脂肪母细胞瘤的染色体脱落:第二例复杂PLAG1重排报告。

IF 1.4 4区 生物学 Q4 GENETICS & HEREDITY
Joel Lanceta, Joseph Tripodi, Lynne Karp, Meira Shaham, Nayyara Mahmood, Vesna Najfeld, Morris Edelman, Ninette Cohen
{"title":"脂肪母细胞瘤的染色体脱落:第二例复杂PLAG1重排报告。","authors":"Joel Lanceta, Joseph Tripodi, Lynne Karp, Meira Shaham, Nayyara Mahmood, Vesna Najfeld, Morris Edelman, Ninette Cohen","doi":"10.1186/s13039-023-00665-x","DOIUrl":null,"url":null,"abstract":"<p><p>Lipoblastomas (LPBs) are rare benign neoplasms derived from embryonal adipose that occur predominantly in childhood. LPBs typically present with numeric or structural rearrangements of chromosome 8, the majority of which involve the pleomorphic adenoma gene 1 (PLAG1) proto-oncogene on chromosome 8q12. Here, we report on a LPB case on which showed evidence of chromothripsis. This is the second reported case of chromothripsis in LPB.</p>","PeriodicalId":19099,"journal":{"name":"Molecular Cytogenetics","volume":"16 1","pages":"32"},"PeriodicalIF":1.4000,"publicationDate":"2023-11-27","publicationTypes":"Journal Article","fieldsOfStudy":null,"isOpenAccess":false,"openAccessPdf":"https://www.ncbi.nlm.nih.gov/pmc/articles/PMC10683218/pdf/","citationCount":"0","resultStr":"{\"title\":\"Chromothripsis in lipoblastoma: second reported case with complex PLAG1 rearrangement.\",\"authors\":\"Joel Lanceta, Joseph Tripodi, Lynne Karp, Meira Shaham, Nayyara Mahmood, Vesna Najfeld, Morris Edelman, Ninette Cohen\",\"doi\":\"10.1186/s13039-023-00665-x\",\"DOIUrl\":null,\"url\":null,\"abstract\":\"<p><p>Lipoblastomas (LPBs) are rare benign neoplasms derived from embryonal adipose that occur predominantly in childhood. LPBs typically present with numeric or structural rearrangements of chromosome 8, the majority of which involve the pleomorphic adenoma gene 1 (PLAG1) proto-oncogene on chromosome 8q12. Here, we report on a LPB case on which showed evidence of chromothripsis. This is the second reported case of chromothripsis in LPB.</p>\",\"PeriodicalId\":19099,\"journal\":{\"name\":\"Molecular Cytogenetics\",\"volume\":\"16 1\",\"pages\":\"32\"},\"PeriodicalIF\":1.4000,\"publicationDate\":\"2023-11-27\",\"publicationTypes\":\"Journal Article\",\"fieldsOfStudy\":null,\"isOpenAccess\":false,\"openAccessPdf\":\"https://www.ncbi.nlm.nih.gov/pmc/articles/PMC10683218/pdf/\",\"citationCount\":\"0\",\"resultStr\":null,\"platform\":\"Semanticscholar\",\"paperid\":null,\"PeriodicalName\":\"Molecular Cytogenetics\",\"FirstCategoryId\":\"99\",\"ListUrlMain\":\"https://doi.org/10.1186/s13039-023-00665-x\",\"RegionNum\":4,\"RegionCategory\":\"生物学\",\"ArticlePicture\":[],\"TitleCN\":null,\"AbstractTextCN\":null,\"PMCID\":null,\"EPubDate\":\"\",\"PubModel\":\"\",\"JCR\":\"Q4\",\"JCRName\":\"GENETICS & HEREDITY\",\"Score\":null,\"Total\":0}","platform":"Semanticscholar","paperid":null,"PeriodicalName":"Molecular Cytogenetics","FirstCategoryId":"99","ListUrlMain":"https://doi.org/10.1186/s13039-023-00665-x","RegionNum":4,"RegionCategory":"生物学","ArticlePicture":[],"TitleCN":null,"AbstractTextCN":null,"PMCID":null,"EPubDate":"","PubModel":"","JCR":"Q4","JCRName":"GENETICS & HEREDITY","Score":null,"Total":0}
引用次数: 0

