利用 POCUS 优化高危多胎妊娠护理 - 四胞胎妊娠早期诊断案例。

POCUS journal Pub Date : 2023-11-27 eCollection Date: 2023-01-01 DOI:10.24908/pocus.v8i2.16562
Bernardo Vidal Pimentel, Christopher Tsoutsoulas, Kristin Lythgoe, Frank Myslik
{"title":"利用 POCUS 优化高危多胎妊娠护理 - 四胞胎妊娠早期诊断案例。","authors":"Bernardo Vidal Pimentel, Christopher Tsoutsoulas, Kristin Lythgoe, Frank Myslik","doi":"10.24908/pocus.v8i2.16562","DOIUrl":null,"url":null,"abstract":"<p><p>Managing multiple pregnancies is challenging and requires careful evaluation. Point of care ultrasound (POCUS) has emerged as a potentially crucial tool in assessing suspected first-trimester pregnancies. However, its role in evaluating multiple pregnancies remains uncertain. We present the case of a 36-year-old Ghanaian female who presented with acute vaginal bleeding after undergoing in vitro fertilization. A bedside transabdominal POCUS identified four intrauterine gestations with fetal poles and cardiac activity, suggesting a quadruplet viable pregnancy. A subsequent transvaginal ultrasound confirmed the findings. The patient was discharged with a follow-up appointment with an Obstetrician-Gynecologist. This case highlights the significance of POCUS in early pregnancy diagnosis, facilitating accurate identification and appropriate referral for further management. It also demonstrates the utility of POCUS in determining gestational age and viability. To our knowledge, no published case reports specifically address the diagnosis of a quadruplet pregnancy, emphasizing the role of POCUS in optimizing care for high-risk multiple pregnancies.</p>","PeriodicalId":74470,"journal":{"name":"POCUS journal","volume":"8 2","pages":"126-128"},"PeriodicalIF":0.0000,"publicationDate":"2023-11-27","publicationTypes":"Journal Article","fieldsOfStudy":null,"isOpenAccess":false,"openAccessPdf":"https://www.ncbi.nlm.nih.gov/pmc/articles/PMC10721298/pdf/","citationCount":"0","resultStr":"{\"title\":\"Optimizing Care for High-Risk Multiple Pregnancy with POCUS - A Case of Quadruplet Pregnancy Early Diagnosis.\",\"authors\":\"Bernardo Vidal Pimentel, Christopher Tsoutsoulas, Kristin Lythgoe, Frank Myslik\",\"doi\":\"10.24908/pocus.v8i2.16562\",\"DOIUrl\":null,\"url\":null,\"abstract\":\"<p><p>Managing multiple pregnancies is challenging and requires careful evaluation. Point of care ultrasound (POCUS) has emerged as a potentially crucial tool in assessing suspected first-trimester pregnancies. However, its role in evaluating multiple pregnancies remains uncertain. We present the case of a 36-year-old Ghanaian female who presented with acute vaginal bleeding after undergoing in vitro fertilization. A bedside transabdominal POCUS identified four intrauterine gestations with fetal poles and cardiac activity, suggesting a quadruplet viable pregnancy. A subsequent transvaginal ultrasound confirmed the findings. The patient was discharged with a follow-up appointment with an Obstetrician-Gynecologist. This case highlights the significance of POCUS in early pregnancy diagnosis, facilitating accurate identification and appropriate referral for further management. It also demonstrates the utility of POCUS in determining gestational age and viability. To our knowledge, no published case reports specifically address the diagnosis of a quadruplet pregnancy, emphasizing the role of POCUS in optimizing care for high-risk multiple pregnancies.</p>\",\"PeriodicalId\":74470,\"journal\":{\"name\":\"POCUS journal\",\"volume\":\"8 2\",\"pages\":\"126-128\"},\"PeriodicalIF\":0.0000,\"publicationDate\":\"2023-11-27\",\"publicationTypes\":\"Journal Article\",\"fieldsOfStudy\":null,\"isOpenAccess\":false,\"openAccessPdf\":\"https://www.ncbi.nlm.nih.gov/pmc/articles/PMC10721298/pdf/\",\"citationCount\":\"0\",\"resultStr\":null,\"platform\":\"Semanticscholar\",\"paperid\":null,\"PeriodicalName\":\"POCUS journal\",\"FirstCategoryId\":\"1085\",\"ListUrlMain\":\"https://doi.org/10.24908/pocus.v8i2.16562\",\"RegionNum\":0,\"RegionCategory\":null,\"ArticlePicture\":[],\"TitleCN\":null,\"AbstractTextCN\":null,\"PMCID\":null,\"EPubDate\":\"2023/1/1 0:00:00\",\"PubModel\":\"eCollection\",\"JCR\":\"\",\"JCRName\":\"\",\"Score\":null,\"Total\":0}","platform":"Semanticscholar","paperid":null,"PeriodicalName":"POCUS journal","FirstCategoryId":"1085","ListUrlMain":"https://doi.org/10.24908/pocus.v8i2.16562","RegionNum":0,"RegionCategory":null,"ArticlePicture":[],"TitleCN":null,"AbstractTextCN":null,"PMCID":null,"EPubDate":"2023/1/1 0:00:00","PubModel":"eCollection","JCR":"","JCRName":"","Score":null,"Total":0}
引用次数: 0

