垂体腺瘤切除术后单侧尾状核梗死。

Xavier Wong-Achi, Luis Rodriguez-Hernández, José Herrera-Castro, Marcos Sangrador-Deitos, Juan Luis Gómez-Amador, Ulises García-González
{"title":"垂体腺瘤切除术后单侧尾状核梗死。","authors":"Xavier Wong-Achi, Luis Rodriguez-Hernández, José Herrera-Castro, Marcos Sangrador-Deitos, Juan Luis Gómez-Amador, Ulises García-González","doi":"10.7461/jcen.2023.E2023.08.005","DOIUrl":null,"url":null,"abstract":"<p><p>Cerebral ischemic complications after pituitary surgery are not frequently reported. Multiple mechanisms have been proposed, including vasospasm, and delayed cerebral ischemia resulting from postoperative subarachnoid bleeding. Given the unknown etiology of vasospasm following these situations, little is known about its prevention. Through a case report and bibliographic review, the authors warn about the importance of recognizing key signs postoperatively that could indicate increased risk for cerebral vasospasm and must be recognized in a timely manner, with appropriate treatment strategies implemented once these symptoms present.</p>","PeriodicalId":94072,"journal":{"name":"Journal of cerebrovascular and endovascular neurosurgery","volume":" ","pages":"210-215"},"PeriodicalIF":0.0000,"publicationDate":"2024-06-01","publicationTypes":"Journal Article","fieldsOfStudy":null,"isOpenAccess":false,"openAccessPdf":"https://www.ncbi.nlm.nih.gov/pmc/articles/PMC11220296/pdf/","citationCount":"0","resultStr":"{\"title\":\"Unilateral caudate infarct following pituitary adenoma resection.\",\"authors\":\"Xavier Wong-Achi, Luis Rodriguez-Hernández, José Herrera-Castro, Marcos Sangrador-Deitos, Juan Luis Gómez-Amador, Ulises García-González\",\"doi\":\"10.7461/jcen.2023.E2023.08.005\",\"DOIUrl\":null,\"url\":null,\"abstract\":\"<p><p>Cerebral ischemic complications after pituitary surgery are not frequently reported. Multiple mechanisms have been proposed, including vasospasm, and delayed cerebral ischemia resulting from postoperative subarachnoid bleeding. Given the unknown etiology of vasospasm following these situations, little is known about its prevention. Through a case report and bibliographic review, the authors warn about the importance of recognizing key signs postoperatively that could indicate increased risk for cerebral vasospasm and must be recognized in a timely manner, with appropriate treatment strategies implemented once these symptoms present.</p>\",\"PeriodicalId\":94072,\"journal\":{\"name\":\"Journal of cerebrovascular and endovascular neurosurgery\",\"volume\":\" \",\"pages\":\"210-215\"},\"PeriodicalIF\":0.0000,\"publicationDate\":\"2024-06-01\",\"publicationTypes\":\"Journal Article\",\"fieldsOfStudy\":null,\"isOpenAccess\":false,\"openAccessPdf\":\"https://www.ncbi.nlm.nih.gov/pmc/articles/PMC11220296/pdf/\",\"citationCount\":\"0\",\"resultStr\":null,\"platform\":\"Semanticscholar\",\"paperid\":null,\"PeriodicalName\":\"Journal of cerebrovascular and endovascular neurosurgery\",\"FirstCategoryId\":\"1085\",\"ListUrlMain\":\"https://doi.org/10.7461/jcen.2023.E2023.08.005\",\"RegionNum\":0,\"RegionCategory\":null,\"ArticlePicture\":[],\"TitleCN\":null,\"AbstractTextCN\":null,\"PMCID\":null,\"EPubDate\":\"2023/11/29 0:00:00\",\"PubModel\":\"Epub\",\"JCR\":\"\",\"JCRName\":\"\",\"Score\":null,\"Total\":0}","platform":"Semanticscholar","paperid":null,"PeriodicalName":"Journal of cerebrovascular and endovascular neurosurgery","FirstCategoryId":"1085","ListUrlMain":"https://doi.org/10.7461/jcen.2023.E2023.08.005","RegionNum":0,"RegionCategory":null,"ArticlePicture":[],"TitleCN":null,"AbstractTextCN":null,"PMCID":null,"EPubDate":"2023/11/29 0:00:00","PubModel":"Epub","JCR":"","JCRName":"","Score":null,"Total":0}
引用次数: 0

