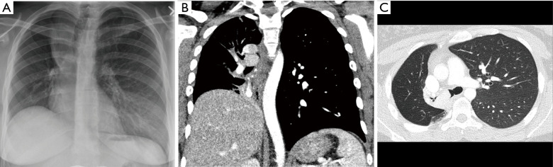
恶性中央气道阻塞概述。

Mediastinum (Hong Kong, China) Pub Date : 2023-07-11 eCollection Date: 2023-01-01 DOI:10.21037/med-22-44
Rachel E Powers, Audra J Schwalk
{"title":"恶性中央气道阻塞概述。","authors":"Rachel E Powers, Audra J Schwalk","doi":"10.21037/med-22-44","DOIUrl":null,"url":null,"abstract":"<p><p>Malignant central airway obstruction (MCAO) impacts many patients with advanced primary lung cancers and metastatic disease to the thorax and may cause substantial symptoms and functional limitations in those affected. Making the diagnosis may be challenging as symptoms are often non-specific but identification is improved with a heightened level of suspicion and newer thoracic imaging modalities. Bronchoscopy plays a crucial role in the diagnosis and management of MCAO and therapeutic interventions may be lifesaving and result in palliation of symptoms. This may ultimately improve a patient's candidacy to receive additional systemic or local cancer therapies or potential tumor resection. After initial stabilization, it is important that patients with MCAO undergo prompt evaluation and treatment. Multiple bronchoscopic instruments are available for management depending on tumor characteristics, location of the obstruction, and viability of distal airways, and may be utilized in combination during therapeutic procedures. These modalities include dilation, endobronchial stent placement, thermal and non-thermal ablation, mechanical debulking, and novel endobronchial therapies. While these procedures are not without risk, there is ample evidence showing improvements in patient symptoms, quality of life, and survival following therapeutic bronchoscopy. This review article provides a general overview of the diagnosis and management of MCAO with a focus on bronchoscopic interventions.</p>","PeriodicalId":74139,"journal":{"name":"Mediastinum (Hong Kong, China)","volume":"7 ","pages":"32"},"PeriodicalIF":0.0000,"publicationDate":"2023-07-11","publicationTypes":"Journal Article","fieldsOfStudy":null,"isOpenAccess":false,"openAccessPdf":"https://www.ncbi.nlm.nih.gov/pmc/articles/PMC10713238/pdf/","citationCount":"0","resultStr":"{\"title\":\"Overview of malignant central airway obstruction.\",\"authors\":\"Rachel E Powers, Audra J Schwalk\",\"doi\":\"10.21037/med-22-44\",\"DOIUrl\":null,\"url\":null,\"abstract\":\"<p><p>Malignant central airway obstruction (MCAO) impacts many patients with advanced primary lung cancers and metastatic disease to the thorax and may cause substantial symptoms and functional limitations in those affected. Making the diagnosis may be challenging as symptoms are often non-specific but identification is improved with a heightened level of suspicion and newer thoracic imaging modalities. Bronchoscopy plays a crucial role in the diagnosis and management of MCAO and therapeutic interventions may be lifesaving and result in palliation of symptoms. This may ultimately improve a patient's candidacy to receive additional systemic or local cancer therapies or potential tumor resection. After initial stabilization, it is important that patients with MCAO undergo prompt evaluation and treatment. Multiple bronchoscopic instruments are available for management depending on tumor characteristics, location of the obstruction, and viability of distal airways, and may be utilized in combination during therapeutic procedures. These modalities include dilation, endobronchial stent placement, thermal and non-thermal ablation, mechanical debulking, and novel endobronchial therapies. While these procedures are not without risk, there is ample evidence showing improvements in patient symptoms, quality of life, and survival following therapeutic bronchoscopy. This review article provides a general overview of the diagnosis and management of MCAO with a focus on bronchoscopic interventions.</p>\",\"PeriodicalId\":74139,\"journal\":{\"name\":\"Mediastinum (Hong Kong, China)\",\"volume\":\"7 \",\"pages\":\"32\"},\"PeriodicalIF\":0.0000,\"publicationDate\":\"2023-07-11\",\"publicationTypes\":\"Journal Article\",\"fieldsOfStudy\":null,\"isOpenAccess\":false,\"openAccessPdf\":\"https://www.ncbi.nlm.nih.gov/pmc/articles/PMC10713238/pdf/\",\"citationCount\":\"0\",\"resultStr\":null,\"platform\":\"Semanticscholar\",\"paperid\":null,\"PeriodicalName\":\"Mediastinum (Hong Kong, China)\",\"FirstCategoryId\":\"1085\",\"ListUrlMain\":\"https://doi.org/10.21037/med-22-44\",\"RegionNum\":0,\"RegionCategory\":null,\"ArticlePicture\":[],\"TitleCN\":null,\"AbstractTextCN\":null,\"PMCID\":null,\"EPubDate\":\"2023/1/1 0:00:00\",\"PubModel\":\"eCollection\",\"JCR\":\"\",\"JCRName\":\"\",\"Score\":null,\"Total\":0}","platform":"Semanticscholar","paperid":null,"PeriodicalName":"Mediastinum (Hong Kong, China)","FirstCategoryId":"1085","ListUrlMain":"https://doi.org/10.21037/med-22-44","RegionNum":0,"RegionCategory":null,"ArticlePicture":[],"TitleCN":null,"AbstractTextCN":null,"PMCID":null,"EPubDate":"2023/1/1 0:00:00","PubModel":"eCollection","JCR":"","JCRName":"","Score":null,"Total":0}
引用次数: 0

