Acacetin通过TRAF6/NF-κB/COX2轴促进M2巨噬细胞极化,保护脓毒症诱导的急性肺损伤。

IF 2.8 4区 医学 Q3 BIOCHEMISTRY & MOLECULAR BIOLOGY
Innate Immunity Pub Date : 2024-01-01 Epub Date: 2023-12-03 DOI:10.1177/17534259231216852
Binbin Chang, Zhang Wang, Hui Cheng, Tingyuan Xu, Jieyu Chen, Wan Wu, Yizhi Li, Yong Zhang
{"title":"Acacetin通过TRAF6/NF-κB/COX2轴促进M2巨噬细胞极化,保护脓毒症诱导的急性肺损伤。","authors":"Binbin Chang, Zhang Wang, Hui Cheng, Tingyuan Xu, Jieyu Chen, Wan Wu, Yizhi Li, Yong Zhang","doi":"10.1177/17534259231216852","DOIUrl":null,"url":null,"abstract":"<p><p>Acute lung injury (ALI) is the leading cause of death in patients with sepsis syndrome and without effective protective or therapeutic treatments. Acacetin, a natural dietary flavonoid, reportedly exerts several biological effects, such as anti-tumor, anti-inflammatory, and anti-oxidative effects. However, acacetin's effect and underlying mechanism on sepsis-induced ALI remain unclear. Here, the mouse model was established to explore the impact of acacetin on sepsis-induced ALI. Acacetin significantly increased ALI murine survival and attenuated lung injury in histological examinations. Additionally, acacetin down-regulated myeloperoxidase activity, protein concentration, and number of neutrophils and macrophages in bronchoalveolar lavage fluid. Subsequently, inflammatory cytokines, including TNF-α, IL-1β, and IL-6, were examined. Results showed that acacetin dramatically suppressed the production of TNF-α, IL-1β, and IL-6. These above results indicated that acacetin attenuated sepsis-induced ALI by inhibiting the inflammatory response. Moreover, acacetin inhibited the expression of markers for M1-type (iNOS, CD86) macrophages and promoted the expression of markers for M2-type (CD206, Arg1) macrophages by western blot. In addition, acacetin down-regulated the expression TRAF6, NF-κB, and Cyclooxygenase-2 (COX2) by western blot. The high concentration of acacetin had a better effect than the low concentration. Besides, over-expression of TRAF6 up-regulated the expression of COX2, CD86, and iNOS, and the ratio of p-NF-κB to NF-κB increased the mRNA levels of TNF-α, IL-1β, and IL-6, down-regulated the expression of CD206 and Arg1. The effects of TRAF6 were the opposite of acacetin. And TRAF6 could offset the impact of acacetin. This study demonstrated that acacetin could prevent sepsis-induced ALI by facilitating M2 macrophage polarization via TRAF6/NF-κB/COX2 axis.</p>","PeriodicalId":13676,"journal":{"name":"Innate Immunity","volume":" ","pages":"11-20"},"PeriodicalIF":2.8000,"publicationDate":"2024-01-01","publicationTypes":"Journal Article","fieldsOfStudy":null,"isOpenAccess":false,"openAccessPdf":"https://www.ncbi.nlm.nih.gov/pmc/articles/PMC10720600/pdf/","citationCount":"0","resultStr":"{\"title\":\"Acacetin protects against sepsis-induced acute lung injury by facilitating M2 macrophage polarization via TRAF6/NF-κB/COX2 axis.\",\"authors\":\"Binbin Chang, Zhang Wang, Hui Cheng, Tingyuan Xu, Jieyu Chen, Wan Wu, Yizhi Li, Yong Zhang\",\"doi\":\"10.1177/17534259231216852\",\"DOIUrl\":null,\"url\":null,\"abstract\":\"<p><p>Acute lung injury (ALI) is the leading cause of death in patients with sepsis syndrome and without effective protective or therapeutic treatments. Acacetin, a natural dietary flavonoid, reportedly exerts several biological effects, such as anti-tumor, anti-inflammatory, and anti-oxidative effects. However, acacetin's effect and underlying mechanism on sepsis-induced ALI remain unclear. Here, the mouse model was established to explore the impact of acacetin on sepsis-induced ALI. Acacetin significantly increased ALI murine survival and attenuated lung injury in histological examinations. Additionally, acacetin down-regulated myeloperoxidase activity, protein concentration, and number of neutrophils and macrophages in bronchoalveolar lavage fluid. Subsequently, inflammatory cytokines, including TNF-α, IL-1β, and IL-6, were examined. Results showed that acacetin dramatically suppressed the production of TNF-α, IL-1β, and IL-6. These above results indicated that acacetin attenuated sepsis-induced ALI by inhibiting the inflammatory response. Moreover, acacetin inhibited the expression of markers for M1-type (iNOS, CD86) macrophages and promoted the expression of markers for M2-type (CD206, Arg1) macrophages by western blot. In addition, acacetin down-regulated the expression TRAF6, NF-κB, and Cyclooxygenase-2 (COX2) by western blot. The high concentration of acacetin had a better effect than the low concentration. Besides, over-expression of TRAF6 up-regulated the expression of COX2, CD86, and iNOS, and the ratio of p-NF-κB to NF-κB increased the mRNA levels of TNF-α, IL-1β, and IL-6, down-regulated the expression of CD206 and Arg1. The effects of TRAF6 were the opposite of acacetin. And TRAF6 could offset the impact of acacetin. This study demonstrated that acacetin could prevent sepsis-induced ALI by facilitating M2 macrophage polarization via TRAF6/NF-κB/COX2 axis.</p>\",\"PeriodicalId\":13676,\"journal\":{\"name\":\"Innate Immunity\",\"volume\":\" \",\"pages\":\"11-20\"},\"PeriodicalIF\":2.8000,\"publicationDate\":\"2024-01-01\",\"publicationTypes\":\"Journal Article\",\"fieldsOfStudy\":null,\"isOpenAccess\":false,\"openAccessPdf\":\"https://www.ncbi.nlm.nih.gov/pmc/articles/PMC10720600/pdf/\",\"citationCount\":\"0\",\"resultStr\":null,\"platform\":\"Semanticscholar\",\"paperid\":null,\"PeriodicalName\":\"Innate Immunity\",\"FirstCategoryId\":\"99\",\"ListUrlMain\":\"https://doi.org/10.1177/17534259231216852\",\"RegionNum\":4,\"RegionCategory\":\"医学\",\"ArticlePicture\":[],\"TitleCN\":null,\"AbstractTextCN\":null,\"PMCID\":null,\"EPubDate\":\"2023/12/3 0:00:00\",\"PubModel\":\"Epub\",\"JCR\":\"Q3\",\"JCRName\":\"BIOCHEMISTRY & MOLECULAR BIOLOGY\",\"Score\":null,\"Total\":0}","platform":"Semanticscholar","paperid":null,"PeriodicalName":"Innate Immunity","FirstCategoryId":"99","ListUrlMain":"https://doi.org/10.1177/17534259231216852","RegionNum":4,"RegionCategory":"医学","ArticlePicture":[],"TitleCN":null,"AbstractTextCN":null,"PMCID":null,"EPubDate":"2023/12/3 0:00:00","PubModel":"Epub","JCR":"Q3","JCRName":"BIOCHEMISTRY & MOLECULAR BIOLOGY","Score":null,"Total":0}
引用次数: 0

