体感觉皮质损伤患者同侧红核代偿性亢进1例报告。

Brain & NeuroRehabilitation Pub Date : 2023-11-06 eCollection Date: 2023-11-01 DOI:10.12786/bn.2023.16.e33
Jeongeun Lee, Eunjee Lee, Shahid Bashir, Gyu Jin Kim, Suk Hoon Ohn, Kwang-Ik Jung, Woo-Kyoung Yoo
{"title":"体感觉皮质损伤患者同侧红核代偿性亢进1例报告。","authors":"Jeongeun Lee, Eunjee Lee, Shahid Bashir, Gyu Jin Kim, Suk Hoon Ohn, Kwang-Ik Jung, Woo-Kyoung Yoo","doi":"10.12786/bn.2023.16.e33","DOIUrl":null,"url":null,"abstract":"<p><p>This case study describes a patient who experienced motor recovery and involuntary movements following damage to the right primary somatosensory cortex caused by an intracranial hemorrhage. The patient initially suffered from paralysis in her left arm and leg, but exhibited significant motor recovery later, accompanied by multiple episodes of ballistic movement during the recovery process. A diffusion tensor imaging analysis was performed to investigate changes in sensorimotor-related brain areas in the patient. The patient had higher fractional anisotropy and lower mean diffusivity values in the ipsilesional red nucleus (RN) than age-matched controls. We assume that hyperactivity of the ipsilesional RN might play a role in motor recovery after damage to the primary somatosensory cortex, potentially through its involvement in sensorimotor integration. Our findings demonstrated the potential for adaptive changes in the ipsilesional RN following damage to the primary somatosensory cortex.</p>","PeriodicalId":72442,"journal":{"name":"Brain & NeuroRehabilitation","volume":"16 3","pages":"e33"},"PeriodicalIF":0.0000,"publicationDate":"2023-11-06","publicationTypes":"Journal Article","fieldsOfStudy":null,"isOpenAccess":false,"openAccessPdf":"https://www.ncbi.nlm.nih.gov/pmc/articles/PMC10689868/pdf/","citationCount":"0","resultStr":"{\"title\":\"Compensatory Hyperactivity of the Ipsilesional Red Nucleus in a Patient With Somatosensory Cortex Damage: A Case Report.\",\"authors\":\"Jeongeun Lee, Eunjee Lee, Shahid Bashir, Gyu Jin Kim, Suk Hoon Ohn, Kwang-Ik Jung, Woo-Kyoung Yoo\",\"doi\":\"10.12786/bn.2023.16.e33\",\"DOIUrl\":null,\"url\":null,\"abstract\":\"<p><p>This case study describes a patient who experienced motor recovery and involuntary movements following damage to the right primary somatosensory cortex caused by an intracranial hemorrhage. The patient initially suffered from paralysis in her left arm and leg, but exhibited significant motor recovery later, accompanied by multiple episodes of ballistic movement during the recovery process. A diffusion tensor imaging analysis was performed to investigate changes in sensorimotor-related brain areas in the patient. The patient had higher fractional anisotropy and lower mean diffusivity values in the ipsilesional red nucleus (RN) than age-matched controls. We assume that hyperactivity of the ipsilesional RN might play a role in motor recovery after damage to the primary somatosensory cortex, potentially through its involvement in sensorimotor integration. Our findings demonstrated the potential for adaptive changes in the ipsilesional RN following damage to the primary somatosensory cortex.</p>\",\"PeriodicalId\":72442,\"journal\":{\"name\":\"Brain & NeuroRehabilitation\",\"volume\":\"16 3\",\"pages\":\"e33\"},\"PeriodicalIF\":0.0000,\"publicationDate\":\"2023-11-06\",\"publicationTypes\":\"Journal Article\",\"fieldsOfStudy\":null,\"isOpenAccess\":false,\"openAccessPdf\":\"https://www.ncbi.nlm.nih.gov/pmc/articles/PMC10689868/pdf/\",\"citationCount\":\"0\",\"resultStr\":null,\"platform\":\"Semanticscholar\",\"paperid\":null,\"PeriodicalName\":\"Brain & NeuroRehabilitation\",\"FirstCategoryId\":\"1085\",\"ListUrlMain\":\"https://doi.org/10.12786/bn.2023.16.e33\",\"RegionNum\":0,\"RegionCategory\":null,\"ArticlePicture\":[],\"TitleCN\":null,\"AbstractTextCN\":null,\"PMCID\":null,\"EPubDate\":\"2023/11/1 0:00:00\",\"PubModel\":\"eCollection\",\"JCR\":\"\",\"JCRName\":\"\",\"Score\":null,\"Total\":0}","platform":"Semanticscholar","paperid":null,"PeriodicalName":"Brain & NeuroRehabilitation","FirstCategoryId":"1085","ListUrlMain":"https://doi.org/10.12786/bn.2023.16.e33","RegionNum":0,"RegionCategory":null,"ArticlePicture":[],"TitleCN":null,"AbstractTextCN":null,"PMCID":null,"EPubDate":"2023/11/1 0:00:00","PubModel":"eCollection","JCR":"","JCRName":"","Score":null,"Total":0}
引用次数: 0