摘要

恶性中央气道阻塞(MCAO)影响着许多晚期原发性肺癌和胸腔转移性疾病患者,并可能导致患者出现严重症状和功能受限。由于症状通常不具有特异性,因此诊断可能具有挑战性,但随着怀疑程度的提高和新的胸部成像模式的出现,诊断率有所提高。支气管镜检查在 MCAO 的诊断和管理中起着至关重要的作用,治疗干预可能会挽救生命并缓解症状。这可能最终改善患者接受其他系统或局部癌症疗法或潜在肿瘤切除术的可能性。在病情初步稳定后,MCAO 患者必须及时接受评估和治疗。根据肿瘤特征、阻塞位置和远端气道的可行性,可使用多种支气管镜器械进行治疗,并可在治疗过程中结合使用。这些方式包括扩张、支气管内支架置入、热消融和非热消融、机械清创和新型支气管内治疗。虽然这些手术并非没有风险,但有大量证据显示,治疗性支气管镜手术后患者的症状、生活质量和存活率都有所改善。这篇综述文章概述了 MCAO 的诊断和治疗,重点是支气管镜干预。
本文章由计算机程序翻译,如有差异,请以英文原文为准。

Overview of malignant central airway obstruction.

Overview of malignant central airway obstruction.

Overview of malignant central airway obstruction.

Overview of malignant central airway obstruction.

Malignant central airway obstruction (MCAO) impacts many patients with advanced primary lung cancers and metastatic disease to the thorax and may cause substantial symptoms and functional limitations in those affected. Making the diagnosis may be challenging as symptoms are often non-specific but identification is improved with a heightened level of suspicion and newer thoracic imaging modalities. Bronchoscopy plays a crucial role in the diagnosis and management of MCAO and therapeutic interventions may be lifesaving and result in palliation of symptoms. This may ultimately improve a patient's candidacy to receive additional systemic or local cancer therapies or potential tumor resection. After initial stabilization, it is important that patients with MCAO undergo prompt evaluation and treatment. Multiple bronchoscopic instruments are available for management depending on tumor characteristics, location of the obstruction, and viability of distal airways, and may be utilized in combination during therapeutic procedures. These modalities include dilation, endobronchial stent placement, thermal and non-thermal ablation, mechanical debulking, and novel endobronchial therapies. While these procedures are not without risk, there is ample evidence showing improvements in patient symptoms, quality of life, and survival following therapeutic bronchoscopy. This review article provides a general overview of the diagnosis and management of MCAO with a focus on bronchoscopic interventions.

求助全文
通过发布文献求助,成功后即可免费获取论文全文。 去求助
来源期刊
CiteScore
1.20
自引率
0.00%
发文量
0
×
引用
GB/T 7714-2015
复制
MLA
复制
APA
复制
导出至
BibTeX EndNote RefMan NoteFirst NoteExpress
×
提示
您的信息不完整,为了账户安全,请先补充。
现在去补充
×
提示
您因"违规操作"
具体请查看互助需知
我知道了
×
提示
确定
请完成安全验证×
copy
已复制链接
快去分享给好友吧!
我知道了
右上角分享
点击右上角分享
0
联系我们:info@booksci.cn Book学术提供免费学术资源搜索服务,方便国内外学者检索中英文文献。致力于提供最便捷和优质的服务体验。 Copyright © 2023 布克学术 All rights reserved.
京ICP备2023020795号-1
ghs 京公网安备 11010802042870号
Book学术文献互助
Book学术文献互助群
群 号:604180095
Book学术官方微信