摘要

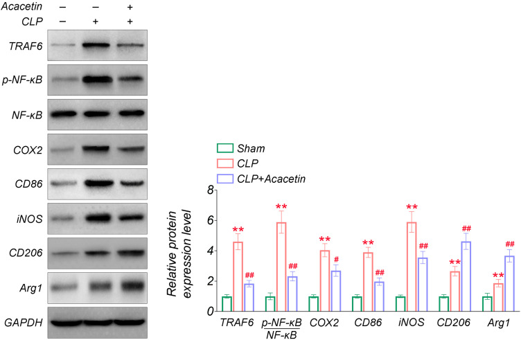
急性肺损伤(ALI)是脓毒症综合征患者死亡的主要原因,且没有有效的保护性或治疗性治疗。Acacetin是一种天然的膳食类黄酮,据报道具有抗肿瘤、抗炎和抗氧化等生物学效应。然而,阿曲素在脓毒症诱导ALI中的作用及其机制尚不清楚。本实验建立小鼠模型,探讨阿曲素对脓毒症ALI的影响。在组织学检查中,Acacetin显著提高了ALI小鼠的存活率,减轻了肺损伤。此外,阿卡乙酰素可下调支气管肺泡灌洗液中髓过氧化物酶活性、蛋白浓度、中性粒细胞和巨噬细胞数量。随后,检测炎症因子,包括TNF-α、IL-1β和IL-6。结果表明,阿曲素显著抑制TNF-α、IL-1β和IL-6的产生。上述结果表明,阿曲素通过抑制炎症反应来减轻脓毒症引起的ALI。western blot结果显示,阿卡乙酰素抑制m1型(iNOS、CD86)巨噬细胞标志物的表达,促进m2型(CD206、Arg1)巨噬细胞标志物的表达。western blot结果显示,acacetin可下调TRAF6、NF-κB、环氧合酶-2 (COX2)的表达。高浓度的阿曲素比低浓度的效果好。TRAF6过表达上调COX2、CD86、iNOS表达,p-NF-κB / NF-κB比值升高TNF-α、IL-1β、IL-6 mRNA水平,下调CD206、Arg1表达。TRAF6的作用与acacetin相反。TRAF6可以抵消acacetin的影响。本研究表明,阿卡乙酰素可能通过TRAF6/NF-κB/COX2轴促进M2巨噬细胞极化,从而预防脓毒症诱导的ALI。
本文章由计算机程序翻译,如有差异,请以英文原文为准。

Acacetin protects against sepsis-induced acute lung injury by facilitating M2 macrophage polarization via TRAF6/NF-κB/COX2 axis.