摘要

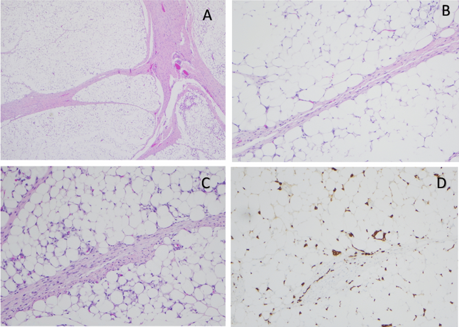
脂肪母细胞瘤(LPBs)是一种罕见的良性肿瘤,主要发生在儿童时期。LPBs通常表现为8号染色体的数量或结构重排,其中大多数涉及染色体8q12上的多形性腺瘤基因1 (PLAG1)原癌基因。在这里,我们报告一个LPB的情况下,显示出证据的染色体裂解。这是第2例报道的LPB中染色体剥离的病例。
本文章由计算机程序翻译,如有差异,请以英文原文为准。

Chromothripsis in lipoblastoma: second reported case with complex PLAG1 rearrangement.

Chromothripsis in lipoblastoma: second reported case with complex PLAG1 rearrangement.

Chromothripsis in lipoblastoma: second reported case with complex PLAG1 rearrangement.

Chromothripsis in lipoblastoma: second reported case with complex PLAG1 rearrangement.

Lipoblastomas (LPBs) are rare benign neoplasms derived from embryonal adipose that occur predominantly in childhood. LPBs typically present with numeric or structural rearrangements of chromosome 8, the majority of which involve the pleomorphic adenoma gene 1 (PLAG1) proto-oncogene on chromosome 8q12. Here, we report on a LPB case on which showed evidence of chromothripsis. This is the second reported case of chromothripsis in LPB.

求助全文
通过发布文献求助,成功后即可免费获取论文全文。 去求助
来源期刊
Molecular Cytogenetics
Molecular Cytogenetics GENETICS & HEREDITY-
CiteScore
2.60
自引率
7.70%
发文量
49
审稿时长
>12 weeks
期刊介绍: Molecular Cytogenetics encompasses all aspects of chromosome biology and the application of molecular cytogenetic techniques in all areas of biology and medicine, including structural and functional organization of the chromosome and nucleus, genome variation, expression and evolution, chromosome abnormalities and genomic variations in medical genetics and tumor genetics. Molecular Cytogenetics primarily defines a large set of the techniques that operate either with the entire genome or with specific targeted DNA sequences. Topical areas include, but are not limited to: -Structural and functional organization of chromosome and nucleus- Genome variation, expression and evolution- Animal and plant molecular cytogenetics and genomics- Chromosome abnormalities and genomic variations in clinical genetics- Applications in preimplantation, pre- and post-natal diagnosis- Applications in the central nervous system, cancer and haematology research- Previously unreported applications of molecular cytogenetic techniques- Development of new techniques or significant enhancements to established techniques. This journal is a source for numerous scientists all over the world, who wish to improve or introduce molecular cytogenetic techniques into their practice.
×
引用
GB/T 7714-2015
复制
MLA
复制
APA
复制
导出至
BibTeX EndNote RefMan NoteFirst NoteExpress
×
提示
您的信息不完整,为了账户安全,请先补充。
现在去补充
×
提示
您因"违规操作"
具体请查看互助需知
我知道了
×
提示
确定
请完成安全验证×
copy
已复制链接
快去分享给好友吧!
我知道了
右上角分享
点击右上角分享
0
联系我们:info@booksci.cn Book学术提供免费学术资源搜索服务,方便国内外学者检索中英文文献。致力于提供最便捷和优质的服务体验。 Copyright © 2023 布克学术 All rights reserved.
京ICP备2023020795号-1
ghs 京公网安备 11010802042870号
Book学术文献互助
Book学术文献互助群
群 号:604180095
Book学术官方微信