摘要

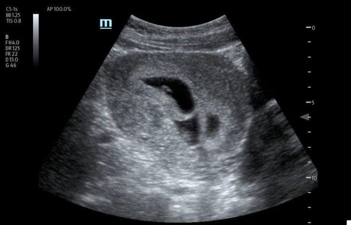
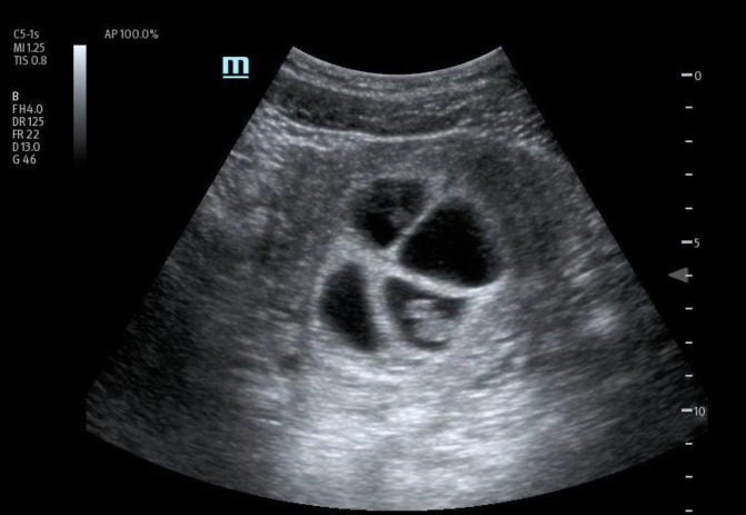
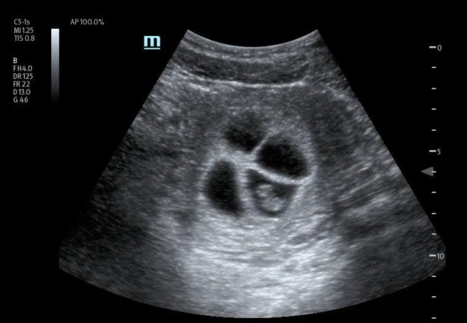
处理多胎妊娠具有挑战性,需要仔细评估。护理点超声检查(POCUS)已成为评估疑似头胎妊娠的潜在重要工具。然而,它在评估多胎妊娠中的作用仍不确定。我们介绍了一例 36 岁加纳女性的病例,她在接受体外受精后出现急性阴道出血。床旁经腹 POCUS 检查发现有四个宫内妊娠,胎儿有胎儿极和心脏活动,提示为四胞胎可存活妊娠。随后的经阴道超声检查证实了这一结果。患者出院后与妇产科医生进行了复诊。本病例强调了 POCUS 在早孕诊断中的重要性,有助于准确识别和适当转诊,以便进一步处理。它还证明了 POCUS 在确定孕龄和胎儿存活率方面的实用性。据我们所知,目前还没有发表过专门针对四胞胎妊娠诊断的病例报告,这强调了 POCUS 在优化高危多胎妊娠护理中的作用。
本文章由计算机程序翻译,如有差异,请以英文原文为准。

Optimizing Care for High-Risk Multiple Pregnancy with POCUS - A Case of Quadruplet Pregnancy Early Diagnosis.

Optimizing Care for High-Risk Multiple Pregnancy with POCUS - A Case of Quadruplet Pregnancy Early Diagnosis.

Optimizing Care for High-Risk Multiple Pregnancy with POCUS - A Case of Quadruplet Pregnancy Early Diagnosis.

Optimizing Care for High-Risk Multiple Pregnancy with POCUS - A Case of Quadruplet Pregnancy Early Diagnosis.

Managing multiple pregnancies is challenging and requires careful evaluation. Point of care ultrasound (POCUS) has emerged as a potentially crucial tool in assessing suspected first-trimester pregnancies. However, its role in evaluating multiple pregnancies remains uncertain. We present the case of a 36-year-old Ghanaian female who presented with acute vaginal bleeding after undergoing in vitro fertilization. A bedside transabdominal POCUS identified four intrauterine gestations with fetal poles and cardiac activity, suggesting a quadruplet viable pregnancy. A subsequent transvaginal ultrasound confirmed the findings. The patient was discharged with a follow-up appointment with an Obstetrician-Gynecologist. This case highlights the significance of POCUS in early pregnancy diagnosis, facilitating accurate identification and appropriate referral for further management. It also demonstrates the utility of POCUS in determining gestational age and viability. To our knowledge, no published case reports specifically address the diagnosis of a quadruplet pregnancy, emphasizing the role of POCUS in optimizing care for high-risk multiple pregnancies.

求助全文
通过发布文献求助,成功后即可免费获取论文全文。 去求助
来源期刊
自引率
0.00%
发文量
0
×
引用
GB/T 7714-2015
复制
MLA
复制
APA
复制
导出至
BibTeX EndNote RefMan NoteFirst NoteExpress
×
提示
您的信息不完整,为了账户安全,请先补充。
现在去补充
×
提示
您因"违规操作"
具体请查看互助需知
我知道了
×
提示
确定
请完成安全验证×
copy
已复制链接
快去分享给好友吧!
我知道了
右上角分享
点击右上角分享
0
联系我们:info@booksci.cn Book学术提供免费学术资源搜索服务,方便国内外学者检索中英文文献。致力于提供最便捷和优质的服务体验。 Copyright © 2023 布克学术 All rights reserved.
京ICP备2023020795号-1
ghs 京公网安备 11010802042870号
Book学术文献互助
Book学术文献互助群
群 号:604180095
Book学术官方微信