摘要

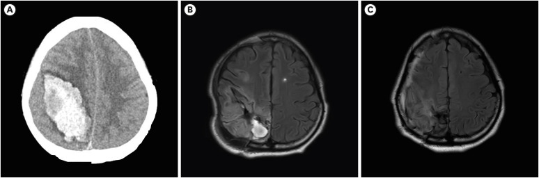
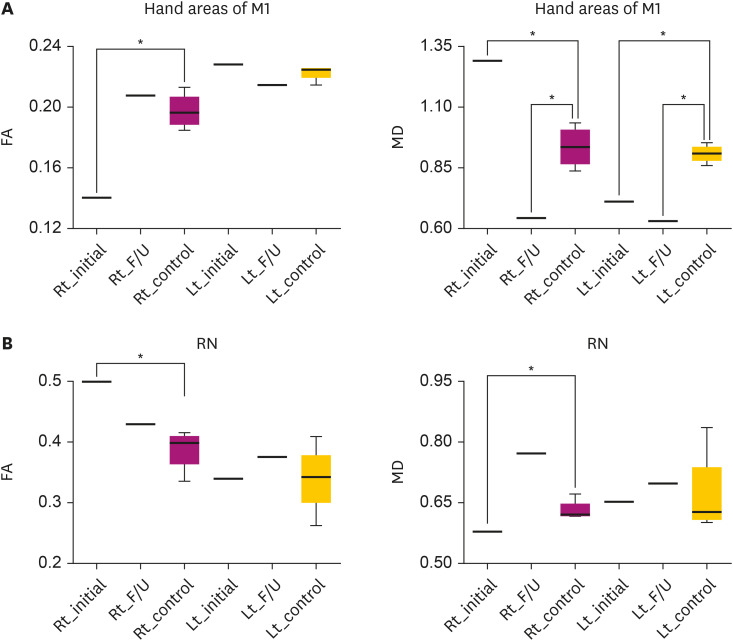
本病例研究描述了一位因颅内出血引起的右侧初级体感觉皮层损伤后出现运动恢复和不自主运动的患者。患者最初出现左臂和左腿麻痹,但后来表现出明显的运动恢复,在恢复过程中伴有多次弹道运动发作。通过弥散张量成像分析研究患者感觉运动相关脑区的变化。与年龄匹配的对照组相比,患者在同病灶红核(RN)中具有更高的分数各向异性和更低的平均扩散系数值。我们假设同侧侧皮质皮质的过度活跃可能在初级体感觉皮质受损后的运动恢复中发挥作用,可能通过其参与感觉运动整合。我们的研究结果表明,在初级体感觉皮层受损后,同侧侧RN可能发生适应性变化。
本文章由计算机程序翻译,如有差异,请以英文原文为准。

Compensatory Hyperactivity of the Ipsilesional Red Nucleus in a Patient With Somatosensory Cortex Damage: A Case Report.

Compensatory Hyperactivity of the Ipsilesional Red Nucleus in a Patient With Somatosensory Cortex Damage: A Case Report.

Compensatory Hyperactivity of the Ipsilesional Red Nucleus in a Patient With Somatosensory Cortex Damage: A Case Report.

This case study describes a patient who experienced motor recovery and involuntary movements following damage to the right primary somatosensory cortex caused by an intracranial hemorrhage. The patient initially suffered from paralysis in her left arm and leg, but exhibited significant motor recovery later, accompanied by multiple episodes of ballistic movement during the recovery process. A diffusion tensor imaging analysis was performed to investigate changes in sensorimotor-related brain areas in the patient. The patient had higher fractional anisotropy and lower mean diffusivity values in the ipsilesional red nucleus (RN) than age-matched controls. We assume that hyperactivity of the ipsilesional RN might play a role in motor recovery after damage to the primary somatosensory cortex, potentially through its involvement in sensorimotor integration. Our findings demonstrated the potential for adaptive changes in the ipsilesional RN following damage to the primary somatosensory cortex.

求助全文
通过发布文献求助,成功后即可免费获取论文全文。 去求助
来源期刊
自引率
0.00%
发文量
0
×
引用
GB/T 7714-2015
复制
MLA
复制
APA
复制
导出至
BibTeX EndNote RefMan NoteFirst NoteExpress
×
提示
您的信息不完整,为了账户安全,请先补充。
现在去补充
×
提示
您因"违规操作"
具体请查看互助需知
我知道了
×
提示
确定
请完成安全验证×
copy
已复制链接
快去分享给好友吧!
我知道了
右上角分享
点击右上角分享
0
联系我们:info@booksci.cn Book学术提供免费学术资源搜索服务,方便国内外学者检索中英文文献。致力于提供最便捷和优质的服务体验。 Copyright © 2023 布克学术 All rights reserved.
京ICP备2023020795号-1
ghs 京公网安备 11010802042870号
Book学术文献互助
Book学术文献互助群
群 号:604180095
Book学术官方微信