could account for the development of DAH in this patient.

求助全文
通过发布文献求助,成功后即可免费获取论文全文。 去求助
来源期刊
CiteScore
1.50
自引率
9.10%
发文量
43
×
引用
GB/T 7714-2015
复制
MLA
复制
APA
复制
导出至
BibTeX EndNote RefMan NoteFirst NoteExpress
×
提示
您的信息不完整,为了账户安全,请先补充。
现在去补充
×
提示
您因"违规操作"
具体请查看互助需知
我知道了
×
提示
确定
请完成安全验证×
copy
已复制链接
快去分享给好友吧!
我知道了
右上角分享
点击右上角分享
0
联系我们:info@booksci.cn Book学术提供免费学术资源搜索服务,方便国内外学者检索中英文文献。致力于提供最便捷和优质的服务体验。 Copyright © 2023 布克学术 All rights reserved.
京ICP备2023020795号-1
ghs 京公网安备 11010802042870号
Book学术文献互助
Book学术文献互助群
群 号:604180095
Book学术官方微信