摘要

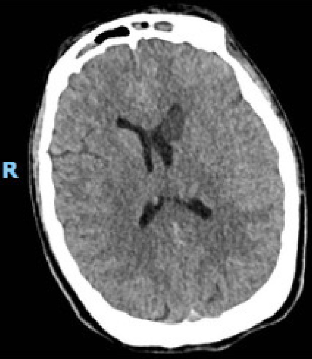
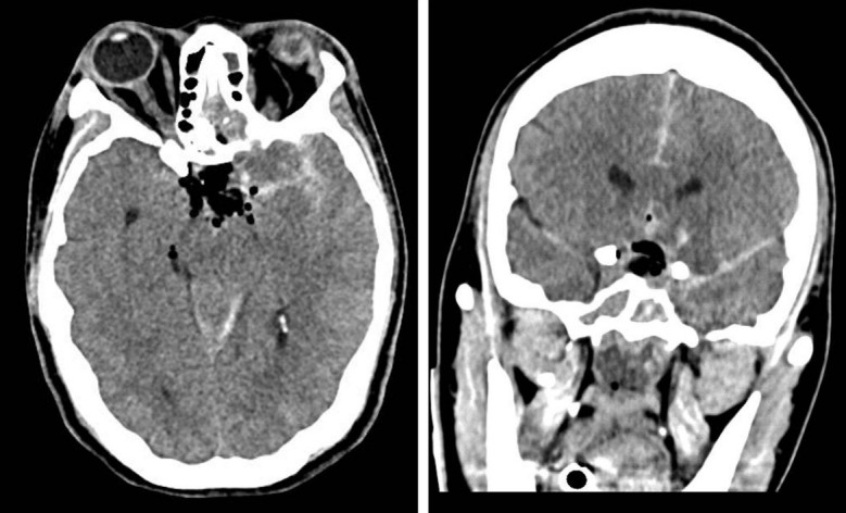
垂体手术后脑缺血并发症的报道并不多见。多种机制被提出,包括术后蛛网膜下腔出血引起的血管痉挛和延迟性脑缺血。鉴于这些情况下血管痉挛的病因不明,对其预防知之甚少。通过一份病例报告和文献回顾,作者警告术后识别可能表明脑血管痉挛风险增加的关键体征的重要性,必须及时识别,一旦出现这些症状就采取适当的治疗策略。
本文章由计算机程序翻译,如有差异,请以英文原文为准。

Unilateral caudate infarct following pituitary adenoma resection.

Unilateral caudate infarct following pituitary adenoma resection.

Unilateral caudate infarct following pituitary adenoma resection.

Unilateral caudate infarct following pituitary adenoma resection.

Cerebral ischemic complications after pituitary surgery are not frequently reported. Multiple mechanisms have been proposed, including vasospasm, and delayed cerebral ischemia resulting from postoperative subarachnoid bleeding. Given the unknown etiology of vasospasm following these situations, little is known about its prevention. Through a case report and bibliographic review, the authors warn about the importance of recognizing key signs postoperatively that could indicate increased risk for cerebral vasospasm and must be recognized in a timely manner, with appropriate treatment strategies implemented once these symptoms present.

求助全文
通过发布文献求助,成功后即可免费获取论文全文。 去求助
来源期刊
CiteScore
1.10
自引率
0.00%
发文量
0
×
引用
GB/T 7714-2015
复制
MLA
复制
APA
复制
导出至
BibTeX EndNote RefMan NoteFirst NoteExpress
×
提示
您的信息不完整,为了账户安全,请先补充。
现在去补充
×
提示
您因"违规操作"
具体请查看互助需知
我知道了
×
提示
确定
请完成安全验证×
copy
已复制链接
快去分享给好友吧!
我知道了
右上角分享
点击右上角分享
0
联系我们:info@booksci.cn Book学术提供免费学术资源搜索服务,方便国内外学者检索中英文文献。致力于提供最便捷和优质的服务体验。 Copyright © 2023 布克学术 All rights reserved.
京ICP备2023020795号-1
ghs 京公网安备 11010802042870号
Book学术文献互助
Book学术文献互助群
群 号:604180095
Book学术官方微信