Acacetin protects against sepsis-induced acute lung injury by facilitating M2 macrophage polarization via TRAF6/NF-κB/COX2 axis.

Acacetin protects against sepsis-induced acute lung injury by facilitating M2 macrophage polarization via TRAF6/NF-κB/COX2 axis.

Acacetin protects against sepsis-induced acute lung injury by facilitating M2 macrophage polarization via TRAF6/NF-κB/COX2 axis.

Acute lung injury (ALI) is the leading cause of death in patients with sepsis syndrome and without effective protective or therapeutic treatments. Acacetin, a natural dietary flavonoid, reportedly exerts several biological effects, such as anti-tumor, anti-inflammatory, and anti-oxidative effects. However, acacetin's effect and underlying mechanism on sepsis-induced ALI remain unclear. Here, the mouse model was established to explore the impact of acacetin on sepsis-induced ALI. Acacetin significantly increased ALI murine survival and attenuated lung injury in histological examinations. Additionally, acacetin down-regulated myeloperoxidase activity, protein concentration, and number of neutrophils and macrophages in bronchoalveolar lavage fluid. Subsequently, inflammatory cytokines, including TNF-α, IL-1β, and IL-6, were examined. Results showed that acacetin dramatically suppressed the production of TNF-α, IL-1β, and IL-6. These above results indicated that acacetin attenuated sepsis-induced ALI by inhibiting the inflammatory response. Moreover, acacetin inhibited the expression of markers for M1-type (iNOS, CD86) macrophages and promoted the expression of markers for M2-type (CD206, Arg1) macrophages by western blot. In addition, acacetin down-regulated the expression TRAF6, NF-κB, and Cyclooxygenase-2 (COX2) by western blot. The high concentration of acacetin had a better effect than the low concentration. Besides, over-expression of TRAF6 up-regulated the expression of COX2, CD86, and iNOS, and the ratio of p-NF-κB to NF-κB increased the mRNA levels of TNF-α, IL-1β, and IL-6, down-regulated the expression of CD206 and Arg1. The effects of TRAF6 were the opposite of acacetin. And TRAF6 could offset the impact of acacetin. This study demonstrated that acacetin could prevent sepsis-induced ALI by facilitating M2 macrophage polarization via TRAF6/NF-κB/COX2 axis.

求助全文
通过发布文献求助,成功后即可免费获取论文全文。 去求助
来源期刊
Innate Immunity
Innate Immunity 生物-免疫学
CiteScore
7.20
自引率
0.00%
发文量
20
审稿时长
6-12 weeks
期刊介绍: Innate Immunity is a highly ranked, peer-reviewed scholarly journal and is the official journal of the International Endotoxin & Innate Immunity Society (IEIIS). The journal welcomes manuscripts from researchers actively working on all aspects of innate immunity including biologically active bacterial, viral, fungal, parasitic, and plant components, as well as relevant cells, their receptors, signaling pathways, and induced mediators. The aim of the Journal is to provide a single, interdisciplinary forum for the dissemination of new information on innate immunity in humans, animals, and plants to researchers. The Journal creates a vehicle for the publication of articles encompassing all areas of research, basic, applied, and clinical. The subject areas of interest include, but are not limited to, research in biochemistry, biophysics, cell biology, chemistry, clinical medicine, immunology, infectious disease, microbiology, molecular biology, and pharmacology.
×
引用
GB/T 7714-2015
复制
MLA
复制
APA
复制
导出至
BibTeX EndNote RefMan NoteFirst NoteExpress
×
提示
您的信息不完整,为了账户安全,请先补充。
现在去补充
×
提示
您因"违规操作"
具体请查看互助需知
我知道了
×
提示
确定
请完成安全验证×
copy
已复制链接
快去分享给好友吧!
我知道了
右上角分享
点击右上角分享
0
联系我们:info@booksci.cn Book学术提供免费学术资源搜索服务,方便国内外学者检索中英文文献。致力于提供最便捷和优质的服务体验。 Copyright © 2023 布克学术 All rights reserved.
京ICP备2023020795号-1
ghs 京公网安备 11010802042870号
Book学术文献互助
Book学术文献互助群
群 号:604180095
Book学术官方微信